HOME-Au
HOME-Au
24h
24h
USA
USA
GOP
GOP
Phim Bộ
Phim Bộ
Videoauto
VIDEO-Au
Home Classic
Home Classic
Donation
Donation
News Book
News Book
News 50
News 50
worldautoscroll
WORLD-Au
Breaking
Breaking
 

Go Back   VietBF > World Box| Thế Giới > Vietnam News | Tin Việt Nam > 2005-2023 Vietnam News


 
 
Thread Tools
  #1  
Old  Default Thiếu niên tự kỷ 15 tuổi nuốt tai nghe không dây khi dùng điện thoại
Thiếu niên 15 tuổi bị tự kỷ ở Hà Nội đă nuốt chiếc tai nghe điện thoại không dây vào bụng khi sử dụng điện thoại.

Các bác sĩ Bệnh viện E Trung ương (Hà Nội) vừa gắp thành công dị vật là chiếc tai nghe điện thoại trong ổ bụng một thiếu niên bị tự kỷ.

Bệnh nhi 15 tuổi ở quận Cầu Giấy, Hà Nội được gia đ́nh đưa đến Khoa Cấp cứu Bệnh viện E Trung ương, lúc gần 23 giờ, ngày 26-3 vừa qua. Người nhà bệnh nhân cho biết trước đó hơn 1 giờ, gia đ́nh có cho con sử dụng tai nghe điện thoại không dây. Khoảng 10 phút sau, gia đ́nh phát hiện mất một bên tai nghe và thấy con chỉ tay vào bụng nên đă đưa đến bệnh viện.

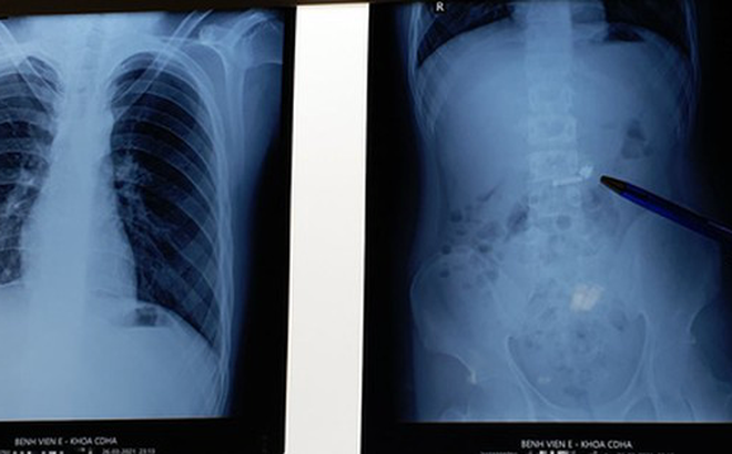
Kết quả chụp X-quang tại bệnh viện cho thấy trong ổ bụng bệnh nhân có h́nh tai nghe điện thoại không dây. Đáng nói, bệnh nhi là trẻ tự kỷ nên việc điều trị không dễ dàng. Bệnh nhân không hợp tác với các thầy thuốc trong việc lấy máu làm xét nghiệm, chiếu chụp và gây mê... Phải gần 4 tiếng sau vào viện, bác sĩ mới tiến hành nội soi để gắp dị vật cho bệnh nhân.


Chiếc tai nghe không dây nằm trong ổ bụng thiếu niên ở Hà Nội - Ảnh: Bệnh viện cung cấp

Bệnh nhi may mắn khi nuốt phải dị vật là h́nh dạng tṛn, trơn bóng nên đă trôi xuống dạ dày mà không bị mắc lại ở vị trí thực quản hay đường thở, tránh được nhiều biến chứng nguy hiểm.

Bác sĩ Nguyễn Viết Chung, Khoa Sức khỏe tâm thần, Bệnh viện E Trung ương cho biết mọi trẻ nhỏ đều có nguy cơ nuốt phải dị vật. Đặc biệt, ở trẻ tự kỷ có nguy cơ cao hơn do nhận thức của trẻ bị hạn chế. Thậm chí nhiều trẻ không nhận biết rằng đă nuốt phải dị vật.

