HOME-Au
HOME-Au
24h
24h
USA
USA
GOP
GOP
Phim Bộ
Phim Bộ
Videoauto
VIDEO-Au
Home Classic
Home Classic
Donation
Donation
News Book
News Book
News 50
News 50
worldautoscroll
WORLD-Au
Breaking
Breaking
 

Go Back   VietBF > Other News|Tin Khác > School | Kiến thức


Reply
 
Thread Tools
  #1  
Old  Default Cơn đau đầu báo hiệu căn bệnh nguy hiểm, có thể gây mù mắt, tổn thương não
Đi khám sau thời gian dài đau đầu nhưng dùng thuốc không đỡ, người phụ nữ được phát hiện bị viêm xoang bướm do nấm, một căn bệnh nguy hiểm nhưng triệu chứng mờ nhạt, diễn tiến âm thầm.

Ngày 20/10, BSCKII Ngô Đức Minh Huy, Trưởng khoa Tai Mũi Họng, Bệnh viện Nhân dân 115 (TPHCM) cho hay, đơn vị vừa tiếp nhận và điều trị thành công cho một bệnh nhân nữ 67 tuổi được chẩn đoán viêm xoang bướm do nấm.

Bệnh nhân đến khám trong tình trạng đau đầu kéo dài nhiều tháng kèm chảy mũi có mùi hôi. Trước đó, người bệnh từng đi khám và điều trị tại một số cơ sở y tế nhưng tình trạng bệnh không cải thiện nếu ngưng thuốc.

Tại bệnh viện, từ kết quả khám bệnh ban đầu, các bác sĩ nghi ngờ bệnh nhân mắc viêm xoang do nấm.

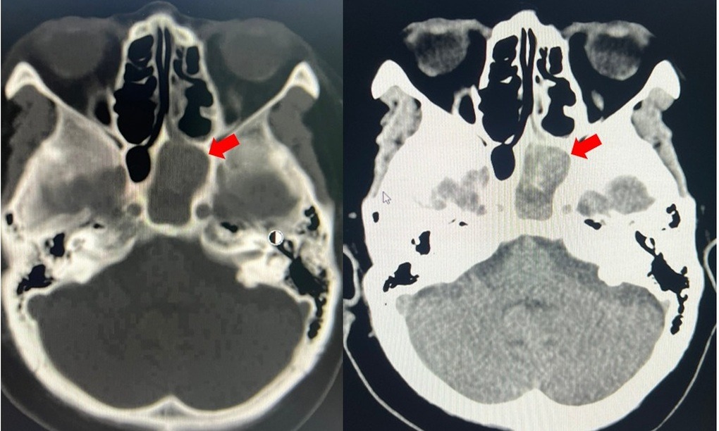
Kết quả chụp CT scan và cận lâm sàng sau đó cũng xác định người bệnh mắc viêm xoang bướm trái do nấm kèm tình trạng nhiễm trùng. Bên cạnh đó, bà cũng được ghi nhận mắc nhiều bệnh nền như tăng huyết áp, bệnh thận mạn giai đoạn III, đái tháo đường type 2.


Hình ảnh khối nấm xoang bướm bên trái (mũi tên đỏ) (Ảnh: BV).

Ngay sau đó, bệnh nhân được phối hợp điều trị đa chuyên khoa để ổn định sức khỏe ban đầu. Khi tình trạng cho phép, các bác sĩ khoa Tai Mũi Họng tiến hành phẫu thuật nội soi mở xoang bướm, lấy sạch mô nấm, hoại tử, viêm trong lòng xoang cho người bệnh, đồng thời lấy mẫu bệnh phẩm nghi nấm gửi xét nghiệm.

Sau mổ, người bệnh tiếp tục được theo dõi và điều trị tại khoa Tai Mũi Họng. Đến thời điểm xuất viện, người bệnh đã không còn đau đầu và chảy mũi.

Chia sẻ về trường hợp này, BS Minh Huy nhấn mạnh, viêm xoang bướm do nấm là một bệnh lý thầm lặng, dễ bị bỏ sót dễ gây biến chứng nguy hiểm, đặc biệt là ở người lớn tuổi với nhiều bệnh lý nền.

Viêm xoang bướm do nấm là một dạng nhiễm nấm không xâm lấn, thường gặp trong nhóm bệnh lý viêm xoang do nấm, xuất hiện nhiều ở người trung niên và lớn tuổi, đặc biệt ở nữ giới.

