HOME-Au
HOME-Au
24h
24h
USA
USA
GOP
GOP
Phim Bộ
Phim Bộ
Videoauto
VIDEO-Au
Donation
Donation
News Book
News Book
News 50
News 50
worldautoscroll
WORLD-Au
Breaking
Breaking
 

Go Back   VietBF > Other > School | Kiến thức > School | Kiến thức 2006-2019


 
Thread Tools
 
 
  #1  
Old  Default Những người thích ăn cay nên đọc bài viết sau
Ớt là một gia vị trong bữa ăn. Nhưng đã là gia vị chỉ nên "thoang thoảng" thôi. Nhiều người ăn quá cay không có lợi cho sức khỏe. Câu chuyện sau đây giúp những người ăn cay quá nên lưu ý.

Sau khi ăn loại ớt cay nhất thế giới, người đàn ông mắc phải hàng loạt chứng bệnh liên quan tới não bộ phải nhập viện điều trị.

Người đàn ông 34 tuổi, tham gia một cuộc thi ăn ớt cay nhất thế giới tại New York. Sau khi trải nghiệm loại ớt này, anh mắc phải những cơn đau dữ dội ở đầu và cổ. Ngay lập tức, anh này được đưa tới bệnh viện để cấp cứu.

Tiến sĩ Kulothungan Gunasekaran, công tác tại Bệnh viện Henry Ford ở Detroit, Mỹ cho biết: "Bệnh nhân ăn những thứ rất cay và ngay lập tức cảm thấy đau đầu như búa bổ. Theo báo cáo của nhân viên y tế sơ cứu, cơn đau bắt đầu ở phần sau của đầu và lan nhanh chỉ trong vòng hai giây".



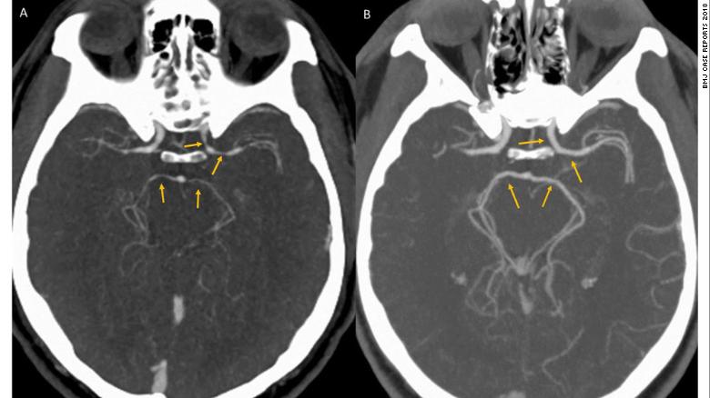
Hình ảnh chụp CT não bộ của người đàn ông ở Bệnh viện Henry Ford, Mỹ. (Ảnh: CNN)

Theo Tạp chí BMJ Case Reports, ngay khi người này tới bệnh viện, các bác sĩ thực hiện khám lâm sàng và xét nghiệm để chẩn đoán bệnh. Tuy nhiên, các kết quả trả về khiến bác sĩ bối rối.

Bệnh nhân không có bất cứ sự tổn hại về thần kinh nào hay có triệu chứng của một cơn đột quỵ não. Hình ảnh chụp CT cũng loại trừ việc anh này có cục máu đông hoặc bị chảy máu trong não.

Vậy, rốt cuộc người đàn ông này mắc chứng bệnh gì?

Theo các bác sĩ điều trị, thông qua ảnh chụp CT, họ phát hiện ra một điều lạ lùng: Các động mạch cảnh bên trái và bốn mạch máu khác cung cấp máu cho não đều bị thu hẹp hơn so với người bình thường.

Từ đây, bác sĩ Gunasekaran và các đồng nghiệp đưa ra được kết luận: Bệnh nhân trên đã mắc phải mắc hội chứng co thắt mạch máu co giật hồi phục (hay còn gọi là RCVS) do ăn ớt quá cay nóng.



