HOME-Au
HOME-Au
24h
24h
USA
USA
GOP
GOP
Phim Bộ
Phim Bộ
Videoauto
VIDEO-Au
Donation
Donation
News Book
News Book
News 50
News 50
worldautoscroll
WORLD-Au
Breaking
Breaking
 

Go Back   VietBF > Others (Closed Forums) > Archive - Old News 2005-2011 (closed)

 
Thread Tools
 
 
Default Cứu sống cháu bé 7 tuổi bị mắc lưỡi câu trong phổi
Old 09-16-2011   #1
dh2003
R7 Tuyệt Đỉnh Cao Thủ
 
Join Date: Sep 2008
Posts: 9,141
Thanks: 0
Thanked 1 Time in 1 Post
Mentioned: 0 Post(s)
Tagged: 0 Thread(s)
Quoted: 0 Post(s)
Rep Power: 27
dh2003 Reputation Uy Tín Level 1dh2003 Reputation Uy Tín Level 1
Chiều 16/9, tin từ các BS chuyên khoa Tai - Mũi - Họng, bệnh viện đa khoa Đà Nẵng cho biết: đã phẫu thuật cấp cứu thành công cháu bé 7 tuổi bị mắc lưỡi câu trong phỗi.



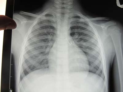
Bản chụp X-Quang thấy rõ lưỡi câu mắc trong phổi bệnh nhi

Bệnh nhi N.X.T 7 tuổi, là người dân tộc Cơ tu thường trú tại huyện Nam Trà My, tỉnh Quảng Nam. Trước đó, ngày 10/9, bệnh nhi nhập viện trong tình trạng ngột thở, ho sặc sụa. Qua nội soi cấp cứu, phát hiện 1 lưỡi câu còn nguyên móc, dài 1,5cm mắc ở phổi. Lưỡi câu cắm vào niêm mạc của phế quản. Các bác sĩ đã tiến hành phẫu thuật cấp cứu lấy lưỡi câu ra khỏi phổi bệnh nhi an toàn. Qua theo dõi điều trị, hiện sức khỏe bệnh nhi đã bình phục hoàn toàn.

Điều tra bệnh lý, người nhà bệnh nhi cho biết: trong lúc đi câu cá với các bạn, sợ các bạn giành mất lưỡi câu nên cháu ngậm giấu lưỡi câu trong miệng. Không may, cháu để lưỡi câu tuột luôn xuống họng. Khi cháu bị ngạt thở nguy cấp, người nhà đưa ra viện điều trị mới tá hỏa khi biết lưỡi câu mắc hẳn vào trong phổi. Các bác sĩ chuyên khoa nhận định, rất may cháu bé được cấp cứu kịp thời, không thì khó tránh khỏi nguy cơ thiệt mạng.

Khánh Hiền
Theo DânTrí
dh2003_is_offline  
Attached Thumbnails
Click image for larger version

