HOME-Au
HOME-Au
24h
24h
USA
USA
GOP
GOP
Phim Bộ
Phim Bộ
Videoauto
VIDEO-Au
Home Classic
Home Classic
Donation
Donation
News Book
News Book
News 50
News 50
worldautoscroll
WORLD-Au
Breaking
Breaking
 

Go Back   VietBF > World Box| Thế Giới > Vietnam News | Tin Việt Nam


Reply
 
Thread Tools
  #1  
Old  Default Tê liệt, mất thị lực vì làm điều này trong đám cưới
Một nam giới 45 tuổi đã bị tê liệt, mất thị lực, di chứng thần kinh nặng nề sau khi đốt pháo tự chế trong đám cưới.

Khoa Hồi sức Thần kinh, Bệnh viện Quân đội 108 vừa tiếp nhận điều trị 1 bệnh nhân nam 45 tuổi bị thương tích nặng vùng đầu, mặt do pháo nổ.
Theo thông tin từ người nhà, bệnh nhân bị tai nạn khi tham dự đám cưới. Trong quá trình chuẩn bị châm lửa cho dàn pháo tự chế, một quả pháo bất ngờ phát nổ, gây thương tích nghiêm trọng.

Bệnh nhân được chẩn đoán hôn mê, chấn thương sọ não hở: dập não vùng trán hai bên, vỡ xương vùng trán hai bên - đỉnh phải, vỡ xương phức tạp vùng hàm mặt, vỡ xương đá phải, bỏng độ II -III vùng mặt, bỏng độ II hai mắt.

Bệnh nhân đã được phẫu thuật cấp cứu mở xương sọ vùng trán hai bên giải ép não, lấy dị vật, khâu vết thương phần mềm.


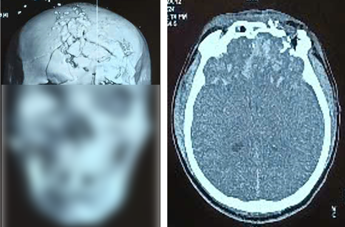
Hình ảnh phim Cắt lớp vi tính xương sọ cho thấy xương sọ bị dập nát và tổn thương não khi bệnh nhân nhập viện. Ảnh BVCC

Sau mổ, bệnh nhân được hồi sức tích cực tại khoa Hồi sức Thần kinh. Bằng sự nỗ lực của các bác sĩ và nhân viên y tế, hiện tại bệnh nhân đã qua cơn nguy kịch, ổn định và đang tiếp tục được theo dõi, điều trị.

Tuy nhiên, tổn thương di chứng thần kinh nặng nề về nhận thức ý thức, liệt vận động, đặc biệt với tổn thương về mắt dẫn đến thị lực của bệnh nhân đã mất vĩnh viễn, cùng với các tổn thương vùng hàm mặt gây di chứng mất thẩm mỹ nặng nề.

Hậu quả của vụ việc gây nên những thương tật vĩnh viễn, ảnh hưởng lâu dài đến cuộc sống của bệnh nhân.

Bác sĩ Nguyễn Công Thành, khoa Hồi sức Thần kinh cho biết, vùng trán là phần não kiểm soát các kỹ năng nhận thức quan trọng ở con người. Chẳng hạn như biểu hiện cảm xúc, giải quyết vấn đề, trí nhớ, ngôn ngữ, phán đoán và hành vi tình dục.

Về bản chất, nó là “bảng điều khiển” tính cách và khả năng giao tiếp của con người. Tổn thương dập não vùng trán hai bên không chỉ gây suy giảm khả năng nhận thức mà còn có thể dẫn đến rối loạn hành vi, mất khả năng tập trung hoặc thậm chí thay đổi tính cách.

Việc bệnh nhân bị vỡ xương sọ, đặc biệt là vùng trán và đỉnh, đi kèm tăng áp lực nội sọ có nguy cơ gây chèn ép nghiêm trọng lên mô não, làm tổn thương không thể phục hồi các tế bào thần kinh.

Ngoài ra, chấn thương sọ não hở làm tăng nguy cơ nhiễm trùng thần kinh trung ương; tổn thương xương hàm mặt không chỉ ảnh hưởng đến thẩm mỹ mà còn gây khó khăn trong ăn uống, giao tiếp, để lại những tác động lâu dài đến thể chất và tâm lí của nạn nhân.

Vài năm gần đây, cứ đến dịp cuối năm, trước Tết Nguyên đán lại có nhiều vụ tai nạn do pháo tự chế, gây tổn thương nặng nề cho nhiều thanh niên, thậm chí là tử vong.

