HOME-Au
HOME-Au
24h
24h
USA
USA
GOP
GOP
Phim Bộ
Phim Bộ
Videoauto
VIDEO-Au
Donation
Donation
News Book
News Book
News 50
News 50
worldautoscroll
WORLD-Au
Breaking
Breaking
 

Go Back   VietBF > Other > School | Kiến thức > School | Kiến thức 2006-2019


 
Thread Tools
 
 
  #1  
Old  Default Thói quen sử dụng điện thoại khiến cô gái bị xuất huyết não và liệt nửa người
Câu chuyện về cô gái này là câu chuyện cảnh tỉnh các bạn trẻ hiện nay. Thói quen sử dụng điện thoại tai hại khiến xuất huyết não và liệt nửa người không chỉ cô gái trẻ này mà nhiều bạn trẻ khác cũng đang có thói quen giống vậy.

Vừa xem phim vừa sạc điện thoại, chat với bạn thâu đêm suốt sáng, chơi game khi đi vệ sinh không còn là hình ảnh quá xa lạ. Mới đây, một bệnh nhân nữ tên Trân Trân, vừa được cấp cứu tại một bệnh viện ở Chiết Giang, Trung Quốc tiếp tục là một trường hợp vừa nằm vừa dùng điện thoại khiến cô ảnh hưởng nặng nề về sức khỏe.

Trân Trân năm nay 38 tuổi, thường xuyên vừa nằm vừa nghịch điện thoại, có thể là lướt mạng, xem phim, đọc truyện trên mạng từ nhiều năm nay. Cô không hề ý thức được sự nguy hại của việc này nên vẫn cứ duy trì thói quen xấu. Đến gần đây, khi nhập viện cô bị chẩn đoán liệt nửa người.

Trước khi nhập viện cấp cứu, Trân Trân vẫn nằm trên giường như mọi lần và dùng điện thoại để đọc tiểu thuyết. Đột nhiên cô gái này phát hiện phía người bên phải của mình không thể cử động, miệng bị lệch, không thể nói chuyện rõ ràng, toàn thân gần như không còn chút sức lực nào.

Tuy nhiên, vì chủ quan nên cô vẫn cho rằng mình chỉ bị tê một lúc nên cố gắng xoay người nằm ngủ. Vài giờ sau, Trân Trân nhận ra phía thân bên phải của mình đã bị tê liệt hoàn toàn. Khi ấy gia đình cô mới phát hiện và lập tức đưa cô đi cấp cứu.

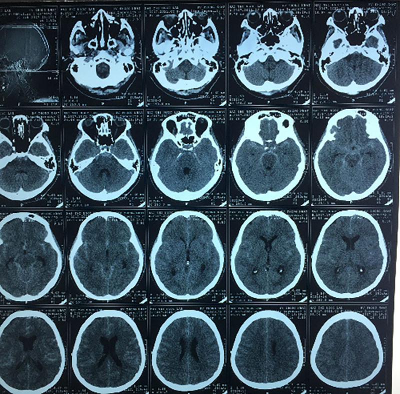
Sau khi chụp CT đầu, Trân Trân bị chẩn đoán xuất huyết não cấp tính ở hạch nền trái của não, lượng máu chảy ra đã là 20 ml. May mắn cô đã được đưa đi cấp cứu kịp thời nên xuất huyết não vẫn chưa xâm lấn tâm thất.

Nguyên nhân được các bác sĩ phân tích là do bệnh nhân dùng điện thoại di động quá mức trong thời gian dài và nằm cố định lâu ở một tư thế nên mới dẫn đến tình trạng nguy hiểm này.

Sau khi được chia sẻ rộng rãi trên mạng xã hội, câu chuyện của Trân Trân khiến dư luận xôn xao. Nhiều người tỏ ra sợ hãi vì chính mình cũng có thói quen nghịch smartphone mọi lúc mọi nơi. Đó chính là một bài học đắt giá dành cho cô gái trẻ.

Không thể phủ nhận sự tiện lợi và những ưu điểm smartphone mang lại, thế nhưng hãy biết cách sử dụng điều độ, tránh lạm dụng điện thoại vô tội vạ. Nếu không trong tương lai người bị ảnh hưởng sức khỏe nhiều nhất chính là chúng ta.





Dịch trang: EnglishEnglish DeutschDeutsch FrançaisFrançais EspañolEspañol ItalianoItaliano PortuguêsPortuguês
NorskNorsk NederlandsNederlands DanskDansk SuomiSuomi PolskiPolski ČeštinaČeština РусскийРусский
日本語日本語 한국어한국어 中文(简体)中文(简体) 中文(繁體)中文(繁體) MagyarMagyar TürkçeTürkçe
العربيةالعربية ไทยไทย LatinaLatina हिन्दीहिन्दी Bahasa IndonesiaBahasa Indonesia Bahasa MelayuBahasa Melayu
VIETBF Hybrid Community Content Hub

