HOME-Au
HOME-Au
24h
24h
USA
USA
GOP
GOP
Phim Bộ
Phim Bộ
Videoauto
VIDEO-Au
Home Classic
Home Classic
Donation
Donation
News Book
News Book
News 50
News 50
worldautoscroll
WORLD-Au
Breaking
Breaking
 

Go Back   VietBF > World Box| Thế Giới > Vietnam News | Tin Việt Nam


Reply
 
Thread Tools
  #1  
Old  Default Ho và khó thở suốt 1 tháng, người phụ nữ bất ngờ khi biết lý do
Người phụ nữ 64 tuổi bị sụt cân, khó thở kéo dài. Nội soi phát hiện vô số chấm trắng li ti trong cơ thể, xác định là giun lươn.
Người phụ nữ 64 tuổi (Tiền Giang) có tiền sử đau xương khớp, tăng huyết áp, suy thượng thận. Khoảng một tháng gần đây, bà bị sụt cân, ho, khó thở kéo dài, điều trị tại địa phương không cải thiện nên đến Bệnh viện Nhân dân 115 (TP.HCM).

Xét nghiệm cho thấy bệnh nhân thiếu máu mức độ trung bình, tăng bạch cầu ái toan - dấu hiệu điển hình của nhiễm ký sinh trùng, cùng với viêm phổi dạng nốt lan tỏa hai phổi. Nội soi phế quản và dạ dày tá tràng phát hiện nhiều dị vật màu trắng xám, kiểm tra dưới kính hiển vi xác định là ấu trùng giun lươn.

Bệnh nhân được chẩn đoán nhiễm giun lươn nặng ở phổi và ruột trên cơ địa suy giảm miễn dịch. Sau điều trị bằng thuốc đặc hiệu, bà đã ổn định và được xuất viện.


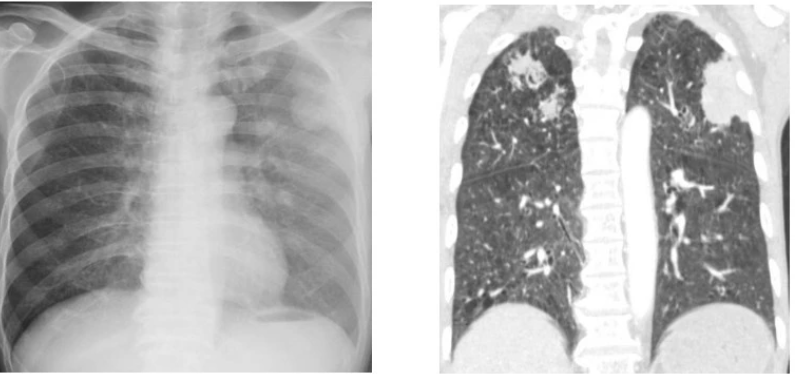
Tổn thương phổi hoại tử hai bên do nhiễm giun lươn. Ảnh: BVCC.
Trường hợp thứ hai là người đàn ông 69 tuổi (Tiền Giang), có tiền sử ung thư thanh quản, nhập viện tại Bệnh viện Nhân dân 115 do ăn kém, nôn ói, đau bụng, ho và khó thở kéo dài 10 ngày.

Tại khoa Hô hấp - Hồi sức tim mạch, kết quả chụp cắt lớp vi tính ngực và ổ bụng cho thấy hẹp môn vị nghi do ký sinh trùng và tổn thương phổi hoại tử hai bên. Xét nghiệm dịch rửa phế quản phát hiện ký sinh trùng, bệnh nhân được chẩn đoán nhiễm giun lươn nặng ở phổi và điều trị đặc hiệu theo phác đồ.


Cận cảnh giun lươn từ dịch rửa phế quản phổi người bệnh. Ảnh: BVCC.
Theo ThS.BS Đặng Nam Hải, khoa Hô hấp - Hồi sức tim mạch, nhiễm giun lươn là bệnh ký sinh trùng phổ biến ở khu vực nhiệt đới và cận nhiệt đới, trong đó có Việt Nam. Trên thế giới, khoảng 100-370 triệu người mắc bệnh và tại Việt Nam, tỷ lệ nhiễm có thể lên đến 20%.

Người bệnh có thể nhiễm giun lươn khi tiếp xúc với ấu trùng trong đất hoặc khi trứng giun nở trong ruột và tự sinh sôi. Không chỉ gây tổn thương đường tiêu hóa, ấu trùng còn có thể xâm nhập phổi và các cơ quan khác, dẫn đến biến chứng nguy hiểm, thậm chí đe dọa tính mạng.

Để giảm nguy cơ nhiễm giun lươn, giữ gìn vệ sinh cá nhân đóng vai trò quan trọng. ThS.BS Đặng Nam Hải khuyến cáo người dân rửa tay thường xuyên bằng xà phòng, đặc biệt trước khi ăn và sau khi tiếp xúc với đất cát.

