HOME-Au
HOME-Au
24h
24h
USA
USA
GOP
GOP
Phim Bộ
Phim Bộ
Videoauto
VIDEO-Au
Home Classic
Home Classic
Donation
Donation
News Book
News Book
News 50
News 50
worldautoscroll
WORLD-Au
Breaking
Breaking
 

Go Back   VietBF > Other News|Tin Khác > School | Kiến thức > School | Kiến thức 2006-2019


 
 
Thread Tools
  #1  
Old  Talking Căn bệnh khiến bạn mất răng lúc nào không biết
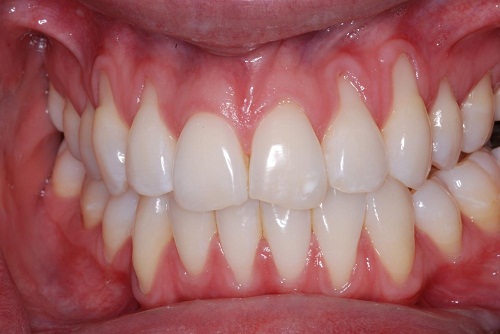
VBF-Đây là căn bệnh rất nguy hiểm vì khi bạn pháthiện ra thì cũng là lúc bộ răng của bạn khó mà có thể cứu được nữa.Đó chính là bệnh tụt lợi, để hiểu rõ hơn về bệnh này mời các bạn xem bài viết sau.
Tụt lợi là quá trình lộ bề mặt chân răng do lợi di chuyển về phía cuống răng. Tụt lợi là dấu hiệu báo trước cho sự mất xi măng chân răng, mòn cổ răng, lộ ngà răng.
1. Nguyên nhân của bệnh tụt lợi:
- Tụt lợi do viêm lợi, viêm quanh răng: Viêm lợi, viêm quanh răng lâu ngày không được điều trị sẽ gây tụt lợi, thậm chí là tụt lợi ở toàn bộ 2 hàm. Dấu hiệu của tụt lợi do viêm là xảy ra hiện tượng tụt lợi kèm theo chảy máu lợi, sưng lợi...
- Tụt lợi do bề mặt ngoài của chân răng quá mỏng, dễ bị sang chấn: Sang chấn khớp cắn sẽ kích thích tăng sinh biểu mô và viêm tại chỗ cũng gây ra ình trạng tụt lợi.
- Phanh niêm mạc bám sai vị trí thường làm lợi bong khỏi vị trí của nó và dẫn đến tụt lợi.
- Tụt lợi ở người lớn do bàn chải đánh răng quá cứng và chải răng không đúng cách: Tuy chải răng rất quan trọng cho sự phát triển lành mạnh của lợi nhưng chải răng quá mạnh và sai kỹ thuật sẽ dẫn đến bị tụt lợi.
2. Hậu quả của bệnh tụt lợi:
- Tụt lợi làm mất men răng và cement chân răng: Điều này có thể xảy ra từ từ hoặc đột ngột sau khi bị tụt lợi. Nếu xảy ra nhanh hoặc đột ngột có thể gây buốt răng, nếu xảy ra từ từ thì thường không bị buốt răng.
- Tụt lợi tăng tính nhạy cảm răng, gây ê buốt răng. Nếu bệnh nhân không được điều trị kịp thời sẽ bị viêm tủy răng do mòn quá mức.
- Tụt lợi thường gây ra 10% răng bị hở ngà tự nhiên vì men răng và cement chân răng không gặp nhau ở cổ răng. Vùng này rất dễ bị mòn khi chải răng, gây chấn thương về răng nghiêm trọng.
- Tụt lợi làm hở chân răng, đặc biệt đối với răng cửa và răng nanh sẽ làm giảm thẩm mỹ, gây mất tự tin khi giao tiếp.
Tình trạng tụt lợi do các nguyên nhân không phải viêm thường chỉ liên quan đến một răng hoặc một vài răng, thông thường là răng nanh, răng cửa, ít khi ở răng hàm.
Tuy nhiên, nếu tụt lợi kèm theo quá trình viêm của vùng quanh răng có thể gây tụt lợi cả hàm, lung lay răng, thậm chí là rụng răng, mất răng do gốc răng bị tổn thương quá mức.
3. Cách phòng ngừa bệnh tụt lợi:
- Khám răng định kỳ 6 tháng 1 lần để lấy sạch cao răng, kịp thời phát hiện nếu có hiện tượng viêm lợi, viêm quanh răng để có thể điều trị sớm phòng ngừa nguy cơ dẫn đến tụt lợi.
- Chọn bàn chải có đầu lông mềm để giảm nguy cơ sang chấn lợi, mòn men răng và cement răng gây tụt lợi.
- Chải răng đúng kỹ thuật: Dùng nước ấm để chải răng. Khi chải nên chải hất về phía mặt nhai và rìa cằn để tránh mòn răng.
- Dùng chỉ tơ nha khoa làm sạch kẽ răng hạn chế tình trạng viêm răng.
- Chọn kem đánh răng có flouride để làm cứng men răng.
tm
VIETBF Diễn Đàn Hay Nhất Của Người Việt Nam

