HOME-Au
HOME-Au
24h
24h
USA
USA
GOP
GOP
Phim Bộ
Phim Bộ
Videoauto
VIDEO-Au
Donation
Donation
News Book
News Book
News 50
News 50
worldautoscroll
WORLD-Au
Breaking
Breaking
 

Go Back   VietBF > World > Vietnam News | Tin Việt Nam > 2005-2023 Vietnam News


 
Thread Tools
 
 
  #1  
Old  Default Sán dây dài 1cm sống trong não người đàn ông trong suốt 4 năm
Hình chụp X-quang của một người đàn ông cho thấy anh ta đã bị một con sán dây dài 1cm đào sâu tới 5cm vào não từ trái qua phải.

Đây là trường hợp sán ký sinh trong não người đầu tiên được phát hiện ở Anh. Con sán dây đã ở trong não người đàn ông này trong suốt 4 năm qua.


Con sán dài 1cm đã đào sâu tới 5cm vào não bệnh nhân (ngày 8/7)

Có tên khoa học là Spirometra erinaceieuropaei, loại sán dây này khá hiếm gặp và mới chỉ có 300 ca nhiễm được ghi nhận trên toàn thế giới từ năm 1953. Chúng làm sưng các mô trong cơ thể, gây tụ máu, mất trí nhớ và đau đầu trầm trọng.

Hiện có rất ít hiểu biết về loại sán này, mặc dù con người có thể bị nhiễm sán do vô tình ăn phải động vật giáp xác bị nhiễm sán trong ao hồ, ăn thịt bò sát hay ếch nhái chưa được nấu chín, hay dùng một loại thuốc đắp làm từ ếch sống để chữa đau mắt của người Trung Quốc.

Các bác sỹ đã phẫu thuật gắp con sán ra khỏi não người đàn ông thành công. Rất may đây là loại sán lành, nếu nó thuộc một loại nguy hiểm hơn, nó có thể đẻ trứng và lũ sán nở ra sẽ ăn não người.

Để xác định chính xác con sán này thuộc loại nào, các bác sỹ thuộc tổ chức NHS Trust ở Addenbrooke đã lấy một mẫu gen của con vật để nghiên cứu. Kết quả là, mặc dù là loại sán lành, nhưng con sán này lại miễn dịch với các loại thuốc tẩy giun sán hiện có.

Các nhà khoa học Anh đã nghiên cứu cả DNA của loại sán này để tìm ra điểm yếu có thể điều trị bằng thuốc của chúng. Tiến sỹ Effrossyni Gkrania-Klotsas tới từ Addenbrooke cho biết: "Chúng tôi không ngờ sẽ gặp một trường hợp bị nhiễm sán ở Anh, nhưng việc con người ngày càng có nhiều cơ hội đi khắp thế giới cũng đồng nghĩa với việc những loài ký sinh hiếm gặp thỉnh thoảng vẫn xuất hiện. Chúng ta có thể phát hiện ra chúng qua chụp cộng hưởng từ, nhưng như vậy là không đủ thông tin để xác định loài hay điểm yếu của chúng."


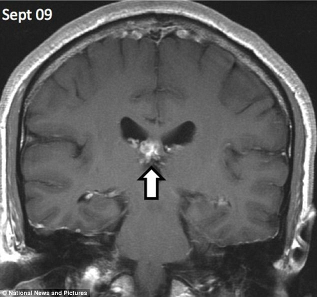
Hình chụp não bệnh nhân bị sán dây xâm nhập (ngày 9/9)

"Quá trình nghiên cứu của chúng tôi cho thấy, chỉ với một mẫu DNA nhỏ, chúng tôi cũng có thể tìm ra mọi điều cần biết về loài ký sinh này. Điều này cho thấy việc xây dựng một cơ sở dữ liệu về bộ gen của giun sán ký sinh là cần thiết để xác định loài, từ đó có biện pháp điều trị hiệu quả."

