HOME-Au
HOME-Au
24h
24h
USA
USA
GOP
GOP
Phim Bộ
Phim Bộ
Videoauto
VIDEO-Au
Home Classic
Home Classic
Donation
Donation
News Book
News Book
News 50
News 50
worldautoscroll
WORLD-Au
Breaking
Breaking
 

Go Back   VietBF > World Box| Thế Giới > Vietnam News | Tin Việt Nam


Reply
 
Thread Tools
  #1  
Old  Default Chủ quan với sức khỏe, nam bệnh nhân trẻ vỡ toác thận
Người đàn ông 37 tuổi từng bị sỏi thận nhưng chưa điều trị dứt điểm. Do có thoát vị đĩa đệm, anh lầm tưởng cơn đau là do cột sống, dẫn đến nhập viện trong t́nh trạng nguy kịch.

Bệnh nhân L.V.T., 37 tuổi, trú tại Hà Nội, nhập viện trong t́nh trạng đau quặn dữ dội vùng thắt lưng trái, cơn đau lan xuống bẹn - b́u, vă mồ hôi, mặt tái nhợt. Khai thác bệnh sử, anh T. từng bị sỏi thận nhưng chưa điều trị triệt để. Đồng thời, do có thoát vị đĩa đệm cột sống thắt lưng, bệnh nhân lầm tưởng đau lưng là do bệnh cột sống gây nên nên chủ quan.

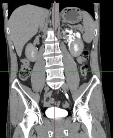
Kết quả siêu âm và CT-Scanner khẩn cấp cho thấy một viên sỏi kích thước khoảng 4 mm kẹt ở 1/3 dưới niệu quản trái, gây tắc nghẽn hoàn toàn ḍng nước tiểu từ thận xuống bàng quang.

Theo bác sĩ Mai Văn Lực, khoa Phẫu thuật Thận Tiết niệu - Nam học, Bệnh viện E, dù thông thường sỏi nhỏ có thể được điều trị nội khoa để tống sỏi ra ngoài, nhưng trong trường hợp này, tắc nghẽn đột ngột khiến áp lực trong đài - bể thận tăng cao, dẫn đến vỡ bể thận - niệu quản. Nước tiểu thoát ra khoang sau phúc mạc, bao quanh thận trái với số lượng lớn, đe dọa nhiễm trùng huyết và suy thận cấp.


Vỡ bể thận niệu quản trái, thoát nước tiểu quanh thận trái. Ảnh: BVCC.
Ngay lập tức, ê-kíp phẫu thuật được kích hoạt. Bệnh nhân được đưa vào pḥng mổ, tiến hành nội soi tán sỏi, đặt sonde JJ bể thận - niệu quản trái, giải phóng tắc nghẽn và xử trí tổn thương. Nhờ can thiệp kịp thời, ca phẫu thuật thành công, bệnh nhân hồi phục tốt và xuất viện sau 5 ngày.

Theo bác sĩ Mai Văn Lực, khoa Phẫu thuật Thận Tiết niệu - Nam học, Bệnh viện E, sỏi niệu quản thực chất là sỏi từ thận rơi xuống và mắc kẹt tại niệu quản. Đây là căn bệnh nhiều người coi thường, chỉ nghĩ gây đau âm ỉ và có thể tự hết. Tuy nhiên, một khi viên sỏi gây tắc nghẽn, thận sẽ giống như "quả bom nước" bị nén chặt, có thể phát nổ bất cứ lúc nào.

Vị chuyên gia cho hay sỏi niệu quản có thể gây ra hàng loạt biến chứng nặng nề:

Giăn đài - bể thận, ứ nước, ứ mủ: tắc nghẽn kéo dài khiến thận giăn to, suy giảm chức năng, nước tiểu tù đọng là môi trường lư tưởng cho vi khuẩn phát triển.
Vỡ bể thận, vỡ niệu quản: áp lực quá lớn khiến đường bài xuất bị rách, nước tiểu thoát ra ngoài gây viêm nhiễm, áp-xe, thậm chí viêm phúc mạc.
Suy thận cấp và mạn tính: tổn thương kéo dài khiến thận mất chức năng không hồi phục, có thể phải chạy thận nhân tạo hoặc ghép thận.
Nhiễm khuẩn huyết: vi khuẩn từ ổ nhiễm lan vào máu gây nhiễm khuẩn huyết, biến chứng nguy hiểm có tỷ lệ tử vong cao.
Bác sĩ Mai Văn Lực nhấn mạnh người dân không nên chủ quan khi có các triệu chứng như đau hông lưng một hoặc hai bên, cơn đau lan xuống bộ phận sinh dục, tiểu buốt, tiểu máu hay sốt kèm rét run. Với những người có tiền sử sỏi tiết niệu, thường xuyên uống ít nước hoặc trong gia đ́nh có người mắc bệnh, việc siêu âm bụng định kỳ 3–6 tháng/lần là rất cần thiết.

