HOME-Au
HOME-Au
24h
24h
USA
USA
GOP
GOP
Phim Bộ
Phim Bộ
Videoauto
VIDEO-Au
Donation
Donation
News Book
News Book
News 50
News 50
worldautoscroll
WORLD-Au
Breaking
Breaking
 

Go Back   VietBF > World > World News|Tin Thế Giới > World News |Tin Thế Giới 2006-2019


 
Thread Tools
 
 
  #1  
Old  Default Phát hiện sán dây mắc kẹt...trong não suốt 4 năm
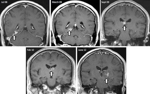
(PLO) - Một cựu giáo viên người Anh mới đây được phát hiện có một con sán dây mắc kẹt trong não suốt bốn năm.
Peter Donnelly, người vừa trải qua một cuộc phẫu thuật lấy sán ra khỏi não, đã trở thành khách mời trong một chương trình phỏng vấn của Telegraph.
Ông Donnelly nói: “Mười bảy năm về trước, đầu tôi bắt đầu khó chịu hơn bình thường, và tôi cảm thấy dị ứng với tất cả các loại cửa sổ, gương hay kính”.
"Tôi cảm thấy ngột ngạt khi ngồi trong xe hơi, hoa mắt thường xuyên còn tinh thần thì sa sút nghiêm trọng. Tôi nghĩ rằng tôi sắp bị điên”, ông chia sẻ.


Con sán đã xuất hiện trong hình chụp não bộ của ông Donnelly từ khá lâu.

Donnelly cho biết các bác sĩ đã chẩn đoán ông đang mắc chứng tiền đột quỵ, và ông vẫn tin vào điều đó, cho tới khi phải nhập viện vì một cơn động kinh bất thường.
Một loạt các xét nghiệm đều hướng tới giả thiết rằng ông đang bị khối u não, tuy nhiên một bác sĩ đã tình cờ phát hiện ra một con sán dây bị chết đang mắc kẹt trong não ông.



Sán dây xâm nhập vào não là một căn bệnh phổ biến ở các nước đang phát triển.

Donnelly khẳng định: “Điều này thật khó xảy ra, dù là với ai đi chăng nữa. Tôi vẫn nghĩ đây chỉ là mơ, bởi vì tôi chưa bao giờ đặt chân đến các nước nhiệt đới”.
Sán dây xâm nhập vào não là một căn bệnh phổ biến ở các nước đang phát triển, và có thể giải quyết bằng cách sử dụng kháng sinh trong khoảng 10 ngày. Tuy nhiên, mới đây các bác sĩ đã lấy ra khỏi đầu một người đàn ông 50 tuổi một con sán dài 1cm, cùng lượng trứng sắp nở đang chuẩn bị “tấn công” não bộ của ông.
Duy Long
PLO
Dịch trang: EnglishEnglish DeutschDeutsch FrançaisFrançais EspañolEspañol ItalianoItaliano PortuguêsPortuguês
NorskNorsk NederlandsNederlands DanskDansk SuomiSuomi PolskiPolski ČeštinaČeština РусскийРусский
日本語日本語 한국어한국어 中文(简体)中文(简体) 中文(繁體)中文(繁體) MagyarMagyar TürkçeTürkçe
العربيةالعربية ไทยไทย LatinaLatina हिन्दीहिन्दी Bahasa IndonesiaBahasa Indonesia Bahasa MelayuBahasa Melayu
VIETBF Hybrid Community Content Hub

HOT NEWS 24h

HOT 3 Days

NEWS 3 Days

HOT 7 Days

NEWS 7 Days

HOME

Breaking News

VietOversea

World News

Business News

Car News

Computer News

Game News

USA News

Mobile News

Music News

Movies News

History

Thơ Ca

Sport News

Stranger Stories

Comedy Stories

Cooking Chat

Nice Pictures

Fashion

School

Travelling

Funny Videos

Canada Tin Hay

USA Tin Hay

VietBF Homepage Autoscroll

VietBF Video Autoscroll Portal

Video Classic Master

iPad News Portal

VietBF iPad Music Portal

Tin nóng nhất 50h qua

Phim Bộ Online

iMusic Pro Max



PinaColada
R11 Tuyệt Thế Thiên Hạ
Release: 11-24-2014
Reputation: 137127


Profile:
Join Date: Oct 2013
Posts: 123,621
Last Update: None Rating: None
Attached Thumbnails
Click image for larger version

Name:	hinh_chup_nao_donnelly_gmjx.jpg
Views:	0
Size:	41.6 KB
ID:	694168   Click image for larger version

