HOME-Au
HOME-Au
24h
24h
USA
USA
GOP
GOP
Phim Bộ
Phim Bộ
Videoauto
VIDEO-Au
Donation
Donation
News Book
News Book
News 50
News 50
worldautoscroll
WORLD-Au
Breaking
Breaking
 

Go Back   VietBF > World > Vietnam News | Tin Việt Nam


Reply
Thread Tools
 
 
  #1  
Old  Default Đau đầu kéo dài không đi khám, nào ngờ mắc bệnh hiểm nghèo
Đau đầu nhiều năm không đi khám, bệnh nhân nhập viện khi đau đầu, buồn nôn tăng lên nhanh chóng,, rơi vào lơ mơ, không còn tỉnh táo.

Tin từ Bệnh viện đa khoa tỉnh Quảng Ninh cho biết, bệnh viện vừa tiếp nhận một trường hợp hôn mê sâu nguy kịch do u não chảy máu.

Với tinh thần khẩn trương, chuyên nghiệp, các bác sĩ chuyên ngành ngoại thần kinh đã thực hiện mổ cấp cứu vi phẫu lấy khối u não kích thước lớn, kiểm soát chảy máu, cứu sống bệnh nhân trong gang tấc.

Bệnh nhân là H.K.L (54 tuổi) trú tại huyện Tiên Yên, cấp cứu tại Bệnh viện Đa khoa tỉnh Quảng Ninh trong tình trạng hôn mê sâu, đồng tử giãn, được sơ cứu đặt nội khí quản tại tuyến dưới. Theo người nhà cho biết, bệnh nhân đã có tiền sử đau đầu kéo dài nhiều năm nhưng không đi khám.

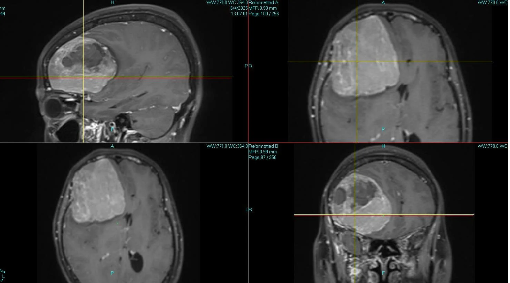
Trước khi nhập viện, các triệu chứng đau đầu, buồn nôn tăng lên nhanh chóng, đến sáng hôm sau bệnh nhân đã lơ mơ, không còn tỉnh táo. Ngay khi nhập viện, các bác sĩ tiến hành chụp cắt lớp vi tính sọ não và phát hiện người bệnh có khối u não kích thước lớn thùy trán phải đang chảy máu.


Hình ảnh khối u não kích thước lớn chảy máu vùng trán phải của bệnh nhân L. Ảnh BVCC
Trước tình trạng nguy cấp, các bác sĩ đã tiến hành hội chẩn liên khoa Ngoại thần kinh, Gây mê hồi sức, Chẩn đoán hình ảnh để đánh giá toàn diện tổn thương và thống nhất phương án xử trí tối ưu.

Nhận định đây là ca bệnh nặng, khối u lớn đang xuất huyết gây áp lực nội sọ khiến phù não diện rộng, nếu không can thiệp ngay sẽ đe dọa tính mạng, vì vậy các bác sĩ quyết định mổ cấp cứu, thực hiện vi phẫu lấy u và kiểm soát điểm máu chảy, mục tiêu bảo tồn tối đa các vùng não lành.

Ca mổ cấp cứu do bác sĩ Nguyễn Tiến Dũng, Phó Giám đốc Bệnh viện cùng các bác sĩ khoa Phẫu thuật Thần kinh – Cột sống, Gây mê hồi sức phối hợp thực hiện. Quá trình phẫu thuật được triển khai hết sức thận trọng.

Dự kiến cuộc mổ kéo dài, bệnh nhân được đặt tư thế mổ phù hợp dưới sự theo dõi sát sao của đội ngũ gây mê hồi sức để đảm bảo thông khí và huyết động ổn định trong suốt thời gian ca mổ diễn ra.

