HOME-Au
HOME-Au
24h
24h
USA
USA
GOP
GOP
Phim Bộ
Phim Bộ
Videoauto
VIDEO-Au
Home Classic
Home Classic
Donation
Donation
News Book
News Book
News 50
News 50
worldautoscroll
WORLD-Au
Breaking
Breaking
 

Go Back   VietBF > World Box| Thế Giới > Vietnam News | Tin Việt Nam


Reply
 
Thread Tools
  #1  
Old  Default Thanh niên 22 tuổi đột quỵ, bác sĩ phát hiện thói quen bất thường
Ngày 22-3, PGS-TS-BS Nguyễn Huy Thắng, Trưởng khoa Bệnh lý mạch máu não, Bệnh viện Nhân dân 115, cho biết bệnh viện vừa tiếp nhận một thanh niên 22 tuổi (quê Cà Mau) bị xuất huyết não.

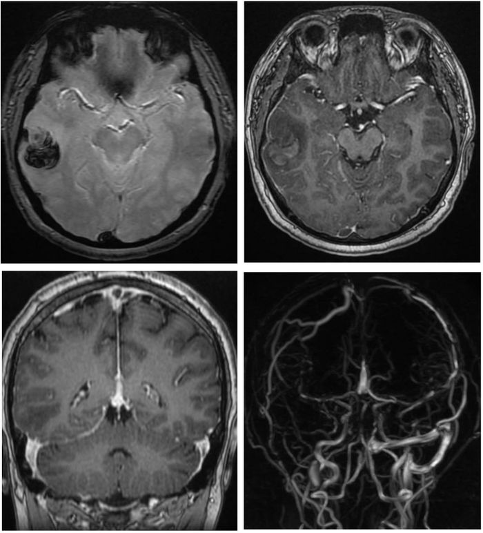
Bệnh nhân nhập viện trong tình trạng đau đầu dữ dội. Kết quả chụp CT scan cho thấy xuất huyết não, còn chụp cộng hưởng từ có bơm thuốc phát hiện huyết khối tại nhiều vị trí trong tĩnh mạch não.

Qua khai thác bệnh sử, bác sĩ ghi nhận bệnh nhân có thói quen hút shisha thường xuyên trong suốt một năm qua. Nhờ chẩn đoán kịp thời và điều trị bằng thuốc kháng đông, bệnh nhân đã hồi phục hoàn toàn.


Chẩn đoán hình ảnh ghi nhận bệnh nhân xuất huyết não, huyết khối nhiều vị trí trong tĩnh mạch não

BS Nguyễn Huy Thắng cho biết huyết khối tĩnh mạch não là tình trạng nguy hiểm, có thể dẫn đến đột quỵ hoặc tử vong. Shisha chứa nicotine, carbon monoxide cùng nhiều chất độc hại, làm tăng nguy cơ bệnh tim mạch, phổi, ung thư và huyết khối. Đặc biệt, mỗi giờ hút shisha tương đương với việc hít vào lượng khói gấp 100-200 lần một điếu thuốc lá, làm tăng khả năng đông máu, tổn thương mạch máu và ứ trệ dòng máu.

So với thuốc lá, shisha nguy hiểm hơn do lượng khói hít vào nhiều hơn, làm tăng mức độ phơi nhiễm với các chất độc. Tổ chức Y tế Thế giới (WHO) cảnh báo shisha có thể gây hại cho tim mạch tương đương hoặc hơn thuốc lá, đặc biệt khi kết hợp với các yếu tố nguy cơ khác như ngồi lâu, béo phì, dùng thuốc tránh thai hoặc hormone.
VIETBF Diễn Đàn Hay Nhất Của Người Việt Nam

HOT NEWS 24h

HOT 3 Days

NEWS 3 Days

HOT 7 Days

NEWS 7 Days

HOME

Breaking News

VietOversea

World News

Business News

Car News

Computer News

Game News

USA News

Mobile News

Music News

Movies News

History

Thơ Ca

Sport News

Stranger Stories

Comedy Stories

Cooking Chat

Nice Pictures

Fashion

School

Travelling

Funny Videos

Canada Tin Hay

USA Tin Hay

VietBF Homepage Autoscroll

VietBF Video Autoscroll Portal

Home Classic

Home Classic Master Page


TinNhanh247
R9 Tuyệt Đỉnh Tôn Sư
Release: 03-22-2025
Reputation: 14045


Profile:
Join Date: Oct 2014
Posts: 38,689
Last Update: None Rating: None
Attached Thumbnails
Click image for larger version