HOT NEWS 24h

HOT 3 Days

NEWS 3 Days

HOT 7 Days

NEWS 7 Days

HOME

Breaking News

VietOversea

World News

Business News

Car News

Computer News

Game News

USA News

Mobile News

Music News

Movies News

History

Thơ Ca

Sport News

Stranger Stories

Comedy Stories

Cooking Chat

Nice Pictures

Fashion

School

Travelling

Funny Videos

Canada Tin Hay

USA Tin Hay

VietBF Homepage Autoscroll

VietBF Video Autoscroll Portal

Home Classic

Home Classic Master Page



Romano
R11 Tuyệt Thế Thiên Hạ
Romano's Avatar
Release: 08-19-2015
Reputation: 344545


Profile:
Join Date: May 2007
Posts: 138,240
Last Update: None Rating: None
Attached Thumbnails
Click image for larger version

Name:	can-benh-de-gay-rung-rang-nhieu-nguoi-mac-ma-khong-de-y.jpg
Views:	0
Size:	78.3 KB
ID:	799551  
Romano is_online_now
Thanks: 9
Thanked 6,559 Times in 5,505 Posts
Mentioned: 3 Post(s)
Tagged: 0 Thread(s)
Quoted: 38 Post(s)
Rep Power: 174
Romano Reputation Uy Tín Level 10Romano Reputation Uy Tín Level 10Romano Reputation Uy Tín Level 10Romano Reputation Uy Tín Level 10Romano Reputation Uy Tín Level 10Romano Reputation Uy Tín Level 10
Romano Reputation Uy Tín Level 10Romano Reputation Uy Tín Level 10Romano Reputation Uy Tín Level 10Romano Reputation Uy Tín Level 10Romano Reputation Uy Tín Level 10Romano Reputation Uy Tín Level 10Romano Reputation Uy Tín Level 10Romano Reputation Uy Tín Level 10Romano Reputation Uy Tín Level 10Romano Reputation Uy Tín Level 10Romano Reputation Uy Tín Level 10Romano Reputation Uy Tín Level 10Romano Reputation Uy Tín Level 10Romano Reputation Uy Tín Level 10Romano Reputation Uy Tín Level 10Romano Reputation Uy Tín Level 10Romano Reputation Uy Tín Level 10Romano Reputation Uy Tín Level 10
Old 08-19-2015   #2
NongDan
R9 Tuyệt Đỉnh Tôn Sư
 
NongDan's Avatar
 
Join Date: Feb 2013
Posts: 34,648
Thanks: 596
Thanked 1,577 Times in 1,236 Posts
Mentioned: 0 Post(s)
Tagged: 0 Thread(s)
Quoted: 690 Post(s)
Rep Power: 47
NongDan Reputation Uy Tín Level 4NongDan Reputation Uy Tín Level 4NongDan Reputation Uy Tín Level 4NongDan Reputation Uy Tín Level 4NongDan Reputation Uy Tín Level 4NongDan Reputation Uy Tín Level 4NongDan Reputation Uy Tín Level 4NongDan Reputation Uy Tín Level 4NongDan Reputation Uy Tín Level 4NongDan Reputation Uy Tín Level 4NongDan Reputation Uy Tín Level 4NongDan Reputation Uy Tín Level 4NongDan Reputation Uy Tín Level 4NongDan Reputation Uy Tín Level 4NongDan Reputation Uy Tín Level 4
Default

không nên bi qua, răng giả bây giờ còn tốt hơn rất nhiều so với răng thật.
NongDan_is_offline  
 
