HOME-Au
HOME-Au
24h
24h
USA
USA
GOP
GOP
Phim Bộ
Phim Bộ
Videoauto
VIDEO-Au
Donation
Donation
News Book
News Book
News 50
News 50
worldautoscroll
WORLD-Au
Breaking
Breaking
 

Go Back   VietBF > World > World News|Tin Thế Giới > World News |Tin Thế Giới 2021-2023


 
Thread Tools
 
 
  #1  
Old  Arrow WHO nói bệnh đậu mùa khỉ không thể trở thành đại dịch
Tổ chức Y tế Thế giới (WHO) cho biết đợt bùng phát đậu mùa khỉ bên ngoài châu Phi sẽ không trở thành đại dịch.

Tuyên bố được bà Rosamund Lewis, Trưởng nhóm kỹ thuật về bệnh đậu mùa khỉ của WHO, đưa ra ngày 30/5. "Hiện tại, chúng tôi không lo ngại về một đại dịch toàn cầu", bà nói.

Theo các chuyên gia, đậu mùa khỉ có khả năng lây lan ít hơn nhiều so với Covid-19. Đậu mùa khỉ lây truyền khi tiếp xúc rất gần, phần lớn là chạm da hoặc sờ chạm lâu vào quần áo, chăn gối, ga của người bệnh. Trong khi đó, nCoV và các biến chủng rất dễ lây lan, đặc biệt trong phòng kín, qua tiếp xúc, nói chuyện.

Ngoài ra, bệnh này tương tự bệnh đậu mùa, có nghĩa là có thể phòng chống được bằng các biện pháp phòng chống đậu mùa.

Đậu mùa khỉ có hai chủng chính. Chủng Congo biểu hiện nặng, tỷ lệ tử vong là 10%. Chủng Tây Phi ít nghiêm trọng hơn, tỷ lệ tử vong là 1%. Trong đợt bùng hiện nay, virus lưu hành chủ yếu thuộc chủng Tây Phi.

Hiện giới chức các nước chưa ghi nhận ca tử vong nào. Hầu hết ca nhiễm xảy ra ở châu Âu, không phải các nước Trung và Tây Phi - là nơi virus lưu hành thường xuyên.

WHO đang xem xét có nên coi đợt bùng phát là "tình trạng khẩn cấp về sức khỏe cộng đồng tiềm năng, được quốc tế quan tâm" (PHEIC) hay không. Tổ chức đã ghi nhận hơn 300 trường hợp mắc bệnh đậu mùa khỉ trong tháng 5, tại ít nhất 12 nước bao gồm Anh, Mỹ, Bồ Đào Nha, Thụy Điển, Italy,... Bệnh nhân không có tiền sử du lịch. Vì vậy, các nhà khoa học đang xem xét nguyên nhân dẫn đến đợt bùng phát bất thường này.


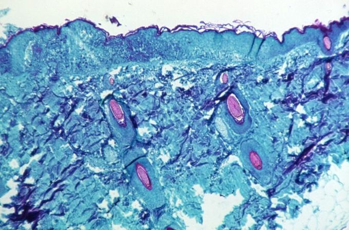
Mô da của một con khỉ nhiễm đậu mùa khỉ vào năm 1968. Ảnh: Reuters

Hiện châu Âu chỉ có một loại vaccine ngăn ngừa bệnh đậu mùa khỉ là Jynneos. Mỹ dùng hai loại vaccine đậu mùa, Jynneos và Acam200.

Jynneos sử dụng virus đã bất hoạt, không thể sao chép. Như vậy, virus đậu mùa trong vaccine không lây lan trong cơ thể. Vaccine được tiêm hai mũi, cách nhau 4 tuần.

Acam200 có chứa virus sống, chưa bất hoạt. Sau khi tiêm chủng để lại vết sẹo ở vị trí tiêm. Virus phát triển tại vết sẹo này, lan sang các bộ phận khác của cơ thể, thậm chí lây cho người khác. Những người vừa tiêm Acam200 phải tạm thời cách ly để phòng ngừa lây lan virus từ vaccine.
Dịch trang: EnglishEnglish DeutschDeutsch FrançaisFrançais EspañolEspañol ItalianoItaliano PortuguêsPortuguês
NorskNorsk NederlandsNederlands DanskDansk SuomiSuomi PolskiPolski ČeštinaČeština РусскийРусский
日本語日本語 한국어한국어 中文(简体)中文(简体) 中文(繁體)中文(繁體) MagyarMagyar TürkçeTürkçe
العربيةالعربية ไทยไทย LatinaLatina हिन्दीहिन्दी Bahasa IndonesiaBahasa Indonesia Bahasa MelayuBahasa Melayu
VIETBF Hybrid Community Content Hub

