HOME-Au
HOME-Au
24h
24h
USA
USA
GOP
GOP
Phim Bộ
Phim Bộ
Videoauto
VIDEO-Au
Home Classic
Home Classic
Donation
Donation
News Book
News Book
News 50
News 50
worldautoscroll
WORLD-Au
Breaking
Breaking
 

Go Back   VietBF > Other News|Tin Khác > School | Kiến thức


Reply
 
Thread Tools
  #1  
Old  Default Vôi hóa nhân tuyến giáp có phải ung thư?
Nhiều người khi đọc kết quả siêu âm tuyến giáp thấy có h́nh ảnh vôi hóa sẽ rất lo lắng bởi cho rằng ḿnh đă bị ung thư tuyến giáp.

Hỏi: Tôi đi siêu âm phát hiện nhân tuyến giáp vôi hóa nên rất lo lắng v́ nghe nói bị vôi hóa sẽ ung thư. Xin hỏi, trường hợp nào nhân tuyến giáp vôi hóa th́ ung thư?

Nguyễn Thị Hạnh (Hà Nội)


Vôi hóa nhân tuyến giáp có phải ung thư?
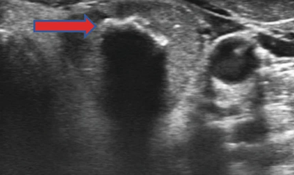
Trả lời: Nhân tuyến giáp là bệnh lư rất phổ biến, ước tính có thể gặp ở 20% số người đi khám bệnh. Tuy nhiên chỉ có khoảng 5% các nhân giáp là ác tính. Nhiệm vụ của các bác sĩ là phải xác định nhân nào có nguy cơ ác tính để chỉ định chọc tế bào, nhân nào chỉ cần theo dơi định kỳ.

May mắn, siêu âm có thể cho biết một số dấu hiệu gợi ư như nhân giảm âm, chiều cao lớn hơn chiều rộng (vuông góc với mặt da), bờ không đều, nhất là dấu hiệu vi vôi hóa trong nhân giáp.

Chính v́ vậy, nhiều người khi đọc kết quả siêu âm tuyến giáp thấy có h́nh ảnh vôi hóa sẽ rất lo lắng bởi cho rằng ḿnh đă bị ung thư tuyến giáp.

Cần phân biệt kết quả siêu âm phát hiện các vi vôi hóa hay là vôi hóa lớn? Một trong những đặc điểm siêu âm quan trọng nhất gợi ư ung thư là sự hiện diện của các vi vôi hóa, được nh́n thấy dưới dạng các điểm sáng nhỏ có kích thước ≤ 1 mm, xuất hiện trên ảnh siêu âm tuyến giáp.

Sự hiện diện của các vi vôi hóa được cho là tương ứng với các thể cát (Psammoma bodies) tṛn, có vôi hóa mà chúng ta quan sát được dưới kính hiển vi khi quan sát mô tuyến giáp ung thư thể nhú sau phẫu thuật.

Do đó, khi có mặt trên siêu âm, vi vôi hóa đại diện cho vùng ung thư tuyến giáp thể nhú. Ngược lại, vôi hóa lớn là những mảng canxi lớn, với kích thước > 1 mm (có thể đến 5-10 mm) có thể xuất hiện bên trong nhân giáp hoặc ở ngoại vi của nhân (gọi là vôi hóa dạng vỏ trứng/ vành), thường được nh́n thấy dưới dạng các điểm sáng lớn trên siêu âm.

Vôi hóa lớn không có liên quan với ung thư tuyến giáp.

Tuy nhiên, v́ vôi hóa cũng có thể gặp ở các nhân tuyến giáp lành tính, nên nó chỉ là một trong các dấu hiệu gợi ư ác tính. Để chắc chắn, bắt buộc phải chọc tế bào nhân giáp để xét nghiệm.

