HOME-Au
HOME-Au
24h
24h
USA
USA
GOP
GOP
Phim Bộ
Phim Bộ
Videoauto
VIDEO-Au
Home Classic
Home Classic
Donation
Donation
News Book
News Book
News 50
News 50
worldautoscroll
WORLD-Au
Breaking
Breaking
 

Go Back   VietBF > World Box| Thế Giới > Vietnam News | Tin Việt Nam


Reply
 
Thread Tools
  #1  
Old  Default Bác sĩ cũng hốt hoảng với con cá đồ chơi 'bơi' trong thực quản khiến bệnh nhi nhập viện
Ngày 24/9, BS Lý Phạm Hoàng Vinh, khoa Tai Mũi Họng, Bệnh viện Nhi Đồng 1 TPHCM cho biết, tại đây vừa tiếp nhận và can thiệp cho một trường hợp bị hóc dị vật là con cá đồ chơi rất nguy hiểm.
Bệnh nhi là bé trai L.X.P. (4 tuổi, ngụ tại Tiền Giang) được gia đình đưa đến bệnh viện địa phương cấp cứu trong tình trạng khó thở, đau cổ, không thể ăn uống được. Người nhà cho biết, khoảng 5 giờ trước, bé đang chơi trò câu cá thì nuốt con cá đồ chơi.

Bệnh nhi nhanh chóng được chuyển lên Bệnh viện Nhi Đồng 1 với chẩn đoán hóc dị vật. Qua kiểm tra, bác sĩ phát hiện, dị vật có hình con cá với nhiều cạnh sắc nhọn đang nằm trong thực quản bệnh nhi. Sau hội chẩn, bệnh nhi đã được bác sĩ chỉ định nội soi lấy dị vật.


Hình ảnh con cá đồ chơi bị kẹt lại trong thực quản khiến bệnh nhi không thể ăn uống được

BS Hoàng Vinh cho biết, trong quá trình nội soi, hình ảnh trên camera cho thấy dị vật là con cá nhựa dài khoảng 2cm, có nguy cơ gây tổn thương thực quản của trẻ. Ê kíp nội soi đã gắp thành công dị vật ra ngoài. Bệnh nhi may mắn khi không bị tổn thương thực quản. Sau khi lấy được dị vật, sức khỏe của trẻ đang bình phục tốt.

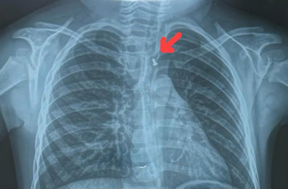
Cùng ngày, Bệnh viện Đa khoa Xuyên Á cho biết, tại đây cũng vừa tiếp nhận cấp cứu gắp dị vật là mảnh kim loại tròn, kích thước 17mm kẹt ở vùng hạ họng của bé trai T.P.T. (30 tháng tuổi, ngụ tại tỉnh Đồng Tháp). Trước đó, bệnh nhi đã ngậm mảnh kim loại trong miệng, khi chơi đùa đã vô thức nuốt dị vật, ngay lập tức trẻ rơi vào tình trạng khó thở, đau ở vùng họng, nôn ói.

Bằng phương pháp nội soi, các bác sĩ đã lấy thành công dị vật ra ngoài. Tuy nhiên, mảnh kim loại sắc nhọn đã gây tổn thương thực quản, phải tiếp tục theo dõi, điều trị để tránh nguy cơ biến chứng có thể xảy ra.


Dị vật là mảnh kim loại gây tổn thương thực quản cho bé trai 30 tháng tuổi

Tai nạn hóc sặc dị vật rất nguy hiểm nhưng thường xuyên xảy ra ở trẻ. Từ các trường hợp trên, bác sĩ cảnh báo, khi nuốt phải dị vật, trẻ có thể bị tắc nghẽn đường thở hoặc thực quản, nuốt đau, nuốt khó, không ăn uống được, nặng hơn sẽ dẫn tới nhiễm trùng tạo ổ mũ trong thực quản, nhiễm thủng thực quản, nhiễm trùng trung thất đe dọa tính mạng.