HOT NEWS 24h

HOT 3 Days

NEWS 3 Days

HOT 7 Days

NEWS 7 Days

HOME

Breaking News

VietOversea

World News

Business News

Car News

Computer News

Game News

USA News

Mobile News

Music News

Movies News

History

Thơ Ca

Sport News

Stranger Stories

Comedy Stories

Cooking Chat

Nice Pictures

Fashion

School

Travelling

Funny Videos

Canada Tin Hay

USA Tin Hay

VietBF Homepage Autoscroll

VietBF Video Autoscroll Portal

Video Classic Master

iPad News Portal

VietBF iPad Music Portal

Tin nóng nhất 50h qua

Phim Bộ Online

iMusic Pro Max



sunshine1104
R10 Vô Địch Thiên Hạ
Release: 05-31-2022
Reputation: 25202


Profile:
Join Date: Feb 2015
Posts: 80,836
Last Update: None Rating: None
Attached Thumbnails
Click image for larger version

Name:	3.jpg
Views:	0
Size:	96.6 KB
ID:	2061134  
sunshine1104_is_offline
Thanks: 4
Thanked 4,057 Times in 3,573 Posts
Mentioned: 4 Post(s)
Tagged: 0 Thread(s)
Quoted: 22 Post(s)
Rep Power: 93
sunshine1104 Reputation Uy Tín Level 7sunshine1104 Reputation Uy Tín Level 7
sunshine1104 Reputation Uy Tín Level 7sunshine1104 Reputation Uy Tín Level 7sunshine1104 Reputation Uy Tín Level 7sunshine1104 Reputation Uy Tín Level 7sunshine1104 Reputation Uy Tín Level 7sunshine1104 Reputation Uy Tín Level 7sunshine1104 Reputation Uy Tín Level 7sunshine1104 Reputation Uy Tín Level 7sunshine1104 Reputation Uy Tín Level 7sunshine1104 Reputation Uy Tín Level 7sunshine1104 Reputation Uy Tín Level 7sunshine1104 Reputation Uy Tín Level 7sunshine1104 Reputation Uy Tín Level 7sunshine1104 Reputation Uy Tín Level 7sunshine1104 Reputation Uy Tín Level 7sunshine1104 Reputation Uy Tín Level 7sunshine1104 Reputation Uy Tín Level 7sunshine1104 Reputation Uy Tín Level 7sunshine1104 Reputation Uy Tín Level 7
Dịch trang: EnglishEnglish DeutschDeutsch FrançaisFrançais EspañolEspañol ItalianoItaliano PortuguêsPortuguês
NorskNorsk NederlandsNederlands DanskDansk SuomiSuomi PolskiPolski ČeštinaČeština РусскийРусский
日本語日本語 한국어한국어 中文(简体)中文(简体) 中文(繁體)中文(繁體) MagyarMagyar TürkçeTürkçe
العربيةالعربية ไทยไทย LatinaLatina हिन्दीहिन्दी Bahasa IndonesiaBahasa Indonesia Bahasa MelayuBahasa Melayu
 
User Tag List



 

iPad Videos Portal Autoscroll

VietBF Music Portal Autoscroll

iPad News Portal Autoscroll

VietBF Homepage Autoscroll

VietBF Video Autoscroll Portal

USA News Autoscroll Portall

VietBF WORLD Autoscroll Portal

Video Classic Master Page

Super Widescreen

iPad World Portal Autoscroll

iPad USA Portal Autoscroll

Phim Bộ Online
Lên đầu Xuống dưới Lên 3000px Xuống 3000px

Tin nóng nhất 24h qua

Tin nóng nhất 3 ngày qua

Tin nóng nhất 7 ngày qua

Tin nóng nhất 30 ngày qua

Albums

Total Videos Online

Tranh luận sôi nổi nhất 7 ngày qua

Tranh luận sôi nổi nhất 14 ngày qua

Tranh luận sôi nổi nhất 30 ngày qua

10.000 Tin mới nhất

Tin tức Hoa Kỳ

Tin tức Công nghệ
Lên đầu Xuống dưới Lên 3000px Xuống 3000px

Duo Series Movies Portal

Duo Music Portal

Phim Bộ

Tỷ Giá

Thời Tiết

Tin Nóng Nhất 50h

Super News

School Cooking Traveling Portal

Enter Portal

Series Shows and Movies Online

Home Classic Master Page

Donation Ủng hộ $3 cho VietBF
Lên đầu Xuống dưới Lên 3000px Xuống 3000px
Diễn Đàn Người Việt Hải Ngoại. Tự do ngôn luận, an toàn và uy tín. Vì một tương lai tươi đẹp cho các thế hệ Việt Nam hãy ghé thăm chúng tôi, hãy tâm sự với chúng tôi mỗi ngày, mỗi giờ và mỗi giây phút có thể. VietBF.Com Xin cám ơn các bạn, chúc tất cả các bạn vui vẻ và gặp nhiều may mắn.
Welcome to Vietnamese American Community, Vietnamese European, Canadian, Australian Forum, Vietnamese Overseas Forum. Freedom of speech, safety and prestige. For a beautiful future for Vietnamese generations, please visit us, talk to us every day, every hour and every moment possible. VietBF.Com Thank you all and good luck.

Lên đầu Xuống dưới Lên 3000px Xuống 3000px

All times are GMT. The time now is 08:10.
VietBF - Vietnamese Best Forum Copyright ©2005 - 2026
User Alert System provided by Advanced User Tagging (Pro) - vBulletin Mods & Addons Copyright © 2026 DragonByte Technologies Ltd.
Log Out Unregistered

Page generated in 0.09529 seconds with 13 queries