HOME-Au
HOME-Au
24h
24h
USA
USA
GOP
GOP
Phim Bộ
Phim Bộ
Videoauto
VIDEO-Au
Home Classic
Home Classic
Donation
Donation
News Book
News Book
News 50
News 50
worldautoscroll
WORLD-Au
Breaking
Breaking
 

Go Back   VietBF > Other News|Tin Khác > School | Kiến thức > School | Kiến thức 2006-2019


 
 
Thread Tools
  #1  
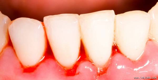
Old  Default Chảy máu chân răng và cách trị dứt điểm
Có rất nhiều nguyên nhân gây ra chảy máu chân răng bạn không được coi thường. Chảy máu chân răng còn gây ra hôi miệng. Bạn có thể tự điều trị căn bệnh này tại nhà mà không cần dùng đến thuốc tây đâu nha.





Chảy máu chân răng tự nhiên và chảy máu khi đánh răng, lợi không săn chắc, quầng đen dưới chân răng, dưới lợi) là biểu hiện của tình trạng viêm lợi.

Nguyên nhân là do cao răng, thiếu vitamin C, nội tiết, thuốc... trong đó nguyên nhân thường gặp nhất là do cao răng, đặc biệt cao răng nằm dưới lợi thường có màu đen do quá trình lắng đọng hemoglobin mỗi khi chảy máu lợi và làm cho tình trạng viêm lợi nặng hơn.

Chảy máu chân răng và cách phòng ngừa

Đánh răng đúng cách giúp ngăn ngừa chảy máu chân răng

Sử dụng bàn chải lông mềm, khi các sợi nylon của bàn chải có dấu hiệu lão hóa (các sợi bàn chải bị cong, hướng đổ ra xung quanh, hoặc các sợi bàn chải đã mất hết màu), phải thay bàn chải ngay. Các chuyên gia nha khoa khuyên mọi người nên thay bàn chải 3 tháng một lần. Tuyệt đối không nên tiết kiệm mà sử dụng bàn chải quá lâu.

Đánh răng nhẹ nhàng, quá trình đánh răng phải kéo dài ít nhất là 3 phút. Trong đó, chỉ dùng lực vừa phải, không chà răng quá mạnh gây chảy máu chân răng. Tuyệt đối không được chà răng theo chiều ngang vì sẽ dẫn đến nguy cơ làm tụt nướu. Chà răng theo chiều dọc, từ trên xuống dưới cho hàm trên và từ dưới lên trên cho hàm dưới. Chỉ chà ngang đối với mặt nhai. Sau đó, súc sạch miệng với nước.
Một người đánh răng đúng cách, chỉ cần ngày đánh răng 2 lần sáng – tối là đủ. Ngược lại, nếu đánh răng một ngày đến 4 -5 lần mà không đúng cách thì chỉ làm răng bị hư hại mà thôi.

Sử dụng nước súc miệng ngăn ngừa mảng bám, đẩy lùi chảy máu chân răng

Đây là loại dung dịch thuốc súc miệng được dùng để súc miệng nhằm giúp cho miệng sạch hơn, giảm dần triệu chứng chảy máu chân răng. Dung dịch súc miệng có chất kháng khuẩn và thành phần kháng mảng bám giúp diệt vi khuẩn, do đó ngăn ngừa mảng bám, chảy máu chân răng, viêm nướu và tránh hôi miệng. Có rất nhiều loại nước súc miệng khác nhau và cũng có tác dụng phòng ngừa sâu răng. Nước súc miệng có Fluor có thể giúp phòng tránh chảy máu chân răng và ngăn ngừa sâu răng.

Để nước súc miệng phát huy tác dụng tốt nhất, mỗi lần súc miệng tối đa khoảng 30 giây. Nếu ngậm quá thì thời gian trên chất cồn trong nước súc miệng sẽ làm cho khoang miệng bị khô. Lưu ý không được nuốt nước súc miệng và chỉ nên dùng nước súc miệng có chứa florua 1 lần/ngày. Không nên cho trẻ nhỏ dùng nước súc miệng của người lớn. Đặc biệt nếu bạn đang mang thai hoặc đang trong giai đoạn cho con bú thì không nên dùng nước súc miệng.

Bí quyết hay

- Lấy hạt tiêu đen và lá húng quế (với lượng bằng nhau) sau đó xay ra và để vào chỗ lợi đau, nó có tác dụng giảm đau và nhanh lành vết thương.