Ngoài ra, thực phẩm cần được nấu chín kỹ, hạn chế ăn đồ sống hoặc tái để tránh nguy cơ nhiễm ký sinh trùng. Khi làm việc hoặc đi chân trần ở khu vực có đất cát ẩm, nên mang giày dép để tránh tiếp xúc trực tiếp với ấu trùng giun lươn.

Ngoài ra, nếu xuất hiện các triệu chứng nghi ngờ dưới đây, người bệnh cần đi khám sàng lọc sớm để phát hiện và điều trị kịp thời:

Rối loạn tiêu hóa: Đau bụng, nôn, biếng ăn, sụt cân.
Biểu hiện ngoài da: Ngứa, phát ban.
Biến chứng nặng: Viêm phổi, suy hô hấp, viêm não - màng não, suy gan, suy thận.
Đặc biệt, đối với người suy giảm miễn dịch, bệnh có thể diễn tiến nguy kịch, đe dọa tính mạng.

VietBF@ sưu tập
VIETBF Diễn Đàn Hay Nhất Của Người Việt Nam

HOT NEWS 24h

HOT 3 Days

NEWS 3 Days

HOT 7 Days

NEWS 7 Days

HOME

Breaking News

VietOversea

World News

Business News

Car News

Computer News

Game News

USA News

Mobile News

Music News

Movies News

History

Thơ Ca

Sport News

Stranger Stories

Comedy Stories

Cooking Chat

Nice Pictures

Fashion

School

Travelling

Funny Videos

Canada Tin Hay

USA Tin Hay

VietBF Homepage Autoscroll

VietBF Video Autoscroll Portal

Home Classic

Home Classic Master Page



pizza
R11 Tuyệt Thế Thiên Hạ
Release: 02-16-2025
Reputation: 237154


Profile:
Join Date: Sep 2014
Posts: 106,927
Last Update: None Rating: None
Attached Thumbnails
Click image for larger version

Name:	221.PNG
Views:	0
Size:	271.5 KB
ID:	2490835   Click image for larger version

Name:	222.PNG
Views:	0
Size:	174.4 KB
ID:	2490836  
pizza_is_offline
Thanks: 7
Thanked 8,106 Times in 7,216 Posts
Mentioned: 6 Post(s)
Tagged: 0 Thread(s)
Quoted: 41 Post(s)
Rep Power: 129
pizza Reputation Uy Tín Level 10pizza Reputation Uy Tín Level 10pizza Reputation Uy Tín Level 10pizza Reputation Uy Tín Level 10pizza Reputation Uy Tín Level 10pizza Reputation Uy Tín Level 10pizza Reputation Uy Tín Level 10
pizza Reputation Uy Tín Level 10pizza Reputation Uy Tín Level 10pizza Reputation Uy Tín Level 10pizza Reputation Uy Tín Level 10pizza Reputation Uy Tín Level 10pizza Reputation Uy Tín Level 10pizza Reputation Uy Tín Level 10pizza Reputation Uy Tín Level 10pizza Reputation Uy Tín Level 10pizza Reputation Uy Tín Level 10pizza Reputation Uy Tín Level 10pizza Reputation Uy Tín Level 10pizza Reputation Uy Tín Level 10pizza Reputation Uy Tín Level 10pizza Reputation Uy Tín Level 10pizza Reputation Uy Tín Level 10pizza Reputation Uy Tín Level 10pizza Reputation Uy Tín Level 10pizza Reputation Uy Tín Level 10pizza Reputation Uy Tín Level 10pizza Reputation Uy Tín Level 10pizza Reputation Uy Tín Level 10
Reply