Bệnh bắt nguồn từ một khối nấm thường là do các loại nấm sợi phát triển lâu ngày, tạo thành một “quả bóng” đặc quánh màu nâu đen hoặc xanh xám hình thành trong lòng xoang bướm. Đây là nơi nằm sâu trong hốc mũi, tiếp giáp với nhiều cấu trúc quan trọng như nền sọ, dây thần kinh thị giác, tuyến yên, động mạch cảnh trong.

"Điểm đáng chú ý là bệnh diễn tiến âm thầm, triệu chứng không điển hình, dễ nhầm lẫn với viêm xoang mạn tính thông thường. Do đó, nhiều trường hợp chỉ được phát hiện khi bệnh đã kéo dài, thậm chí có biến chứng nguy hiểm", bác sĩ Huy chia sẻ.

Triệu chứng lâm sàng của nấm xoang bướm thường mơ hồ và không đặc hiệu như nhức đầu âm ỉ vùng đỉnh hoặc vùng sau hốc mắt. Cơn đau lan lên trán hoặc thái dương, thường kéo dài, dùng thuốc giảm đau ít hiệu quả.

Người bệnh cũng thường có dấu hiệu nghẹt mũi hoặc chảy dịch mũi, có thể có mùi hôi. Một số trường hợp có thể giảm thị lực thoáng qua hoặc mờ mắt do khối nấm chèn ép dây thần kinh thị giác.

Do vị trí xoang bướm nằm sát nhiều cấu trúc quan trọng, khối nấm nếu không được phát hiện và xử trí kịp thời có thể dẫn đến các biến chứng nghiêm trọng như tổn thương thần kinh thị giác gây giảm thị lực đột ngột, thậm chí mù không hồi phục; viêm mô tế bào quanh hốc mắt hoặc áp xe ổ mắt; viêm màng não, áp xe não do nhiễm trùng lan rộng.

"Đây là thể nấm không xâm lấn nhưng vẫn có thể để lại hậu quả nặng nề nếu chẩn đoán chậm trễ. Do đó, việc cảnh giác và phát hiện sớm là yếu tố then chốt trong điều trị", BSCKI Nhâm Tấn Đạt, khoa Tai Mũi Họng khuyến cáo.

Do đó, mọi người tuyệt đối không nên chủ quan với đau đầu kéo dài, nhức đầu vùng chẩm, sau mắt hoặc giữa trán, dùng thuốc không giảm.

"Mọi người cũng nên đi khám sớm nếu có dấu hiệu bất thường về thị lực như mờ mắt, nhìn đôi hoặc giảm thị lực thoáng qua. Đây có thể là dấu hiệu cảnh báo tổn thương thần kinh thị giác do khối nấm chèn ép", bác sĩ cảnh báo.

Mọi người cũng nên thường xuyên vệ sinh mũi xoang bằng dung dịch nước muối sinh lý, tránh môi trường ô nhiễm, khói bụi và không tự ý dùng thuốc kéo dài khi chưa có chỉ định của bác sĩ.

Vietbf @ Sưu tầm
Dịch trang: EnglishEnglish DeutschDeutsch FrançaisFrançais EspañolEspañol ItalianoItaliano PortuguêsPortuguês
NorskNorsk NederlandsNederlands DanskDansk SuomiSuomi PolskiPolski ČeštinaČeština РусскийРусский
日本語日本語 한국어한국어 中文(简体)中文(简体) 中文(繁體)中文(繁體) MagyarMagyar TürkçeTürkçe
العربيةالعربية ไทยไทย LatinaLatina हिन्दीहिन्दी Bahasa IndonesiaBahasa Indonesia Bahasa MelayuBahasa Melayu
VIETBF Diễn Đàn Hay Nhất Của Người Việt Nam

HOT NEWS 24h

HOT 3 Days

NEWS 3 Days

HOT 7 Days

NEWS 7 Days

HOME

Breaking News

VietOversea

World News

Business News

Car News

Computer News

Game News

USA News

Mobile News

Music News

Movies News

History

Thơ Ca

Sport News

Stranger Stories

Comedy Stories

Cooking Chat

Nice Pictures

Fashion

School

Travelling

Funny Videos

Canada Tin Hay

USA Tin Hay

VietBF Homepage Autoscroll

VietBF Video Autoscroll Portal

Home Classic

Home Classic Master Page

VietBF iPad Music Portal

Tin nóng nhất 50h qua

Phim Bộ Online

Phim Bộ
Dịch trang: English | Deutsch |
Français | Español | Italiano |
Português | Norsk | Nederlands |
Dansk | Suomi | Polski |
Čeština | Русский | 日本語 |
한국어 | 中文(简体) | 中文(繁體) |
Magyar | Türkçe | العربية |