Với sự hỗ trợ của hệ thống kính vi phẫu và thiết bị định vị thần kinh Navigation hiện đại, phẫu thuật viên đã tiếp cận tổn thương, loại bỏ máu tụ và bóc tách khối u não kích thước lớn ra ngoài an toàn.

Sau hơn 6 giờ căng thẳng, ca phẫu thuật diễn ra thuận lợi, bệnh nhân được chuyển hồi sức theo dõi tích cực và hiện đã tỉnh, phản xạ tốt.

Bác sĩ Nguyễn Tiến Dũng, Phó Giám đốc Bệnh viện đa khoa tỉnh Quảng Ninh, cho biết: “Bệnh nhân L. cấp cứu trong tình trạng nguy kịch, u não phát triển kích thước lớn và đang chảy máu gây phù não diện rộng. Nếu không được can thiệp phẫu thuật kịp thời, nguy cơ tử vong rất cao.

Chúng tôi đã tiến hành vi phẫu u não đường giữa, sử dụng kính vi phẫu kết hợp hệ thống định vị Navigation để sử dụng kính vi phẫu quan sát rõ hơn vị trí khối u, các điểm tiếp giáp xung quanh để bảo tồn các vùng chức năng của vỏ não.

Việc mổ cấp cứu đòi hỏi kíp phẫu thuật phải tính toán chính xác từng thao tác để kiểm soát chảy máu, bảo vệ các cấu trúc thần kinh quan trọng. Sự phối hợp nhịp nhàng giữa các chuyên khoa và hệ thống trang thiết bị hiện đại đã giúp chúng tôi lấy được toàn bộ khối u não lớn đang chảy máu ra ngoài an toàn”.

VietBF@ sưu tập
Dịch trang: EnglishEnglish DeutschDeutsch FrançaisFrançais EspañolEspañol ItalianoItaliano PortuguêsPortuguês
NorskNorsk NederlandsNederlands DanskDansk SuomiSuomi PolskiPolski ČeštinaČeština РусскийРусский
日本語日本語 한국어한국어 中文(简体)中文(简体) 中文(繁體)中文(繁體) MagyarMagyar TürkçeTürkçe
العربيةالعربية ไทยไทย LatinaLatina हिन्दीहिन्दी Bahasa IndonesiaBahasa Indonesia Bahasa MelayuBahasa Melayu
VIETBF Hybrid Community Content Hub

HOT NEWS 24h

HOT 3 Days

NEWS 3 Days

HOT 7 Days

NEWS 7 Days

HOME

Breaking News

VietOversea

World News

Business News

Car News

Computer News

Game News

USA News

Mobile News

Music News

Movies News

History

Thơ Ca

Sport News

Stranger Stories

Comedy Stories

Cooking Chat

Nice Pictures

Fashion

School

Travelling

Funny Videos

Canada Tin Hay

USA Tin Hay

VietBF Homepage Autoscroll

VietBF Video Autoscroll Portal

Video Classic Master

iPad News Portal

VietBF iPad Music Portal

Tin nóng nhất 50h qua

Phim Bộ Online

iMusic Pro Max



pizza
R11 Tuyệt Thế Thiên Hạ
Release: 06-07-2025
Reputation: 237264


Profile:
Join Date: Sep 2014
Posts: 110,993
Last Update: None Rating: None
Attached Thumbnails
Click image for larger version