VietBF@ sưu tập
VIETBF Diễn Đàn Hay Nhất Của Người Việt Nam

HOT NEWS 24h

HOT 3 Days

NEWS 3 Days

HOT 7 Days

NEWS 7 Days

HOME

Breaking News

VietOversea

World News

Business News

Car News

Computer News

Game News

USA News

Mobile News

Music News

Movies News

History

Thơ Ca

Sport News

Stranger Stories

Comedy Stories

Cooking Chat

Nice Pictures

Fashion

School

Travelling

Funny Videos

Canada Tin Hay

USA Tin Hay

VietBF Homepage Autoscroll

VietBF Video Autoscroll Portal

Home Classic

Home Classic Master Page

VietBF iPad Music Portal

Tin nóng nhất 50h qua

Phim Bộ Online

Phim Bộ



pizza
R11 Tuyệt Thế Thiên Hạ
Release: 05-16-2025
Reputation: 237154


Profile:
Join Date: Sep 2014
Posts: 107,050
Last Update: None Rating: None
Attached Thumbnails
Click image for larger version

Name:	421.PNG
Views:	0
Size:	521.4 KB
ID:	2525305  
pizza_is_offline
Thanks: 7
Thanked 8,106 Times in 7,216 Posts
Mentioned: 6 Post(s)
Tagged: 0 Thread(s)
Quoted: 41 Post(s)
Rep Power: 130
pizza Reputation Uy Tín Level 10pizza Reputation Uy Tín Level 10pizza Reputation Uy Tín Level 10pizza Reputation Uy Tín Level 10pizza Reputation Uy Tín Level 10pizza Reputation Uy Tín Level 10pizza Reputation Uy Tín Level 10
pizza Reputation Uy Tín Level 10pizza Reputation Uy Tín Level 10pizza Reputation Uy Tín Level 10pizza Reputation Uy Tín Level 10pizza Reputation Uy Tín Level 10pizza Reputation Uy Tín Level 10pizza Reputation Uy Tín Level 10pizza Reputation Uy Tín Level 10pizza Reputation Uy Tín Level 10pizza Reputation Uy Tín Level 10pizza Reputation Uy Tín Level 10pizza Reputation Uy Tín Level 10pizza Reputation Uy Tín Level 10pizza Reputation Uy Tín Level 10pizza Reputation Uy Tín Level 10pizza Reputation Uy Tín Level 10pizza Reputation Uy Tín Level 10pizza Reputation Uy Tín Level 10pizza Reputation Uy Tín Level 10pizza Reputation Uy Tín Level 10pizza Reputation Uy Tín Level 10pizza Reputation Uy Tín Level 10
Reply

User Tag List


Thời mafia lộng hành: Donald Trump và Vladimir Putin biến nền ngoại giao cổ điển trở thành chuyện làm ăn Sáu câu hỏi của thế hệ sau chiến tranh: Giải phóng ai, giải phóng khỏi điều ǵ? Báo động ngành nails: 5 người bị bắt, 2 tiệm niêm phong, chủ đối mặt án tù v́ thuê người không giấy tờ
VinFast ở North Carolina đứng trước nguy cơ bị “thu hồi đất vàng”, Vingroup quay xe sang Ấn Độ với canh bạc 3 tỷ USD Bệnh khoe của và cơn nghiện “chứng tỏ ḿnh” của người Việt thời mạng xă hội Khi Nhật Bản đứng trước cám dỗ hạt nhân: Bao lâu nữa Tokyo phải tự vơ trang?
Sài G̣n “chập mạch” dễ thương: thành phố không thiếu tiền, chỉ dư t́nh người Zelensky tuyên bố sẵn sàng bầu cử giữa làn đạn, bác cáo buộc “trốn phiếu” của Trump Lời hứa muộn màng của người lính cũ
Khi doanh nghiệp Mỹ nổi loạn v́ thuế quan Trump muốn học mô h́nh hưu trí “super” của Úc: Bắt buộc tiết kiệm cho tuổi già Từ cô thợ nails tị nạn đến chủ nhân căn nhà đắt nhất Atlanta
Thuế mới, phố vắng, chợ buồn: Nếu tiểu thương gục ngă, ai bán hàng cho 100 triệu dân? K+ khép lại sau 16 năm: Đế chế bóng đá trả tiền tàn cuộc chơi Người Vợ Lực Lượng Đặc Biệt – Hồi ức về Thiếu Tá Hồ Đăng Nhựt trong mùa Quốc Nạn
Viên tướng nhỏ thó gánh oan khiên Mậu Thân John Riordan – người Mỹ quay lại Sài G̣n để cứu 105 người Việt Evergrande: Từ đế chế số 1 đến quả bom nợ – Bài học nào cho Việt Nam?
Campuchia: Từ Thiên Đường Angkor Đến “Công Xưởng Tội Phạm” Của Mafia Trung Quốc Cuộc Xâm Lược Cuối Cùng Của Trung Quốc Và Trang Sử Bị Xóa Khỏi Kư Ức Việt Nam V́ Sao Số Nhà Ở Mỹ “Nhảy Cóc”? Giải Mă Từ House Number Đến ZIP Code
David Thái, Highlands Coffee Và Những Hành Tŕnh “Đi Rồi Trở Về” Của Thuyền Nhân Việt V́ Sao Quân Đội Trung Quốc Không Đảo Chính? “Đảng Chỉ Huy Quân Đội” Và Nỗi Sợ Được Thể Chế Hóa Tâm Lư Vọng Ngoại Và Căn Bệnh “Bụt Nhà Không Thiêng”
Từ Giọt Nước Mắt Của Mẹ Đến Đế Chế Zara: Hành Tŕnh Của Amancio Ortega “Tâm Hồn Nga” Và Cơn Say Đế Quốc: Từ Crimea Đến Putin “Bên kia vĩ tuyến” và lời tự thú của một Bắc Kỳ 1985
Hiệu ứng Elon Musk: Khi một CEO “tham chính” làm Tesla mất hơn một triệu chiếc xe Điện thoại – phát minh bắt đầu từ một lời gọi yêu thương Thứ trưởng Cao Hùng và nỗi buồn ḥa hợp dân tộc: Không thể không nói
Mười phát minh vĩ đại của người Hồi giáo đă âm thầm làm nên thế giới hiện đại Bẻ găy “chiến dịch” báng bổ tiền nhân: Lịch sử Việt Nam giữa hai cách kể Từ “janitor da đen” đến người cứu sống vạn “em bé xanh”
Cơn mê “phục sinh Liên Xô”: Hoang tưởng đế quốc trong kỷ nguyên mạng xă hội Trung Quốc có c̣n xă hội chủ nghĩa không – hay chỉ là tư bản thân hữu khoác áo đỏ? Kỷ nguyên Tô Lâm: Thiên tai, tham nhũng và những vết nứt dẫn tới sụp đổ