PinaColada
R11 Tuyệt Thế Thiên Hạ
Release: 10-22-2025
Reputation: 137003


Profile:
Join Date: Oct 2013
Posts: 120,018
Last Update: None Rating: None
Attached Thumbnails
Click image for larger version

Name:	dau.jpg
Views:	0
Size:	146.2 KB
ID:	2584528  
PinaColada_is_offline
Thanks: 9
Thanked 7,880 Times in 7,009 Posts
Mentioned: 2 Post(s)
Tagged: 0 Thread(s)
Quoted: 23 Post(s)
Rep Power: 139
PinaColada Reputation Uy Tín Level 9PinaColada Reputation Uy Tín Level 9PinaColada Reputation Uy Tín Level 9PinaColada Reputation Uy Tín Level 9PinaColada Reputation Uy Tín Level 9
PinaColada Reputation Uy Tín Level 9PinaColada Reputation Uy Tín Level 9PinaColada Reputation Uy Tín Level 9PinaColada Reputation Uy Tín Level 9PinaColada Reputation Uy Tín Level 9PinaColada Reputation Uy Tín Level 9PinaColada Reputation Uy Tín Level 9PinaColada Reputation Uy Tín Level 9PinaColada Reputation Uy Tín Level 9PinaColada Reputation Uy Tín Level 9PinaColada Reputation Uy Tín Level 9PinaColada Reputation Uy Tín Level 9PinaColada Reputation Uy Tín Level 9PinaColada Reputation Uy Tín Level 9PinaColada Reputation Uy Tín Level 9PinaColada Reputation Uy Tín Level 9PinaColada Reputation Uy Tín Level 9PinaColada Reputation Uy Tín Level 9PinaColada Reputation Uy Tín Level 9PinaColada Reputation Uy Tín Level 9PinaColada Reputation Uy Tín Level 9PinaColada Reputation Uy Tín Level 9
Dịch trang: EnglishEnglish DeutschDeutsch FrançaisFrançais EspañolEspañol ItalianoItaliano PortuguêsPortuguês
NorskNorsk NederlandsNederlands DanskDansk SuomiSuomi PolskiPolski ČeštinaČeština РусскийРусский
日本語日本語 한국어한국어 中文(简体)中文(简体) 中文(繁體)中文(繁體) MagyarMagyar TürkçeTürkçe
العربيةالعربية ไทยไทย LatinaLatina हिन्दीहिन्दी Bahasa IndonesiaBahasa Indonesia Bahasa MelayuBahasa Melayu
Reply

