HOME-Au
HOME-Au
24h
24h
USA
USA
GOP
GOP
Phim Bộ
Phim Bộ
Videoauto
VIDEO-Au
Home Classic
Home Classic
Donation
Donation
News Book
News Book
News 50
News 50
worldautoscroll
WORLD-Au
Breaking
Breaking
 

Go Back   VietBF > World Box| Thế Giới > Viet Oversea|Tin Hải Ngoại


Reply
 
Thread Tools
  #1  
Old  Default Nữ Việt Kiều cầu cứu bác sĩ Việt vì chuyện khó nói
Phẫu thuật thẩm mỹ có nhiều biến chứng mà mọi người không thể lường hết được. Nữ Việt kiều Úc đặt túi nâng ngực đã 15 năm, nay thấy 2 bên bầu ngực ngày càng cách xa, đặc biệt là ngực trái cứng, bị lệch lên cao, gây đau đớn, khó chịu. Bà đã cầu cứu bác sĩ...

Ngày 24-5, TS-BS Nguyễn Phan Tú Dung, Giám đốc Bệnh viện Thẩm mỹ JW Hàn Quốc, cho hay ông vừa phẫu thuật, cắt bỏ khối vôi hóa ở ngực cho một phụ nữ. Bệnh nhân là bà Phạm Kim O., (50 tuổi, quốc tịch Úc).



Bà O. nhập viện trong tình trạng ngực căng cứng và lệch sang một bên. Bác sĩ chẩn đoán đây là trường hợp co thắt bao xơ nặng ngực bên trái, ngực có hiện tượng vỡ xì túi nước biển làm cho 2 bầu ngực lệch nhau nhiều.



Các bác sĩ phẫu thuật lấy khối vôi ngực cho bệnh nhân

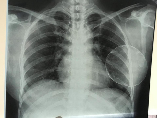
Kết quả siêu âm và chụp X quang cho thấy tình trạng ngực trái bị co thắt và vôi hóa hoàn toàn (can-xi hóa), các bác sĩ đã quyết định mổ cắt bỏ hoàn toàn khối vôi hóa, đồng thời tái tạo lại thành ngực sau 3 giờ mổ.

Theo BS Tú Dung, co thắt bao xơ sau nâng ngực chiếm tỷ lệ không cao nhưng đa phần gây khó chịu cho bệnh nhân, đặc biệt là yếu tố thẩm mỹ.



Bà O. được phẫu thuật bỏ khối vôi hóa trong ngực

Theo bệnh nhân, cách đây 15 năm bà có đặt túi ngực (loại túi nước biển) tại Úc. Tuy nhiên, sau một thời gian thì 2 bầu ngực ngày càng xa nhau, đặc biệt là ngực trái cứng và kéo lệch lên cao, gây đau đớn khó chịu nên khi về nước, bà đến cầu cứu bác sĩ.
Dịch trang: EnglishEnglish DeutschDeutsch FrançaisFrançais EspañolEspañol ItalianoItaliano PortuguêsPortuguês
NorskNorsk NederlandsNederlands DanskDansk SuomiSuomi PolskiPolski ČeštinaČeština РусскийРусский
日本語日本語 한국어한국어 中文(简体)中文(简体) 中文(繁體)中文(繁體) MagyarMagyar TürkçeTürkçe
العربيةالعربية ไทยไทย LatinaLatina हिन्दीहिन्दी Bahasa IndonesiaBahasa Indonesia Bahasa MelayuBahasa Melayu
VIETBF Diễn Đàn Hay Nhất Của Người Việt Nam

HOT NEWS 24h

HOT 3 Days

NEWS 3 Days

HOT 7 Days

NEWS 7 Days

HOME

Breaking News

VietOversea

World News

Business News

Car News

Computer News

Game News

USA News

Mobile News

Music News

Movies News

History

Thơ Ca

Sport News

Stranger Stories

Comedy Stories

Cooking Chat

Nice Pictures

Fashion

School

Travelling

Funny Videos

Canada Tin Hay

USA Tin Hay

VietBF Homepage Autoscroll

VietBF Video Autoscroll Portal

Super Widescreen

Home Master Page

VietBF iPad Music Portal

Tin nóng nhất 50h qua

Phim Bộ Online

Phim Bộ
Dịch trang: English | Deutsch |
Français | Español | Italiano |
Português | Norsk | Nederlands |
Dansk | Suomi | Polski |
Čeština | Русский | 日本語 |
한국어 | 中文(简体) | 中文(繁體) |
Magyar | Türkçe | العربية |



