HOME-Au
HOME-Au
24h
24h
USA
USA
GOP
GOP
Phim Bộ
Phim Bộ
Videoauto
VIDEO-Au
Home Classic
Home Classic
Donation
Donation
News Book
News Book
News 50
News 50
worldautoscroll
WORLD-Au
Breaking
Breaking
 

Go Back   VietBF > Other News|Tin Khác > School | Kiến thức > School | Kiến thức 2006-2019


 
 
Thread Tools
  #1  
Old  Default Bài thuốc chữa dứt điểm sâu răng
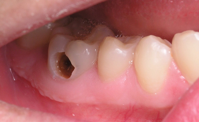
Cảnh nhức răng đến tận óc không ăn không uống là hoàn cảnh của rất nhiều người. Sau mỗi đợt đau răng là người mệt nhoài và sụt cân nghiêm trọng bởi không ăn lại còn không thể ngủ vì cơn đau răng hành hạ. Sau đây là mấy bài thuốc chữa dứt điểm sâu răng mà khá đơn giản, chúng ta cùng tham khảo nào.



Chữa sâu răng bằng gừng

Nguyên liệu:

100g gừng để cả vỏ.

Cách làm:

Rửa sạch gừng, giã nát rồi đắp lên chỗ bị sâu răng.

Liều dùng:

Ngày đắp 1 lần vào lúc tối trước khi đi ngủ là tốt nhất. Để qua đêm. Dùng khoảng 7-10 ngày sẽ khỏi.

Ngoài ra em còn sưu tầm được 1 số bài thuốc chữa sâu răng cũng có hiệu quả như nhau, các chị có thể áp dụng thử xem mình hợp với cách nào nha. Đây là những bài thuốc lành tính, hiệu quả cao, lại dễ áp dụng tại nhà, tiết kiệm về chi phí hợp lý nhất mà bạn nên sử dụng.



Chữa sâu răng bằng hoa cúc

Nguyên liệu:

5 cành cúc vàng.

Cách làm:

Nhổ các cánh hoa ra, rửa sạch rồi đặt vào cánh vào chỗ răng sâu. Ngậm và nhai cánh hoa sẽ có tác dụng diệt khuẩn cho răng khi chất tiết ra từ cánh hoa thẩm thấu vào chỗ sâu.

Cho số cánh hoa còn lại vào chai ngâm cùng rượu trắng. Qua đêm là có thể dùng được, nhưng ngâm càng lâu càng tốt.

Liều dùng:

Mỗi ngày ngậm 1 ngụm nhỏ khoảng 2-3 lần. Sau 2-3 tuần sẽ thấy bệnh tiến triển tốt.

Chữa sâu răng từ nhựa đu đủ

Nguyên liệu:

1 quả đu đủ non.

Cách dùng:

Cắt quả đu đủ non, lấy tăm bông thấm nhựa rồi bôi trực tiếp vào chỗ sâu răng. Lưu ý không được nuốt.
Liều dùng:

Dùng liên tục hàng ngày cho tới khi không còn triệu chứng đau nhức nữa thì thôi.

Chữa sâu răng bằng cây xương cá

Nguyên liệu:

1 hoặc 2 cành cây xương cá.

Cách dùng:

Bẻ đôi cành cây xương cá để lấy nhựa. Lấy tăm bông thấm nhựa trực tiếp, bôi vào chỗ sâu răng.
Liều dùng:

Dùng ngày một lần, trong vòng 2-3 tuần có sự kết hợp vệ sinh răng miệng sạch sẽ là khỏi.

Tùy vào vùng miền và mùa, có những nguyên liệu gần gũi, cách làm đơn giản nhất bạn có thể áp dụng để điều trị sâu răng hiệu quả, không còn bị hành hạ bởi những cơn đau “thừa sống thiếu chết” nữa nha!

Therealtz © VietBF
VIETBF Diễn Đàn Hay Nhất Của Người Việt Nam

HOT NEWS 24h

HOT 3 Days

NEWS 3 Days

HOT 7 Days

NEWS 7 Days

HOME

Breaking News

VietOversea

World News

Business News

Car News

Computer News

Game News

USA News

Mobile News

Music News

Movies News

History

Thơ Ca

Sport News

Stranger Stories

Comedy Stories

Cooking Chat

Nice Pictures

Fashion

School

Travelling

Funny Videos

Canada Tin Hay

USA Tin Hay

VietBF Homepage Autoscroll

VietBF Video Autoscroll Portal

Home Classic

Home Classic Master Page



therealrtz
R10 Vô Địch Thiên Hạ
Release: 07-16-2016
Reputation: 234468


Profile:
Join Date: Nov 2014
Posts: 91,161
Last Update: None Rating: None
Attached Thumbnails
Click image for larger version