Tiến sỹ Hayley Bennett thuộc viện Wellcome Trust Sanger cho biết: "Một lát cắt mô nhỏ đã cho chúng tôi một cơ hội lớn để xác lập chuỗi gen đầu tiên của loại sán dây này. Tuy nhiên, chúng tôi chỉ có một đoạn DNA nặng khoảng 1/40 tỷ gam để nghiên cứu. Do đó, chúng tôi phải đưa ra những quyết định khó khăn về những gì mà chúng tôi muốn tìm kiếm từ đó."

Các nhà nghiên cứu đã dùng chuỗi gen này để tìm ra những điểm tương đồng và khác biệt giữa sán dây Spirometra và những loại giun sán ký sinh khác trong cơ sở dữ liệu. Họ đã tìm ra nhiều đặc điểm sinh học của chúng, ví dụ như chúng có một hệ thống vận chuyển nhỏ cỡ phân tử để vận chuyển protein quanh tế bào, có tác dụng hỗ trợ lớn cho việc thay đổi hình dáng cơ thể và thích nghi với môi trường trong vòng đời phức tạp của chúng.

Theo tiến sỹ Matt Berriman thuộc viện Sanger: "Đây là lần đầu tiên chúng tôi lập được chuỗi gen của loại sán này, từ đó dự đoán được khả năng ảnh hưởng của các loại thuốc hiện tại lên chúng. Có vẻ như loại sán này có khả năng miễn dịch tự nhiên với albendazone, một loại thuốc tẩy giun sán phổ biến. Tuy nhiên, nhiều loại thuốc tẩy giun sán mới đang được thử nghiệm và có thể sẽ có hiệu quả trong tương lai."


- therealrtz ©VietSN
Dịch trang: EnglishEnglish DeutschDeutsch FrançaisFrançais EspañolEspañol ItalianoItaliano PortuguêsPortuguês
NorskNorsk NederlandsNederlands DanskDansk SuomiSuomi PolskiPolski ČeštinaČeština РусскийРусский
日本語日本語 한국어한국어 中文(简体)中文(简体) 中文(繁體)中文(繁體) MagyarMagyar TürkçeTürkçe
العربيةالعربية ไทยไทย LatinaLatina हिन्दीहिन्दी Bahasa IndonesiaBahasa Indonesia Bahasa MelayuBahasa Melayu
VIETBF Hybrid Community Content Hub

HOT NEWS 24h

HOT 3 Days

NEWS 3 Days

HOT 7 Days

NEWS 7 Days

HOME

Breaking News

VietOversea

World News

Business News

Car News

Computer News

Game News

USA News

Mobile News

Music News

Movies News

History

Thơ Ca

Sport News

Stranger Stories

Comedy Stories

Cooking Chat

Nice Pictures

Fashion

School

Travelling

Funny Videos

Canada Tin Hay

USA Tin Hay

VietBF Homepage Autoscroll

VietBF Video Autoscroll Portal

Video Classic Master

iPad News Portal

VietBF iPad Music Portal

Tin nóng nhất 50h qua

Phim Bộ Online

Phim Bộ



therealrtz
R10 Vô Địch Thiên Hạ
Release: 11-25-2014
Reputation: 234750


Profile:
Join Date: Nov 2014
Posts: 93,731
Last Update: None Rating: None
Attached Thumbnails
Click image for larger version

Name:	27.1.jpg
Views:	0
Size:	60.9 KB
ID:	694933   Click image for larger version