Ăn loại ớt cay nhất thế giới có thể khiến bệnh nhân bị những cơn đau đầu dữ dội

Theo bác sĩ Anne Ducros, chuyên gia thần kinh học, người đứng đầu nhóm nghiên cứu về chứng đau nửa đầu và đau đầu, hội chứng RCVS đặc trưng bởi cơn đau đầu "sấm sét". Bệnh nhân bị đau đầu dữ dội do sự co thắt của các mạch máu trong não.

Chuyên gia này cho biết, bệnh thường liên quan đến một số loại thuốc như ergotamine hoặc triptans, và các loại chất bất hợp pháp như cocaine và amphetamines. Đây là lần đầu tiên các bác sĩ tiếp nhận một trường hợp bệnh nhân mắc hội chứng này do ăn ớt rất cay.

Theo bác sĩ Ducros, bệnh thường bộc phát và tự khỏi sau vài ngày, nhưng bệnh viện cũng từng ghi nhận các trường hợp mắc bệnh nặng, đe dọa tới mạng sống bởi vì khi đó, bệnh gây ra chứng đột quỵ hoặc chảy máu não.

Các chuyên gia cho biết, bệnh RCVS gây ra bởi ớt cay vì trong loại gia vị này có nồng độ capsaicin cao. Đây là một chất hóa học gây cảm giác cay nóng trong thực phẩm. Chất này thường gây co thắt các mạch máu ở một số bộ phận của cơ thể người, thậm chí từng được sử dụng với nồng độ thấp trong một số loại thuốc.

“Thật không may, bệnh này vẫn chưa được biết đến rộng rãi, và chúng có thể gây nguy hiểm cho con người nếu như không nhận thức nó một cách đúng đắn”, bác sĩ Ducros cho biết.

Về phần người đàn ông 34 tuổi, sau 5 ngày điều trị tại bệnh viện, tình trạng co thắt mạch máu não của anh này được điều trị dứt điểm. Đến nay, anh đã được xuất viện, khỏe mạnh.
Dịch trang: EnglishEnglish DeutschDeutsch FrançaisFrançais EspañolEspañol ItalianoItaliano PortuguêsPortuguês
NorskNorsk NederlandsNederlands DanskDansk SuomiSuomi PolskiPolski ČeštinaČeština РусскийРусский
日本語日本語 한국어한국어 中文(简体)中文(简体) 中文(繁體)中文(繁體) MagyarMagyar TürkçeTürkçe
العربيةالعربية ไทยไทย LatinaLatina हिन्दीहिन्दी Bahasa IndonesiaBahasa Indonesia Bahasa MelayuBahasa Melayu
VIETBF Hybrid Community Content Hub

HOT NEWS 24h

HOT 3 Days

NEWS 3 Days

HOT 7 Days

NEWS 7 Days

HOME

Breaking News

VietOversea

World News

Business News

Car News

Computer News

Game News

USA News

Mobile News

Music News

Movies News

History

Thơ Ca

Sport News

Stranger Stories

Comedy Stories

Cooking Chat

Nice Pictures

Fashion

School

Travelling

Funny Videos

Canada Tin Hay

USA Tin Hay

VietBF Homepage Autoscroll

VietBF Video Autoscroll Portal

Video Classic Master

iPad News Portal

VietBF iPad Music Portal

Tin nóng nhất 50h qua

Phim Bộ Online

iMusic Pro Max



pizza
R11 Tuyệt Thế Thiên Hạ
Release: 04-10-2018
Reputation: 237262


Profile:
Join Date: Sep 2014
Posts: 110,887
Last Update: None Rating: None
Attached Thumbnails
Click image for larger version

Name:	122.jpg
Views:	0
Size:	51.3 KB
ID:	1201770   Click image for larger version