Name:	b89b5e665928b076e939.jpg
Views:	0
Size:	75.5 KB
ID:	2504862  
TinNhanh247_is_offline
Thanks: 16
Thanked 1,792 Times in 1,630 Posts
Mentioned: 3 Post(s)
Tagged: 0 Thread(s)
Quoted: 11 Post(s)
Rep Power: 50
TinNhanh247 Reputation Uy Tín Level 6
TinNhanh247 Reputation Uy Tín Level 6TinNhanh247 Reputation Uy Tín Level 6TinNhanh247 Reputation Uy Tín Level 6TinNhanh247 Reputation Uy Tín Level 6TinNhanh247 Reputation Uy Tín Level 6TinNhanh247 Reputation Uy Tín Level 6TinNhanh247 Reputation Uy Tín Level 6TinNhanh247 Reputation Uy Tín Level 6TinNhanh247 Reputation Uy Tín Level 6TinNhanh247 Reputation Uy Tín Level 6TinNhanh247 Reputation Uy Tín Level 6TinNhanh247 Reputation Uy Tín Level 6TinNhanh247 Reputation Uy Tín Level 6TinNhanh247 Reputation Uy Tín Level 6TinNhanh247 Reputation Uy Tín Level 6TinNhanh247 Reputation Uy Tín Level 6TinNhanh247 Reputation Uy Tín Level 6
Reply

User Tag List



 
Lên đầu Xuống dưới Lên 3000px Xuống 3000px

iPad Videos Portal Autoscroll

VietBF Music Portal Autoscroll

iPad News Portal Autoscroll

VietBF Homepage Autoscroll

VietBF Video Autoscroll Portal

USA News Autoscroll Portall

VietBF WORLD Autoscroll Portal

Home Classic

Super Widescreen

iPad World Portal Autoscroll

iPad USA Portal Autoscroll

Phim Bộ Online

Tin nóng nhất 24h qua

Tin nóng nhất 3 ngày qua

Tin nóng nhất 7 ngày qua

Tin nóng nhất 30 ngày qua

Albums

Total Videos Online
Lên đầu Xuống dưới Lên 3000px Xuống 3000px

Tranh luận sôi nổi nhất 7 ngày qua

Tranh luận sôi nổi nhất 14 ngày qua

Tranh luận sôi nổi nhất 30 ngày qua

10.000 Tin mới nhất

Tin tức Hoa Kỳ

Tin tức Công nghệ
Lên đầu Xuống dưới Lên 3000px Xuống 3000px

Super News

School Cooking Traveling Portal

Enter Portal

Series Shows and Movies Online

Home Classic Master Page

Donation Ủng hộ $3 cho VietBF
Lên đầu Xuống dưới Lên 3000px Xuống 3000px
Diễn Đàn Người Việt Hải Ngoại. Tự do ngôn luận, an toàn và uy tín. Vì một tương lai tươi đẹp cho các thế hệ Việt Nam hãy ghé thăm chúng tôi, hãy tâm sự với chúng tôi mỗi ngày, mỗi giờ và mỗi giây phút có thể. VietBF.Com Xin cám ơn các bạn, chúc tất cả các bạn vui vẻ và gặp nhiều may mắn.
Welcome to Vietnamese American Community, Vietnamese European, Canadian, Australian Forum, Vietnamese Overseas Forum. Freedom of speech, safety and prestige. For a beautiful future for Vietnamese generations, please visit us, talk to us every day, every hour and every moment possible. VietBF.Com Thank you all and good luck.

Lên đầu Xuống dưới Lên 3000px Xuống 3000px

All times are GMT. The time now is 13:27.
VietBF - Vietnamese Best Forum Copyright ©2005 - 2025
User Alert System provided by Advanced User Tagging (Pro) - vBulletin Mods & Addons Copyright © 2025 DragonByte Technologies Ltd.
Log Out Unregistered

Page generated in 0.13031 seconds with 13 queries