Name:	1_9d71c.jpg
Views:	22
Size:	9.7 KB
ID:	317483  
 
User Tag List


CHINA - "Bóng ma" MT Tifani và Trạm xăng nổi giữa đại dương USA - "Ván bài lật ngửa" ở Florida ENGLAND - Vua Anh sang Mỹ dập tắt "lửa"
USA - Cuộc chiến "Thuốc diệt cỏ" USA - Nghề "làm dâu trăm họ" giữa không trung USA - Trump & Đệ nhất phu nhân đòi đuổi Jimmy Kimmel
USA - Những chuyện hài hước nhất hôm nay +221 videos VN - Chấn động Quận 1: Hà Tâm bị bố ráp USA - Zillow & Redfin "đầu hàng" trước Compass?
Mẹ nhà báo chống Cộng "Cô Gái Đồ Long" qua đời Số phận "16 tấn vàng của TT Thiệu" và 40 tấn vàng của VNCH Nam ca sĩ Hải Ngoại bất tỉnh nhân sự, sắp qua đời
Eo biển Hormuz lại “tắt lửa”: Israel đánh Lebanon, Iran lập tức siết van dầu – Thỏa thuận ngừng bắn Mỹ–Iran đứng bên bờ sụp đổ Israel không dừng tay: Vì sao Hezbollah vẫn là “mục tiêu sống còn” dù Mỹ–Iran nói chuyện hòa bình? Trump đặt “lằn ranh đỏ” uranium: Đàm phán Mỹ – Iran bước vào giai đoạn quyết định, Trung Đông căng như dây đàn
Iran lại đóng eo Hormuz, dầu mỏ nghẹt thở: Trung Đông bước vào ván cờ quyền lực mới đầy bất trắc Eo biển Hormuz mở lại sau lệnh ngừng bắn: Mỹ tuyên bố chiến thắng, nhưng Trung Đông vẫn như “lửa âm ỉ dưới tro tàn” Ngừng bắn 14 ngày Mỹ – Iran: Khoảng lặng trước bão
Úc từ chối gửi tàu tới eo biển Hormuz, đồng minh Mỹ bắt đầu do dự trước lời kêu gọi của Trump Ông Trump phàn nàn, NATO, Liên minh mà chẳng chịu giúp gì, kêu gọi cả Trung Quốc tham gia mở lại eo biển Hormuz giữa khủng hoảng dầu mỏ toàn cầu Sáu quân nhân Không quân Mỹ thiệt mạng trong vụ rơi máy bay KC-135 tại Iraq – những con người phía sau một nhiệm vụ chiến tranh
Trump nghi ngờ Giáo Chủ Iran Mojtaba Khamenei đã chết, Tehran khẳng định “vẫn khỏe mạnh” Formula 1: hai chặng Bahrain và Saudi Arabia bị hủy trong tháng 4, lịch đua thế giới đảo lộn Israel tuyên bố hạ sát hai tướng tình báo Iran, 400 đợt không kích dội xuống Tehran và miền tây Iran
Drone tự sát đánh vào Đại sứ quán Mỹ tại Baghdad: chiến tranh Trung Đông lan tới “Vùng Xanh”, khói lửa bốc lên giữa thủ đô Iraq Iran đánh cảng dầu của UAE, cảnh cáo Mỹ sau vụ tổng oanh tạc đảo Kharg Mỹ tổng không kích Kharg, dọn đường cho khả năng đổ bộ, Iran đứng trước kịch bản “đốt đảo” nếu thất thủ
Cuộc đấu trí giữa Lầu Năm Góc và các ông lớn AI Từ quan chức Đảng đến người kéo mì ở New York Bóng Ma Epstein Trở Lại: Bill Clinton bị thẩm vấn
Hillary Clinton đối mặt hồ sơ Epstein Chủ tịch Thành Phố Hà Nội bị mất chức Hàn Cộng đe doạ bắn tên lửa nguyên tử
Cựu phi công Mỹ bị cáo buộc huấn luyện không quân Trung Quốc 200 vạn binh Hoa Kỳ sẵn sàng đánh phủ đầu Iran Cuộc đại thanh trừng trong quân đội Trung Quốc sâu đến mức nào?

 

iPad Videos Portal Autoscroll

VietBF Music Portal Autoscroll

iPad News Portal Autoscroll

VietBF Homepage Autoscroll

VietBF Video Autoscroll Portal

USA News Autoscroll Portall

VietBF WORLD Autoscroll Portal

Video Classic Master Page

Super Widescreen

iPad World Portal Autoscroll

iPad USA Portal Autoscroll

Phim Bộ Online
Lên đầu Xuống dưới Lên 3000px Xuống 3000px

Tin nóng nhất 24h qua

Tin nóng nhất 3 ngày qua

Tin nóng nhất 7 ngày qua

Tin nóng nhất 30 ngày qua

Albums

Total Videos Online

Tranh luận sôi nổi nhất 7 ngày qua

Tranh luận sôi nổi nhất 14 ngày qua

Tranh luận sôi nổi nhất 30 ngày qua

10.000 Tin mới nhất

Tin tức Hoa Kỳ

Tin tức Công nghệ
Lên đầu Xuống dưới Lên 3000px Xuống 3000px

Duo Series Movies Portal

Duo Music Portal

Phim Bộ

Tỷ Giá

Thời Tiết

Tin Nóng Nhất 50h

Super News

School Cooking Traveling Portal

Enter Portal

Series Shows and Movies Online

Home Classic Master Page

Donation Ủng hộ $3 cho VietBF
Lên đầu Xuống dưới Lên 3000px Xuống 3000px
Diễn Đàn Người Việt Hải Ngoại. Tự do ngôn luận, an toàn và uy tín. Vì một tương lai tươi đẹp cho các thế hệ Việt Nam hãy ghé thăm chúng tôi, hãy tâm sự với chúng tôi mỗi ngày, mỗi giờ và mỗi giây phút có thể. VietBF.Com Xin cám ơn các bạn, chúc tất cả các bạn vui vẻ và gặp nhiều may mắn.
Welcome to Vietnamese American Community, Vietnamese European, Canadian, Australian Forum, Vietnamese Overseas Forum. Freedom of speech, safety and prestige. For a beautiful future for Vietnamese generations, please visit us, talk to us every day, every hour and every moment possible. VietBF.Com Thank you all and good luck.

Lên đầu Xuống dưới Lên 3000px Xuống 3000px

All times are GMT. The time now is 13:46.
VietBF - Vietnamese Best Forum Copyright ©2005 - 2026
User Alert System provided by Advanced User Tagging (Pro) - vBulletin Mods & Addons Copyright © 2026 DragonByte Technologies Ltd.
Log Out Unregistered

Page generated in 0.10126 seconds with 13 queries