HOME-Au
HOME-Au
24h
24h
USA
USA
GOP
GOP
Phim Bộ
Phim Bộ
Videoauto
VIDEO-Au
Donation
Donation
News Book
News Book
News 50
News 50
worldautoscroll
WORLD-Au
Breaking
Breaking
 

Go Back   VietBF > Others (Closed Forums) > Archive - Old Report News (closed)

 
Thread Tools
 
 
  #1  
Old  Talking Phát ngất với những đồ vật nằm trong cơ thể người
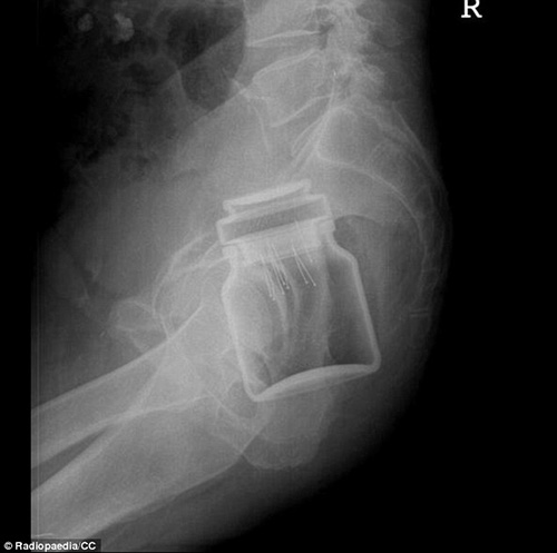
VBF- Đây là các hình ảnh được cung câp bởi các bã sĩ trong bệnh viện. Các bênh nhân sau khi để lọt các đồ vật vào người đã phải đi cấp cứu tại bệnh viện và đã được chụp X-quang để xác định đồ vật đó.Đó thường là những "vật dụng bất bình thường" được các bác sĩ khắp thế giới tìm thấy bên trong trực tràng của các bệnh nhân và chia sẻ trên trang Radiopaedia, một website giáo dục và thảo luận do các sinh viên X-quang thành lập từ năm 2005. Hình ảnh X-quang được chia sẻ trên website là vật mẫu cho việc nghiên cứu hợp tác và là giáo cụ trực quan trong giảng dạy ngành học quang quyến (môn học X-quang), hoặc dùng làm tài liệu cho các bảo tàng, đồng thời là những ví dụ giúp mọi người cảnh giác. hiếc chày trong trực tràng người đàn ông 40 tuổi được "khổ chủ" giải thích khi nấu món ăn Malaysia đã bị trượt vào trong??? Một chai đựng cà phê với những chiếc ghim gắm vào lớp cao su phía dưới nắp được bệnh nhân đưa vào trong cơ thể. Một tuýp đựng vitamin được đưa vào trong trực tràng. Thậm chí một chiếc chai cũng nằm trong danh sách bộ sưu tập các bác sĩ X-quang thu thập được. Dụng cụ rung được đưa vào qua đường hậu môn. tm tm
Dịch trang: EnglishEnglish DeutschDeutsch FrançaisFrançais EspañolEspañol ItalianoItaliano PortuguêsPortuguês
NorskNorsk NederlandsNederlands DanskDansk SuomiSuomi PolskiPolski ČeštinaČeština РусскийРусский
日本語日本語 한국어한국어 中文(简体)中文(简体) 中文(繁體)中文(繁體) MagyarMagyar TürkçeTürkçe
العربيةالعربية ไทยไทย LatinaLatina हिन्दीहिन्दी Bahasa IndonesiaBahasa Indonesia Bahasa MelayuBahasa Melayu
VIETBF Hybrid Community Content Hub

HOT NEWS 24h

HOT 3 Days

NEWS 3 Days

HOT 7 Days

NEWS 7 Days

HOME

Breaking News

VietOversea

World News

Business News

Car News

Computer News

Game News

USA News

Mobile News

Music News

Movies News

History

Thơ Ca

Sport News

Stranger Stories

Comedy Stories

Cooking Chat

Nice Pictures

Fashion

School

Travelling

Funny Videos

Canada Tin Hay

USA Tin Hay

VietBF Homepage Autoscroll

VietBF Video Autoscroll Portal

Video Classic Master

iPad News Portal

VietBF iPad Music Portal

Tin nóng nhất 50h qua

Phim Bộ Online

iMusic Pro Max



Romano
R11 Tuyệt Thế Thiên Hạ
Release: 02-22-2015
Reputation: 344669


Profile:
Join Date: May 2007
Posts: 140,600
Last Update: None Rating: None
Attached Thumbnails
Click image for larger version

