HOME-Au
HOME-Au
24h
24h
USA
USA
GOP
GOP
Phim Bộ
Phim Bộ
Videoauto
VIDEO-Au
Donation
Donation
News Book
News Book
News 50
News 50
worldautoscroll
WORLD-Au
Breaking
Breaking
 

Go Back   VietBF > World > Vietnam News | Tin Việt Nam > 2005-2023 Vietnam News


 
Thread Tools
 
 
  #1  
Old  Default Suy thận nặng vì uống quá nhiều trà đá
Một người đàn ông 56 tuổi ở Arkansas bị suy thận nặng do uống quá nhiều trà đá qua các triệu chứng nôn mửa, kiệt sức và đau nhức toàn thân.

Các bác sĩ ở trường đại học Arkansas về y khoa đã cho biết người đàn ông này đã bị tổn thương thận mà không liên quan gì đến tiền sử bệnh của gia đình. Các nghiên cứu đã chỉ ra rằng trà đen có chứa oxalate, và gây ra các vấn đề về thận như sỏi thận. Do uống hơn 4 lít trà đá mỗi ngày nên người đàn ông kia đã bị suy thận và phải chạy thận lọc máu cho đến cuối đời.

Xét nghiệm nước tiểu của người đàn ông cho thấy lượng tinh thể canxi oxalate trong cơ thể của ông cao hơn mức bình thường. Điều đặc biệt là gia đình ông không có tiền sử mắc bệnh thận. Khi được hỏi thêm về chế độ ăn uống của ông, ông trả lời rằng ông thường xuyên uống hơn 4 lít trà đá một ngày. Các bác sĩ đã đưa ra kết luận việc người đàn ông này bị các vấn đề về thận là do uống quá nhiều trà đá trong thời gian dài. Điều này rất dễ hiểu bởi các trà đen chứa lượng oxalate cao nên có thể dẫn đến suy thận nếu uống quá liều lượng, bác sĩ Umbar Ghaffar từ Đại học Arkansas nói.


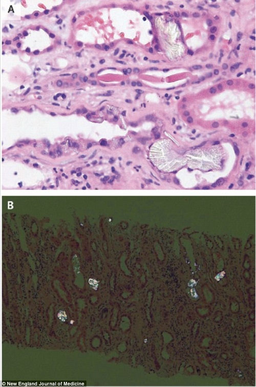
Trích mô thận của người đàn ông bị suy thận và sỏi thận do lượng oxalate trong thận cao.

Không còn biện pháp nào khác để phục hồi chức năng thận hoàn toàn cho người đàn ông này. Ông sẽ phải chạy thận lọc chất độc ra khỏi máu lâu dài, bác sĩ cho biết.

VietSN © Sưu Tầm
Dịch trang: EnglishEnglish DeutschDeutsch FrançaisFrançais EspañolEspañol ItalianoItaliano PortuguêsPortuguês
NorskNorsk NederlandsNederlands DanskDansk SuomiSuomi PolskiPolski ČeštinaČeština РусскийРусский
日本語日本語 한국어한국어 中文(简体)中文(简体) 中文(繁體)中文(繁體) MagyarMagyar TürkçeTürkçe
العربيةالعربية ไทยไทย LatinaLatina हिन्दीहिन्दी Bahasa IndonesiaBahasa Indonesia Bahasa MelayuBahasa Melayu
VIETBF Hybrid Community Content Hub

HOT NEWS 24h

HOT 3 Days

NEWS 3 Days

HOT 7 Days

NEWS 7 Days

HOME

Breaking News

VietOversea

World News

Business News

Car News

Computer News

Game News

USA News

Mobile News

Music News

Movies News

History

Thơ Ca

Sport News

Stranger Stories

Comedy Stories

Cooking Chat

Nice Pictures

Fashion

School

Travelling

Funny Videos

Canada Tin Hay

USA Tin Hay

VietBF Homepage Autoscroll

VietBF Video Autoscroll Portal

Video Classic Master

iPad News Portal

VietBF iPad Music Portal

Tin nóng nhất 50h qua

Phim Bộ Online

iMusic Pro Max



miro1510
R9 Tuyệt Đỉnh Tôn Sư
Release: 04-03-2015
Reputation: 13837


Profile:
Join Date: Oct 2014
Posts: 47,171
Last Update: None Rating: None
Attached Thumbnails
Click image for larger version

Name:	51.1.jpg
Views:	0
Size:	56.3 KB
ID:	753731   Click image for larger version