Name:	1.1.jpg
Views:	0
Size:	62.0 KB
ID:	911624   Click image for larger version

Name:	1.2.jpg
Views:	0
Size:	38.8 KB
ID:	911625  
therealrtz_is_offline
Thanks: 28
Thanked 6,714 Times in 5,983 Posts
Mentioned: 4 Post(s)
Tagged: 0 Thread(s)
Quoted: 34 Post(s)
Rep Power: 114
therealrtz Reputation Uy Tín Level 10therealrtz Reputation Uy Tín Level 10therealrtz Reputation Uy Tín Level 10therealrtz Reputation Uy Tín Level 10therealrtz Reputation Uy Tín Level 10therealrtz Reputation Uy Tín Level 10therealrtz Reputation Uy Tín Level 10
therealrtz Reputation Uy Tín Level 10therealrtz Reputation Uy Tín Level 10therealrtz Reputation Uy Tín Level 10therealrtz Reputation Uy Tín Level 10therealrtz Reputation Uy Tín Level 10therealrtz Reputation Uy Tín Level 10therealrtz Reputation Uy Tín Level 10therealrtz Reputation Uy Tín Level 10therealrtz Reputation Uy Tín Level 10therealrtz Reputation Uy Tín Level 10therealrtz Reputation Uy Tín Level 10therealrtz Reputation Uy Tín Level 10therealrtz Reputation Uy Tín Level 10therealrtz Reputation Uy Tín Level 10therealrtz Reputation Uy Tín Level 10therealrtz Reputation Uy Tín Level 10therealrtz Reputation Uy Tín Level 10
Old 07-16-2016   #2
Mathew
Banned
 
Join Date: Jun 2015
Posts: 645
Thanks: 166
Thanked 320 Times in 195 Posts
Mentioned: 0 Post(s)
Tagged: 0 Thread(s)
Quoted: 79 Post(s)
Rep Power: 0
Mathew Reputation Uy Tín Level 1
Default

Sao cái thằng real_ass nầy đem nhửng thứ bẩn thiểu dơ dáy lên đăng trên forum nầy ! dân VC nầy là đầu óc toàn phân, bưng bô hoài không thấy thúi !!
Mathew_is_offline  
Old 07-16-2016   #3
laughster
R8 Võ Lâm Chí Tôn
 
laughster's Avatar
 
Join Date: Mar 2007
Posts: 17,070
Thanks: 16,421
Thanked 13,230 Times in 6,883 Posts
Mentioned: 85 Post(s)
Tagged: 0 Thread(s)
Quoted: 7088 Post(s)
Rep Power: 39
laughster Reputation Uy Tín Level 8laughster Reputation Uy Tín Level 8laughster Reputation Uy Tín Level 8
laughster Reputation Uy Tín Level 8laughster Reputation Uy Tín Level 8laughster Reputation Uy Tín Level 8laughster Reputation Uy Tín Level 8laughster Reputation Uy Tín Level 8laughster Reputation Uy Tín Level 8laughster Reputation Uy Tín Level 8laughster Reputation Uy Tín Level 8laughster Reputation Uy Tín Level 8laughster Reputation Uy Tín Level 8laughster Reputation Uy Tín Level 8laughster Reputation Uy Tín Level 8laughster Reputation Uy Tín Level 8laughster Reputation Uy Tín Level 8laughster Reputation Uy Tín Level 8laughster Reputation Uy Tín Level 8laughster Reputation Uy Tín Level 8laughster Reputation Uy Tín Level 8laughster Reputation Uy Tín Level 8laughster Reputation Uy Tín Level 8laughster Reputation Uy Tín Level 8
Default

Xin chế 2 câu thơ cuả Nguyên Sa cho bài này hahaha

Áo nàng vàng anh về yêu hoa cúc
Áo nàng xanh anh mến lá sân trường

Răng nàng mòn, anh chêm cành hoa cúc
Răng nàng sâu, anh nhét một lát gừng hahahahah
laughster_is_offline  
 
