HOME-Au
HOME-Au
24h
24h
USA
USA
GOP
GOP
Phim Bộ
Phim Bộ
Videoauto
VIDEO-Au
Donation
Donation
News Book
News Book
News 50
News 50
worldautoscroll
WORLD-Au
Breaking
Breaking
 

Go Back   VietBF > Other > School | Kiến thức > School | Kiến thức 2006-2019


 
Thread Tools
 
 
  #1  
Old  Default Chứng bệnh xương tự biến mất khiến y khoa thế giới đau đầu
Hội chứng kỳ lạ này đã diễn ra từ lâu, tuy nhiên vẫn là ẩn số đến nay. Trường hợp mắc phải hội chứng này vô cùng ít và hiếm. Triệu chứng và cách bệnh phát triển đến nay vẫn đang được tìm hiểu.


Hội chứng kỳ lạ khiến xương trong cơ thể dần dần biến mất

Hội chứng xương biến mất hay bệnh Gorham-Stout từng xuất hiện ở bệnh viện Hoàng gia Edinburgh, Scotland, với một người phụ nữ 44 tuổi. Hội chứng này là tình trạng cực kỳ hiếm hoi làm cho người mắc bệnh mất xương mà không có một lời giải đáp.

Bệnh này hiếm tới nỗi mới chỉ có 64 trường hợp được ghi nhận lại trong lịch sử y học kể từ lần mô tả đầu tiên vào năm 1838. Đối với một người khỏe mạnh, xương sẽ tự tái tạo để duy trì sức mạnh cơ thể nhưng bệnh Gorham-Stout lại khiến quá trình này xảy ra sự cố, xương sẽ bị phá hủy nhanh hơn là tái tạo.

Vì tình trạng này rất hiếm nên cũng rất khó chẩn đoán. Trong trường hợp của người phụ nữ ở Edinburgh, ban đầu cô đến bác sĩ để phàn nàn về cơn đau bất thường ở vai trái. Chụp X quang cho thấy có tổn thương trên xương của cô. Điều này khiến các bác sĩ tin rằng bệnh nhân bị ung thư nhưng kết quả sinh thiết lại chứng minh phán đoán này là không chính xác.

Trong một năm rưỡi tiếp theo, các triệu chứng của cô dần trở nên tồi tệ hơn nhưng bác sĩ vẫn bối rối và không thể đưa ra một chẩn đoán cụ thể. Người phụ nữ bị đau, sưng ở cánh tay, thậm chí ngày càng nhiều như bị va đập, khiến xương bị gãy đầy đau đớn.

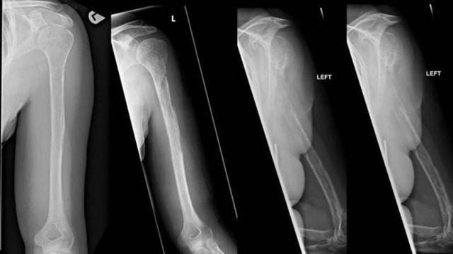
Sau 18 tháng ròng, cuối cùng các nhân viên y tế cũng đưa ra câu trả lời. Bằng cách quan sát các ảnh chụp X quang, bác sĩ nhận thấy xương trong cơ thể người phụ nữ mờ dần sau mỗi lần quét. Nhiều thử nghiệm được tiến hành cũng đã xác nhận rằng xương của bệnh nhân biến mất theo nghĩa đen. Kỳ lạ thay, các mạch máu lại tăng trưởng thay thế cho mô xương của cô.


Xương bệnh nhân mờ dần trong ảnh chụp X quang

Dù chẩn đoán ra nhưng căn bệnh này đến nay vẫn là một câu đố đối với giới y khoa và dường như bệnh có thể xảy ra ở bất cứ lứa tuổi, giới tính nào. Không ai tìm ra nguyên nhân gây bệnh là gì. Cũng không có cách điều trị cụ thể cho hội chứng xương biến mất.

Các bác sĩ có thể chọn loại bỏ vùng xương bị ảnh hưởng rồi ghép xương mới để khuyến khích cơ thể bệnh nhân tự sửa chữa. Một số lựa chọn khác là xạ trị và dùng thuốc theo toa.

Mặc dù căn bệnh này có vẻ đáng sợ và làm người bệnh khổ sở nhưng nhìn chung bệnh thường lành tính. Bệnh chỉ gây ra tình trạng tử vong khi lây lan đến phần đốt sống.

VietBF © Sưu Tầm
Dịch trang: EnglishEnglish DeutschDeutsch FrançaisFrançais EspañolEspañol ItalianoItaliano PortuguêsPortuguês
NorskNorsk NederlandsNederlands DanskDansk SuomiSuomi PolskiPolski ČeštinaČeština РусскийРусский
日本語日本語 한국어한국어 中文(简体)中文(简体) 中文(繁體)中文(繁體) MagyarMagyar TürkçeTürkçe
العربيةالعربية ไทยไทย LatinaLatina हिन्दीहिन्दी Bahasa IndonesiaBahasa Indonesia Bahasa MelayuBahasa Melayu
VIETBF Hybrid Community Content Hub