User Tag List


Hậu Trump 2.0: chưa bắt đầu mà đã nóng, Dân Chủ trước ngã rẽ 2028: Newsom, Harris, AOC… ai sẽ cầm lái? Old Trafford lại thay thuyền trưởng: MU sa thải Ruben Amorim sau 14 tháng giông bão “200 người Mỹ giữa downtown Caracas”: Hegseth hé lộ quy mô chiến dịch bắt Maduro, Cuba chịu tổn thất nặng
Phiên tòa đầu tiên của Maduro: lớn tiếng, ghi chép liên tục, nói “bị bắt cóc” – vợ bị thương, xin gặp lãnh sự Từ Caracas tới phòng xử Manhattan: Maduro nói nhiều hơn câu hỏi, thẩm phán cảnh báo “đến lúc sẽ nói” Từ phòng xử New York tới Hội đồng Bảo an: Mỹ – Nga đấu khẩu, Maduro ra tòa bằng phiên dịch
“Cần Greenland” sau cú đánh Venezuela: Trump mở thêm mặt trận, châu Âu phản pháo Caracas nín thở: Delcy Rodríguez thay Maduro điều hành, Mỹ đẩy nhanh “chính phủ tạm” và bài toán dầu mỏ Sau Caracas, sóng gió lan khắp châu Mỹ: Trung Quốc đòi thả Maduro, Trump “nhắm” Colombia
“Khui lại” bô xít – đất hiếm sau Trung ương 15: chống sai phạm hay tái vẽ bản đồ quyền lực? 25 phong bì trong phòng làm việc: cú sốc “tiền mặt” và câu hỏi về chống tham nhũng kiểu gì? Khi đồng rial rơi tự do và dân bắt đầu “không sợ”: Iran bước vào chương bất ổn mới
Bị cáo vụ bom ống trước ngày 6/1 khai: “ai đó phải lên tiếng” vì tin bầu cử 2020 bị đánh cắp “Avatar: Fire and Ash” bùng nổ cuối năm: 760 triệu USD toàn cầu, kéo rạp chiếu sống lại mùa Giáng sinh Starbucks rút khỏi “cuộc chiến phủ kín thành phố”: đóng hàng trăm điểm ở New York, LA, Chicago
2025: Năm “phá sản hàng loạt” của bán lẻ Mỹ – Forever 21, Party City, Rite Aid lần lượt gãy gánh Cú đột nhập “đêm Giáng sinh” ở Đức: 3.200 tủ khóa bị phá, ước tính 30 triệu euro bốc hơi Vòng quay ngoại giao 2026: Kyiv bị thúc “chốt kèo” khi đạn vẫn bay
Đi Tesla “chôm” bưu kiện ở Irvine Kinh tế Nga gió ngược nhưng Putin chưa xuống thang California trước nguy cơ khát xăng
Ông Trump lạc đề Trước Trung ương 15 và Đại hội XIV Bóng đá lên hương, bụng dân vẫn lép
Người hùng trong vụ xả súng khủng bố ở Úc Biển Charlie Kirk Way dưới All American Way CPI rớt mạnh xuống 2,7%
Thời mafia lộng hành: Donald Trump và Vladimir Putin biến nền ngoại giao cổ điển trở thành chuyện làm ăn Sáu câu hỏi của thế hệ sau chiến tranh: Giải phóng ai, giải phóng khỏi điều gì? Báo động ngành nails: 5 người bị bắt, 2 tiệm niêm phong, chủ đối mặt án tù vì thuê người không giấy tờ
VinFast ở North Carolina đứng trước nguy cơ bị “thu hồi đất vàng”, Vingroup quay xe sang Ấn Độ với canh bạc 3 tỷ USD Bệnh khoe của và cơn nghiện “chứng tỏ mình” của người Việt thời mạng xã hội Khi Nhật Bản đứng trước cám dỗ hạt nhân: Bao lâu nữa Tokyo phải tự võ trang?
Sài Gòn “chập mạch” dễ thương: thành phố không thiếu tiền, chỉ dư tình người Zelensky tuyên bố sẵn sàng bầu cử giữa làn đạn, bác cáo buộc “trốn phiếu” của Trump Lời hứa muộn màng của người lính cũ
Khi doanh nghiệp Mỹ nổi loạn vì thuế quan Trump muốn học mô hình hưu trí “super” của Úc: Bắt buộc tiết kiệm cho tuổi già Từ cô thợ nails tị nạn đến chủ nhân căn nhà đắt nhất Atlanta
Thuế mới, phố vắng, chợ buồn: Nếu tiểu thương gục ngã, ai bán hàng cho 100 triệu dân? K+ khép lại sau 16 năm: Đế chế bóng đá trả tiền tàn cuộc chơi Người Vợ Lực Lượng Đặc Biệt – Hồi ức về Thiếu Tá Hồ Đăng Nhựt trong mùa Quốc Nạn
Viên tướng nhỏ thó gánh oan khiên Mậu Thân John Riordan – người Mỹ quay lại Sài Gòn để cứu 105 người Việt Evergrande: Từ đế chế số 1 đến quả bom nợ – Bài học nào cho Việt Nam?
Campuchia: Từ Thiên Đường Angkor Đến “Công Xưởng Tội Phạm” Của Mafia Trung Quốc Cuộc Xâm Lược Cuối Cùng Của Trung Quốc Và Trang Sử Bị Xóa Khỏi Ký Ức Việt Nam Vì Sao Số Nhà Ở Mỹ “Nhảy Cóc”? Giải Mã Từ House Number Đến ZIP Code
David Thái, Highlands Coffee Và Những Hành Trình “Đi Rồi Trở Về” Của Thuyền Nhân Việt Vì Sao Quân Đội Trung Quốc Không Đảo Chính? “Đảng Chỉ Huy Quân Đội” Và Nỗi Sợ Được Thể Chế Hóa Tâm Lý Vọng Ngoại Và Căn Bệnh “Bụt Nhà Không Thiêng”