VietBF @ sưu tập
VIETBF Diễn Đàn Hay Nhất Của Người Việt Nam

HOT NEWS 24h

HOT 3 Days

NEWS 3 Days

HOT 7 Days

NEWS 7 Days

HOME

Breaking News

VietOversea

World News

Business News

Car News

Computer News

Game News

USA News

Mobile News

Music News

Movies News

History

Thơ Ca

Sport News

Stranger Stories

Comedy Stories

Cooking Chat

Nice Pictures

Fashion

School

Travelling

Funny Videos

Canada Tin Hay

USA Tin Hay

VietBF Homepage Autoscroll

VietBF Video Autoscroll Portal

Home Classic

Home Classic Master Page

VietBF iPad Music Portal

Tin nóng nhất 50h qua

Phim Bộ Online

Phim Bộ



PinaColada
R11 Tuyệt Thế Thiên Hạ
Release: 09-24-2024
Reputation: 136985


Profile:
Join Date: Oct 2013
Posts: 119,445
Last Update: None Rating: None
Attached Thumbnails
Click image for larger version

Name:	271.jpg
Views:	0
Size:	53.4 KB
ID:	2432009   Click image for larger version

Name:	272.jpg
Views:	0
Size:	99.0 KB
ID:	2432010  
PinaColada_is_offline
Thanks: 9
Thanked 7,871 Times in 7,000 Posts
Mentioned: 2 Post(s)
Tagged: 0 Thread(s)
Quoted: 23 Post(s)
Rep Power: 138
PinaColada Reputation Uy Tín Level 9PinaColada Reputation Uy Tín Level 9PinaColada Reputation Uy Tín Level 9PinaColada Reputation Uy Tín Level 9PinaColada Reputation Uy Tín Level 9
PinaColada Reputation Uy Tín Level 9PinaColada Reputation Uy Tín Level 9PinaColada Reputation Uy Tín Level 9PinaColada Reputation Uy Tín Level 9PinaColada Reputation Uy Tín Level 9PinaColada Reputation Uy Tín Level 9PinaColada Reputation Uy Tín Level 9PinaColada Reputation Uy Tín Level 9PinaColada Reputation Uy Tín Level 9PinaColada Reputation Uy Tín Level 9PinaColada Reputation Uy Tín Level 9PinaColada Reputation Uy Tín Level 9PinaColada Reputation Uy Tín Level 9PinaColada Reputation Uy Tín Level 9PinaColada Reputation Uy Tín Level 9PinaColada Reputation Uy Tín Level 9PinaColada Reputation Uy Tín Level 9PinaColada Reputation Uy Tín Level 9PinaColada Reputation Uy Tín Level 9PinaColada Reputation Uy Tín Level 9PinaColada Reputation Uy Tín Level 9
Reply

User Tag List


Thêm một sĩ quan trẻ gốc Việt qua đời, nguyên nhân không như tin đồn “tào lao, tự tử” trên Facebook Tịch thu và bắt hàng loạt lãnh đạo công ty nhà Cường “đô la” Peter Arnett qua đời: tiếng nói độc lập từ chiến trường Việt Nam đến Baghdad
Cuộc chiến giành Warner & CNN: tiền mặt, thế lực, và bóng dáng Nhà Trắng Sự thật khó nghe: Trung Quốc giàu lên nhanh nhất khi .... Ngoại trưởng Nga thú nhận: Mỹ đã hứa trao lãnh thổ Ukraine cho Moscow
Chánh Văn phòng Tòa Bạch Ốc gây cú sốc về ông Trump trong cuộc phỏng vấn với Vanity Fair Thuế quan thổi ngược chiều: việc làm tay chân co lại, và “nhiệt” chính trị hạ dần Một dòng “sông” trong biển lệch nhịp: vì sao mặt biển Nhật Bản đang phình lên – và nghề cá lao đao
Khủng hoảng “affordability” ở Mỹ Trump mở cửa chip H200 cho Trung Quốc và cuộc chiến giành “quyền viết luật” cho trí tuệ nhân tạo Google và giấc mơ thay thế smartphone bằng cặp kính AI
Trump, Netflix và Paramount: Cuộc chiến thâu tóm Warner Bros. biến Hollywood thành bàn cờ chính trị Trung Quốc bứt tốc xuất khẩu, nông dân Mỹ sống bằng trợ cấp VN: Sợ áp lực mỗi khi ra tòa, Hoa hậu Thùy Tiên chấp nhận bản án 2 năm tù
Lại to tiếng: Ông Trump nói nữ ký giả của CNN là "ngu ngốc và độc ác" Zelensky chạy đua ngoại giao: London, Brussels, Rome và cái bóng hòa kế của Trump New Orleans trong vòng vây ICE: Chiến dịch “Catahoula Crunch” và nỗi lo của người Việt
“Huyền thoại ‘Trung Quốc là Singapore phóng đại’ đang sụp đổ như thế nào?” Trung Tá Nhảy Dù Bùi Quyền: Từ thủ khoa Võ Bị đến chiếc ghế trống sau 60 năm gặp lại Làm gì có “giải phóng” mà tôn vinh “chiến sĩ giải phóng”?
Cuba cá đầy biển, ngư dân vẫn đói: Khi thiên nhiên hào phóng nhưng thể chế “thắt nút cổ chai” Quận Cam: Người già gốc Việt sống trong nhà tiền chế, run rẩy trước mỗi lá thư cảnh cáo Doanh nghiệp châu Âu lặng lẽ tháo chạy khỏi Trung Quốc, nguyên nhân?
Năm tiếng trong Điện Kremlin: Hòa bình Ukraine đang đến gần? Một tổng thống lim dim, một thế giới nín thở Trump, Venezuela và cơn bão “tội ác chiến tranh” ở Washington
5 bí mật trên buồng lái mà phi công hiếm khi kể cho hành khách Đồng chí 3 X và chiếc bình xịt gây tê Hồi ký Trịnh Xuân Thanh và thương vụ 50 triệu đô đưa Nguyễn Cao Kỳ về nước
Vì sao Việt Nam vẫn vắng bóng Nobel Văn học? Khi sự thật bị nhào nặn: Nga, Trung Quốc và cuộc chiến bẻ cong hình ảnh dân chủ ‘Đổ bộ lên mặt trời ban đêm’ – khi ngu dốt ngồi lên ngai quyền lực
Xuất khẩu lao động – khi một quốc gia đóng gói tương lai của mình gửi ra nước ngoài Vụ kiện chất độc da cam – khi cộng sản Việt Nam tự làm nhục mình trước thế giới Nhiều người hỏi mình: “Qua Mỹ trễ vậy có hối hận không?”
Lũ quét miền Trung, Khánh Hoà, Nha Trang, “kỷ lục của kỷ lục” +video 12 ngày trên đất Mỹ: Những điều mắt thấy tai nghe của một bà mẹ Việt Khi ‘cái tôi’ phình to hơn thực tài của người Việt Cộng
Bài học nhớ đời khi lao vào bán hàng Amazon theo trend Pokémon Nghỉ hưu ở Texas: Thiên đường mới sau ‘giấc mơ California Nơi sóng radio chết lặng và những chuyện không thể giải thích
Bà Ngô Đình Nhu trên tầng 11 Paris: từ ánh đèn Dinh Độc Lập đến căn hộ cô quạnh “Đánh từ sẵn”: một đêm gõ cửa và cả đời bất an của chú Ba Lợi Người thầy tội nghiệp và nỗi đau hai chữ “lưu dung”

