HOME-Au
HOME-Au
24h
24h
USA
USA
GOP
GOP
Phim Bộ
Phim Bộ
Videoauto
VIDEO-Au
Donation
Donation
News Book
News Book
News 50
News 50
worldautoscroll
WORLD-Au
Breaking
Breaking
 

Go Back   VietBF > World > Vietnam News | Tin Việt Nam > 2005-2023 Vietnam News

 
Thread Tools
 
 
  #1  
Old  Default Kinh hoàng cụ ông tự đóng đinh dài 4cm vào đỉnh đầu
Ngày 10/1, tin từ Bệnh viện đa khoa Trung ương Cần Thơ cho biết các bác sĩ đã phẫu thuật thành công trường hợp hy hữu dị vật là cây đinh dài 4 cm xuyên sọ do cụ ông 70 tuổi tự đóng vào đầu.

Bệnh nhân N.V.Đ. (70 tuổi, nam) có địa chỉ ở Vĩnh Long. Theo người nhà cụ Đ., cụ mắc bệnh trầm cảm khoảng 12 năm nay, có uống thuốc điều trị.

Gần đây, cụ Đ. thường xuyên mất ngủ, cảm thấy đau đớn, bứt rứt, khó chịu. Khoảng 15h ngày 7/1, cụ tự đóng một cây đinh vào ngay đỉnh đầu của mình. Sau khi phát hiện, người nhà đưa cụ vào bệnh viện địa phương rồi chuyển đến Bệnh viện đa khoa Trung ương Cần Thơ cấp cứu khuya cùng ngày.


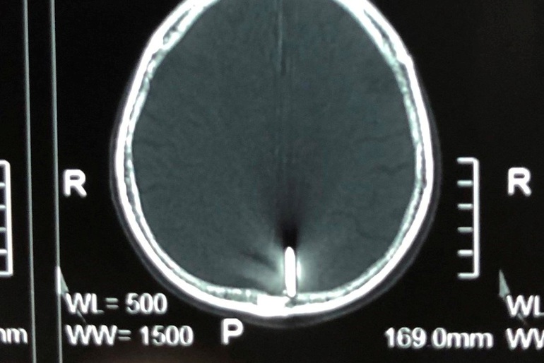
Hình ảnh cây đinh trên phim chụp cắt lớp sọ não (Ảnh: BV cung cấp).


Và cây đinh dài 4 cm sau khi phẫu thuật (Ảnh: BV cung cấp).

Theo bệnh viện, cụ Đ. vào viện với tình trạng tỉnh táo, đường kính đầu dị vật khoảng 5 mm ở đỉnh đầu bên trái gần đường giữa. Kết quả chẩn đoán hình ảnh dị vật là kim loại khoảng 3-4 cm cắm vào não vùng đỉnh bên trái, cạnh xoang tĩnh mạch dọc trên.

Các bác sĩ khoa Ngoại thần kinh đã tiến hành khám, hội chẩn phẫu thuật khẩn cấp lấy cây đinh ra. Ekip phẫu thuật rạch da từ dị vật về 2 hướng song song đường giữa, bộc lộ sọ, khoan gặm sọ xung quanh dị vật, tiến hành lấy dị vật là cây đinh dài 4 cm, mở màng cứng kiểm tra, cầm máu kỹ. Thời gian phẫu thuật là 2 giờ.


Bác sĩ thăm khám bệnh nhân Đ. (Ảnh: BV cung cấp).

Hiện tại bệnh nhân Đ. tỉnh, tiếp xúc tốt, vết mổ khô, không sốt, không yếu liệt chi, đang được theo dõi và điều trị tại khoa Ngoại thần kinh kết hợp điều trị trầm cảm.

BS CK2 Chương Chấn Phước, Trưởng khoa Ngoại thần kinh, cho biết đây là tai nạn rất ít gặp do bệnh nhân có chủ ý gây ra nhưng nguy hiểm đến tính mạng. Bệnh nhân này rất may mắn khi cây đinh không đâm trúng các cấu trúc quan trọng của não. Đặc biệt, cây đinh nằm rất gần xoang tĩnh mạch sọ, chỉ cần lệch về bên phải 5-10 mm thì tiên lượng rất nặng, khả năng phẫu thuật thất bại cao, kể cả tử vong trên bàn mổ.
Dịch trang: EnglishEnglish DeutschDeutsch FrançaisFrançais EspañolEspañol ItalianoItaliano PortuguêsPortuguês
NorskNorsk NederlandsNederlands DanskDansk SuomiSuomi PolskiPolski ČeštinaČeština РусскийРусский
日本語日本語 한국어한국어 中文(简体)中文(简体) 中文(繁體)中文(繁體) MagyarMagyar TürkçeTürkçe
العربيةالعربية ไทยไทย LatinaLatina हिन्दीहिन्दी Bahasa IndonesiaBahasa Indonesia Bahasa MelayuBahasa Melayu
VIETBF Hybrid Community Content Hub