Thời gian qua, Bệnh viện E Trung ương đă tiếp nhận rất nhiều trường hợp bệnh nhi nhập viện do nuốt phải dị vật như: đồng xu, cúc áo, ḥn bi, ḥn đá, móng tay, đinh vít, kẹp ghim, các bộ phận của những món đồ chơi, pin tiểu… Khi trẻ nuốt phải dị vật nguy cơ cao nhất có thể gặp phải là tử vong hoặc bị chết năo do dị vật chèn kín đường thở. Các dị vật c̣n có thể gây các biến chứng nguy hiểm như viêm phổi, viêm ổ bụng.

VietBF @ Sưu tầm
VIETBF Diễn Đàn Hay Nhất Của Người Việt Nam

HOT NEWS 24h

HOT 3 Days

NEWS 3 Days

HOT 7 Days

NEWS 7 Days

HOME

Breaking News

VietOversea

World News

Business News

Car News

Computer News

Game News

USA News

Mobile News

Music News

Movies News

History

Thơ Ca

Sport News

Stranger Stories

Comedy Stories

Cooking Chat

Nice Pictures

Fashion

School

Travelling

Funny Videos

Canada Tin Hay

USA Tin Hay

VietBF Homepage Autoscroll

VietBF Video Autoscroll Portal

Home Classic

Home Classic Master Page



Cupcake01
R10 Vô Địch Thiên Hạ
Release: 03-30-2021
Reputation: 158461


Profile:
Join Date: May 2019
Posts: 57,175
Last Update: None Rating: None
Attached Thumbnails
Click image for larger version

Name:	j.png
Views:	0
Size:	253.9 KB
ID:	1765693  
Cupcake01_is_offline
Thanks: 46
Thanked 3,726 Times in 3,246 Posts
Mentioned: 0 Post(s)
Tagged: 0 Thread(s)
Quoted: 14 Post(s)
Rep Power: 71
Cupcake01 Reputation Uy Tín Level 9Cupcake01 Reputation Uy Tín Level 9Cupcake01 Reputation Uy Tín Level 9
Cupcake01 Reputation Uy Tín Level 9Cupcake01 Reputation Uy Tín Level 9Cupcake01 Reputation Uy Tín Level 9Cupcake01 Reputation Uy Tín Level 9Cupcake01 Reputation Uy Tín Level 9Cupcake01 Reputation Uy Tín Level 9Cupcake01 Reputation Uy Tín Level 9Cupcake01 Reputation Uy Tín Level 9Cupcake01 Reputation Uy Tín Level 9Cupcake01 Reputation Uy Tín Level 9Cupcake01 Reputation Uy Tín Level 9Cupcake01 Reputation Uy Tín Level 9Cupcake01 Reputation Uy Tín Level 9Cupcake01 Reputation Uy Tín Level 9Cupcake01 Reputation Uy Tín Level 9Cupcake01 Reputation Uy Tín Level 9Cupcake01 Reputation Uy Tín Level 9Cupcake01 Reputation Uy Tín Level 9Cupcake01 Reputation Uy Tín Level 9Cupcake01 Reputation Uy Tín Level 9Cupcake01 Reputation Uy Tín Level 9Cupcake01 Reputation Uy Tín Level 9Cupcake01 Reputation Uy Tín Level 9
 