Do đó, bác sĩ Thành khuyến cáo, người dân cần tự giác thực hiện nghiêm các quy định của pháp luật về quản lý và sử dụng các loại pháo nổ, để ngăn ngừa những hậu quả nghiêm trọng về tính mạng và tài sản có thể xảy ra, góp phần bảo đảm trật tự an toàn xã hội.

Các cấp chính quyền, ban, ngành, đoàn thể cần tuyên truyền và giáo dục nhân dân thực hiện nghiêm quy định về phòng chống pháo nổ, đồng thời kiên quyết xử lý nghiêm các trường hợp vi phạm pháp luật về pháo nổ.

VietBF@ sưu tập
VIETBF Diễn Đàn Hay Nhất Của Người Việt Nam

HOT NEWS 24h

HOT 3 Days

NEWS 3 Days

HOT 7 Days

NEWS 7 Days

HOME

Breaking News

VietOversea

World News

Business News

Car News

Computer News

Game News

USA News

Mobile News

Music News

Movies News

History

Thơ Ca

Sport News

Stranger Stories

Comedy Stories

Cooking Chat

Nice Pictures

Fashion

School

Travelling

Funny Videos

Canada Tin Hay

USA Tin Hay

VietBF Homepage Autoscroll

VietBF Video Autoscroll Portal

Home Classic

Home Classic Master Page



pizza
R11 Tuyệt Thế Thiên Hạ
Release: 12-27-2024
Reputation: 237146


Profile:
Join Date: Sep 2014
Posts: 106,705
Last Update: None Rating: None
Attached Thumbnails
Click image for larger version

Name:	471.png
Views:	0
Size:	781.2 KB
ID:	2470593  
pizza_is_offline
Thanks: 7
Thanked 8,102 Times in 7,212 Posts
Mentioned: 6 Post(s)
Tagged: 0 Thread(s)
Quoted: 41 Post(s)
Rep Power: 129
pizza Reputation Uy Tín Level 10pizza Reputation Uy Tín Level 10pizza Reputation Uy Tín Level 10pizza Reputation Uy Tín Level 10pizza Reputation Uy Tín Level 10pizza Reputation Uy Tín Level 10pizza Reputation Uy Tín Level 10
pizza Reputation Uy Tín Level 10pizza Reputation Uy Tín Level 10pizza Reputation Uy Tín Level 10pizza Reputation Uy Tín Level 10pizza Reputation Uy Tín Level 10pizza Reputation Uy Tín Level 10pizza Reputation Uy Tín Level 10pizza Reputation Uy Tín Level 10pizza Reputation Uy Tín Level 10pizza Reputation Uy Tín Level 10pizza Reputation Uy Tín Level 10pizza Reputation Uy Tín Level 10pizza Reputation Uy Tín Level 10pizza Reputation Uy Tín Level 10pizza Reputation Uy Tín Level 10pizza Reputation Uy Tín Level 10pizza Reputation Uy Tín Level 10pizza Reputation Uy Tín Level 10pizza Reputation Uy Tín Level 10pizza Reputation Uy Tín Level 10pizza Reputation Uy Tín Level 10pizza Reputation Uy Tín Level 10
Reply