 
Lên đầu Xuống dưới Lên 3000px Xuống 3000px

iPad Videos Portal Autoscroll

VietBF Music Portal Autoscroll

iPad News Portal Autoscroll

VietBF Homepage Autoscroll

VietBF Video Autoscroll Portal

USA News Autoscroll Portall

VietBF WORLD Autoscroll Portal

Home Classic

Super Widescreen

iPad World Portal Autoscroll

iPad USA Portal Autoscroll

Phim Bộ Online

Tin nóng nhất 24h qua

Tin nóng nhất 3 ngày qua

Tin nóng nhất 7 ngày qua

Tin nóng nhất 30 ngày qua

Albums

Total Videos Online
Lên đầu Xuống dưới Lên 3000px Xuống 3000px

Tranh luận sôi nổi nhất 7 ngày qua

Tranh luận sôi nổi nhất 14 ngày qua

Tranh luận sôi nổi nhất 30 ngày qua

10.000 Tin mới nhất

Tin tức Hoa Kỳ

Tin tức Công nghệ
Lên đầu Xuống dưới Lên 3000px Xuống 3000px

Super News

School Cooking Traveling Portal

Enter Portal

Series Shows and Movies Online

Home Classic Master Page

Donation Ủng hộ $3 cho VietBF
Lên đầu Xuống dưới Lên 3000px Xuống 3000px
Diễn Đàn Người Việt Hải Ngoại. Tự do ngôn luận, an toàn và uy tín. Vì một tương lai tươi đẹp cho các thế hệ Việt Nam hãy ghé thăm chúng tôi, hãy tâm sự với chúng tôi mỗi ngày, mỗi giờ và mỗi giây phút có thể. VietBF.Com Xin cám ơn các bạn, chúc tất cả các bạn vui vẻ và gặp nhiều may mắn.
Welcome to Vietnamese American Community, Vietnamese European, Canadian, Australian Forum, Vietnamese Overseas Forum. Freedom of speech, safety and prestige. For a beautiful future for Vietnamese generations, please visit us, talk to us every day, every hour and every moment possible. VietBF.Com Thank you all and good luck.

Lên đầu Xuống dưới Lên 3000px Xuống 3000px

All times are GMT. The time now is 16:12.
VietBF - Vietnamese Best Forum Copyright ©2005 - 2025
User Alert System provided by Advanced User Tagging (Pro) - vBulletin Mods & Addons Copyright © 2025 DragonByte Technologies Ltd.
Log Out Unregistered

Page generated in 0.11437 seconds with 13 queries