- Có thể dùng 1 quả chanh với 2 gram tỏi mỗi ngày giúp cho tăng cường vitamin C để ngăn chặn chứng chảy máu chân răng.

- Không sử dụng thuốc lá vì gây viêm nướu và làm thay đổi cách chuyển hóa vitamin C của cơ thể…

Bên cạnh đó bạn nên sử dụng nước muối để súc miệng hàng ngày. Nước muối là một trong những loại thuốc cực tốt trong vấn đề vệ sinh vết thương, làm sạch da. Mẹo chữa hôi miệng bằng muối khá đơn giản, bạn hãy pha muối với nước (pha loãng) dùng nước muối này súc miệng hàng ngày sau mỗi bữa ăn, 3 lần/ngày. Tinh chất muối sẽ sát trùng khử mảng bám và mùi hôi miệng rất tốt giúp bạn có được hơi thở thom tho tươi mát.

Therealtz © VietBF
VIETBF Diễn Đàn Hay Nhất Của Người Việt Nam

HOT NEWS 24h

HOT 3 Days

NEWS 3 Days

HOT 7 Days

NEWS 7 Days

HOME

Breaking News

VietOversea

World News

Business News

Car News

Computer News

Game News

USA News

Mobile News

Music News

Movies News

History

Thơ Ca

Sport News

Stranger Stories

Comedy Stories

Cooking Chat

Nice Pictures

Fashion

School

Travelling

Funny Videos

Canada Tin Hay

USA Tin Hay

VietBF Homepage Autoscroll

VietBF Video Autoscroll Portal

Home Classic

Home Classic Master Page



therealrtz
R10 Vô Địch Thiên Hạ
Release: 08-04-2016
Reputation: 234468


Profile:
Join Date: Nov 2014
Posts: 91,175
Last Update: None Rating: None
Attached Thumbnails
Click image for larger version

Name:	5.jpg
Views:	0
Size:	16.1 KB
ID:	919036  
therealrtz_is_offline
Thanks: 28
Thanked 6,714 Times in 5,983 Posts
Mentioned: 4 Post(s)
Tagged: 0 Thread(s)
Quoted: 34 Post(s)
Rep Power: 114
therealrtz Reputation Uy Tín Level 10therealrtz Reputation Uy Tín Level 10therealrtz Reputation Uy Tín Level 10therealrtz Reputation Uy Tín Level 10therealrtz Reputation Uy Tín Level 10therealrtz Reputation Uy Tín Level 10therealrtz Reputation Uy Tín Level 10
therealrtz Reputation Uy Tín Level 10therealrtz Reputation Uy Tín Level 10therealrtz Reputation Uy Tín Level 10therealrtz Reputation Uy Tín Level 10therealrtz Reputation Uy Tín Level 10therealrtz Reputation Uy Tín Level 10therealrtz Reputation Uy Tín Level 10therealrtz Reputation Uy Tín Level 10therealrtz Reputation Uy Tín Level 10therealrtz Reputation Uy Tín Level 10therealrtz Reputation Uy Tín Level 10therealrtz Reputation Uy Tín Level 10therealrtz Reputation Uy Tín Level 10therealrtz Reputation Uy Tín Level 10therealrtz Reputation Uy Tín Level 10therealrtz Reputation Uy Tín Level 10therealrtz Reputation Uy Tín Level 10
 