Name:	121.jpg
Views:	0
Size:	56.1 KB
ID:	1201771  
pizza_is_offline
Thanks: 7
Thanked 8,160 Times in 7,270 Posts
Mentioned: 6 Post(s)
Tagged: 0 Thread(s)
Quoted: 41 Post(s)
Rep Power: 133
pizza Reputation Uy Tín Level 10pizza Reputation Uy Tín Level 10pizza Reputation Uy Tín Level 10pizza Reputation Uy Tín Level 10pizza Reputation Uy Tín Level 10pizza Reputation Uy Tín Level 10pizza Reputation Uy Tín Level 10
pizza Reputation Uy Tín Level 10pizza Reputation Uy Tín Level 10pizza Reputation Uy Tín Level 10pizza Reputation Uy Tín Level 10pizza Reputation Uy Tín Level 10pizza Reputation Uy Tín Level 10pizza Reputation Uy Tín Level 10pizza Reputation Uy Tín Level 10pizza Reputation Uy Tín Level 10pizza Reputation Uy Tín Level 10pizza Reputation Uy Tín Level 10pizza Reputation Uy Tín Level 10pizza Reputation Uy Tín Level 10pizza Reputation Uy Tín Level 10pizza Reputation Uy Tín Level 10pizza Reputation Uy Tín Level 10pizza Reputation Uy Tín Level 10pizza Reputation Uy Tín Level 10pizza Reputation Uy Tín Level 10pizza Reputation Uy Tín Level 10pizza Reputation Uy Tín Level 10pizza Reputation Uy Tín Level 10
Dịch trang: EnglishEnglish DeutschDeutsch FrançaisFrançais EspañolEspañol ItalianoItaliano PortuguêsPortuguês
NorskNorsk NederlandsNederlands DanskDansk SuomiSuomi PolskiPolski ČeštinaČeština РусскийРусский
日本語日本語 한국어한국어 中文(简体)中文(简体) 中文(繁體)中文(繁體) MagyarMagyar TürkçeTürkçe
العربيةالعربية ไทยไทย LatinaLatina हिन्दीहिन्दी Bahasa IndonesiaBahasa Indonesia Bahasa MelayuBahasa Melayu
 
User Tag List



 

iPad Videos Portal Autoscroll

VietBF Music Portal Autoscroll

iPad News Portal Autoscroll

VietBF Homepage Autoscroll

VietBF Video Autoscroll Portal

USA News Autoscroll Portall

VietBF WORLD Autoscroll Portal

Video Classic Master Page

Super Widescreen

iPad World Portal Autoscroll

iPad USA Portal Autoscroll

Phim Bộ Online
Lên đầu Xuống dưới Lên 3000px Xuống 3000px

Tin nóng nhất 24h qua

Tin nóng nhất 3 ngày qua

Tin nóng nhất 7 ngày qua

Tin nóng nhất 30 ngày qua

Albums

Total Videos Online

Tranh luận sôi nổi nhất 7 ngày qua

Tranh luận sôi nổi nhất 14 ngày qua

Tranh luận sôi nổi nhất 30 ngày qua

10.000 Tin mới nhất

Tin tức Hoa Kỳ

Tin tức Công nghệ
Lên đầu Xuống dưới Lên 3000px Xuống 3000px

Duo Series Movies Portal

Duo Music Portal

Phim Bộ

Tỷ Giá

Thời Tiết

Tin Nóng Nhất 50h

Super News

School Cooking Traveling Portal

Enter Portal

Series Shows and Movies Online

Home Classic Master Page

Donation Ủng hộ $3 cho VietBF
Lên đầu Xuống dưới Lên 3000px Xuống 3000px
Diễn Đàn Người Việt Hải Ngoại. Tự do ngôn luận, an toàn và uy tín. Vì một tương lai tươi đẹp cho các thế hệ Việt Nam hãy ghé thăm chúng tôi, hãy tâm sự với chúng tôi mỗi ngày, mỗi giờ và mỗi giây phút có thể. VietBF.Com Xin cám ơn các bạn, chúc tất cả các bạn vui vẻ và gặp nhiều may mắn.
Welcome to Vietnamese American Community, Vietnamese European, Canadian, Australian Forum, Vietnamese Overseas Forum. Freedom of speech, safety and prestige. For a beautiful future for Vietnamese generations, please visit us, talk to us every day, every hour and every moment possible. VietBF.Com Thank you all and good luck.

Lên đầu Xuống dưới Lên 3000px Xuống 3000px

All times are GMT. The time now is 07:57.
VietBF - Vietnamese Best Forum Copyright ©2005 - 2026
User Alert System provided by Advanced User Tagging (Pro) - vBulletin Mods & Addons Copyright © 2026 DragonByte Technologies Ltd.
Log Out Unregistered

Page generated in 0.12038 seconds with 15 queries