Name:	51.2.jpg
Views:	0
Size:	127.0 KB
ID:	753732  
miro1510_is_offline
Thanks: 9
Thanked 2,096 Times in 1,935 Posts
Mentioned: 3 Post(s)
Tagged: 0 Thread(s)
Quoted: 8 Post(s)
Rep Power: 59
miro1510 Reputation Uy Tín Level 6
miro1510 Reputation Uy Tín Level 6miro1510 Reputation Uy Tín Level 6miro1510 Reputation Uy Tín Level 6miro1510 Reputation Uy Tín Level 6miro1510 Reputation Uy Tín Level 6miro1510 Reputation Uy Tín Level 6miro1510 Reputation Uy Tín Level 6miro1510 Reputation Uy Tín Level 6miro1510 Reputation Uy Tín Level 6miro1510 Reputation Uy Tín Level 6miro1510 Reputation Uy Tín Level 6miro1510 Reputation Uy Tín Level 6miro1510 Reputation Uy Tín Level 6miro1510 Reputation Uy Tín Level 6miro1510 Reputation Uy Tín Level 6miro1510 Reputation Uy Tín Level 6
Dịch trang: EnglishEnglish DeutschDeutsch FrançaisFrançais EspañolEspañol ItalianoItaliano PortuguêsPortuguês
NorskNorsk NederlandsNederlands DanskDansk SuomiSuomi PolskiPolski ČeštinaČeština РусскийРусский
日本語日本語 한국어한국어 中文(简体)中文(简体) 中文(繁體)中文(繁體) MagyarMagyar TürkçeTürkçe
العربيةالعربية ไทยไทย LatinaLatina हिन्दीहिन्दी Bahasa IndonesiaBahasa Indonesia Bahasa MelayuBahasa Melayu
Old 04-03-2015   #2
cha12 ba
R9 Tuyệt Đỉnh Tôn Sư
 
Join Date: Jan 2013
Posts: 37,942
Thanks: 81,070
Thanked 56,792 Times in 24,153 Posts
Mentioned: 430 Post(s)
Tagged: 0 Thread(s)
Quoted: 10758 Post(s)
Rep Power: 77
cha12 ba Reputation Uy Tín Level 11cha12 ba Reputation Uy Tín Level 11cha12 ba Reputation Uy Tín Level 11cha12 ba Reputation Uy Tín Level 11cha12 ba Reputation Uy Tín Level 11
cha12 ba Reputation Uy Tín Level 11cha12 ba Reputation Uy Tín Level 11cha12 ba Reputation Uy Tín Level 11cha12 ba Reputation Uy Tín Level 11cha12 ba Reputation Uy Tín Level 11cha12 ba Reputation Uy Tín Level 11cha12 ba Reputation Uy Tín Level 11cha12 ba Reputation Uy Tín Level 11cha12 ba Reputation Uy Tín Level 11cha12 ba Reputation Uy Tín Level 11cha12 ba Reputation Uy Tín Level 11cha12 ba Reputation Uy Tín Level 11cha12 ba Reputation Uy Tín Level 11cha12 ba Reputation Uy Tín Level 11cha12 ba Reputation Uy Tín Level 11cha12 ba Reputation Uy Tín Level 11cha12 ba Reputation Uy Tín Level 11cha12 ba Reputation Uy Tín Level 11cha12 ba Reputation Uy Tín Level 11cha12 ba Reputation Uy Tín Level 11cha12 ba Reputation Uy Tín Level 11cha12 ba Reputation Uy Tín Level 11cha12 ba Reputation Uy Tín Level 11cha12 ba Reputation Uy Tín Level 11
Default

trà made in chai na...
cha12 ba_is_offline  
 
User Tag List



 

iPad Videos Portal Autoscroll

VietBF Music Portal Autoscroll

iPad News Portal Autoscroll

VietBF Homepage Autoscroll

VietBF Video Autoscroll Portal

USA News Autoscroll Portall

VietBF WORLD Autoscroll Portal

Video Classic Master Page

Super Widescreen

iPad World Portal Autoscroll

iPad USA Portal Autoscroll

Phim Bộ Online
Lên đầu Xuống dưới Lên 3000px Xuống 3000px

Tin nóng nhất 24h qua

Tin nóng nhất 3 ngày qua

Tin nóng nhất 7 ngày qua

Tin nóng nhất 30 ngày qua

Albums

Total Videos Online

Tranh luận sôi nổi nhất 7 ngày qua

Tranh luận sôi nổi nhất 14 ngày qua

Tranh luận sôi nổi nhất 30 ngày qua

10.000 Tin mới nhất

Tin tức Hoa Kỳ

Tin tức Công nghệ
Lên đầu Xuống dưới Lên 3000px Xuống 3000px

Duo Series Movies Portal

Duo Music Portal

Phim Bộ

Tỷ Giá

Thời Tiết

Tin Nóng Nhất 50h

Super News

School Cooking Traveling Portal

Enter Portal

Series Shows and Movies Online

Home Classic Master Page

Donation Ủng hộ $3 cho VietBF
Lên đầu Xuống dưới Lên 3000px Xuống 3000px
Diễn Đàn Người Việt Hải Ngoại. Tự do ngôn luận, an toàn và uy tín. Vì một tương lai tươi đẹp cho các thế hệ Việt Nam hãy ghé thăm chúng tôi, hãy tâm sự với chúng tôi mỗi ngày, mỗi giờ và mỗi giây phút có thể. VietBF.Com Xin cám ơn các bạn, chúc tất cả các bạn vui vẻ và gặp nhiều may mắn.
Welcome to Vietnamese American Community, Vietnamese European, Canadian, Australian Forum, Vietnamese Overseas Forum. Freedom of speech, safety and prestige. For a beautiful future for Vietnamese generations, please visit us, talk to us every day, every hour and every moment possible. VietBF.Com Thank you all and good luck.

Lên đầu Xuống dưới Lên 3000px Xuống 3000px

All times are GMT. The time now is 03:12.
VietBF - Vietnamese Best Forum Copyright ©2005 - 2026
User Alert System provided by Advanced User Tagging (Pro) - vBulletin Mods & Addons Copyright © 2026 DragonByte Technologies Ltd.
Log Out Unregistered

Page generated in 0.12944 seconds with 13 queries