HOME-Au
HOME-Au
24h
24h
USA
USA
GOP
GOP
Phim Bộ
Phim Bộ
Videoauto
VIDEO-Au
Donation
Donation
News Book
News Book
News 50
News 50
worldautoscroll
WORLD-Au
Breaking
Breaking
 

Go Back   VietBF > Other > School | Kiến thức > School | Kiến thức 2006-2019


 
Thread Tools
 
 
  #1  
Old  Default Lạ kỳ cô gái mất nửa não bộ, vẫn sống bình thường
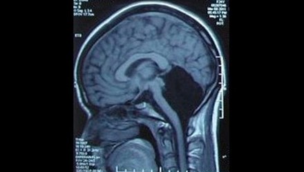
Cô gái đã lập gia đình và có một con gái. Các bác sỹ đã hết sức ngạc nhiên khi phát hiện cô không có tiểu não tức là thiếu một nửa não bộ mà vẫn có thể sống bình thường.

Một phụ nữ, 24 tuổi, ở tỉnh Quảng Đông, Trung Quốc phải nhập viện vì cảm thấy chóng mặt và buồn nôn. Sau khi chụp não, các bác sỹ của bệnh viện quân đội Quảng Đông hết sức ngạc nhiên khi phát hiện cô không có tiểu não (phần màu đen trong ảnh), tức là thiếu một nửa não bộ mà vẫn có thể sống bình thường.


Tiểu não nằm ở trung tâm hộp sọ, chứa khoảng một nửa số nơ ron thần kinh, khu vực chỉ huy việc cân bằng cơ thể, chạy nhảy, đá bóng và ngôn ngữ.

Do thiếu tiểu não nên đến 6 tuổi cô mới biết nói, 7 tuổi mới biết đi. Các cuộc kiểm tra cho thấy, cô có thể hiểu được các từ, nhưng gặp khó khăn khi phát âm, giọng của cô hơi run run và phát âm không được chuẩn.

Hiện cô đã có gia đình và có một con gái. Rất may cô bé có bộ não bình thường. Đây là một trong số 9 người trên thế giới mắc căn bệnh hiếm gặp này. Các bác sỹ tin rằng, các chức năng của tiểu não của cô có thể đã được thay thế bởi vỏ não.

Theo Tiền phong
Dịch trang: EnglishEnglish DeutschDeutsch FrançaisFrançais EspañolEspañol ItalianoItaliano PortuguêsPortuguês
NorskNorsk NederlandsNederlands DanskDansk SuomiSuomi PolskiPolski ČeštinaČeština РусскийРусский
日本語日本語 한국어한국어 中文(简体)中文(简体) 中文(繁體)中文(繁體) MagyarMagyar TürkçeTürkçe
العربيةالعربية ไทยไทย LatinaLatina हिन्दीहिन्दी Bahasa IndonesiaBahasa Indonesia Bahasa MelayuBahasa Melayu
VIETBF Hybrid Community Content Hub

HOT NEWS 24h

HOT 3 Days

NEWS 3 Days

HOT 7 Days

NEWS 7 Days

HOME

Breaking News

VietOversea

World News

Business News

Car News

Computer News

Game News

USA News

Mobile News

Music News

Movies News

History

Thơ Ca

Sport News

Stranger Stories

Comedy Stories

Cooking Chat

Nice Pictures

Fashion

School

Travelling

Funny Videos

Canada Tin Hay

USA Tin Hay

VietBF Homepage Autoscroll

VietBF Video Autoscroll Portal

Video Classic Master

iPad News Portal

VietBF iPad Music Portal

Tin nóng nhất 50h qua

Phim Bộ Online

iMusic Pro Max



Romano
R11 Tuyệt Thế Thiên Hạ
Release: 09-15-2014
Reputation: 344669


Profile:
Join Date: May 2007
Posts: 140,561
Last Update: None Rating: None
Attached Thumbnails
Click image for larger version