Name:	27.2.jpg
Views:	0
Size:	64.6 KB
ID:	694934  
therealrtz_is_offline
Thanks: 28
Thanked 6,855 Times in 6,119 Posts
Mentioned: 4 Post(s)
Tagged: 0 Thread(s)
Quoted: 34 Post(s)
Rep Power: 116
therealrtz Reputation Uy Tín Level 10therealrtz Reputation Uy Tín Level 10therealrtz Reputation Uy Tín Level 10therealrtz Reputation Uy Tín Level 10therealrtz Reputation Uy Tín Level 10therealrtz Reputation Uy Tín Level 10therealrtz Reputation Uy Tín Level 10
therealrtz Reputation Uy Tín Level 10therealrtz Reputation Uy Tín Level 10therealrtz Reputation Uy Tín Level 10therealrtz Reputation Uy Tín Level 10therealrtz Reputation Uy Tín Level 10therealrtz Reputation Uy Tín Level 10therealrtz Reputation Uy Tín Level 10therealrtz Reputation Uy Tín Level 10therealrtz Reputation Uy Tín Level 10therealrtz Reputation Uy Tín Level 10therealrtz Reputation Uy Tín Level 10therealrtz Reputation Uy Tín Level 10therealrtz Reputation Uy Tín Level 10therealrtz Reputation Uy Tín Level 10therealrtz Reputation Uy Tín Level 10therealrtz Reputation Uy Tín Level 10therealrtz Reputation Uy Tín Level 10therealrtz Reputation Uy Tín Level 10
Dịch trang: EnglishEnglish DeutschDeutsch FrançaisFrançais EspañolEspañol ItalianoItaliano PortuguêsPortuguês
NorskNorsk NederlandsNederlands DanskDansk SuomiSuomi PolskiPolski ČeštinaČeština РусскийРусский
日本語日本語 한국어한국어 中文(简体)中文(简体) 中文(繁體)中文(繁體) MagyarMagyar TürkçeTürkçe
العربيةالعربية ไทยไทย LatinaLatina हिन्दीहिन्दी Bahasa IndonesiaBahasa Indonesia Bahasa MelayuBahasa Melayu
 
User Tag List



 

iPad Videos Portal Autoscroll

VietBF Music Portal Autoscroll

iPad News Portal Autoscroll

VietBF Homepage Autoscroll

VietBF Video Autoscroll Portal

USA News Autoscroll Portall

VietBF WORLD Autoscroll Portal

Video Classic Master Page

Super Widescreen

iPad World Portal Autoscroll

iPad USA Portal Autoscroll

Phim Bộ Online
Lên đầu Xuống dưới Lên 3000px Xuống 3000px

Tin nóng nhất 24h qua

Tin nóng nhất 3 ngày qua

Tin nóng nhất 7 ngày qua

Tin nóng nhất 30 ngày qua

Albums

Total Videos Online

Tranh luận sôi nổi nhất 7 ngày qua

Tranh luận sôi nổi nhất 14 ngày qua

Tranh luận sôi nổi nhất 30 ngày qua

10.000 Tin mới nhất

Tin tức Hoa Kỳ

Tin tức Công nghệ
Lên đầu Xuống dưới Lên 3000px Xuống 3000px

Duo Series Movies Portal

Duo Music Portal

Phim Bộ

Tỷ Giá

Thời Tiết

Tin Nóng Nhất 50h

Super News

School Cooking Traveling Portal

Enter Portal

Series Shows and Movies Online

Home Classic Master Page

Donation Ủng hộ $3 cho VietBF
Lên đầu Xuống dưới Lên 3000px Xuống 3000px
Diễn Đàn Người Việt Hải Ngoại. Tự do ngôn luận, an toàn và uy tín. Vì một tương lai tươi đẹp cho các thế hệ Việt Nam hãy ghé thăm chúng tôi, hãy tâm sự với chúng tôi mỗi ngày, mỗi giờ và mỗi giây phút có thể. VietBF.Com Xin cám ơn các bạn, chúc tất cả các bạn vui vẻ và gặp nhiều may mắn.
Welcome to Vietnamese American Community, Vietnamese European, Canadian, Australian Forum, Vietnamese Overseas Forum. Freedom of speech, safety and prestige. For a beautiful future for Vietnamese generations, please visit us, talk to us every day, every hour and every moment possible. VietBF.Com Thank you all and good luck.

Lên đầu Xuống dưới Lên 3000px Xuống 3000px

All times are GMT. The time now is 11:15.
VietBF - Vietnamese Best Forum Copyright ©2005 - 2026
User Alert System provided by Advanced User Tagging (Pro) - vBulletin Mods & Addons Copyright © 2026 DragonByte Technologies Ltd.
Log Out Unregistered

Page generated in 0.11536 seconds with 13 queries