User Tag List

Thread Tools

Những chuyện hài hước nhất hôm nay Mailisa bất ngờ “đóng cửa” giữa bão điều tra: Đế chế làm đẹp nghìn tỷ khép lại MAGA Đen - MAGA Đỏ - Giấc mơ đế chế dữ liệu của Peter Thiel và giới trọc phú công nghệ
Ánh đèn hiên nhà trong đêm bão tuyết: câu chuyện Lễ Tạ Ơn kỳ diệu sau 41 năm Xả súng gần Nhà Trắng: Bi kịch Lễ Tạ Ơn và cuộc chơi chính trị của Trump với hồ sơ di dân Afghanistan Từ Frankenstein đến Game of Drones: Khi công nghệ biến chiến tranh thành cuộc hỗn loạn vĩnh viễn
Biển lửa Wang Fuk Court: 65 người chết, Hồng Kông choáng váng trước “thảm họa giàn giáo tre” Biển lửa Wang Fuk Court: Thảm họa người già Hồng Kông và cuộc điều tra “sự cứu thả chết người” Chết cháy hàng loạt tại Hồng Kông, các toà nhà biến thành địa ngục, hàng trăm người mất tích
Black Friday ảm đạm ngoài phố, rực lửa trên livestream: Người Việt đổi kiểu săn sale Cánh tay phải của Zelensky ngã ngựa: Ukraine bị ép chọn giữa danh dự và đồng minh Tryptophan trên tiểu hành tinh Bennu: Phát hiện mới cho thấy “công thức sự sống” đến từ vũ trụ
Trump, Donetsk và “thỏa thuận không thể”: Ukraine bị ép vào góc hẹp của một nền hòa bình đẫm máu Từ Stalin tới Putin: 86 năm sau, bóng ma chiến tranh mùa đông vẫn ám ảnh đế quốc Nga Putin khen kế hoạch hòa bình của Mỹ nhưng dọa chiếm thêm đất nếu Kyiv không rút quân
Trump siết nhập cư sau vụ nổ súng: Rà soát toàn bộ thẻ xanh từ 19 “quốc gia đáng lo ngại” Thảm họa cháy chung cư ở Hong Kong: 128 người chết, hàng trăm người mất tích và những câu hỏi nhức nhối Cô gái Brazil bị trục xuất và nghịch lý cay đắng ngay trong gia đình phát ngôn viên Nhà Trắng

 
Lên đầu Xuống dưới Lên 3000px Xuống 3000px

iPad Videos Portal Autoscroll

VietBF Music Portal Autoscroll

iPad News Portal Autoscroll

VietBF Homepage Autoscroll

VietBF Video Autoscroll Portal

USA News Autoscroll Portall

VietBF WORLD Autoscroll Portal

Home Classic

Super Widescreen

iPad World Portal Autoscroll

iPad USA Portal Autoscroll

Phim Bộ Online

Tin nóng nhất 24h qua

Tin nóng nhất 3 ngày qua

Tin nóng nhất 7 ngày qua

Tin nóng nhất 30 ngày qua

Albums

Total Videos Online
Lên đầu Xuống dưới Lên 3000px Xuống 3000px

Tranh luận sôi nổi nhất 7 ngày qua

Tranh luận sôi nổi nhất 14 ngày qua

Tranh luận sôi nổi nhất 30 ngày qua

10.000 Tin mới nhất

Tin tức Hoa Kỳ

Tin tức Công nghệ
Lên đầu Xuống dưới Lên 3000px Xuống 3000px

Super News

School Cooking Traveling Portal

Enter Portal

Series Shows and Movies Online

Home Classic Master Page

Donation Ủng hộ $3 cho VietBF
Lên đầu Xuống dưới Lên 3000px Xuống 3000px
Diễn Đàn Người Việt Hải Ngoại. Tự do ngôn luận, an toàn và uy tín. Vì một tương lai tươi đẹp cho các thế hệ Việt Nam hãy ghé thăm chúng tôi, hãy tâm sự với chúng tôi mỗi ngày, mỗi giờ và mỗi giây phút có thể. VietBF.Com Xin cám ơn các bạn, chúc tất cả các bạn vui vẻ và gặp nhiều may mắn.
Welcome to Vietnamese American Community, Vietnamese European, Canadian, Australian Forum, Vietnamese Overseas Forum. Freedom of speech, safety and prestige. For a beautiful future for Vietnamese generations, please visit us, talk to us every day, every hour and every moment possible. VietBF.Com Thank you all and good luck.

Lên đầu Xuống dưới Lên 3000px Xuống 3000px

All times are GMT. The time now is 07:42.
VietBF - Vietnamese Best Forum Copyright ©2005 - 2025
User Alert System provided by Advanced User Tagging (Pro) - vBulletin Mods & Addons Copyright © 2025 DragonByte Technologies Ltd.
Log Out Unregistered

Page generated in 0.12876 seconds with 15 queries