Name:	1.jpg
Views:	0
Size:	42.7 KB
ID:	744269   Click image for larger version

Name:	2.jpg
Views:	0
Size:	39.2 KB
ID:	744270   Click image for larger version

Name:	3.jpg
Views:	0
Size:	47.5 KB
ID:	744271  

Click image for larger version

Name:	4.jpg
Views:	0
Size:	49.5 KB
ID:	744272   Click image for larger version

Name:	5.jpg
Views:	0
Size:	59.5 KB
ID:	744273  
Romano_is_offline
Thanks: 9
Thanked 6,621 Times in 5,566 Posts
Mentioned: 3 Post(s)
Tagged: 0 Thread(s)
Quoted: 38 Post(s)
Rep Power: 176
Romano Reputation Uy Tín Level 10Romano Reputation Uy Tín Level 10Romano Reputation Uy Tín Level 10Romano Reputation Uy Tín Level 10Romano Reputation Uy Tín Level 10Romano Reputation Uy Tín Level 10
Romano Reputation Uy Tín Level 10Romano Reputation Uy Tín Level 10Romano Reputation Uy Tín Level 10Romano Reputation Uy Tín Level 10Romano Reputation Uy Tín Level 10Romano Reputation Uy Tín Level 10Romano Reputation Uy Tín Level 10Romano Reputation Uy Tín Level 10Romano Reputation Uy Tín Level 10Romano Reputation Uy Tín Level 10Romano Reputation Uy Tín Level 10Romano Reputation Uy Tín Level 10Romano Reputation Uy Tín Level 10Romano Reputation Uy Tín Level 10Romano Reputation Uy Tín Level 10Romano Reputation Uy Tín Level 10Romano Reputation Uy Tín Level 10Romano Reputation Uy Tín Level 10
Dịch trang: EnglishEnglish DeutschDeutsch FrançaisFrançais EspañolEspañol ItalianoItaliano PortuguêsPortuguês
NorskNorsk NederlandsNederlands DanskDansk SuomiSuomi PolskiPolski ČeštinaČeština РусскийРусский
日本語日本語 한국어한국어 中文(简体)中文(简体) 中文(繁體)中文(繁體) MagyarMagyar TürkçeTürkçe
العربيةالعربية ไทยไทย LatinaLatina हिन्दीहिन्दी Bahasa IndonesiaBahasa Indonesia Bahasa MelayuBahasa Melayu
 
User Tag List


Hungary sau cơn địa chấn chính trị: Khi “cỗ máy tuyên truyền” sụp đổ và một thực tại mới bắt đầu Thế giới bên bờ vực: Khi tiếng chuông hòa bình của Giáo hoàng đối diện với khói lửa chiến tranh và vũng lầy dầu mỏ "Luật chơi mới" tại Hormuz: Iran ưu tiên tàu nộp tiền
Hỗn Loạn Trung Đông: Lính Pháp Tử Nạn Tại Lebanon, Eo Biển Hormuz "Đóng - Mở" Trong Chớp Mắt Dưới Áp Lực Từ Trump Trump dọa ném bom trở lại Iran nếu đàm phán đổ vỡ: Trung Đông đứng trước ngưỡng cửa "Hợp đồng Thế kỷ" Chảo lửa Trung Đông hạ nhiệt: Mỹ - Iran bên bờ vực thỏa thuận "vàng đen" và những quân bài ngửa trên eo biển Hormuz
Eo biển Hormuz mở cửa: Giá dầu lao dốc, chứng khoán Mỹ bùng nổ giữa hy vọng hòa bình mong manh TRUMP - KHAMENEI VÀ 72 TIÊN NỮ Videos (có thể download) và những chuyện hài ngày hôm nay Rộ tin đồn Phó Thủ Tướng bị thanh trừng
Phòng Khiêu Vũ 400 Triệu USD và Cuộc Đụng Độ Quyền Lực: Tòa Án Chặn Kế Hoạch Của Ông Trump Tại Nhà Trắng Mỹ im lặng trước vụ “máy bay mắt thần” bị phá hủy: Sự thật hay chiến tranh thông tin? Iran tiết lộ bức ảnh Giáo Chủ Ali Khamenei trước khi chết: Bức ảnh gây chấn động và câu chuyện về một đời sống giản dị
Ông Trump quyết tước quốc tịch 5 triệu trẻ em Biểu tình chống "Vua" Trump trên toàn nước Mỹ Đàn em Iran tổng tấn công Mỹ, khoá eo biển Bab al-Mandab, Hồng Hải cũng rung chuyển – Thế giới đứng trước cú sốc dầu mỏ chưa từng có
Siêu tàu sân bay Mỹ USS Gerald R. Ford cập cảng Croatia sau sự cố cháy giữa chiến trường Trung Đông Những chuyện hài hước nhất hôm nay Cuba “quay về quá khứ”: Khi xe ngựa thay thế ô tô giữa cơn khát xăng dầu
Mỹ có khả năng điều động thêm hàng không mẫu hạm đánh Iran Tín hiệu rối loạn từ thượng tầng Iran sau cái chết của Khamenei Trùm dư luận viên Trần Nhật Quang và cái kết đắng: Khi chiếc loa tuyên truyền bị… vỡ loa
Chiến sự Trung Đông ngày 7/3/2026: Trump dọa giáng đòn “rất nặng”, Iran xin lỗi các nước vùng Vịnh nhưng hỏa tiễn vẫn nổ, chiến tranh lan rộng Hòa Minzy: sinh con với Việt kiều Úc, vướng tin đồn cầu thủ, nay công khai yêu đại úy quân đội Kasim Hoàng Vũ: Một giọng ca ra đi giữa bão tin đồn và những ngày đau đớn nơi xứ người
Tình hình mới nhất: Israel mở đợt không kích lớn bằng hơn 80 chiến đấu cơ, Sân bay Mehrabad ở Tehran bốc cháy Tình hình mới nhất: Putin gọi cho Tổng thống Iran, chiến sự lan rộng khắp Trung Đông: dầu tăng sốc, Lebanon rung chuyển, Mỹ tăng tốc sản xuất Cập nhật tình hình mới nhất: Hàng không Trung Đông tê liệt vì chiến tranh Iran: hành trình tháo chạy qua Riyadh

