Ở Việt Nam đã xuất hiện bệnh nhân mắc chứng "suy giảm miễn dịch" như bệnh AIDS nhưng không phải do virus HIV.

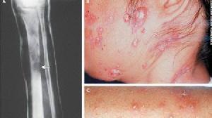
Căn bệnh dễ mắc phải đối với người mắc bệnh lạ có kháng thể chống interferon-gamma trong cơ thể. (Ảnh CNN)
Cộng đồng các chuyên gia y tế Việt Nam xôn xao trước kết luận chính thức của các nhà nghiên cứu tại Viện Y tế quốc gia Mỹ (NIH) về việc xác định căn bệnh mới tại châu Á, Đông Nam Á gây ra triệu chứng suy giảm miễn dịch như bệnh AIDS nhưng không liên quan đến HIV.
Phát hiện gây xôn xao thế giới
BS Hồ Quang Hậu, chuyên gia nghiên cứu y tế chương trình phát triển y tế TPHCM cho biết, ông vừa nhận được các văn bản kết luận của NIH về chương trình nghiên cứu căn bệnh hiếm gặp trên. Chương trình nghiên cứu trên do Tiến sĩ Sarah Browne, thuộc Viện Dị ứng và bệnh truyền nhiễm (NIAID) của NIH đứng đầu thực hiện. Theo đó, trong cơ thể các bệnh nhân mắc phải bệnh này có kháng thể tấn công hệ thống miễn dịch của họ.
Theo BS Hậu, chương trình nghiên cứu của Tiến sĩ Sarah Browne cho thấy, nếu chất interferon-gamma bị vô hiệu thì con người sẽ dễ bị lây nhiễm trước một số loại bệnh nhiễm trùng nhất định. Căn bệnh này đang được các nhà khoa học tạm gọi là "Hội chứng suy giảm miễn dịch tại người lớn", vì những người mắc bệnh đều trưởng thành. Căn bệnh được các nhà khoa học của NIH tập trung tìm hiểu từ năm 2004, chính thức nghiên cứu căn bệnh từ năm 2005.
Chuyên gia nguyên cứu y tế Phạm Thành (Sở Y tế TPHCM) cho biết thêm, thời gian qua ông rất quan tâm đến chương trình nghiên cứu này, bởi những tác động của nó đến người dân và xã hội. Ông Thành cho biết, chương trình nghiên cứu của NIH có quy mô mẫu trong cuộc nghiên cứu ban đầu chỉ là 10 người. Sau đó, với những phát hiện quan trọng về mức độ nguy hiểm, NIH nâng lên số lượng hơn 200 người, chủ yếu người châu Á trong độ tuổi từ 18-70, đây là những người di cư sang Mỹ sinh sống và làm việc. Tất cả họ đều cho kết quả xét nghiệm HIV âm tính. Trong giai đoạn đầu của cuộc nghiên cứu, các nhà khoa học tại NIH cũng điều trị cho một bệnh nhân gốc Việt tên Kim Nguyen (62 tuổi).
Chương trình nghiên cứu của TS Sarah Browne được công bố chính thức trên tạp chí y khoa New England Journal of Medicine (Mỹ). Kết luật về chương trình nghiên cứu của NIH, TS Anthony Fauci, giám đốc NIAID cho hay, đến nay NIH đã ghi nhận 12 trường hợp mắc bệnh ở Mỹ, tất cả bệnh nhân đều là người gốc Á, trong đó có người gốc Việt. Căn bệnh được chú ý và phát hiện ở châu Á khi người bệnh bị nhiễm trùng cơ hội tương tự như HIV/AIDS, nhưng nguyên nhân gây bệnh không phải do lây nhiễm HIV.
Hiện tại, các bác sĩ chỉ đang điều trị các bệnh nhiễm trùng cho người mắc phải bệnh lạ. Trong một số trường hợp, các nhà khoa học của NIH sẽ cố gắng tìm cách hạ thấp mức độ kháng thể và đảo ngược sự suy giảm miễn dịch giúp người mắc bệnh phục hồi các hệ miễn dịch để giúp cơ thể chống chọi lại với bệnh.
Nhiều bệnh nhân tại Việt Nam đang có triệu chứng mắc phải căn bệnh này
Đã xuất hiện hàng loạt bệnh nhân ở Việt Nam
Sau khi các kết luận chính thức về chương trình nghiên cứu trên do TS Sarah Browne được đăng tải trên internet, nhiều bệnh nhân tại TPHCM mắc chứng suy giảm hệ miễn dịch tìm đến một số bệnh viện lớn tại TPHCM để mong tìm được phương pháp điều trị hiệu quả.