User Tag List


IKEA khai trương cửa hàng đầu tiên ở New Zealand: Người Kiwi xếp hàng từ tờ mờ sáng Nước Mỹ không dung dưỡng kẻ vô ơn: Tị nạn, di dân và cơn giận của Donald Trump Dư âm Giáng Sinh Sài Gòn xưa: Từ mùa sao sáng đến thánh ca buồn
Lê Duẩn – Mao Trạch Đông và cái giá “lá chắn phương Nam” của Việt Nam Trung Quốc hủy 540.000 vé sang Nhật: Đòn răn đe hay cú “tự bắn vào chân”? Trump xóa bỏ tiêu chuẩn nhiên liệu thời Biden
Mỹ đã hiểu sai tham vọng của Đảng Cộng sản Trung Quốc và đánh giá thấp sự quyết liệt tàn nhẫn của họ Tị nạn, thẻ xanh, visa du học cùng bị “khóa cửa” Khi bia Mexico gặp búa trừng phạt di trú của Trump: Cú ngã đau của đế chế Modelo – Corona
Biển số 37.77: Thông điệp ngầm của Thủ tướng Nhật Takaichi Sanae gửi Bắc Kinh Quốc tịch Mỹ: Tường thành gần như tuyệt đối cho người nhập tịch Con gái Hà Nội, giọt nước dưới mặt lá
Những tay giang hồ miền Nam: huyền thoại, bóng tối và cái giá phải trả Huỳnh Điều – “anh lớp Ba” mà Cộng sản sợ cái miệng hơn sợ khẩu M.79 Tiếng súng 9 giờ sáng ở Florida và hành trình cuối của nữ deputy Terri Sweeting-Mashkow
“Giang sơn” nào được sắp xếp, và sắp xếp cho ai? Sau 40 tuổi, khuôn mặt là “bản lý lịch” của tâm hồn Siêu biệt phủ trăm tỷ của Chủ tịch phường Hải Phòng: “Đại Lộc Thiên tử” giữa làng nghèo
Từ vụ sạc 24 giờ ở Mỹ đến chết yểu ở Ấn Độ: VinFast và câu hỏi dành cho người Việt Khi chú Hòa xây nhà bình dân: những kiệt tác âm thầm giữa lòng Sài Gòn Việt Nam – Xứ sở của những người bị bắt phải học nghề đói
Mailisa bị bắt và ký ức đôi vợ chồng ăn chay đi chùa Đi Hàn, đi Nhật rồi nhìn lại Việt Nam: yêu nước đâu chỉ nói trên môi Nepal – Đất nước sống ở năm 2082 giữa trái tim Himalaya
Nicholas Winton – Người hùng thầm lặng cứu 669 đứa trẻ khỏi bóng đen Đức Quốc Xã Bi kịch giáo sư Yoshihiro Sato: khi dữ liệu đẹp đổi lấy danh dự và cái chết Sự ngu dốt của bọn có học – từ Nguyễn Huy Thiệp đến thời những lời nói lật ngược sự thật

 
Lên đầu Xuống dưới Lên 3000px Xuống 3000px

iPad Videos Portal Autoscroll

VietBF Music Portal Autoscroll

iPad News Portal Autoscroll

VietBF Homepage Autoscroll

VietBF Video Autoscroll Portal

USA News Autoscroll Portall

VietBF WORLD Autoscroll Portal

Home Classic

Super Widescreen

iPad World Portal Autoscroll

iPad USA Portal Autoscroll

Phim Bộ Online

Tin nóng nhất 24h qua

Tin nóng nhất 3 ngày qua

Tin nóng nhất 7 ngày qua

Tin nóng nhất 30 ngày qua

Albums

Total Videos Online
Lên đầu Xuống dưới Lên 3000px Xuống 3000px

Tranh luận sôi nổi nhất 7 ngày qua

Tranh luận sôi nổi nhất 14 ngày qua

Tranh luận sôi nổi nhất 30 ngày qua

10.000 Tin mới nhất

Tin tức Hoa Kỳ

Tin tức Công nghệ
Lên đầu Xuống dưới Lên 3000px Xuống 3000px

Super News

School Cooking Traveling Portal

Enter Portal

Series Shows and Movies Online

Home Classic Master Page

Donation Ủng hộ $3 cho VietBF
Lên đầu Xuống dưới Lên 3000px Xuống 3000px
Diễn Đàn Người Việt Hải Ngoại. Tự do ngôn luận, an toàn và uy tín. Vì một tương lai tươi đẹp cho các thế hệ Việt Nam hãy ghé thăm chúng tôi, hãy tâm sự với chúng tôi mỗi ngày, mỗi giờ và mỗi giây phút có thể. VietBF.Com Xin cám ơn các bạn, chúc tất cả các bạn vui vẻ và gặp nhiều may mắn.
Welcome to Vietnamese American Community, Vietnamese European, Canadian, Australian Forum, Vietnamese Overseas Forum. Freedom of speech, safety and prestige. For a beautiful future for Vietnamese generations, please visit us, talk to us every day, every hour and every moment possible. VietBF.Com Thank you all and good luck.

Lên đầu Xuống dưới Lên 3000px Xuống 3000px

All times are GMT. The time now is 06:33.
VietBF - Vietnamese Best Forum Copyright ©2005 - 2025
User Alert System provided by Advanced User Tagging (Pro) - vBulletin Mods & Addons Copyright © 2025 DragonByte Technologies Ltd.
Log Out Unregistered

Page generated in 0.13233 seconds with 13 queries