HOME-Au
HOME-Au
24h
24h
USA
USA
GOP
GOP
Phim Bộ
Phim Bộ
Videoauto
VIDEO-Au
Donation
Donation
News Book
News Book
News 50
News 50
worldautoscroll
WORLD-Au
Breaking
Breaking
 

Go Back   VietBF > World > World News|Tin Thế Giới > World News |Tin Thế Giới 2006-2019


 
Thread Tools
 
 
  #1  
Old  Default Phát hiện người phụ nữ mang song thai suốt 17 năm
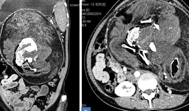
Bụng cô gái ở Ấn Độ cứ to dần và nghĩ rằng do mình béo. Nhưng thấy đâu có ăn nhiều nên đến bệnh viện khám, bác sĩ nghi có khối u, kết quả chụp CT bất ngờ phát hiện bào thai đôi.

Hai thai song sinh đã bị biến dạng song vẫn đang phát triển trong bụng cô gái 17 tuổi. Ban đầu kiểm tra, các bác sĩ không nhìn rõ bào thai. Kiểm tra kỹ hơn, họ khẳng định là thai nhi dù không hoàn chỉnh, với xương đốt sống, xương sườn và xương đùi. Ngoài ra, bào thai còn có tóc và răng, cùng những cấu trúc mô không định hình mà nếu phát triển bình thường sẽ thành những bộ phận cơ thể trẻ sơ sinh.

Bác sĩ xác định đây là hiện tượng thai trong thai, xảy ra một trong số 500.000 ca sinh sản trên thế giới. Tình trạng thai trong thai thường gặp ở trẻ trai, được phát hiện sớm và hiếm khi vượt quá thời thơ ấu. Trường hợp cô gái trẻ này được báo cáo mới đây trên Tạp chí y khoa Anh, là người đầu tiên mang thai song sinh bất thường trong cơ thể mình đến tuổi trưởng thành. Theo Viện Khoa học Y khoa All India, cô cũng là người phụ nữ lớn tuổi nhất được xác định vẫn "mang dấu tích của một song thai".


Ảnh chụp CT khối thai song sinh trong cơ thể cô gái. Ảnh: BMJ Case Reports.

Thai đôi dị dạng bắt đầu phát triển cùng với cô gái khi cô còn trong bụng mẹ, bị hấp thụ vào cơ thể của cô gái và không thể phát triển thêm nữa. Các bác sĩ lý giải, trong bụng người mẹ khi ấy mang ba thai nhi. Một trong ba thai phát triển và lấn lướt hai thai kia, khiến chúng không phát triển bình thường. Thai phát triển bình thường và đứa trẻ được sinh ra chính là cô gái. Hai thai kia không phát triển hệ thần kinh và não, nhưng vẫn sống được như "vật ký sinh" nhờ hấp thụ chất dinh dưỡng từ trong bụng cô gái.

"Quái thai" thường kết thúc bằng diễn biến người mẹ sảy thai do không đủ dinh dưỡng cho thai nhi còn nguyên vẹn. Nếu thai nhi sống sót, hiện tượng này sẽ nhanh chóng được bác sĩ phát hiện trong khi người mẹ sinh nở hoặc thời thơ ấu của đứa trẻ "thai trong thai". Có bảy trường hợp "sống chung với thai nhi" được phát hiện và nay đã trưởng thành.

Các bác sĩ đã phẫu thuật lấy toàn bộ tế bào của đôi song sinh ra khỏi cơ thể cô gái trẻ và tiếp tục theo dõi sức khỏe để đề phòng dấu hiệu bất thường, như tiến triển thành ung thư.

"Tôi rất lo lắng, sau khi phẫu thuật đã khỏe hơn và bụng bây giờ phẳng", cô gái trẻ nói sau hai năm mổ lấy quái thai ra khỏi cơ thể.

VietBF © sưu tầm
Dịch trang: EnglishEnglish DeutschDeutsch FrançaisFrançais EspañolEspañol ItalianoItaliano PortuguêsPortuguês
NorskNorsk NederlandsNederlands DanskDansk SuomiSuomi PolskiPolski ČeštinaČeština РусскийРусский
日本語日本語 한국어한국어 中文(简体)中文(简体) 中文(繁體)中文(繁體) MagyarMagyar TürkçeTürkçe
العربيةالعربية ไทยไทย LatinaLatina हिन्दीहिन्दी Bahasa IndonesiaBahasa Indonesia Bahasa MelayuBahasa Melayu
VIETBF Hybrid Community Content Hub