Name:	61.jpg
Views:	0
Size:	19.1 KB
ID:	660322  
Romano_is_offline
Thanks: 9
Thanked 6,621 Times in 5,566 Posts
Mentioned: 3 Post(s)
Tagged: 0 Thread(s)
Quoted: 38 Post(s)
Rep Power: 176
Romano Reputation Uy Tín Level 10Romano Reputation Uy Tín Level 10Romano Reputation Uy Tín Level 10Romano Reputation Uy Tín Level 10Romano Reputation Uy Tín Level 10Romano Reputation Uy Tín Level 10
Romano Reputation Uy Tín Level 10Romano Reputation Uy Tín Level 10Romano Reputation Uy Tín Level 10Romano Reputation Uy Tín Level 10Romano Reputation Uy Tín Level 10Romano Reputation Uy Tín Level 10Romano Reputation Uy Tín Level 10Romano Reputation Uy Tín Level 10Romano Reputation Uy Tín Level 10Romano Reputation Uy Tín Level 10Romano Reputation Uy Tín Level 10Romano Reputation Uy Tín Level 10Romano Reputation Uy Tín Level 10Romano Reputation Uy Tín Level 10Romano Reputation Uy Tín Level 10Romano Reputation Uy Tín Level 10Romano Reputation Uy Tín Level 10Romano Reputation Uy Tín Level 10
Dịch trang: EnglishEnglish DeutschDeutsch FrançaisFrançais EspañolEspañol ItalianoItaliano PortuguêsPortuguês
NorskNorsk NederlandsNederlands DanskDansk SuomiSuomi PolskiPolski ČeštinaČeština РусскийРусский
日本語日本語 한국어한국어 中文(简体)中文(简体) 中文(繁體)中文(繁體) MagyarMagyar TürkçeTürkçe
العربيةالعربية ไทยไทย LatinaLatina हिन्दीहिन्दी Bahasa IndonesiaBahasa Indonesia Bahasa MelayuBahasa Melayu
 
User Tag List


HẬU DUỆ VNCH VIẾT NÊN LỊCH SỬ TẠI HOA KỲ: KHI KHIÊM NHƯỜNG LÀ SỨC MẠNH QUANG PHỤC QUÊ HƯƠNG Sức mạnh răn đe vô tiền khoáng hậu: Bộ ba "Pháo đài bay" Mỹ cùng lúc hội quân tại Trung Đông Những chuyện hài hước nhất hôm nay +112 videos
Chảo lửa Hormuz: Mỹ lên kế hoạch "đòn sấm sét" nếu thỏa thuận ngừng bắn sụp đổ Hiệu ứng cánh bướm từ Eo biển Hormuz: Khi châu Á "hắt hơi", nước Mỹ liệu có "sổ mũi"? Khi quyền lực không thể che lấp tội ác: Toàn cảnh vụ xét xử Rodrigo Duterte tại Tòa án Hình sự Quốc tế
Đồng tiền xương máu và canh bạc 400 nghìn đô: Đặc nhiệm Mỹ "sa lưới" vì đặt cược vào vụ bắt giữ Tổng thống Maduro Hoa Kỳ tước 400 quốc tịch Mỹ, liệu có Việt Cộng trong đó? Kỳ Tích Giữa Đời Thường: Người Phụ Nữ Chiến Thắng "Án Tử" Ung Thư Tụy Nhờ Vũ Khí mRNA Từng Cứu Thế Giới
Nội bộ Mỹ rạn nứt vì chiến tranh Iran: Joe Kent từ chức, phong trào MAGA chia đôi, Nhà Trắng phản pháo dữ dội Tehran xác nhận Ali Larijani tử trận: “cột trụ” sụp đổ Israel “chặt đầu rắn”: Ali Larijani và lực lượng Basij bị tuyên bố tiêu diệt – Iran rơi vào cú sốc
Mỹ – Iran bước vào thế “đánh rồi tính sau” Chuyện hài Hàn Cộng: Khi giấc mộng xóa bỏ Bắc Triều vẫn ám ảnh Washington Mỹ mà thua Iran thì toàn dân, toàn quân Việt Cộng chỉ có con đường chết đói bo bo
Trump gây sức ép toàn cầu mở lại eo Hormuz, chuyến thăm Trung Quốc có thể bị hoãn – NATO và đồng minh vẫn đứng ngoài Đức phản bác Trump: “Đây không phải là cuộc chiến của NATO” – Châu Âu chia rẽ trước khủng hoảng eo Hormuz Trump gây sức ép với Trung Quốc trước thềm thượng đỉnh Bắc Kinh: muốn mở eo Hormuz trước khi nói chuyện
5 vạn quân Mỹ áp sát Iran, bùng nổ đại chiến kinh hoàng tại Trung Đông, “Khi gió chiến tranh nổi lên, không ai biết cát sa mạc sẽ bay về đâu.” Iran xác nhận Giáo Chủ đã chết, 96 vạn quân Iran như rắn mất đầu Qatar và Emirates Airways, Dubai–Doha tê liệt, 1.800 chuyến bay bị hủy, hành khách mắc kẹt khắp nơi
Ông Trump xác nhận Giáo Chủ Iran đã chết, hàng loạt tướng tử vong, 30 vạn quân Iran đào ngũ tháo chạy khắp nơi, binh bại như núi đổ Iran ‘tắt sóng’ 99% sau không kích: internet gần như biến mất, dân Tehran đổ xô tích trữ, xếp hàng mua xăng Mỹ tổng tấn công Iran
Ghế Thủ Tướng “Đổi Gió”? Khi Lê Minh Hưng Không Còn Đi Trên Thảm Đỏ Và “Thắng Đen” Trỗi Dậy Bốn Thượng Tướng Bộ Quốc Phòng Nghỉ Công Tác Từ 1/3: “Hạ Cánh An Toàn” Và Một Vết Nhơ Ở Seoul? Fan MAGA một mình giữa phố Bolsa: Câu chuyện tự do ngôn luận và ‘độ nóng’ của chính trị cộng đồng”

