Smart phone đang trở nên quá phổ biến và cha mẹ thường cho con chơi một cách vô tư. Việc ham chơi dần trở thành nghiện lúc nào không hay cần phải cảnh báo không thể coi thường. Trường hợp hy hữu mới đây ở Trung Quốc đã có một bé gái 10 tuổi vì chơi điện thoại mà đã... gãy cổ đó.
Nạn nhân của trường hợp hy hữu này là cô bé Doanh Doanh, sống cùng gia đình tại Thai Châu (Chiết Giang, Trung Quốc).
Từ nhỏ, Doanh Doanh đã được gia đình rất mực cưng chiều. Điện thoại, ipad là những vật dụng Giải trí thường xuyên của cô bé.
Theo lời kể của mẹ Doanh Doanh, hôm xảy ra tai nạn, cô bé vẫn đang cúi đầu chơi điện thoại như mọi ngày. Không biết Doanh Doanh đã chơi bao lâu, nhưng khi mẹ cô bé gọt xong hoa quả và gọi tên con gái cũng là lúc bi kịch đã ập đến.
"Lúc tôi gọi Doanh Doanh, con bé ngẩng đầu lên và bất chợt quay lại, có lẽ định hỏi tôi gọi có việc gì. Ngay lúc đó, tôi nghe thấy một tiếng ‘rắc’ vang lên, Doanh Doanh bất chợt kêu lớn và khóc toáng."
Chứng kiến con gái lâm vào tình trạng như vậy, mẹ Doanh Doanh nhất thời luống cuống. Sau đó, cô nhanh chóng phát hiện ra cổ của con gái mình nghẹo sang một bên, không thể cử động được, giống như đã bị "gãy" vậy.

"Gãy" cổ vì nghiện dùng điện thoại của cô bé 10 tuổi Doanh Doanh là một trường hợp hiếm gặp trong giới y khoa Trung Quốc. (Ảnh minh họa).
Bà mẹ nhanh chóng đưa con đi khám tại một phòng khám gần nhà. Bác sĩ đã kết luận Doanh Doanh bị chệch đốt xương cổ, khiến xương cổ mất đi độ cong vốn có. Đặc biệt, cổ của cô bé còn có một đoạn bị sai khớp nghiêm trọng.
Qua 10 ngày tiến hành liệu pháp xoa bóp, tình trạng của Doanh Doanh lại càng trở nên trầm trọng. Mẹ cô buộc phải đưa con gái lên bệnh viện trung ương và tìm tới sự giúp đỡ của bác sĩ Ưng Vinh – Chủ nhiệm khoa Xương khớp thuộc bệnh viện Thai Châu.
"Cháu bé nhập viện trong tình trạng cổ bị nghẹo sang một bên, chỉ cần một chút cử động đều vô cùng đau đớn", bác sĩ Ưng Vinh cho biết.
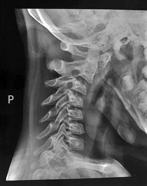
Qua quá trình chụp X – quang, bác sĩ phát hiện 3 đốt xương cổ đầu tiên của Doanh Doanh đều bị chệch khỏi vị trí.
"Bệnh tình nghiêm trọng như vậy lại phát sinh trên người một cô bé 10 tuổi. Đây là trường hợp đầu tiên tôi gặp phải trong 30 năm làm nghề."

Hình chụp X - quang xương cổ của Doanh Doanh. (Ảnh: nguồn internet)
Trải qua nhiều ngày trị liệu, bệnh tình của Doanh Doanh đã có những chuyển biến tích cực.
"Mẹ cô bé cho biết, ở nhà cứ lúc rảnh là cháu lại chơi điện thoại hoặc ipad, chơi liên tục 1 – 2 tiếng là chuyện bình thường.
Vì vậy, cháu bé thường xuyên duy trì tư thế đầu cúi thấp trong một khoảng thời gian dài, hơn nữa còn chơi vô cùng say mê", bác sĩ Ưng cho biết.
Khi nhắc lại chuyện này, mẹ của Doanh Doanh rất hối hận. Hằng ngày, hai vợ chồng bận bịu với công việc, rất ít có thời gian chơi cùng con gái.
"Lúc Doanh Doanh chơi điện thoại sẽ đặc biệt chăm chú, không hề quấy rầy bố mẹ. Vì vậy, chỉ cần con bé hoàn thành bài tập về nhà, chúng tôi sẽ để cháu dùng điện thoại."
Đánh giá về trường hợp của bệnh nhân nhỏ tuổi này, bác sĩ Ứng Vinh cho biết trước kia, những người gặp vấn đề về xương cổ phần lớn xuất phát từ việc phải lao động nặng nhọc trong một thời gian này.
Ngày nay, trường hợp của Doanh Doanh chính là minh chứng cho xu hướng trẻ hóa về độ tuổi của nhóm bệnh nhân này, hơn nữa nguyên nhân mắc bệnh lại đặc biệt hy hữu và đáng báo động.
"Xương cổ của con người cũng giống như một chiếc lò xo vậy. Khi ta chuyển động cổ, nó vẫn sẽ duy trì một tư thế và độ cong nhất định.
Nhưng qua một thời gian, khả năng co giãn của xương sẽ ngày càng yếu, thậm chí còn không thể trở lại trạng thái ban đầu".

Cần lưu ý rằng, các bệnh về xương cổ cũng có nhiều biểu hiện báo trước, nhưng thường xuyên bị bệnh nhân bỏ qua.
Như trường hợp của Doanh Doanh, trước khi bị chệch đốt sống, cháu bé thường xuyên bị váng đầu, khó tập trung khi học, thậm chí xuất hiện ảo giác, buồn nôn…
Đối với người trưởng thành, việc trị liệu các bệnh về xương cổ sẽ tương đối khó khăn, bởi khả năng hồi phục của họ thấp hơn nhiều so với trẻ em.
"Bệnh về xương cổ là các loại bệnh mạn tính, cần sớm được phòng tránh. Cách tốt nhất là chúng ta nên duy trì những tư thế có lợi cho sức khỏe và duy trì các thói quen lành mạnh trong sinh hoạt".
Chia sẻ cách bảo vệ xương cổ, bác sĩ Ưng Vinh đề của phương pháp có tên "vận động ngược".
Theo đó, khi chúng ta buộc phải duy trì tư thế cúi đầu một lúc lâu, thì cứ 20 phút lại ngửa đầu ra phía sau một vài lần để giảm áp lực cho xương cổ.
Tương tự như vậy, với những đối tượng thường xuyên phải nhìn vào máy tính, cứ 30 phút lại nên đổi tư thế, tiến hành xoay cổ để thả lỏng, tuyệt đối tránh việc duy trì một tư thế quá lâu.
Therealtz © VietBF