User Tag List


Công dân Mỹ cũng có thể bị ICE bắt nhầm: ‘Xứ tự do’ và nỗi sợ gõ cửa lúc nửa đêm Khi CIA mù tịt, còn một tướng VNCH đã nhìn ra trước Kinh tế Trung Quốc kẹt giữa lạm phát và giảm phát
Hàng Tàu phá vây thuế quan, Trump khoe kinh tế A+++ và chiếc ví rỗng của người Mỹ Nguyễn Cao Kỳ, cái chết bất ngờ và bài học đắt giá về ‘hòa hợp hòa giải’ Trung Quốc siết cổ doanh nghiệp Việt: Cuộc xâm lược thương mại ngay trên sân nhà
Mỹ đuổi thẳng tay nếu chửi Mỹ trên Facebook Hòa bình mong manh cho Ukraine: Kế hoạch 20 điểm, sức ép từ Trump và bài toán bầu cử giữa làn đạn Fed cắt lãi suất lần thứ ba liên tiếp: Powell “phanh gấp”, túi tiền người Mỹ thay đổi ra sao?
IKEA khai trương cửa hàng đầu tiên ở New Zealand: Người Kiwi xếp hàng từ tờ mờ sáng Nước Mỹ không dung dưỡng kẻ vô ơn: Tị nạn, di dân và cơn giận của Donald Trump Dư âm Giáng Sinh Sài Gòn xưa: Từ mùa sao sáng đến thánh ca buồn
Lê Duẩn – Mao Trạch Đông và cái giá “lá chắn phương Nam” của Việt Nam Trung Quốc hủy 540.000 vé sang Nhật: Đòn răn đe hay cú “tự bắn vào chân”? Trump xóa bỏ tiêu chuẩn nhiên liệu thời Biden
Mỹ đã hiểu sai tham vọng của Đảng Cộng sản Trung Quốc và đánh giá thấp sự quyết liệt tàn nhẫn của họ Tị nạn, thẻ xanh, visa du học cùng bị “khóa cửa” Khi bia Mexico gặp búa trừng phạt di trú của Trump: Cú ngã đau của đế chế Modelo – Corona
Biển số 37.77: Thông điệp ngầm của Thủ tướng Nhật Takaichi Sanae gửi Bắc Kinh Quốc tịch Mỹ: Tường thành gần như tuyệt đối cho người nhập tịch Con gái Hà Nội, giọt nước dưới mặt lá
Những tay giang hồ miền Nam: huyền thoại, bóng tối và cái giá phải trả Huỳnh Điều – “anh lớp Ba” mà Cộng sản sợ cái miệng hơn sợ khẩu M.79 Tiếng súng 9 giờ sáng ở Florida và hành trình cuối của nữ deputy Terri Sweeting-Mashkow
“Giang sơn” nào được sắp xếp, và sắp xếp cho ai? Sau 40 tuổi, khuôn mặt là “bản lý lịch” của tâm hồn Siêu biệt phủ trăm tỷ của Chủ tịch phường Hải Phòng: “Đại Lộc Thiên tử” giữa làng nghèo
Từ vụ sạc 24 giờ ở Mỹ đến chết yểu ở Ấn Độ: VinFast và câu hỏi dành cho người Việt Khi chú Hòa xây nhà bình dân: những kiệt tác âm thầm giữa lòng Sài Gòn Việt Nam – Xứ sở của những người bị bắt phải học nghề đói
Mailisa bị bắt và ký ức đôi vợ chồng ăn chay đi chùa Đi Hàn, đi Nhật rồi nhìn lại Việt Nam: yêu nước đâu chỉ nói trên môi Nepal – Đất nước sống ở năm 2082 giữa trái tim Himalaya
Nicholas Winton – Người hùng thầm lặng cứu 669 đứa trẻ khỏi bóng đen Đức Quốc Xã Bi kịch giáo sư Yoshihiro Sato: khi dữ liệu đẹp đổi lấy danh dự và cái chết Sự ngu dốt của bọn có học – từ Nguyễn Huy Thiệp đến thời những lời nói lật ngược sự thật

 
Lên đầu Xuống dưới Lên 3000px Xuống 3000px

iPad Videos Portal Autoscroll

VietBF Music Portal Autoscroll

iPad News Portal Autoscroll

VietBF Homepage Autoscroll

VietBF Video Autoscroll Portal

USA News Autoscroll Portall

VietBF WORLD Autoscroll Portal

Home Classic

Super Widescreen

iPad World Portal Autoscroll

iPad USA Portal Autoscroll

Phim Bộ Online

Tin nóng nhất 24h qua

Tin nóng nhất 3 ngày qua

Tin nóng nhất 7 ngày qua

Tin nóng nhất 30 ngày qua

Albums

Total Videos Online
Lên đầu Xuống dưới Lên 3000px Xuống 3000px

Tranh luận sôi nổi nhất 7 ngày qua

Tranh luận sôi nổi nhất 14 ngày qua

Tranh luận sôi nổi nhất 30 ngày qua

10.000 Tin mới nhất

Tin tức Hoa Kỳ

Tin tức Công nghệ
Lên đầu Xuống dưới Lên 3000px Xuống 3000px

Super News

School Cooking Traveling Portal

Enter Portal

Series Shows and Movies Online

Home Classic Master Page

Donation Ủng hộ $3 cho VietBF
Lên đầu Xuống dưới Lên 3000px Xuống 3000px
Diễn Đàn Người Việt Hải Ngoại. Tự do ngôn luận, an toàn và uy tín. Vì một tương lai tươi đẹp cho các thế hệ Việt Nam hãy ghé thăm chúng tôi, hãy tâm sự với chúng tôi mỗi ngày, mỗi giờ và mỗi giây phút có thể. VietBF.Com Xin cám ơn các bạn, chúc tất cả các bạn vui vẻ và gặp nhiều may mắn.
Welcome to Vietnamese American Community, Vietnamese European, Canadian, Australian Forum, Vietnamese Overseas Forum. Freedom of speech, safety and prestige. For a beautiful future for Vietnamese generations, please visit us, talk to us every day, every hour and every moment possible. VietBF.Com Thank you all and good luck.

Lên đầu Xuống dưới Lên 3000px Xuống 3000px

All times are GMT. The time now is 02:44.
VietBF - Vietnamese Best Forum Copyright ©2005 - 2025
User Alert System provided by Advanced User Tagging (Pro) - vBulletin Mods & Addons Copyright © 2025 DragonByte Technologies Ltd.
Log Out Unregistered

Page generated in 0.11210 seconds with 13 queries