 

iPad Videos Portal Autoscroll

VietBF Music Portal Autoscroll

iPad News Portal Autoscroll

VietBF Homepage Autoscroll

VietBF Video Autoscroll Portal

USA News Autoscroll Portall

VietBF WORLD Autoscroll Portal

Video Classic Master Page

Super Widescreen

iPad World Portal Autoscroll

iPad USA Portal Autoscroll

Phim Bộ Online
Lên đầu Xuống dưới Lên 3000px Xuống 3000px

Tin nóng nhất 24h qua

Tin nóng nhất 3 ngày qua

Tin nóng nhất 7 ngày qua

Tin nóng nhất 30 ngày qua

Albums

Total Videos Online

Tranh luận sôi nổi nhất 7 ngày qua

Tranh luận sôi nổi nhất 14 ngày qua

Tranh luận sôi nổi nhất 30 ngày qua

10.000 Tin mới nhất

Tin tức Hoa Kỳ

Tin tức Công nghệ
Lên đầu Xuống dưới Lên 3000px Xuống 3000px

Duo Series Movies Portal

Duo Music Portal

Phim Bộ

Tỷ Giá

Thời Tiết

Tin Nóng Nhất 50h

Super News

School Cooking Traveling Portal

Enter Portal

Series Shows and Movies Online

Home Classic Master Page

Donation Ủng hộ $3 cho VietBF
Lên đầu Xuống dưới Lên 3000px Xuống 3000px
Diễn Đàn Người Việt Hải Ngoại. Tự do ngôn luận, an toàn và uy tín. Vì một tương lai tươi đẹp cho các thế hệ Việt Nam hãy ghé thăm chúng tôi, hãy tâm sự với chúng tôi mỗi ngày, mỗi giờ và mỗi giây phút có thể. VietBF.Com Xin cám ơn các bạn, chúc tất cả các bạn vui vẻ và gặp nhiều may mắn.
Welcome to Vietnamese American Community, Vietnamese European, Canadian, Australian Forum, Vietnamese Overseas Forum. Freedom of speech, safety and prestige. For a beautiful future for Vietnamese generations, please visit us, talk to us every day, every hour and every moment possible. VietBF.Com Thank you all and good luck.

Lên đầu Xuống dưới Lên 3000px Xuống 3000px

All times are GMT. The time now is 12:01.
VietBF - Vietnamese Best Forum Copyright ©2005 - 2026
User Alert System provided by Advanced User Tagging (Pro) - vBulletin Mods & Addons Copyright © 2026 DragonByte Technologies Ltd.
Log Out Unregistered

Page generated in 0.09673 seconds with 13 queries