Name:	san_day_trong_nao_zots.jpg
Views:	0
Size:	32.2 KB
ID:	694169  
PinaColada_is_offline
Thanks: 9
Thanked 7,942 Times in 7,065 Posts
Mentioned: 2 Post(s)
Tagged: 0 Thread(s)
Quoted: 23 Post(s)
Rep Power: 142
PinaColada Reputation Uy Tín Level 9PinaColada Reputation Uy Tín Level 9PinaColada Reputation Uy Tín Level 9PinaColada Reputation Uy Tín Level 9PinaColada Reputation Uy Tín Level 9
PinaColada Reputation Uy Tín Level 9PinaColada Reputation Uy Tín Level 9PinaColada Reputation Uy Tín Level 9PinaColada Reputation Uy Tín Level 9PinaColada Reputation Uy Tín Level 9PinaColada Reputation Uy Tín Level 9PinaColada Reputation Uy Tín Level 9PinaColada Reputation Uy Tín Level 9PinaColada Reputation Uy Tín Level 9PinaColada Reputation Uy Tín Level 9PinaColada Reputation Uy Tín Level 9PinaColada Reputation Uy Tín Level 9PinaColada Reputation Uy Tín Level 9PinaColada Reputation Uy Tín Level 9PinaColada Reputation Uy Tín Level 9PinaColada Reputation Uy Tín Level 9PinaColada Reputation Uy Tín Level 9PinaColada Reputation Uy Tín Level 9PinaColada Reputation Uy Tín Level 9PinaColada Reputation Uy Tín Level 9PinaColada Reputation Uy Tín Level 9PinaColada Reputation Uy Tín Level 9
Dịch trang: EnglishEnglish DeutschDeutsch FrançaisFrançais EspañolEspañol ItalianoItaliano PortuguêsPortuguês
NorskNorsk NederlandsNederlands DanskDansk SuomiSuomi PolskiPolski ČeštinaČeština РусскийРусский
日本語日本語 한국어한국어 中文(简体)中文(简体) 中文(繁體)中文(繁體) MagyarMagyar TürkçeTürkçe
العربيةالعربية ไทยไทย LatinaLatina हिन्दीहिन्दी Bahasa IndonesiaBahasa Indonesia Bahasa MelayuBahasa Melayu
 
User Tag List


Kịch Bản "Hạ Lãi Suất" Của Tổng Thống Trump Jimmy Kimmel đối đầu Nhà Trắng Elon Musk "đại náo" pháp đình
Số phận 350.000 người di cư Haiti Cuộc "soán ngôi" ngoạn mục trong làng Fast Food UAE chính thức rời bỏ OPEC
Tàu hoả tông vào xe VINFAST Những chuyện hài hước nhất hôm nay +242 videos Adidas "hồi sinh" ngoạn mục
Hai Lần “Tháng Tư Đen” của Việt Nam Cộng Hòa: Khai Sinh Trong Lửa, Sụp Đổ Trong Biển Lệ Vĩnh biệt ca sĩ Công Thành – một đời rong ruổi theo tiếng hát, một chuyện tình đẹp cùng Lynn khép lại trong nỗi tiếc thương Mỹ kích hoạt đăng ký quân dịch tự động: cả người thẻ xanh cũng bị bắt đi làm lính cho Mỹ !
Trump, Iran và NATO: Khi “liên minh thép” đứng trước nguy cơ rạn nứt vì tham vọng chính trị Bão giá nhiên liệu lan rộng: Doanh nghiệp âm thầm “móc túi” người tiêu dùng qua phụ phí và chiêu thức tinh vi iPhone 18 Pro: Apple đứng trước ngã rẽ thiết kế – Dynamic Island thu nhỏ hay “giậm chân tại chỗ”?
“Hormuz chưa mở”: Lời cảnh báo lạnh người, 26 tàu Hàn Quốc bị mắc kẹt Eo Biển Hormuz “Mở Mà Như Đóng”: Ngừng Bắn Mong Manh, Tàu Hàng Vẫn Án Binh, Giá Dầu Lại Nhăm Nhe 100 USD Đồng minh tốt nhất của ông Trump ở Liên Âu khả năng sẽ thất cử
Iran điều động nhiều sư đoàn khóa chặt Hormuz: sa mạc rầm rập thiết giáp, Kharg Island rung chuyển, Trung Đông bước vào canh bạc sinh tử USS Tripoli mang theo hai thủy thủ gốc Việt tiến về Trung Đông, nhưng cánh cửa đổ bộ lên bờ bắc Hormuz vẫn chưa phải lựa chọn dễ dàng Hoa Kỳ treo thưởng 10 triệu USD cho thông tin về lãnh đạo Iran, Hoa Kỳ điều động USS Tripoli và 5.000 quân đến Trung Đông
Máy bay tiếp dầu Mỹ rơi ở Iraq, 4 quân nhân thiệt mạng Minh Giáo trong truyện Kim Dung, Shia 12 Imam của Iran và Hỏa Giáo Ba Tư – Khi mạng xã hội Trung Quốc nhầm lẫn lịch sử Máy bay tiếp dầu của Mỹ rơi, thị trường chứng khoán chao đảo, Iran dọa đốt cháy hạ tầng dầu khí cả khu vực
Mỹ chưa sẵn sàng hộ tống tàu qua Hormuz, Nga bị tố giúp Iran, “Ayatollah” là gì, Mỹ tiết lộ số dầu trung bình-thấp còn trong kho Thông điệp đầu tiên của Tân Giáo Chủ Ba Tư: đóng Hormuz, dọa đánh căn cứ Mỹ và lời trấn an nửa vời với láng giềng Putin trúng số giữa cơn bão Trung Đông: khi dầu mỏ, chiến tranh và ảo tưởng của Trump cùng đẩy Nga hưởng lợi
Chinamaxxing – Khi giấc mơ Trung Hoa trở thành trào lưu của Gen Z Mỹ Thông Điệp Liên Bang 2026: 107 phút kỷ lục của ông Trump Zero người vượt biên, fentanyl giảm 56%: mở màn Thông điệp Liên bang 2026
Dũng Taylor fan MAGA nhưng chỉ thẳng mặt Trump là tên ngủ gật Peter Mandelson bị bắt vì liên hệ Epstein Trump nâng đòn 15% toàn cầu trước SOTU
Tòa Tối Cao bẻ lái thuế quan của Trump El Mencho bị hạ sát, Mexico rung chuyển Hành trình nhiều sóng gió của bà Nguyễn Phương Hằng 2026 Bính Ngọ