HOT NEWS 24h

HOT 3 Days

NEWS 3 Days

HOT 7 Days

NEWS 7 Days

HOME

Breaking News

VietOversea

World News

Business News

Car News

Computer News

Game News

USA News

Mobile News

Music News

Movies News

History

Thơ Ca

Sport News

Stranger Stories

Comedy Stories

Cooking Chat

Nice Pictures

Fashion

School

Travelling

Funny Videos

Canada Tin Hay

USA Tin Hay

VietBF Homepage Autoscroll

VietBF Video Autoscroll Portal

Video Classic Master

iPad News Portal

VietBF iPad Music Portal

Tin nóng nhất 50h qua

Phim Bộ Online

iMusic Pro Max



troopy
R10 Vô Địch Thiên Hạ
Release: 08-18-2019
Reputation: 228389


Profile:
Join Date: Oct 2014
Posts: 94,045
Last Update: None Rating: None
Attached Thumbnails
Click image for larger version

Name:	Ảnh chụp Màn hình 2019-08-18 lúc 09.47.25.png
Views:	0
Size:	302.2 KB
ID:	1437877  
troopy_is_offline
Thanks: 76
Thanked 7,131 Times in 6,227 Posts
Mentioned: 5 Post(s)
Tagged: 0 Thread(s)
Quoted: 34 Post(s)
Rep Power: 117
troopy Reputation Uy Tín Level 10troopy Reputation Uy Tín Level 10troopy Reputation Uy Tín Level 10troopy Reputation Uy Tín Level 10troopy Reputation Uy Tín Level 10troopy Reputation Uy Tín Level 10
troopy Reputation Uy Tín Level 10troopy Reputation Uy Tín Level 10troopy Reputation Uy Tín Level 10troopy Reputation Uy Tín Level 10troopy Reputation Uy Tín Level 10troopy Reputation Uy Tín Level 10troopy Reputation Uy Tín Level 10troopy Reputation Uy Tín Level 10troopy Reputation Uy Tín Level 10troopy Reputation Uy Tín Level 10troopy Reputation Uy Tín Level 10troopy Reputation Uy Tín Level 10troopy Reputation Uy Tín Level 10troopy Reputation Uy Tín Level 10troopy Reputation Uy Tín Level 10troopy Reputation Uy Tín Level 10troopy Reputation Uy Tín Level 10troopy Reputation Uy Tín Level 10troopy Reputation Uy Tín Level 10troopy Reputation Uy Tín Level 10troopy Reputation Uy Tín Level 10troopy Reputation Uy Tín Level 10troopy Reputation Uy Tín Level 10
Dịch trang: EnglishEnglish DeutschDeutsch FrançaisFrançais EspañolEspañol ItalianoItaliano PortuguêsPortuguês
NorskNorsk NederlandsNederlands DanskDansk SuomiSuomi PolskiPolski ČeštinaČeština РусскийРусский
日本語日本語 한국어한국어 中文(简体)中文(简体) 中文(繁體)中文(繁體) MagyarMagyar TürkçeTürkçe
العربيةالعربية ไทยไทย LatinaLatina हिन्दीहिन्दी Bahasa IndonesiaBahasa Indonesia Bahasa MelayuBahasa Melayu
 