User Tag List


Công dân Mỹ cũng có thể bị ICE bắt nhầm: ‘Xứ tự do’ và nỗi sợ gõ cửa lúc nửa đêm Khi CIA mù tịt, còn một tướng VNCH đã nhìn ra trước Kinh tế Trung Quốc kẹt giữa lạm phát và giảm phát
Hàng Tàu phá vây thuế quan, Trump khoe kinh tế A+++ và chiếc ví rỗng của người Mỹ Nguyễn Cao Kỳ, cái chết bất ngờ và bài học đắt giá về ‘hòa hợp hòa giải’ Trung Quốc siết cổ doanh nghiệp Việt: Cuộc xâm lược thương mại ngay trên sân nhà
Mỹ đuổi thẳng tay nếu chửi Mỹ trên Facebook Hòa bình mong manh cho Ukraine: Kế hoạch 20 điểm, sức ép từ Trump và bài toán bầu cử giữa làn đạn Fed cắt lãi suất lần thứ ba liên tiếp: Powell “phanh gấp”, túi tiền người Mỹ thay đổi ra sao?
IKEA khai trương cửa hàng đầu tiên ở New Zealand: Người Kiwi xếp hàng từ tờ mờ sáng Nước Mỹ không dung dưỡng kẻ vô ơn: Tị nạn, di dân và cơn giận của Donald Trump Dư âm Giáng Sinh Sài Gòn xưa: Từ mùa sao sáng đến thánh ca buồn
Lê Duẩn – Mao Trạch Đông và cái giá “lá chắn phương Nam” của Việt Nam Trung Quốc hủy 540.000 vé sang Nhật: Đòn răn đe hay cú “tự bắn vào chân”? Trump xóa bỏ tiêu chuẩn nhiên liệu thời Biden
Mỹ đã hiểu sai tham vọng của Đảng Cộng sản Trung Quốc và đánh giá thấp sự quyết liệt tàn nhẫn của họ Tị nạn, thẻ xanh, visa du học cùng bị “khóa cửa” Khi bia Mexico gặp búa trừng phạt di trú của Trump: Cú ngã đau của đế chế Modelo – Corona
Biển số 37.77: Thông điệp ngầm của Thủ tướng Nhật Takaichi Sanae gửi Bắc Kinh Quốc tịch Mỹ: Tường thành gần như tuyệt đối cho người nhập tịch Con gái Hà Nội, giọt nước dưới mặt lá
Những tay giang hồ miền Nam: huyền thoại, bóng tối và cái giá phải trả Huỳnh Điều – “anh lớp Ba” mà Cộng sản sợ cái miệng hơn sợ khẩu M.79 Tiếng súng 9 giờ sáng ở Florida và hành trình cuối của nữ deputy Terri Sweeting-Mashkow
“Giang sơn” nào được sắp xếp, và sắp xếp cho ai? Sau 40 tuổi, khuôn mặt là “bản lý lịch” của tâm hồn Siêu biệt phủ trăm tỷ của Chủ tịch phường Hải Phòng: “Đại Lộc Thiên tử” giữa làng nghèo
Từ vụ sạc 24 giờ ở Mỹ đến chết yểu ở Ấn Độ: VinFast và câu hỏi dành cho người Việt Khi chú Hòa xây nhà bình dân: những kiệt tác âm thầm giữa lòng Sài Gòn Việt Nam – Xứ sở của những người bị bắt phải học nghề đói
Mailisa bị bắt và ký ức đôi vợ chồng ăn chay đi chùa Đi Hàn, đi Nhật rồi nhìn lại Việt Nam: yêu nước đâu chỉ nói trên môi Nepal – Đất nước sống ở năm 2082 giữa trái tim Himalaya
Nicholas Winton – Người hùng thầm lặng cứu 669 đứa trẻ khỏi bóng đen Đức Quốc Xã Bi kịch giáo sư Yoshihiro Sato: khi dữ liệu đẹp đổi lấy danh dự và cái chết Sự ngu dốt của bọn có học – từ Nguyễn Huy Thiệp đến thời những lời nói lật ngược sự thật

 
Lên đầu Xuống dưới Lên 3000px Xuống 3000px

iPad Videos Portal Autoscroll

VietBF Music Portal Autoscroll

iPad News Portal Autoscroll

VietBF Homepage Autoscroll

VietBF Video Autoscroll Portal

USA News Autoscroll Portall

VietBF WORLD Autoscroll Portal

Home Classic

Super Widescreen

iPad World Portal Autoscroll

iPad USA Portal Autoscroll

Phim Bộ Online

Tin nóng nhất 24h qua

Tin nóng nhất 3 ngày qua

Tin nóng nhất 7 ngày qua

Tin nóng nhất 30 ngày qua

Albums

Total Videos Online
Lên đầu Xuống dưới Lên 3000px Xuống 3000px

Tranh luận sôi nổi nhất 7 ngày qua

Tranh luận sôi nổi nhất 14 ngày qua

Tranh luận sôi nổi nhất 30 ngày qua

10.000 Tin mới nhất

Tin tức Hoa Kỳ

Tin tức Công nghệ
Lên đầu Xuống dưới Lên 3000px Xuống 3000px

Super News

School Cooking Traveling Portal

Enter Portal

Series Shows and Movies Online

Home Classic Master Page

Donation Ủng hộ $3 cho VietBF
Lên đầu Xuống dưới Lên 3000px Xuống 3000px
Diễn Đàn Người Việt Hải Ngoại. Tự do ngôn luận, an toàn và uy tín. Vì một tương lai tươi đẹp cho các thế hệ Việt Nam hãy ghé thăm chúng tôi, hãy tâm sự với chúng tôi mỗi ngày, mỗi giờ và mỗi giây phút có thể. VietBF.Com Xin cám ơn các bạn, chúc tất cả các bạn vui vẻ và gặp nhiều may mắn.
Welcome to Vietnamese American Community, Vietnamese European, Canadian, Australian Forum, Vietnamese Overseas Forum. Freedom of speech, safety and prestige. For a beautiful future for Vietnamese generations, please visit us, talk to us every day, every hour and every moment possible. VietBF.Com Thank you all and good luck.

Lên đầu Xuống dưới Lên 3000px Xuống 3000px

All times are GMT. The time now is 23:20.
VietBF - Vietnamese Best Forum Copyright ©2005 - 2025
User Alert System provided by Advanced User Tagging (Pro) - vBulletin Mods & Addons Copyright © 2025 DragonByte Technologies Ltd.
Log Out Unregistered

Page generated in 0.10092 seconds with 13 queries