HOME-Au
HOME-Au
24h
24h
USA
USA
GOP
GOP
Phim Bộ
Phim Bộ
Videoauto
VIDEO-Au
Donation
Donation
News Book
News Book
News 50
News 50
worldautoscroll
WORLD-Au
Breaking
Breaking
 

Go Back   VietBF > Others (Closed Forums) > Archive - Old News 2012 (closed)

 
Thread Tools
 
 
Default Ổ sán trong não vì hay ăn đồ tái, sống
Old 12-24-2012   #1
jojolotus
R9 Tuyệt Đỉnh Tôn Sư
 
Join Date: Dec 2008
Posts: 41,760
Thanks: 0
Thanked 0 Times in 0 Posts
Mentioned: 0 Post(s)
Tagged: 0 Thread(s)
Quoted: 0 Post(s)
Rep Power: 59
jojolotus Reputation Uy Tín Level 1jojolotus Reputation Uy Tín Level 1
Rau sống, hoa quả và hải sản là thực phẩm quan trọng cho sức khỏe, tuy nhiên nếu loại thực phẩm này không được rửa sạch sẽ hoặc ăn lúc chưa chín thì sẽ mang lại nhiều vấn đề về sức khỏe.

Những năm gần đây không ít trường hợp bị sán chui vào não làm tổ vì ăn thực phẩm có nang sán. Mới đây nhất là một phụ nữ 66 tuổi có tên Hà.

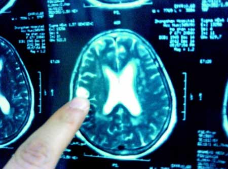
Bà Hà là một giáo viên nghỉ hưu ở Hồ Bắc, ngày 10/12 , bà đột ngột bị hoa mắt chóng mặt và nôn mửa nhiều lần. Ngày 14/12, đi khám thì bác sĩ phát hiện tắc mạch máu não và được chuyển lên bệnh viện Trung Sơn tỉnh Hồ Bắc (Trung Quốc). Sau khi trải qua hàng loạt kiểm tra hóa nghiệm, bác sỹ phát hiện trong não có 2 khối di động trong não và chứa đầy sán.



Ổ trùng được chụp từ trong não bệnh nhân

Theo bác sĩ Bành, Trưởng khoa nội thần kinh bệnh viện Trung Sơn, thông thường, sau khi người bệnh ăn phải thực phẩm có các nang sán, các nang này sẽ bám theo hệ thống tĩnh mạch và đường ruột và cuối cùng “định cư” ở não bộ và phát triển thành sán. Hoạt động của những con sán này sẽ phá hủy mô não, từ đó gây ra đau đầu, nôn mửa hoặc chứng động kinh.

Chuyên gia khuyến cáo: “Những người thích ăn gỏi sống như tôm, cá dễ bị nhiễm sán vì trên cơ thể những con tôm chưa chín kỹ ẩn chứa không ít ký sinh trùng. Ngoài ra, trong rau sống cũng rất nhiều ký sinh trùng nguy hại cho sức khỏe.

Chuyên gia cũng nhấn mạnh, nhiệt độ trên 55oC có thể giết chết trứng, nang các loại ký sinh trùng vì vậy cần nấu chín, không ăn rau sống và gọt vỏ hoa quả trước khi ăn.


theo dantri
jojolotus_is_offline  
Attached Thumbnails
Click image for larger version

Name:	sanjpg1356323162.jpg
Views:	12
Size:	22.2 KB
ID:	433149  
 
User Tag List



 

iPad Videos Portal Autoscroll

VietBF Music Portal Autoscroll

iPad News Portal Autoscroll

VietBF Homepage Autoscroll

VietBF Video Autoscroll Portal

USA News Autoscroll Portall

VietBF WORLD Autoscroll Portal

Video Classic Master Page

Super Widescreen

iPad World Portal Autoscroll

iPad USA Portal Autoscroll

Phim Bộ Online
Lên đầu Xuống dưới Lên 3000px Xuống 3000px

Tin nóng nhất 24h qua

Tin nóng nhất 3 ngày qua

Tin nóng nhất 7 ngày qua

Tin nóng nhất 30 ngày qua

Albums

Total Videos Online

Tranh luận sôi nổi nhất 7 ngày qua

Tranh luận sôi nổi nhất 14 ngày qua

Tranh luận sôi nổi nhất 30 ngày qua

10.000 Tin mới nhất

Tin tức Hoa Kỳ

Tin tức Công nghệ
Lên đầu Xuống dưới Lên 3000px Xuống 3000px

Duo Series Movies Portal

Duo Music Portal

Phim Bộ

Tỷ Giá

Thời Tiết

Tin Nóng Nhất 50h

Super News

School Cooking Traveling Portal

Enter Portal

Series Shows and Movies Online

Home Classic Master Page

Donation Ủng hộ $3 cho VietBF
Lên đầu Xuống dưới Lên 3000px Xuống 3000px
Diễn Đàn Người Việt Hải Ngoại. Tự do ngôn luận, an toàn và uy tín. Vì một tương lai tươi đẹp cho các thế hệ Việt Nam hãy ghé thăm chúng tôi, hãy tâm sự với chúng tôi mỗi ngày, mỗi giờ và mỗi giây phút có thể. VietBF.Com Xin cám ơn các bạn, chúc tất cả các bạn vui vẻ và gặp nhiều may mắn.
Welcome to Vietnamese American Community, Vietnamese European, Canadian, Australian Forum, Vietnamese Overseas Forum. Freedom of speech, safety and prestige. For a beautiful future for Vietnamese generations, please visit us, talk to us every day, every hour and every moment possible. VietBF.Com Thank you all and good luck.

Lên đầu Xuống dưới Lên 3000px Xuống 3000px

All times are GMT. The time now is 03:19.
VietBF - Vietnamese Best Forum Copyright ©2005 - 2026
User Alert System provided by Advanced User Tagging (Pro) - vBulletin Mods & Addons Copyright © 2026 DragonByte Technologies Ltd.
Log Out Unregistered

Page generated in 0.11539 seconds with 13 queries