User Tag List


Scandal tình dục làm rung chuyển cuộc đua thống đốc California: Eric Swalwell “tự bắn vào chân”, cục diện đảo chiều phút chót Cuba giữa vòng vây cấm vận: Bản lĩnh của "Hòn đảo tự do" hay bước đường cùng trước tối hậu thư từ Washington? Eo biển Hormuz bên bờ phong tỏa: Đàm phán Mỹ-Iran sụp đổ, chiến tranh ngôn từ hóa thành đòn siết thương mại toàn cầu
Giấc mơ xe hơi Mỹ dần xa tầm tay: Khi giá xe leo thang, người trẻ chật vật xoay xở Sự thật về vụ nổ súng kinh hoàng của đặc vụ ICE tại California Đàm phán Mỹ–Iran xuyên đêm thất bại: Hừng đông vỡ mộng tại Islamabad
Những chuyện hài hước nhất hôm nay Hội nghị Islamabad: Đêm trắng nghẹt thở bên bờ vực chiến tranh và những "toan tính" trên bàn cờ Mỹ - Iran Sự Thật Bị Che Khuất: Cuộc Chiến Biên Giới 1979 Và Nỗi Đau Lịch Sử Chưa Được Gọi Tên
Mỹ chưa sẵn sàng hộ tống tàu qua Hormuz, Nga bị tố giúp Iran, “Ayatollah” là gì, Mỹ tiết lộ số dầu trung bình-thấp còn trong kho Thông điệp đầu tiên của Tân Giáo Chủ Ba Tư: đóng Hormuz, dọa đánh căn cứ Mỹ và lời trấn an nửa vời với láng giềng Putin trúng số giữa cơn bão Trung Đông: khi dầu mỏ, chiến tranh và ảo tưởng của Trump cùng đẩy Nga hưởng lợi
Iran đưa ra ba điều kiện để chấm dứt chiến tranh, Giá nhiên liệu máy bay tăng mạnh, du lịch Trung Đông thiệt hại 600 triệu USD mỗi ngày California thấp thỏm, Iran mở rộng đòn đánh, hai tàu chở dầu bốc cháy, Mỹ tung 172 triệu thùng, Trump tuyên bố “đã thắng” Mỹ đánh Iran, châu Âu đứng nửa gần nửa xa: Donald Trump bỗng thấy cô đơn giữa vòng đồng minh
“G2” hay giấc mộng lưỡng cực: Trump muốn Mỹ - Trung cùng chia thiên hạ, Bắc Kinh lại không muốn mang tiếng bá quyền Nga ngồi không cũng hưởng lợi: chiến tranh Iran có thể thành “mỏ vàng” mới cho Điện Kremlin Eo biển Hormuz bốc lửa, chiến tranh lan rộng: Tàu hàng Thái Lan nổ tung, Iran có kho thuỷ lôi đáng sợ
DHS “quay xe” vụ dừng PreCheck: Hành khách thở phào, Global Entry vẫn bấp bênh Newsom “lên đường” bằng tour sách: Nếu đối đầu Kamala Harris, đó là… số phận Đêm Mar-a-Lago: Kẻ mang súng và can xăng bị bắn hạ ngay cổng Bắc
Tô Lâm bắt đầu chiến dịch thanh trừng các đàn em của Nguyễn Phú Trọng còn sót lại TRUMP MANG LẠI THÙ GHÉT CHƯA TỪNG THẤY Tràn ngập ảnh Đinh La Thăng ăn tết ở nhà, báo chí trong nước bịt kín thông tin
Trump nâng thuế quan toàn cầu lên 15% sau phán quyết Tối Cao Pháp Viện: “Đòn bẩy” mới, sóng gió mới Bốn năm chiến sự Ukraine: Nga trả giá bằng máu, bằng tiền – và bằng vị thế quốc tế Sydney rộn ràng Hội Chợ Tết Bính Ngọ 2026: Khai mạc tưng bừng – Hôm nay (CN 22/2) tiếp tục 10AM–10PM, pháo bông 9PM

 

iPad Videos Portal Autoscroll

VietBF Music Portal Autoscroll

iPad News Portal Autoscroll

VietBF Homepage Autoscroll

VietBF Video Autoscroll Portal

USA News Autoscroll Portall

VietBF WORLD Autoscroll Portal

Video Classic Master Page

Super Widescreen

iPad World Portal Autoscroll

iPad USA Portal Autoscroll

Phim Bộ Online
Lên đầu Xuống dưới Lên 3000px Xuống 3000px

Tin nóng nhất 24h qua

Tin nóng nhất 3 ngày qua

Tin nóng nhất 7 ngày qua

Tin nóng nhất 30 ngày qua

Albums

Total Videos Online

Tranh luận sôi nổi nhất 7 ngày qua

Tranh luận sôi nổi nhất 14 ngày qua

Tranh luận sôi nổi nhất 30 ngày qua

10.000 Tin mới nhất

Tin tức Hoa Kỳ

Tin tức Công nghệ
Lên đầu Xuống dưới Lên 3000px Xuống 3000px

Duo Series Movies Portal

Duo Music Portal

Phim Bộ

Tỷ Giá

Thời Tiết

Tin Nóng Nhất 50h

Super News

School Cooking Traveling Portal

Enter Portal

Series Shows and Movies Online

Home Classic Master Page

Donation Ủng hộ $3 cho VietBF
Lên đầu Xuống dưới Lên 3000px Xuống 3000px
Diễn Đàn Người Việt Hải Ngoại. Tự do ngôn luận, an toàn và uy tín. Vì một tương lai tươi đẹp cho các thế hệ Việt Nam hãy ghé thăm chúng tôi, hãy tâm sự với chúng tôi mỗi ngày, mỗi giờ và mỗi giây phút có thể. VietBF.Com Xin cám ơn các bạn, chúc tất cả các bạn vui vẻ và gặp nhiều may mắn.
Welcome to Vietnamese American Community, Vietnamese European, Canadian, Australian Forum, Vietnamese Overseas Forum. Freedom of speech, safety and prestige. For a beautiful future for Vietnamese generations, please visit us, talk to us every day, every hour and every moment possible. VietBF.Com Thank you all and good luck.

Lên đầu Xuống dưới Lên 3000px Xuống 3000px

All times are GMT. The time now is 19:23.
VietBF - Vietnamese Best Forum Copyright ©2005 - 2026
User Alert System provided by Advanced User Tagging (Pro) - vBulletin Mods & Addons Copyright © 2026 DragonByte Technologies Ltd.
Log Out Unregistered

Page generated in 0.09553 seconds with 13 queries