 

iPad Videos Portal Autoscroll

VietBF Music Portal Autoscroll

iPad News Portal Autoscroll

VietBF Homepage Autoscroll

VietBF Video Autoscroll Portal

USA News Autoscroll Portall

VietBF WORLD Autoscroll Portal

Video Classic Master Page

Super Widescreen

iPad World Portal Autoscroll

iPad USA Portal Autoscroll

Phim Bộ Online
Lên đầu Xuống dưới Lên 3000px Xuống 3000px

Tin nóng nhất 24h qua

Tin nóng nhất 3 ngày qua

Tin nóng nhất 7 ngày qua

Tin nóng nhất 30 ngày qua

Albums

Total Videos Online

Tranh luận sôi nổi nhất 7 ngày qua

Tranh luận sôi nổi nhất 14 ngày qua

Tranh luận sôi nổi nhất 30 ngày qua

10.000 Tin mới nhất

Tin tức Hoa Kỳ

Tin tức Công nghệ
Lên đầu Xuống dưới Lên 3000px Xuống 3000px

Duo Series Movies Portal

Duo Music Portal

Phim Bộ

Tỷ Giá

Thời Tiết

Tin Nóng Nhất 50h

Super News

School Cooking Traveling Portal

Enter Portal

Series Shows and Movies Online

Home Classic Master Page

Donation Ủng hộ $3 cho VietBF
Lên đầu Xuống dưới Lên 3000px Xuống 3000px
Diễn Đàn Người Việt Hải Ngoại. Tự do ngôn luận, an toàn và uy tín. Vì một tương lai tươi đẹp cho các thế hệ Việt Nam hãy ghé thăm chúng tôi, hãy tâm sự với chúng tôi mỗi ngày, mỗi giờ và mỗi giây phút có thể. VietBF.Com Xin cám ơn các bạn, chúc tất cả các bạn vui vẻ và gặp nhiều may mắn.
Welcome to Vietnamese American Community, Vietnamese European, Canadian, Australian Forum, Vietnamese Overseas Forum. Freedom of speech, safety and prestige. For a beautiful future for Vietnamese generations, please visit us, talk to us every day, every hour and every moment possible. VietBF.Com Thank you all and good luck.

Lên đầu Xuống dưới Lên 3000px Xuống 3000px

All times are GMT. The time now is 21:34.
VietBF - Vietnamese Best Forum Copyright ©2005 - 2026
User Alert System provided by Advanced User Tagging (Pro) - vBulletin Mods & Addons Copyright © 2026 DragonByte Technologies Ltd.
Log Out Unregistered

Page generated in 0.10730 seconds with 15 queries