Từ Giọt Nước Mắt Của Mẹ Đến Đế Chế Zara: Hành Trình Của Amancio Ortega “Tâm Hồn Nga” Và Cơn Say Đế Quốc: Từ Crimea Đến Putin “Bên kia vĩ tuyến” và lời tự thú của một Bắc Kỳ 1985
Hiệu ứng Elon Musk: Khi một CEO “tham chính” làm Tesla mất hơn một triệu chiếc xe Điện thoại – phát minh bắt đầu từ một lời gọi yêu thương Thứ trưởng Cao Hùng và nỗi buồn hòa hợp dân tộc: Không thể không nói
Mười phát minh vĩ đại của người Hồi giáo đã âm thầm làm nên thế giới hiện đại Bẻ gãy “chiến dịch” báng bổ tiền nhân: Lịch sử Việt Nam giữa hai cách kể Từ “janitor da đen” đến người cứu sống vạn “em bé xanh”
Cơn mê “phục sinh Liên Xô”: Hoang tưởng đế quốc trong kỷ nguyên mạng xã hội Trung Quốc có còn xã hội chủ nghĩa không – hay chỉ là tư bản thân hữu khoác áo đỏ? Kỷ nguyên Tô Lâm: Thiên tai, tham nhũng và những vết nứt dẫn tới sụp đổ
Đụng ICE ngoài đường: Vì sao những vụ “xe tông xe” đang thành kịch bản đáng sợ ở Mỹ? Mỹ “khóa cửa” drone Trung Quốc: Thế hệ DJI mới chính thức hết đường vào! Mỹ phá cơ sở mại dâm của Trung Cộng đội lốt dưới vỏ kinh doanh massage
Chuyện cười ra nước mắt, dân Hàn Quốc đòi hạ cờ Việt Cộng! vì nhầm là “hàng Tàu” +video Đêm Noel đổi đời: Powerball nổ $1,817 tỷ ở Arkansas, cả nước “rụng tim” theo dõi Đập kính giữa Bolsa: Một buổi chiều mưa, một chiếc xe đen và chiếc “thẻ xanh” bốc hơi
Tranh chấp tiền làm móng ở Georgia: nữ nhân viên bị cáo buộc “giữ” bé trai 8 tuổi để đòi tiền Ngọc Quyên đóng cửa công ty ở Mỹ sau 11 năm: “Đây không phải thất bại” Ông Minh Chính bơ phờ vật vã vì mất chức thủ tướng, thế lực Hưng Yên tước hết toàn bộ quyền lực
Rò Rỉ Nhân Sự Đại Hội 14: Cuộc Mặc Cả Quyền Lực Giữa Công An – Quân Đội? Yamaguchi-gumi Rầm Rộ Họp Cuối Năm: Xã Hội Đen Lớn Nhật Nhật Bản Vẫn Sống Khỏe Giữa Thời “Văn Minh” Công nghiệp đẻ thuê cho tài phiệt Trung Quốc: Khi hộ chiếu Mỹ bị biến thành món hàng
Mẹ Cường "đô la" nguy cơ lại bị bắt Từ hiện tượng "Trumpugee", làm như thế nào để đi ra khỏi nước Mỹ? Kinh tế Việt Cộng nát như tương, Khi Gánh Thuế Nặng Hơn Gánh Hàng: Tiểu Thương Vật Vã Giữa Chợ Vắng Và Dự Án Tỷ Đô
Nhiều "nhà giàu" đi BMW, Lexus, Mercedes bán rau ở Bolsa : Bãi Đậu Xe Hóa Chợ Đuôi Xe Trần Đồng Lan (Lana Condor) – Cô Bé Mồ Côi Cần Thơ Trở Thành Minh Tinh Hollywood Những chuyện hài hước nhất hôm nay
Tướng tình báo Venezuela tiết lộ mạng lưới ma túy – gián điệp cắm sâu vào nước Mỹ? 5 tiểu bang lạnh nhất nước Mỹ (trừ Alaska) – và những nơi mùa đông ‘dễ thở’ cho người Việt Đàm phán Miami: Trump sốt ruột tìm hòa bình, Putin ung dung chờ thắng chậm
Khi Trump tái khởi động ‘chiến tranh ma túy’: từ tàu ma túy bị bắn chìm đến nỗi mất ngủ ở Caracas Mỹ thời Trump: Trục xuất người Iran về ‘địa ngục’, rồi dùng drone Iran để đánh Iran Donald Trump và học thuyết mới: Mỹ không còn làm ‘cảnh sát toàn cầu’
GDP giảm 0,1% và những con người mất trắng 100% sau bão lũ Michael và Susan Dell donate 6,25 tỷ USD vào “Tài khoản Trump”: Kho báu cho trẻ em Mỹ hay chỉ là cú khuyến đẻ kể cho vui? Đường sắt cao tốc 61 tỷ USD và ‘doanh nhân xù nợ’ 30 triệu
Những chuyện hài hước nhất hôm nay Mailisa bất ngờ “đóng cửa” giữa bão điều tra: Đế chế làm đẹp nghìn tỷ khép lại MAGA Đen - MAGA Đỏ - Giấc mơ đế chế dữ liệu của Peter Thiel và giới trọc phú công nghệ
Ánh đèn hiên nhà trong đêm bão tuyết: câu chuyện Lễ Tạ Ơn kỳ diệu sau 41 năm Xả súng gần Nhà Trắng: Bi kịch Lễ Tạ Ơn và cuộc chơi chính trị của Trump với hồ sơ di dân Afghanistan Từ Frankenstein đến Game of Drones: Khi công nghệ biến chiến tranh thành cuộc hỗn loạn vĩnh viễn
Biển lửa Wang Fuk Court: 65 người chết, Hồng Kông choáng váng trước “thảm họa giàn giáo tre” Biển lửa Wang Fuk Court: Thảm họa người già Hồng Kông và cuộc điều tra “sự cứu thả chết người” Chết cháy hàng loạt tại Hồng Kông, các toà nhà biến thành địa ngục, hàng trăm người mất tích