PinaColada
R11 Tuyệt Thế Thiên Hạ
Release: 05-24-2018
Reputation: 137019


Profile:
Join Date: Oct 2013
Posts: 120,537
Last Update: None Rating: None
Attached Thumbnails
Click image for larger version

Name:	351.jpg
Views:	0
Size:	53.9 KB
ID:	1223460   Click image for larger version

Name:	352.jpg
Views:	0
Size:	60.9 KB
ID:	1223461   Click image for larger version

Name:	353.jpg
Views:	0
Size:	46.1 KB
ID:	1223462  

PinaColada_is_offline
Thanks: 9
Thanked 7,888 Times in 7,016 Posts
Mentioned: 2 Post(s)
Tagged: 0 Thread(s)
Quoted: 23 Post(s)
Rep Power: 139
PinaColada Reputation Uy Tín Level 9PinaColada Reputation Uy Tín Level 9PinaColada Reputation Uy Tín Level 9PinaColada Reputation Uy Tín Level 9PinaColada Reputation Uy Tín Level 9
PinaColada Reputation Uy Tín Level 9PinaColada Reputation Uy Tín Level 9PinaColada Reputation Uy Tín Level 9PinaColada Reputation Uy Tín Level 9PinaColada Reputation Uy Tín Level 9PinaColada Reputation Uy Tín Level 9PinaColada Reputation Uy Tín Level 9PinaColada Reputation Uy Tín Level 9PinaColada Reputation Uy Tín Level 9PinaColada Reputation Uy Tín Level 9PinaColada Reputation Uy Tín Level 9PinaColada Reputation Uy Tín Level 9PinaColada Reputation Uy Tín Level 9PinaColada Reputation Uy Tín Level 9PinaColada Reputation Uy Tín Level 9PinaColada Reputation Uy Tín Level 9PinaColada Reputation Uy Tín Level 9PinaColada Reputation Uy Tín Level 9PinaColada Reputation Uy Tín Level 9PinaColada Reputation Uy Tín Level 9PinaColada Reputation Uy Tín Level 9PinaColada Reputation Uy Tín Level 9
Dịch trang: EnglishEnglish DeutschDeutsch FrançaisFrançais EspañolEspañol ItalianoItaliano PortuguêsPortuguês
NorskNorsk NederlandsNederlands DanskDansk SuomiSuomi PolskiPolski ČeštinaČeština РусскийРусский
日本語日本語 한국어한국어 中文(简体)中文(简体) 中文(繁體)中文(繁體) MagyarMagyar TürkçeTürkçe
العربيةالعربية ไทยไทย LatinaLatina हिन्दीहिन्दी Bahasa IndonesiaBahasa Indonesia Bahasa MelayuBahasa Melayu
Reply