HOT NEWS 24h

HOT 3 Days

NEWS 3 Days

HOT 7 Days

NEWS 7 Days

HOME

Breaking News

VietOversea

World News

Business News

Car News

Computer News

Game News

USA News

Mobile News

Music News

Movies News

History

Thơ Ca

Sport News

Stranger Stories

Comedy Stories

Cooking Chat

Nice Pictures

Fashion

School

Travelling

Funny Videos

Canada Tin Hay

USA Tin Hay

VietBF Homepage Autoscroll

VietBF Video Autoscroll Portal

Video Classic Master

iPad News Portal

VietBF iPad Music Portal

Tin nóng nhất 50h qua

Phim Bộ Online

iMusic Pro Max



miro1510
R9 Tuyệt Đỉnh Tôn Sư
Release: 01-11-2022
Reputation: 13837

Profile:
Join Date: Oct 2014
Posts: 47,191
Last Update: None Rating: None
Attached Thumbnails
Click image for larger version

Name:	712.1.jpg
Views:	0
Size:	88.5 KB
ID:	1976172   Click image for larger version

Name:	712.2.jpg
Views:	0
Size:	298.1 KB
ID:	1976173   Click image for larger version

Name:	712.3.jpg
Views:	0
Size:	85.3 KB
ID:	1976174  

miro1510_is_offline
Thanks: 9
Thanked 2,096 Times in 1,935 Posts
Mentioned: 3 Post(s)
Tagged: 0 Thread(s)
Quoted: 8 Post(s)
Rep Power: 59
miro1510 Reputation Uy Tín Level 6
miro1510 Reputation Uy Tín Level 6miro1510 Reputation Uy Tín Level 6miro1510 Reputation Uy Tín Level 6miro1510 Reputation Uy Tín Level 6miro1510 Reputation Uy Tín Level 6miro1510 Reputation Uy Tín Level 6miro1510 Reputation Uy Tín Level 6miro1510 Reputation Uy Tín Level 6miro1510 Reputation Uy Tín Level 6miro1510 Reputation Uy Tín Level 6miro1510 Reputation Uy Tín Level 6miro1510 Reputation Uy Tín Level 6miro1510 Reputation Uy Tín Level 6miro1510 Reputation Uy Tín Level 6miro1510 Reputation Uy Tín Level 6miro1510 Reputation Uy Tín Level 6
Dịch trang: EnglishEnglish DeutschDeutsch FrançaisFrançais EspañolEspañol ItalianoItaliano PortuguêsPortuguês
NorskNorsk NederlandsNederlands DanskDansk SuomiSuomi PolskiPolski ČeštinaČeština РусскийРусский
日本語日本語 한국어한국어 中文(简体)中文(简体) 中文(繁體)中文(繁體) MagyarMagyar TürkçeTürkçe
العربيةالعربية ไทยไทย LatinaLatina हिन्दीहिन्दी Bahasa IndonesiaBahasa Indonesia Bahasa MelayuBahasa Melayu
 
User Tag List



 

iPad Videos Portal Autoscroll

VietBF Music Portal Autoscroll

iPad News Portal Autoscroll

VietBF Homepage Autoscroll

VietBF Video Autoscroll Portal

USA News Autoscroll Portall

VietBF WORLD Autoscroll Portal

Video Classic Master Page

Super Widescreen

iPad World Portal Autoscroll

iPad USA Portal Autoscroll

Phim Bộ Online
Lên đầu Xuống dưới Lên 3000px Xuống 3000px

Tin nóng nhất 24h qua

Tin nóng nhất 3 ngày qua

Tin nóng nhất 7 ngày qua

Tin nóng nhất 30 ngày qua

Albums

Total Videos Online

Tranh luận sôi nổi nhất 7 ngày qua

Tranh luận sôi nổi nhất 14 ngày qua

Tranh luận sôi nổi nhất 30 ngày qua

10.000 Tin mới nhất

Tin tức Hoa Kỳ

Tin tức Công nghệ
Lên đầu Xuống dưới Lên 3000px Xuống 3000px

Duo Series Movies Portal

Duo Music Portal

Phim Bộ

Tỷ Giá

Thời Tiết

Tin Nóng Nhất 50h

Super News

School Cooking Traveling Portal

Enter Portal

Series Shows and Movies Online

Home Classic Master Page

Donation Ủng hộ $3 cho VietBF
Lên đầu Xuống dưới Lên 3000px Xuống 3000px
Diễn Đàn Người Việt Hải Ngoại. Tự do ngôn luận, an toàn và uy tín. Vì một tương lai tươi đẹp cho các thế hệ Việt Nam hãy ghé thăm chúng tôi, hãy tâm sự với chúng tôi mỗi ngày, mỗi giờ và mỗi giây phút có thể. VietBF.Com Xin cám ơn các bạn, chúc tất cả các bạn vui vẻ và gặp nhiều may mắn.
Welcome to Vietnamese American Community, Vietnamese European, Canadian, Australian Forum, Vietnamese Overseas Forum. Freedom of speech, safety and prestige. For a beautiful future for Vietnamese generations, please visit us, talk to us every day, every hour and every moment possible. VietBF.Com Thank you all and good luck.

Lên đầu Xuống dưới Lên 3000px Xuống 3000px

All times are GMT. The time now is 10:39.
VietBF - Vietnamese Best Forum Copyright ©2005 - 2026
User Alert System provided by Advanced User Tagging (Pro) - vBulletin Mods & Addons Copyright © 2026 DragonByte Technologies Ltd.
Log Out Unregistered

Page generated in 0.11210 seconds with 13 queries