 
Lên đầu Xuống dưới Lên 3000px Xuống 3000px

iPad Videos Portal Autoscroll

VietBF Music Portal Autoscroll

iPad News Portal Autoscroll

VietBF Homepage Autoscroll

VietBF Video Autoscroll Portal

USA News Autoscroll Portall

VietBF WORLD Autoscroll Portal

Home Classic

Super Widescreen

iPad World Portal Autoscroll

iPad USA Portal Autoscroll

Phim Bộ Online

Tin nóng nhất 24h qua

Tin nóng nhất 3 ngày qua

Tin nóng nhất 7 ngày qua

Tin nóng nhất 30 ngày qua

Albums

Total Videos Online
Lên đầu Xuống dưới Lên 3000px Xuống 3000px

Tranh luận sôi nổi nhất 7 ngày qua

Tranh luận sôi nổi nhất 14 ngày qua

Tranh luận sôi nổi nhất 30 ngày qua

10.000 Tin mới nhất

Tin tức Hoa Kỳ

Tin tức Công nghệ
Lên đầu Xuống dưới Lên 3000px Xuống 3000px

Super News

School Cooking Traveling Portal

Enter Portal

Series Shows and Movies Online

Home Classic Master Page

Donation Ủng hộ $3 cho VietBF
Lên đầu Xuống dưới Lên 3000px Xuống 3000px
Diễn Đàn Người Việt Hải Ngoại. Tự do ngôn luận, an toàn và uy tín. Vì một tương lai tươi đẹp cho các thế hệ Việt Nam hãy ghé thăm chúng tôi, hãy tâm sự với chúng tôi mỗi ngày, mỗi giờ và mỗi giây phút có thể. VietBF.Com Xin cám ơn các bạn, chúc tất cả các bạn vui vẻ và gặp nhiều may mắn.
Welcome to Vietnamese American Community, Vietnamese European, Canadian, Australian Forum, Vietnamese Overseas Forum. Freedom of speech, safety and prestige. For a beautiful future for Vietnamese generations, please visit us, talk to us every day, every hour and every moment possible. VietBF.Com Thank you all and good luck.

Lên đầu Xuống dưới Lên 3000px Xuống 3000px

All times are GMT. The time now is 18:53.
VietBF - Vietnamese Best Forum Copyright ©2005 - 2026
User Alert System provided by Advanced User Tagging (Pro) - vBulletin Mods & Addons Copyright © 2026 DragonByte Technologies Ltd.
Log Out Unregistered

Page generated in 0.11409 seconds with 15 queries