HOT NEWS 24h

HOT 3 Days

NEWS 3 Days

HOT 7 Days

NEWS 7 Days

HOME

Breaking News

VietOversea

World News

Business News

Car News

Computer News

Game News

USA News

Mobile News

Music News

Movies News

History

Thơ Ca

Sport News

Stranger Stories

Comedy Stories

Cooking Chat

Nice Pictures

Fashion

School

Travelling

Funny Videos

Canada Tin Hay

USA Tin Hay

VietBF Homepage Autoscroll

VietBF Video Autoscroll Portal

Video Classic Master

iPad News Portal

VietBF iPad Music Portal

Tin nóng nhất 50h qua

Phim Bộ Online

iMusic Pro Max



miro1510
R9 Tuyệt Đỉnh Tôn Sư
Release: 08-29-2018
Reputation: 13837


Profile:
Join Date: Oct 2014
Posts: 47,171
Last Update: None Rating: None
Attached Thumbnails
Click image for larger version

Name:	689.2.jpg
Views:	0
Size:	41.2 KB
ID:	1266819  
miro1510_is_offline
Thanks: 9
Thanked 2,096 Times in 1,935 Posts
Mentioned: 3 Post(s)
Tagged: 0 Thread(s)
Quoted: 8 Post(s)
Rep Power: 59
miro1510 Reputation Uy Tín Level 6
miro1510 Reputation Uy Tín Level 6miro1510 Reputation Uy Tín Level 6miro1510 Reputation Uy Tín Level 6miro1510 Reputation Uy Tín Level 6miro1510 Reputation Uy Tín Level 6miro1510 Reputation Uy Tín Level 6miro1510 Reputation Uy Tín Level 6miro1510 Reputation Uy Tín Level 6miro1510 Reputation Uy Tín Level 6miro1510 Reputation Uy Tín Level 6miro1510 Reputation Uy Tín Level 6miro1510 Reputation Uy Tín Level 6miro1510 Reputation Uy Tín Level 6miro1510 Reputation Uy Tín Level 6miro1510 Reputation Uy Tín Level 6miro1510 Reputation Uy Tín Level 6
Dịch trang: EnglishEnglish DeutschDeutsch FrançaisFrançais EspañolEspañol ItalianoItaliano PortuguêsPortuguês
NorskNorsk NederlandsNederlands DanskDansk SuomiSuomi PolskiPolski ČeštinaČeština РусскийРусский
日本語日本語 한국어한국어 中文(简体)中文(简体) 中文(繁體)中文(繁體) MagyarMagyar TürkçeTürkçe
العربيةالعربية ไทยไทย LatinaLatina हिन्दीहिन्दी Bahasa IndonesiaBahasa Indonesia Bahasa MelayuBahasa Melayu
 
User Tag List



 

iPad Videos Portal Autoscroll

VietBF Music Portal Autoscroll

iPad News Portal Autoscroll

VietBF Homepage Autoscroll

VietBF Video Autoscroll Portal

USA News Autoscroll Portall

VietBF WORLD Autoscroll Portal

Video Classic Master Page

Super Widescreen

iPad World Portal Autoscroll

iPad USA Portal Autoscroll

Phim Bộ Online
Lên đầu Xuống dưới Lên 3000px Xuống 3000px

Tin nóng nhất 24h qua

Tin nóng nhất 3 ngày qua

Tin nóng nhất 7 ngày qua

Tin nóng nhất 30 ngày qua

Albums

Total Videos Online

Tranh luận sôi nổi nhất 7 ngày qua

Tranh luận sôi nổi nhất 14 ngày qua

Tranh luận sôi nổi nhất 30 ngày qua

10.000 Tin mới nhất

Tin tức Hoa Kỳ

Tin tức Công nghệ
Lên đầu Xuống dưới Lên 3000px Xuống 3000px

Duo Series Movies Portal

Duo Music Portal

Phim Bộ

Tỷ Giá

Thời Tiết

Tin Nóng Nhất 50h

Super News

School Cooking Traveling Portal

Enter Portal

Series Shows and Movies Online

Home Classic Master Page

Donation Ủng hộ $3 cho VietBF
Lên đầu Xuống dưới Lên 3000px Xuống 3000px
Diễn Đàn Người Việt Hải Ngoại. Tự do ngôn luận, an toàn và uy tín. Vì một tương lai tươi đẹp cho các thế hệ Việt Nam hãy ghé thăm chúng tôi, hãy tâm sự với chúng tôi mỗi ngày, mỗi giờ và mỗi giây phút có thể. VietBF.Com Xin cám ơn các bạn, chúc tất cả các bạn vui vẻ và gặp nhiều may mắn.
Welcome to Vietnamese American Community, Vietnamese European, Canadian, Australian Forum, Vietnamese Overseas Forum. Freedom of speech, safety and prestige. For a beautiful future for Vietnamese generations, please visit us, talk to us every day, every hour and every moment possible. VietBF.Com Thank you all and good luck.

Lên đầu Xuống dưới Lên 3000px Xuống 3000px

All times are GMT. The time now is 16:22.
VietBF - Vietnamese Best Forum Copyright ©2005 - 2026
User Alert System provided by Advanced User Tagging (Pro) - vBulletin Mods & Addons Copyright © 2026 DragonByte Technologies Ltd.
Log Out Unregistered

Page generated in 0.11755 seconds with 13 queries