Name:	461.PNG
Views:	0
Size:	511.7 KB
ID:	2534378  
pizza_is_offline
Thanks: 7
Thanked 8,161 Times in 7,271 Posts
Mentioned: 6 Post(s)
Tagged: 0 Thread(s)
Quoted: 41 Post(s)
Rep Power: 133
pizza Reputation Uy Tín Level 10pizza Reputation Uy Tín Level 10pizza Reputation Uy Tín Level 10pizza Reputation Uy Tín Level 10pizza Reputation Uy Tín Level 10pizza Reputation Uy Tín Level 10pizza Reputation Uy Tín Level 10
pizza Reputation Uy Tín Level 10pizza Reputation Uy Tín Level 10pizza Reputation Uy Tín Level 10pizza Reputation Uy Tín Level 10pizza Reputation Uy Tín Level 10pizza Reputation Uy Tín Level 10pizza Reputation Uy Tín Level 10pizza Reputation Uy Tín Level 10pizza Reputation Uy Tín Level 10pizza Reputation Uy Tín Level 10pizza Reputation Uy Tín Level 10pizza Reputation Uy Tín Level 10pizza Reputation Uy Tín Level 10pizza Reputation Uy Tín Level 10pizza Reputation Uy Tín Level 10pizza Reputation Uy Tín Level 10pizza Reputation Uy Tín Level 10pizza Reputation Uy Tín Level 10pizza Reputation Uy Tín Level 10pizza Reputation Uy Tín Level 10pizza Reputation Uy Tín Level 10pizza Reputation Uy Tín Level 10
Dịch trang: EnglishEnglish DeutschDeutsch FrançaisFrançais EspañolEspañol ItalianoItaliano PortuguêsPortuguês
NorskNorsk NederlandsNederlands DanskDansk SuomiSuomi PolskiPolski ČeštinaČeština РусскийРусский
日本語日本語 한국어한국어 中文(简体)中文(简体) 中文(繁體)中文(繁體) MagyarMagyar TürkçeTürkçe
العربيةالعربية ไทยไทย LatinaLatina हिन्दीहिन्दी Bahasa IndonesiaBahasa Indonesia Bahasa MelayuBahasa Melayu
Reply

User Tag List


Hungary sau cơn địa chấn chính trị: Khi “cỗ máy tuyên truyền” sụp đổ và một thực tại mới bắt đầu Thế giới bên bờ vực: Khi tiếng chuông hòa bình của Giáo hoàng đối diện với khói lửa chiến tranh và vũng lầy dầu mỏ "Luật chơi mới" tại Hormuz: Iran ưu tiên tàu nộp tiền
Hỗn Loạn Trung Đông: Lính Pháp Tử Nạn Tại Lebanon, Eo Biển Hormuz "Đóng - Mở" Trong Chớp Mắt Dưới Áp Lực Từ Trump Trump dọa ném bom trở lại Iran nếu đàm phán đổ vỡ: Trung Đông đứng trước ngưỡng cửa "Hợp đồng Thế kỷ" Chảo lửa Trung Đông hạ nhiệt: Mỹ - Iran bên bờ vực thỏa thuận "vàng đen" và những quân bài ngửa trên eo biển Hormuz
Eo biển Hormuz mở cửa: Giá dầu lao dốc, chứng khoán Mỹ bùng nổ giữa hy vọng hòa bình mong manh TRUMP - KHAMENEI VÀ 72 TIÊN NỮ Videos (có thể download) và những chuyện hài ngày hôm nay Rộ tin đồn Phó Thủ Tướng bị thanh trừng
Phòng Khiêu Vũ 400 Triệu USD và Cuộc Đụng Độ Quyền Lực: Tòa Án Chặn Kế Hoạch Của Ông Trump Tại Nhà Trắng Mỹ im lặng trước vụ “máy bay mắt thần” bị phá hủy: Sự thật hay chiến tranh thông tin? Iran tiết lộ bức ảnh Giáo Chủ Ali Khamenei trước khi chết: Bức ảnh gây chấn động và câu chuyện về một đời sống giản dị
Ông Trump quyết tước quốc tịch 5 triệu trẻ em Biểu tình chống "Vua" Trump trên toàn nước Mỹ Đàn em Iran tổng tấn công Mỹ, khoá eo biển Bab al-Mandab, Hồng Hải cũng rung chuyển – Thế giới đứng trước cú sốc dầu mỏ chưa từng có
Siêu tàu sân bay Mỹ USS Gerald R. Ford cập cảng Croatia sau sự cố cháy giữa chiến trường Trung Đông Những chuyện hài hước nhất hôm nay Cuba “quay về quá khứ”: Khi xe ngựa thay thế ô tô giữa cơn khát xăng dầu
Mỹ có khả năng điều động thêm hàng không mẫu hạm đánh Iran Tín hiệu rối loạn từ thượng tầng Iran sau cái chết của Khamenei Trùm dư luận viên Trần Nhật Quang và cái kết đắng: Khi chiếc loa tuyên truyền bị… vỡ loa
Chiến sự Trung Đông ngày 7/3/2026: Trump dọa giáng đòn “rất nặng”, Iran xin lỗi các nước vùng Vịnh nhưng hỏa tiễn vẫn nổ, chiến tranh lan rộng Hòa Minzy: sinh con với Việt kiều Úc, vướng tin đồn cầu thủ, nay công khai yêu đại úy quân đội Kasim Hoàng Vũ: Một giọng ca ra đi giữa bão tin đồn và những ngày đau đớn nơi xứ người
Tình hình mới nhất: Israel mở đợt không kích lớn bằng hơn 80 chiến đấu cơ, Sân bay Mehrabad ở Tehran bốc cháy Tình hình mới nhất: Putin gọi cho Tổng thống Iran, chiến sự lan rộng khắp Trung Đông: dầu tăng sốc, Lebanon rung chuyển, Mỹ tăng tốc sản xuất Cập nhật tình hình mới nhất: Hàng không Trung Đông tê liệt vì chiến tranh Iran: hành trình tháo chạy qua Riyadh