HOT NEWS 24h

HOT 3 Days

NEWS 3 Days

HOT 7 Days

NEWS 7 Days

HOME

Breaking News

VietOversea

World News

Business News

Car News

Computer News

Game News

USA News

Mobile News

Music News

Movies News

History

Thơ Ca

Sport News

Stranger Stories

Comedy Stories

Cooking Chat

Nice Pictures

Fashion

School

Travelling

Funny Videos

Canada Tin Hay

USA Tin Hay

VietBF Homepage Autoscroll

VietBF Video Autoscroll Portal

Video Classic Master

iPad News Portal

VietBF iPad Music Portal

Tin nóng nhất 50h qua

Phim Bộ Online

iMusic Pro Max



nguoiduatinabc
R10 Vô Địch Thiên Hạ
Release: 11-26-2019
Reputation: 22230


Profile:
Join Date: Apr 2016
Posts: 83,817
Last Update: None Rating: None
Attached Thumbnails
Click image for larger version

Name:	t1.jpg
Views:	0
Size:	62.4 KB
ID:	1490131   Click image for larger version

Name:	t2.jpg
Views:	0
Size:	66.8 KB
ID:	1490132   Click image for larger version

Name:	t3.jpg
Views:	0
Size:	247.2 KB
ID:	1490133  

Click image for larger version

Name:	t4.jpg
Views:	0
Size:	33.7 KB
ID:	1490134  
nguoiduatinabc_is_offline
Thanks: 168
Thanked 5,450 Times in 4,423 Posts
Mentioned: 4 Post(s)
Tagged: 0 Thread(s)
Quoted: 29 Post(s)
Rep Power: 94
nguoiduatinabc Reputation Uy Tín Level 7nguoiduatinabc Reputation Uy Tín Level 7
nguoiduatinabc Reputation Uy Tín Level 7nguoiduatinabc Reputation Uy Tín Level 7nguoiduatinabc Reputation Uy Tín Level 7nguoiduatinabc Reputation Uy Tín Level 7nguoiduatinabc Reputation Uy Tín Level 7nguoiduatinabc Reputation Uy Tín Level 7nguoiduatinabc Reputation Uy Tín Level 7nguoiduatinabc Reputation Uy Tín Level 7nguoiduatinabc Reputation Uy Tín Level 7nguoiduatinabc Reputation Uy Tín Level 7nguoiduatinabc Reputation Uy Tín Level 7nguoiduatinabc Reputation Uy Tín Level 7nguoiduatinabc Reputation Uy Tín Level 7
Dịch trang: EnglishEnglish DeutschDeutsch FrançaisFrançais EspañolEspañol ItalianoItaliano PortuguêsPortuguês
NorskNorsk NederlandsNederlands DanskDansk SuomiSuomi PolskiPolski ČeštinaČeština РусскийРусский
日本語日本語 한국어한국어 中文(简体)中文(简体) 中文(繁體)中文(繁體) MagyarMagyar TürkçeTürkçe
العربيةالعربية ไทยไทย LatinaLatina हिन्दीहिन्दी Bahasa IndonesiaBahasa Indonesia Bahasa MelayuBahasa Melayu
 
User Tag List



 

iPad Videos Portal Autoscroll

VietBF Music Portal Autoscroll

iPad News Portal Autoscroll

VietBF Homepage Autoscroll

VietBF Video Autoscroll Portal

USA News Autoscroll Portall

VietBF WORLD Autoscroll Portal

Video Classic Master Page

Super Widescreen

iPad World Portal Autoscroll

iPad USA Portal Autoscroll

Phim Bộ Online
Lên đầu Xuống dưới Lên 3000px Xuống 3000px

Tin nóng nhất 24h qua

Tin nóng nhất 3 ngày qua

Tin nóng nhất 7 ngày qua

Tin nóng nhất 30 ngày qua

Albums

Total Videos Online

Tranh luận sôi nổi nhất 7 ngày qua

Tranh luận sôi nổi nhất 14 ngày qua

Tranh luận sôi nổi nhất 30 ngày qua

10.000 Tin mới nhất

Tin tức Hoa Kỳ

Tin tức Công nghệ
Lên đầu Xuống dưới Lên 3000px Xuống 3000px

Duo Series Movies Portal

Duo Music Portal

Phim Bộ

Tỷ Giá

Thời Tiết

Tin Nóng Nhất 50h

Super News

School Cooking Traveling Portal

Enter Portal

Series Shows and Movies Online

Home Classic Master Page

Donation Ủng hộ $3 cho VietBF
Lên đầu Xuống dưới Lên 3000px Xuống 3000px
Diễn Đàn Người Việt Hải Ngoại. Tự do ngôn luận, an toàn và uy tín. Vì một tương lai tươi đẹp cho các thế hệ Việt Nam hãy ghé thăm chúng tôi, hãy tâm sự với chúng tôi mỗi ngày, mỗi giờ và mỗi giây phút có thể. VietBF.Com Xin cám ơn các bạn, chúc tất cả các bạn vui vẻ và gặp nhiều may mắn.
Welcome to Vietnamese American Community, Vietnamese European, Canadian, Australian Forum, Vietnamese Overseas Forum. Freedom of speech, safety and prestige. For a beautiful future for Vietnamese generations, please visit us, talk to us every day, every hour and every moment possible. VietBF.Com Thank you all and good luck.

Lên đầu Xuống dưới Lên 3000px Xuống 3000px

All times are GMT. The time now is 05:30.
VietBF - Vietnamese Best Forum Copyright ©2005 - 2026
User Alert System provided by Advanced User Tagging (Pro) - vBulletin Mods & Addons Copyright © 2026 DragonByte Technologies Ltd.
Log Out Unregistered

Page generated in 0.10976 seconds with 14 queries