User Tag List


Khủng hoảng “affordability” ở Mỹ Trump mở cửa chip H200 cho Trung Quốc và cuộc chiến giành “quyền viết luật” cho trí tuệ nhân tạo Google và giấc mơ thay thế smartphone bằng cặp kính AI
Trump, Netflix và Paramount: Cuộc chiến thâu tóm Warner Bros. biến Hollywood thành bàn cờ chính trị Trung Quốc bứt tốc xuất khẩu, nông dân Mỹ sống bằng trợ cấp VN: Sợ áp lực mỗi khi ra tòa, Hoa hậu Thùy Tiên chấp nhận bản án 2 năm tù
Lại to tiếng: Ông Trump nói nữ ký giả của CNN là "ngu ngốc và độc ác" Zelensky chạy đua ngoại giao: London, Brussels, Rome và cái bóng hòa kế của Trump New Orleans trong vòng vây ICE: Chiến dịch “Catahoula Crunch” và nỗi lo của người Việt
“Huyền thoại ‘Trung Quốc là Singapore phóng đại’ đang sụp đổ như thế nào?” Trung Tá Nhảy Dù Bùi Quyền: Từ thủ khoa Võ Bị đến chiếc ghế trống sau 60 năm gặp lại Làm gì có “giải phóng” mà tôn vinh “chiến sĩ giải phóng”?
Cuba cá đầy biển, ngư dân vẫn đói: Khi thiên nhiên hào phóng nhưng thể chế “thắt nút cổ chai” Quận Cam: Người già gốc Việt sống trong nhà tiền chế, run rẩy trước mỗi lá thư cảnh cáo Doanh nghiệp châu Âu lặng lẽ tháo chạy khỏi Trung Quốc, nguyên nhân?
Năm tiếng trong Điện Kremlin: Hòa bình Ukraine đang đến gần? Một tổng thống lim dim, một thế giới nín thở Trump, Venezuela và cơn bão “tội ác chiến tranh” ở Washington
5 bí mật trên buồng lái mà phi công hiếm khi kể cho hành khách Đồng chí 3 X và chiếc bình xịt gây tê Hồi ký Trịnh Xuân Thanh và thương vụ 50 triệu đô đưa Nguyễn Cao Kỳ về nước
Vì sao Việt Nam vẫn vắng bóng Nobel Văn học? Khi sự thật bị nhào nặn: Nga, Trung Quốc và cuộc chiến bẻ cong hình ảnh dân chủ ‘Đổ bộ lên mặt trời ban đêm’ – khi ngu dốt ngồi lên ngai quyền lực
Xuất khẩu lao động – khi một quốc gia đóng gói tương lai của mình gửi ra nước ngoài Vụ kiện chất độc da cam – khi cộng sản Việt Nam tự làm nhục mình trước thế giới Nhiều người hỏi mình: “Qua Mỹ trễ vậy có hối hận không?”
Lũ quét miền Trung, Khánh Hoà, Nha Trang, “kỷ lục của kỷ lục” +video 12 ngày trên đất Mỹ: Những điều mắt thấy tai nghe của một bà mẹ Việt Khi ‘cái tôi’ phình to hơn thực tài của người Việt Cộng
Bài học nhớ đời khi lao vào bán hàng Amazon theo trend Pokémon Nghỉ hưu ở Texas: Thiên đường mới sau ‘giấc mơ California Nơi sóng radio chết lặng và những chuyện không thể giải thích
Bà Ngô Đình Nhu trên tầng 11 Paris: từ ánh đèn Dinh Độc Lập đến căn hộ cô quạnh “Đánh từ sẵn”: một đêm gõ cửa và cả đời bất an của chú Ba Lợi Người thầy tội nghiệp và nỗi đau hai chữ “lưu dung”

 
Lên đầu Xuống dưới Lên 3000px Xuống 3000px

iPad Videos Portal Autoscroll

VietBF Music Portal Autoscroll

iPad News Portal Autoscroll

VietBF Homepage Autoscroll

VietBF Video Autoscroll Portal

USA News Autoscroll Portall

VietBF WORLD Autoscroll Portal

Home Classic

Super Widescreen

iPad World Portal Autoscroll

iPad USA Portal Autoscroll

Phim Bộ Online

Tin nóng nhất 24h qua

Tin nóng nhất 3 ngày qua

Tin nóng nhất 7 ngày qua

Tin nóng nhất 30 ngày qua

Albums

Total Videos Online
Lên đầu Xuống dưới Lên 3000px Xuống 3000px

Tranh luận sôi nổi nhất 7 ngày qua

Tranh luận sôi nổi nhất 14 ngày qua

Tranh luận sôi nổi nhất 30 ngày qua

10.000 Tin mới nhất

Tin tức Hoa Kỳ

Tin tức Công nghệ
Lên đầu Xuống dưới Lên 3000px Xuống 3000px

Super News

School Cooking Traveling Portal

Enter Portal

Series Shows and Movies Online

Home Classic Master Page

Donation Ủng hộ $3 cho VietBF
Lên đầu Xuống dưới Lên 3000px Xuống 3000px
Diễn Đàn Người Việt Hải Ngoại. Tự do ngôn luận, an toàn và uy tín. Vì một tương lai tươi đẹp cho các thế hệ Việt Nam hãy ghé thăm chúng tôi, hãy tâm sự với chúng tôi mỗi ngày, mỗi giờ và mỗi giây phút có thể. VietBF.Com Xin cám ơn các bạn, chúc tất cả các bạn vui vẻ và gặp nhiều may mắn.
Welcome to Vietnamese American Community, Vietnamese European, Canadian, Australian Forum, Vietnamese Overseas Forum. Freedom of speech, safety and prestige. For a beautiful future for Vietnamese generations, please visit us, talk to us every day, every hour and every moment possible. VietBF.Com Thank you all and good luck.

Lên đầu Xuống dưới Lên 3000px Xuống 3000px

All times are GMT. The time now is 10:19.
VietBF - Vietnamese Best Forum Copyright ©2005 - 2025
User Alert System provided by Advanced User Tagging (Pro) - vBulletin Mods & Addons Copyright © 2025 DragonByte Technologies Ltd.
Log Out Unregistered

Page generated in 0.11722 seconds with 15 queries