 

iPad Videos Portal Autoscroll

VietBF Music Portal Autoscroll

iPad News Portal Autoscroll

VietBF Homepage Autoscroll

VietBF Video Autoscroll Portal

USA News Autoscroll Portall

VietBF WORLD Autoscroll Portal

Video Classic Master Page

Super Widescreen

iPad World Portal Autoscroll

iPad USA Portal Autoscroll

Phim Bộ Online
Lên đầu Xuống dưới Lên 3000px Xuống 3000px

Tin nóng nhất 24h qua

Tin nóng nhất 3 ngày qua

Tin nóng nhất 7 ngày qua

Tin nóng nhất 30 ngày qua

Albums

Total Videos Online

Tranh luận sôi nổi nhất 7 ngày qua

Tranh luận sôi nổi nhất 14 ngày qua

Tranh luận sôi nổi nhất 30 ngày qua

10.000 Tin mới nhất

Tin tức Hoa Kỳ

Tin tức Công nghệ
Lên đầu Xuống dưới Lên 3000px Xuống 3000px

Duo Series Movies Portal

Duo Music Portal

Phim Bộ

Tỷ Giá

Thời Tiết

Tin Nóng Nhất 50h

Super News

School Cooking Traveling Portal

Enter Portal

Series Shows and Movies Online

Home Classic Master Page

Donation Ủng hộ $3 cho VietBF
Lên đầu Xuống dưới Lên 3000px Xuống 3000px
Diễn Đàn Người Việt Hải Ngoại. Tự do ngôn luận, an toàn và uy tín. Vì một tương lai tươi đẹp cho các thế hệ Việt Nam hãy ghé thăm chúng tôi, hãy tâm sự với chúng tôi mỗi ngày, mỗi giờ và mỗi giây phút có thể. VietBF.Com Xin cám ơn các bạn, chúc tất cả các bạn vui vẻ và gặp nhiều may mắn.
Welcome to Vietnamese American Community, Vietnamese European, Canadian, Australian Forum, Vietnamese Overseas Forum. Freedom of speech, safety and prestige. For a beautiful future for Vietnamese generations, please visit us, talk to us every day, every hour and every moment possible. VietBF.Com Thank you all and good luck.

Lên đầu Xuống dưới Lên 3000px Xuống 3000px

All times are GMT. The time now is 13:03.
VietBF - Vietnamese Best Forum Copyright ©2005 - 2026
User Alert System provided by Advanced User Tagging (Pro) - vBulletin Mods & Addons Copyright © 2026 DragonByte Technologies Ltd.
Log Out Unregistered

Page generated in 0.12367 seconds with 15 queries