User Tag List


Một ngày ‘đứt mạch’ ở Mỹ: Verizon sập mạng, FBI ập vào nhà phóng viên, AI bị siết và Saks nộp đơn phá sản Iran bên bờ sóng gió, Mỹ cân nhắc ra tay: dầu mỏ – chip AI – vàng bạc cùng rung chuyển Những chuyện hài hước nhất hôm nay
Những lỗ thủng miễn dịch ở Mỹ: miễn trừ vaccine tăng vọt, sởi bùng phát – FDA cũng vừa gỡ cảnh báo ‘ý nghĩ tự tử’ khỏi thuốc gi Một lá phiếu của Vance, một chiến thắng của Trump: Thượng viện chặn nghị quyết siết quyền đánh Venezuela Trump nói Iran “không có kế hoạch hành quyết”, nhưng Trung Đông vẫn nín thở
Hawley “quay xe” phút chót: Trump siết kỷ luật đảng trước lá phiếu War Powers về Venezuela Greenland băng giá dậy sóng: Đan Mạch tăng quân, NATO vào cuộc giữa sức ép “thâu tóm” từ ông Trump “Lằn ranh đỏ” tự đặt: Trump cân nhắc đòn đánh Iran, vùng Vịnh nín thở chờ quyết định
“Vũ hội 400 triệu USD ở Nhà Trắng”: Trump phá East Wing, dự án phòng khiêu vũ gây bão tranh cãi Trump ra lệnh mua 200 tỷ USD “trái phiếu thế chấp”: Lãi vay nhà ở Mỹ sắp hạ nhiệt? Minneapolis dậy sóng sau vụ ICE bắn chết công dân Mỹ: “ICE OUT!” vang giữa băng giá
Iran: Người dân đổ ra đường quyết lật độ chính quyền độc tài Berlin tê liệt giữa băng giá: 100.000 người mất điện vì vụ phóng hỏa bị gọi là “khủng bố” Bóng ma chiến tranh phủ lên bàn đàm phán: Nga dọa đánh thẳng lực lượng Anh–Pháp tại Ukraine
Iran bùng nổ biểu tình vì “không còn mua nổi gì”: đồng tiền rơi tự do, chính quyền chỉ còn… dùi cui Sau vụ đặc nhiệm bắt Maduro: Cabello nổi lên như nhân vật then chốt, Mỹ treo thưởng 25 triệu USD Ký sự phiếu cơm của Vietnam Airlines, Chuyện “claim” bồi thường EU: 600 euro có thật dễ ăn?
Hòa Giải Không Thể Là Mệnh Lệnh: Vì Sao Người Việt Quốc Gia Hải Ngoại Nói Không Bắt Tay Khi “Chính” Không Luôn Thắng “Tà” – Nhưng Lòng Nhân Vẫn Có Thể Cứu Một Đời Người Vĩnh Biệt Thầy Đặng Thông Phong – “Ngọn Núi” Aikido Của Người Việt
Nơi đây yên nghỉ các chiến sĩ lầm đường: Một tấm bia ở Tân Sơn Nhất và bài học về lòng nhân Bi kịch ở phi trường Salt Lake City: Một cơn khủng hoảng tâm thần, một lỗ hổng an ninh, và lá đơn kiện 300.000 USD Bi kịch trong ngôi nhà sang trọng ở Ohio: Nha sĩ và vợ bị bắn chết, hai con nhỏ vẫn an toàn
10 phút tới liền và cái giá phía sau: Hơn 200.000 shipper Ấn Độ đình công đêm giao thừa Biển Baltic lại đứt mạch: Phần Lan bắt tàu nghi kéo neo làm hỏng cáp nối Helsinki–Tallinn Cái cặp bí ẩn, Vecna và lời hẹn cuối: Stranger Things kết thúc trong nước mắt
Đụng ICE ngoài đường: Vì sao những vụ “xe tông xe” đang thành kịch bản đáng sợ ở Mỹ? Mỹ “khóa cửa” drone Trung Quốc: Thế hệ DJI mới chính thức hết đường vào! Mỹ phá cơ sở mại dâm của Trung Cộng đội lốt dưới vỏ kinh doanh massage
Chuyện cười ra nước mắt, dân Hàn Quốc đòi hạ cờ Việt Cộng! vì nhầm là “hàng Tàu” +video Đêm Noel đổi đời: Powerball nổ $1,817 tỷ ở Arkansas, cả nước “rụng tim” theo dõi Đập kính giữa Bolsa: Một buổi chiều mưa, một chiếc xe đen và chiếc “thẻ xanh” bốc hơi
Tranh chấp tiền làm móng ở Georgia: nữ nhân viên bị cáo buộc “giữ” bé trai 8 tuổi để đòi tiền Ngọc Quyên đóng cửa công ty ở Mỹ sau 11 năm: “Đây không phải thất bại” Ông Minh Chính bơ phờ vật vã vì mất chức thủ tướng, thế lực Hưng Yên tước hết toàn bộ quyền lực
Rò Rỉ Nhân Sự Đại Hội 14: Cuộc Mặc Cả Quyền Lực Giữa Công An – Quân Đội? Yamaguchi-gumi Rầm Rộ Họp Cuối Năm: Xã Hội Đen Lớn Nhật Nhật Bản Vẫn Sống Khỏe Giữa Thời “Văn Minh” Công nghiệp đẻ thuê cho tài phiệt Trung Quốc: Khi hộ chiếu Mỹ bị biến thành món hàng
Mẹ Cường "đô la" nguy cơ lại bị bắt Từ hiện tượng "Trumpugee", làm như thế nào để đi ra khỏi nước Mỹ? Kinh tế Việt Cộng nát như tương, Khi Gánh Thuế Nặng Hơn Gánh Hàng: Tiểu Thương Vật Vã Giữa Chợ Vắng Và Dự Án Tỷ Đô
Nhiều "nhà giàu" đi BMW, Lexus, Mercedes bán rau ở Bolsa : Bãi Đậu Xe Hóa Chợ Đuôi Xe Trần Đồng Lan (Lana Condor) – Cô Bé Mồ Côi Cần Thơ Trở Thành Minh Tinh Hollywood Những chuyện hài hước nhất hôm nay