"Khi đă được chẩn đoán có sỏi, bệnh nhân phải tuân thủ nghiêm ngặt chỉ định điều trị của bác sĩ, tuyệt đối không tự ư dùng thuốc nam hay các loại thuốc không rơ nguồn gốc. Để pḥng ngừa, mỗi người nên duy tŕ thói quen uống đủ 2-3 lít nước mỗi ngày, xây dựng chế độ ăn cân bằng, hạn chế thực phẩm chứa nhiều oxalat, canxi và muối", bác sĩ nói.

VietBF@ sưu tập
VIETBF Diễn Đàn Hay Nhất Của Người Việt Nam

HOT NEWS 24h

HOT 3 Days

NEWS 3 Days

HOT 7 Days

NEWS 7 Days

HOME

Breaking News

VietOversea

World News

Business News

Car News

Computer News

Game News

USA News

Mobile News

Music News

Movies News

History

Thơ Ca

Sport News

Stranger Stories

Comedy Stories

Cooking Chat

Nice Pictures

Fashion

School

Travelling

Funny Videos

Canada Tin Hay

USA Tin Hay

VietBF Homepage Autoscroll

VietBF Video Autoscroll Portal

Home Classic

Home Classic Master Page



PinaColada
R11 Tuyệt Thế Thiên Hạ
Release: 09-02-2025
Reputation: 136961


Profile:
Join Date: Oct 2013
Posts: 118,931
Last Update: None Rating: None
Attached Thumbnails
Click image for larger version

Name:	211.jpg
Views:	0
Size:	66.3 KB
ID:	2568027   Click image for larger version

Name:	212.PNG
Views:	0
Size:	225.3 KB
ID:	2568028  
PinaColada_is_offline
Thanks: 9
Thanked 7,859 Times in 6,988 Posts
Mentioned: 2 Post(s)
Tagged: 0 Thread(s)
Quoted: 23 Post(s)
Rep Power: 137
PinaColada Reputation Uy Tín Level 9PinaColada Reputation Uy Tín Level 9PinaColada Reputation Uy Tín Level 9PinaColada Reputation Uy Tín Level 9PinaColada Reputation Uy Tín Level 9
PinaColada Reputation Uy Tín Level 9PinaColada Reputation Uy Tín Level 9PinaColada Reputation Uy Tín Level 9PinaColada Reputation Uy Tín Level 9PinaColada Reputation Uy Tín Level 9PinaColada Reputation Uy Tín Level 9PinaColada Reputation Uy Tín Level 9PinaColada Reputation Uy Tín Level 9PinaColada Reputation Uy Tín Level 9PinaColada Reputation Uy Tín Level 9PinaColada Reputation Uy Tín Level 9PinaColada Reputation Uy Tín Level 9PinaColada Reputation Uy Tín Level 9PinaColada Reputation Uy Tín Level 9PinaColada Reputation Uy Tín Level 9PinaColada Reputation Uy Tín Level 9PinaColada Reputation Uy Tín Level 9PinaColada Reputation Uy Tín Level 9PinaColada Reputation Uy Tín Level 9PinaColada Reputation Uy Tín Level 9PinaColada Reputation Uy Tín Level 9
Reply