User Tag List


“Huyền thoại ‘Trung Quốc là Singapore phóng đại’ đang sụp đổ như thế nào?” Trung Tá Nhảy Dù Bùi Quyền: Từ thủ khoa Vơ Bị đến chiếc ghế trống sau 60 năm gặp lại Làm ǵ có “giải phóng” mà tôn vinh “chiến sĩ giải phóng”?
Cuba cá đầy biển, ngư dân vẫn đói: Khi thiên nhiên hào phóng nhưng thể chế “thắt nút cổ chai” Quận Cam: Người già gốc Việt sống trong nhà tiền chế, run rẩy trước mỗi lá thư cảnh cáo Doanh nghiệp châu Âu lặng lẽ tháo chạy khỏi Trung Quốc, nguyên nhân?
Năm tiếng trong Điện Kremlin: Ḥa b́nh Ukraine đang đến gần? Một tổng thống lim dim, một thế giới nín thở Trump, Venezuela và cơn băo “tội ác chiến tranh” ở Washington
5 bí mật trên buồng lái mà phi công hiếm khi kể cho hành khách Đồng chí 3 X và chiếc b́nh xịt gây tê Hồi kư Trịnh Xuân Thanh và thương vụ 50 triệu đô đưa Nguyễn Cao Kỳ về nước
V́ sao Việt Nam vẫn vắng bóng Nobel Văn học? Khi sự thật bị nhào nặn: Nga, Trung Quốc và cuộc chiến bẻ cong h́nh ảnh dân chủ ‘Đổ bộ lên mặt trời ban đêm’ – khi ngu dốt ngồi lên ngai quyền lực
Xuất khẩu lao động – khi một quốc gia đóng gói tương lai của ḿnh gửi ra nước ngoài Vụ kiện chất độc da cam – khi cộng sản Việt Nam tự làm nhục ḿnh trước thế giới Nhiều người hỏi ḿnh: “Qua Mỹ trễ vậy có hối hận không?”
Lũ quét miền Trung, Khánh Hoà, Nha Trang, “kỷ lục của kỷ lục” +video 12 ngày trên đất Mỹ: Những điều mắt thấy tai nghe của một bà mẹ Việt Khi ‘cái tôi’ ph́nh to hơn thực tài của người Việt Cộng
Bài học nhớ đời khi lao vào bán hàng Amazon theo trend Pokémon Nghỉ hưu ở Texas: Thiên đường mới sau ‘giấc mơ California Nơi sóng radio chết lặng và những chuyện không thể giải thích
Bà Ngô Đ́nh Nhu trên tầng 11 Paris: từ ánh đèn Dinh Độc Lập đến căn hộ cô quạnh “Đánh từ sẵn”: một đêm gơ cửa và cả đời bất an của chú Ba Lợi Người thầy tội nghiệp và nỗi đau hai chữ “lưu dung”

 
Lên đầu Xuống dưới Lên 3000px Xuống 3000px

iPad Videos Portal Autoscroll

VietBF Music Portal Autoscroll

iPad News Portal Autoscroll

VietBF Homepage Autoscroll

VietBF Video Autoscroll Portal

USA News Autoscroll Portall

VietBF WORLD Autoscroll Portal

Home Classic

Super Widescreen

iPad World Portal Autoscroll

iPad USA Portal Autoscroll

Phim Bộ Online

Tin nóng nhất 24h qua

Tin nóng nhất 3 ngày qua

Tin nóng nhất 7 ngày qua

Tin nóng nhất 30 ngày qua

Albums

Total Videos Online
Lên đầu Xuống dưới Lên 3000px Xuống 3000px

Tranh luận sôi nổi nhất 7 ngày qua

Tranh luận sôi nổi nhất 14 ngày qua

Tranh luận sôi nổi nhất 30 ngày qua

10.000 Tin mới nhất

Tin tức Hoa Kỳ

Tin tức Công nghệ
Lên đầu Xuống dưới Lên 3000px Xuống 3000px

Super News

School Cooking Traveling Portal

Enter Portal

Series Shows and Movies Online

Home Classic Master Page

Donation Ủng hộ $3 cho VietBF
Lên đầu Xuống dưới Lên 3000px Xuống 3000px
Diễn Đàn Người Việt Hải Ngoại. Tự do ngôn luận, an toàn và uy tín. V́ một tương lai tươi đẹp cho các thế hệ Việt Nam hăy ghé thăm chúng tôi, hăy tâm sự với chúng tôi mỗi ngày, mỗi giờ và mỗi giây phút có thể. VietBF.Com Xin cám ơn các bạn, chúc tất cả các bạn vui vẻ và gặp nhiều may mắn.
Welcome to Vietnamese American Community, Vietnamese European, Canadian, Australian Forum, Vietnamese Overseas Forum. Freedom of speech, safety and prestige. For a beautiful future for Vietnamese generations, please visit us, talk to us every day, every hour and every moment possible. VietBF.Com Thank you all and good luck.

Lên đầu Xuống dưới Lên 3000px Xuống 3000px

All times are GMT. The time now is 16:45.
VietBF - Vietnamese Best Forum Copyright ©2005 - 2025
User Alert System provided by Advanced User Tagging (Pro) - vBulletin Mods & Addons Copyright © 2025 DragonByte Technologies Ltd.
Log Out Unregistered

Page generated in 0.11333 seconds with 13 queries