Tướng tình báo Venezuela tiết lộ mạng lưới ma túy – gián điệp cắm sâu vào nước Mỹ? 5 tiểu bang lạnh nhất nước Mỹ (trừ Alaska) – và những nơi mùa đông ‘dễ thở’ cho người Việt Đàm phán Miami: Trump sốt ruột tìm hòa bình, Putin ung dung chờ thắng chậm
Khi Trump tái khởi động ‘chiến tranh ma túy’: từ tàu ma túy bị bắn chìm đến nỗi mất ngủ ở Caracas Mỹ thời Trump: Trục xuất người Iran về ‘địa ngục’, rồi dùng drone Iran để đánh Iran Donald Trump và học thuyết mới: Mỹ không còn làm ‘cảnh sát toàn cầu’
GDP giảm 0,1% và những con người mất trắng 100% sau bão lũ Michael và Susan Dell donate 6,25 tỷ USD vào “Tài khoản Trump”: Kho báu cho trẻ em Mỹ hay chỉ là cú khuyến đẻ kể cho vui? Đường sắt cao tốc 61 tỷ USD và ‘doanh nhân xù nợ’ 30 triệu
Những chuyện hài hước nhất hôm nay Mailisa bất ngờ “đóng cửa” giữa bão điều tra: Đế chế làm đẹp nghìn tỷ khép lại MAGA Đen - MAGA Đỏ - Giấc mơ đế chế dữ liệu của Peter Thiel và giới trọc phú công nghệ
Ánh đèn hiên nhà trong đêm bão tuyết: câu chuyện Lễ Tạ Ơn kỳ diệu sau 41 năm Xả súng gần Nhà Trắng: Bi kịch Lễ Tạ Ơn và cuộc chơi chính trị của Trump với hồ sơ di dân Afghanistan Từ Frankenstein đến Game of Drones: Khi công nghệ biến chiến tranh thành cuộc hỗn loạn vĩnh viễn
Biển lửa Wang Fuk Court: 65 người chết, Hồng Kông choáng váng trước “thảm họa giàn giáo tre” Biển lửa Wang Fuk Court: Thảm họa người già Hồng Kông và cuộc điều tra “sự cứu thả chết người” Chết cháy hàng loạt tại Hồng Kông, các toà nhà biến thành địa ngục, hàng trăm người mất tích
Black Friday ảm đạm ngoài phố, rực lửa trên livestream: Người Việt đổi kiểu săn sale Cánh tay phải của Zelensky ngã ngựa: Ukraine bị ép chọn giữa danh dự và đồng minh Tryptophan trên tiểu hành tinh Bennu: Phát hiện mới cho thấy “công thức sự sống” đến từ vũ trụ
Trump, Donetsk và “thỏa thuận không thể”: Ukraine bị ép vào góc hẹp của một nền hòa bình đẫm máu Từ Stalin tới Putin: 86 năm sau, bóng ma chiến tranh mùa đông vẫn ám ảnh đế quốc Nga Putin khen kế hoạch hòa bình của Mỹ nhưng dọa chiếm thêm đất nếu Kyiv không rút quân
Trump siết nhập cư sau vụ nổ súng: Rà soát toàn bộ thẻ xanh từ 19 “quốc gia đáng lo ngại” Thảm họa cháy chung cư ở Hong Kong: 128 người chết, hàng trăm người mất tích và những câu hỏi nhức nhối Cô gái Brazil bị trục xuất và nghịch lý cay đắng ngay trong gia đình phát ngôn viên Nhà Trắng
Đi Tesla “chôm” bưu kiện ở Irvine Kinh tế Nga gió ngược nhưng Putin chưa xuống thang California trước nguy cơ khát xăng
Ông Trump lạc đề Trước Trung ương 15 và Đại hội XIV Bóng đá lên hương, bụng dân vẫn lép
Người hùng trong vụ xả súng khủng bố ở Úc Biển Charlie Kirk Way dưới All American Way CPI rớt mạnh xuống 2,7%
Thời mafia lộng hành: Donald Trump và Vladimir Putin biến nền ngoại giao cổ điển trở thành chuyện làm ăn Sáu câu hỏi của thế hệ sau chiến tranh: Giải phóng ai, giải phóng khỏi điều gì? Báo động ngành nails: 5 người bị bắt, 2 tiệm niêm phong, chủ đối mặt án tù vì thuê người không giấy tờ
VinFast ở North Carolina đứng trước nguy cơ bị “thu hồi đất vàng”, Vingroup quay xe sang Ấn Độ với canh bạc 3 tỷ USD Bệnh khoe của và cơn nghiện “chứng tỏ mình” của người Việt thời mạng xã hội Khi Nhật Bản đứng trước cám dỗ hạt nhân: Bao lâu nữa Tokyo phải tự võ trang?
Sài Gòn “chập mạch” dễ thương: thành phố không thiếu tiền, chỉ dư tình người Zelensky tuyên bố sẵn sàng bầu cử giữa làn đạn, bác cáo buộc “trốn phiếu” của Trump Lời hứa muộn màng của người lính cũ
Khi doanh nghiệp Mỹ nổi loạn vì thuế quan Trump muốn học mô hình hưu trí “super” của Úc: Bắt buộc tiết kiệm cho tuổi già Từ cô thợ nails tị nạn đến chủ nhân căn nhà đắt nhất Atlanta
Thuế mới, phố vắng, chợ buồn: Nếu tiểu thương gục ngã, ai bán hàng cho 100 triệu dân? K+ khép lại sau 16 năm: Đế chế bóng đá trả tiền tàn cuộc chơi Người Vợ Lực Lượng Đặc Biệt – Hồi ức về Thiếu Tá Hồ Đăng Nhựt trong mùa Quốc Nạn
Viên tướng nhỏ thó gánh oan khiên Mậu Thân John Riordan – người Mỹ quay lại Sài Gòn để cứu 105 người Việt Evergrande: Từ đế chế số 1 đến quả bom nợ – Bài học nào cho Việt Nam?