 
Lên đầu Xuống dưới Lên 3000px Xuống 3000px

iPad Videos Portal Autoscroll

VietBF Music Portal Autoscroll

iPad News Portal Autoscroll

VietBF Homepage Autoscroll

VietBF Video Autoscroll Portal

USA News Autoscroll Portall

VietBF WORLD Autoscroll Portal

Home Classic

Super Widescreen

iPad World Portal Autoscroll

iPad USA Portal Autoscroll

Phim Bộ Online

Tin nóng nhất 24h qua

Tin nóng nhất 3 ngày qua

Tin nóng nhất 7 ngày qua

Tin nóng nhất 30 ngày qua

Albums

Total Videos Online
Lên đầu Xuống dưới Lên 3000px Xuống 3000px

Tranh luận sôi nổi nhất 7 ngày qua

Tranh luận sôi nổi nhất 14 ngày qua

Tranh luận sôi nổi nhất 30 ngày qua

10.000 Tin mới nhất

Tin tức Hoa Kỳ

Tin tức Công nghệ
Lên đầu Xuống dưới Lên 3000px Xuống 3000px

Super News

School Cooking Traveling Portal

Enter Portal

Series Shows and Movies Online

Home Classic Master Page

Donation Ủng hộ $3 cho VietBF
Lên đầu Xuống dưới Lên 3000px Xuống 3000px
Diễn Đàn Người Việt Hải Ngoại. Tự do ngôn luận, an toàn và uy tín. V́ một tương lai tươi đẹp cho các thế hệ Việt Nam hăy ghé thăm chúng tôi, hăy tâm sự với chúng tôi mỗi ngày, mỗi giờ và mỗi giây phút có thể. VietBF.Com Xin cám ơn các bạn, chúc tất cả các bạn vui vẻ và gặp nhiều may mắn.
Welcome to Vietnamese American Community, Vietnamese European, Canadian, Australian Forum, Vietnamese Overseas Forum. Freedom of speech, safety and prestige. For a beautiful future for Vietnamese generations, please visit us, talk to us every day, every hour and every moment possible. VietBF.Com Thank you all and good luck.

Lên đầu Xuống dưới Lên 3000px Xuống 3000px

All times are GMT. The time now is 07:03.
VietBF - Vietnamese Best Forum Copyright ©2005 - 2025
User Alert System provided by Advanced User Tagging (Pro) - vBulletin Mods & Addons Copyright © 2025 DragonByte Technologies Ltd.
Log Out Unregistered

Page generated in 0.10924 seconds with 13 queries