User Tag List

Thread Tools

“Huyền thoại ‘Trung Quốc là Singapore phóng đại’ đang sụp đổ như thế nào?” Trung Tá Nhảy Dù Bùi Quyền: Từ thủ khoa Vơ Bị đến chiếc ghế trống sau 60 năm gặp lại Làm ǵ có “giải phóng” mà tôn vinh “chiến sĩ giải phóng”?
Cuba cá đầy biển, ngư dân vẫn đói: Khi thiên nhiên hào phóng nhưng thể chế “thắt nút cổ chai” Quận Cam: Người già gốc Việt sống trong nhà tiền chế, run rẩy trước mỗi lá thư cảnh cáo Doanh nghiệp châu Âu lặng lẽ tháo chạy khỏi Trung Quốc, nguyên nhân?
Năm tiếng trong Điện Kremlin: Ḥa b́nh Ukraine đang đến gần? Một tổng thống lim dim, một thế giới nín thở Trump, Venezuela và cơn băo “tội ác chiến tranh” ở Washington
5 bí mật trên buồng lái mà phi công hiếm khi kể cho hành khách Đồng chí 3 X và chiếc b́nh xịt gây tê Hồi kư Trịnh Xuân Thanh và thương vụ 50 triệu đô đưa Nguyễn Cao Kỳ về nước
V́ sao Việt Nam vẫn vắng bóng Nobel Văn học? Khi sự thật bị nhào nặn: Nga, Trung Quốc và cuộc chiến bẻ cong h́nh ảnh dân chủ ‘Đổ bộ lên mặt trời ban đêm’ – khi ngu dốt ngồi lên ngai quyền lực
Xuất khẩu lao động – khi một quốc gia đóng gói tương lai của ḿnh gửi ra nước ngoài Vụ kiện chất độc da cam – khi cộng sản Việt Nam tự làm nhục ḿnh trước thế giới Nhiều người hỏi ḿnh: “Qua Mỹ trễ vậy có hối hận không?”
Lũ quét miền Trung, Khánh Hoà, Nha Trang, “kỷ lục của kỷ lục” +video 12 ngày trên đất Mỹ: Những điều mắt thấy tai nghe của một bà mẹ Việt Khi ‘cái tôi’ ph́nh to hơn thực tài của người Việt Cộng
Bài học nhớ đời khi lao vào bán hàng Amazon theo trend Pokémon Nghỉ hưu ở Texas: Thiên đường mới sau ‘giấc mơ California Nơi sóng radio chết lặng và những chuyện không thể giải thích
Bà Ngô Đ́nh Nhu trên tầng 11 Paris: từ ánh đèn Dinh Độc Lập đến căn hộ cô quạnh “Đánh từ sẵn”: một đêm gơ cửa và cả đời bất an của chú Ba Lợi Người thầy tội nghiệp và nỗi đau hai chữ “lưu dung”

 
Lên đầu Xuống dưới Lên 3000px Xuống 3000px

iPad Videos Portal Autoscroll

VietBF Music Portal Autoscroll

iPad News Portal Autoscroll

VietBF Homepage Autoscroll

VietBF Video Autoscroll Portal

USA News Autoscroll Portall

VietBF WORLD Autoscroll Portal

Home Classic

Super Widescreen

iPad World Portal Autoscroll

iPad USA Portal Autoscroll

Phim Bộ Online

Tin nóng nhất 24h qua

Tin nóng nhất 3 ngày qua

Tin nóng nhất 7 ngày qua

Tin nóng nhất 30 ngày qua

Albums

Total Videos Online
Lên đầu Xuống dưới Lên 3000px Xuống 3000px

Tranh luận sôi nổi nhất 7 ngày qua

Tranh luận sôi nổi nhất 14 ngày qua

Tranh luận sôi nổi nhất 30 ngày qua

10.000 Tin mới nhất

Tin tức Hoa Kỳ

Tin tức Công nghệ
Lên đầu Xuống dưới Lên 3000px Xuống 3000px

Super News

School Cooking Traveling Portal

Enter Portal

Series Shows and Movies Online

Home Classic Master Page

Donation Ủng hộ $3 cho VietBF
Lên đầu Xuống dưới Lên 3000px Xuống 3000px
Diễn Đàn Người Việt Hải Ngoại. Tự do ngôn luận, an toàn và uy tín. V́ một tương lai tươi đẹp cho các thế hệ Việt Nam hăy ghé thăm chúng tôi, hăy tâm sự với chúng tôi mỗi ngày, mỗi giờ và mỗi giây phút có thể. VietBF.Com Xin cám ơn các bạn, chúc tất cả các bạn vui vẻ và gặp nhiều may mắn.
Welcome to Vietnamese American Community, Vietnamese European, Canadian, Australian Forum, Vietnamese Overseas Forum. Freedom of speech, safety and prestige. For a beautiful future for Vietnamese generations, please visit us, talk to us every day, every hour and every moment possible. VietBF.Com Thank you all and good luck.

Lên đầu Xuống dưới Lên 3000px Xuống 3000px

All times are GMT. The time now is 04:53.
VietBF - Vietnamese Best Forum Copyright ©2005 - 2025
User Alert System provided by Advanced User Tagging (Pro) - vBulletin Mods & Addons Copyright © 2025 DragonByte Technologies Ltd.
Log Out Unregistered

Page generated in 0.10788 seconds with 13 queries