 
Lên đầu Xuống dưới Lên 3000px Xuống 3000px

iPad Videos Portal Autoscroll

VietBF Music Portal Autoscroll

iPad News Portal Autoscroll

VietBF Homepage Autoscroll

VietBF Video Autoscroll Portal

USA News Autoscroll Portall

VietBF WORLD Autoscroll Portal

Home Classic

Super Widescreen

iPad World Portal Autoscroll

iPad USA Portal Autoscroll

Phim Bộ Online

Tin nóng nhất 24h qua

Tin nóng nhất 3 ngày qua

Tin nóng nhất 7 ngày qua

Tin nóng nhất 30 ngày qua

Albums

Total Videos Online
Lên đầu Xuống dưới Lên 3000px Xuống 3000px

Tranh luận sôi nổi nhất 7 ngày qua

Tranh luận sôi nổi nhất 14 ngày qua

Tranh luận sôi nổi nhất 30 ngày qua

10.000 Tin mới nhất

Tin tức Hoa Kỳ

Tin tức Công nghệ
Lên đầu Xuống dưới Lên 3000px Xuống 3000px

Super News

School Cooking Traveling Portal

Enter Portal

Series Shows and Movies Online

Home Classic Master Page

Donation Ủng hộ $3 cho VietBF
Lên đầu Xuống dưới Lên 3000px Xuống 3000px
Diễn Đàn Người Việt Hải Ngoại. Tự do ngôn luận, an toàn và uy tín. Vì một tương lai tươi đẹp cho các thế hệ Việt Nam hãy ghé thăm chúng tôi, hãy tâm sự với chúng tôi mỗi ngày, mỗi giờ và mỗi giây phút có thể. VietBF.Com Xin cám ơn các bạn, chúc tất cả các bạn vui vẻ và gặp nhiều may mắn.
Welcome to Vietnamese American Community, Vietnamese European, Canadian, Australian Forum, Vietnamese Overseas Forum. Freedom of speech, safety and prestige. For a beautiful future for Vietnamese generations, please visit us, talk to us every day, every hour and every moment possible. VietBF.Com Thank you all and good luck.

Lên đầu Xuống dưới Lên 3000px Xuống 3000px

All times are GMT. The time now is 05:20.
VietBF - Vietnamese Best Forum Copyright ©2005 - 2026
User Alert System provided by Advanced User Tagging (Pro) - vBulletin Mods & Addons Copyright © 2026 DragonByte Technologies Ltd.
Log Out Unregistered

Page generated in 0.13228 seconds with 15 queries