 

iPad Videos Portal Autoscroll

VietBF Music Portal Autoscroll

iPad News Portal Autoscroll

VietBF Homepage Autoscroll

VietBF Video Autoscroll Portal

USA News Autoscroll Portall

VietBF WORLD Autoscroll Portal

Video Classic Master Page

Super Widescreen

iPad World Portal Autoscroll

iPad USA Portal Autoscroll

Phim Bộ Online
Lên đầu Xuống dưới Lên 3000px Xuống 3000px

Tin nóng nhất 24h qua

Tin nóng nhất 3 ngày qua

Tin nóng nhất 7 ngày qua

Tin nóng nhất 30 ngày qua

Albums

Total Videos Online

Tranh luận sôi nổi nhất 7 ngày qua

Tranh luận sôi nổi nhất 14 ngày qua

Tranh luận sôi nổi nhất 30 ngày qua

10.000 Tin mới nhất

Tin tức Hoa Kỳ

Tin tức Công nghệ
Lên đầu Xuống dưới Lên 3000px Xuống 3000px

Duo Series Movies Portal

Duo Music Portal

Phim Bộ

Tỷ Giá

Thời Tiết

Tin Nóng Nhất 50h

Super News

School Cooking Traveling Portal

Enter Portal

Series Shows and Movies Online

Home Classic Master Page

Donation Ủng hộ $3 cho VietBF
Lên đầu Xuống dưới Lên 3000px Xuống 3000px
Diễn Đàn Người Việt Hải Ngoại. Tự do ngôn luận, an toàn và uy tín. Vì một tương lai tươi đẹp cho các thế hệ Việt Nam hãy ghé thăm chúng tôi, hãy tâm sự với chúng tôi mỗi ngày, mỗi giờ và mỗi giây phút có thể. VietBF.Com Xin cám ơn các bạn, chúc tất cả các bạn vui vẻ và gặp nhiều may mắn.
Welcome to Vietnamese American Community, Vietnamese European, Canadian, Australian Forum, Vietnamese Overseas Forum. Freedom of speech, safety and prestige. For a beautiful future for Vietnamese generations, please visit us, talk to us every day, every hour and every moment possible. VietBF.Com Thank you all and good luck.

Lên đầu Xuống dưới Lên 3000px Xuống 3000px

All times are GMT. The time now is 09:57.
VietBF - Vietnamese Best Forum Copyright ©2005 - 2026
User Alert System provided by Advanced User Tagging (Pro) - vBulletin Mods & Addons Copyright © 2026 DragonByte Technologies Ltd.
Log Out Unregistered

Page generated in 0.26081 seconds with 13 queries