Trong đó có anh Lê Ngọc Hà (42 tuổi, ngụ quận Thủ Đức), một bệnh nhân mắc chứng suy giảm hệ miễn dịch gần 4 năm nay nhưng chưa được chữa trị khỏi. Anh Hà cho biết: “Thời điểm trước đây, tôi có chích, hút ma túy một thời gian, sau đó đã cai nghiện. Sau khi cai nghiện thành công, tôi mắc chứng bệnh lạ. Sau nhiều lần đi bệnh viện thì được các bác sĩ chẩn đoán bị chứng suy giảm hệ miễn dịch, đây là chứng bệnh khó chữa trị tại Việt Nam. Tôi uống thuốc gần 1 năm nay nhưng tình trạng bệnh tật ngày càng nặng. Vô tình xem được các kết quả nghiên cứu của TS Sarah Browne, tôi rất vui mừng vì thế giới tìm ra cách chữa trị căn bệnh hiếm gặp này”.
BS Lê Thị Thu Hương, phụ trách chương trình nghiên cứu y tế Trung tâm nghiên cứu y tế TPHCM cho biết: “Tại Việt Nam và TPHCM, các nhà khoa học đang nghiên cứu về căn bệnh suy giảm hệ miễn dịch này. Thời gian qua, tôi từng tiếp xúc với hàng loạt bệnh nhân có những triệu chứng như bệnh AIDS. Tuy nhiên, sau khi làm các xét nghiệm thì không phát hiện vi-rút HIV. Tôi và nhiều đồng nghiệp đã và đang làm hàng loạt các xét nghiệm phức tạp để tìm ra phương pháp chữa bệnh hiệu quả. Bởi nếu để lâu, bệnh nhân sẽ mất đi toàn bộ kháng thể, cơ thể sẽ chết dần chết mòn như căn bệnh HIV/AIDS".
Ông Trần Phạm Hùng, Phó Giám đốc một bệnh viện tại TPHCM, cho biết, tại bệnh viện ông phụ trách đã phát hiện hàng loạt bệnh nhân có các triệu chứng như các kết luận nghiên cứu của TS Sarah Browne và các nhà khoa học của NIH. Đối với các bệnh nhân này, các bác sĩ tại bệnh viện đã tìm nhiều phương pháp hiệu quả để ngăn chặn sự phát triển của bệnh. Tuy nhiên, căn bệnh này giống như HIV không thể điều trị dứt điểm. Bệnh của bệnh nhân sẽ phát triển theo từng giai đoạn, đến giai đoạn cuối, bệnh nhân sẽ chết. Đến thời điểm hiện tại vẫn chưa có phương pháp điều trị khỏi căn bệnh này.
Theo ông Hùng, kết luận của TS Sarah Browne rằng, căn bệnh này chỉ xuất hiện tại các quốc gia châu Á, Đông Nam Á là hoàn toàn chính xác. Bởi thực tế tại Việt Nam đã phát hiện nhiều bệnh nhân có những triệu chứng tương tự. Chương trình nghiên cứu của TS Sarah Browne được công bố vào thời điểm hiện nay sẽ giúp các bệnh nhân mắc chứng suy giảm hệ miễn dịch tìm được cơ hội sống. Đã đến lúc, các cơ quan chức năng của Việt Nam cần vào cuộc nghiên cứu và áp dụng các thành tựu nghiên cứu của NIH để tìm ra phương pháp điều trị cho bệnh nhân. Tuy nhiên, cách tốt nhất là các nhà khoa học của Việt Nam cần phối hợp
Ghi nhận thực tế tại BV Chợ Rẫy, BV Nhân dân Gia Định, BV Bình Dân, BV Thủ Đức… những ngày qua cho thấy, nhiều bệnh nhân mắc các triệu chứng như bệnh HIV/AIDS đến làm các xét nghiệm để tìm ra cách chữa trị. Tuy nhiên, nhiều bệnh nhân vẫn phải thất vọng, bởi thực tế vẫn chưa có cách chữa căn bệnh suy giảm hệ miễn dịch này.
TS Anthony Fauci, Giám đốc NIAID cho biết, căn bệnh này không lây nhiễm. Đây không phải là một loại vi-rút mới. Căn bệnh được chú ý và phát hiện ở châu Á khi người bệnh bị nhiễm trùng cơ hội tương tự như HIV/AIDS nhưng nguyên nhân gây bệnh không phải do lây nhiễm HIV. Nguyên nhân gây bệnh là sự kết hợp của các yếu tố di truyền và môi trường, mặc dù vẫn chưa biết cụ thể về các yếu tố này.
Người đưa tin