Thuốc tẩy trắng răng được nhiều người lựa chọn. Mặc dù được công bố an toàn, nhưng những loại thuốc này vẫn có những tác dụng phụ với cơ thể. Bạn có thể phải chịu nhiều đau đớn mà không hề hay biết.
Hiện nay, trên thị trường có rất nhiều loại thuốc tẩy trắng răng khác nhau. Tuy nhiên, thành phần chính của thuốc vẫn được chia thành hai loại chính là Hydrogen peroxide và Carbamide peroxide với nồng độ khác nhau. Với những ưu điểm là tiết kiệm thời gian, chi phí thấp và hiệu quả cao nên rất nhiều người đã sử dụng phương pháp tẩy trắng răng bằng thuốc tại nhà để đem lại hàm răng trắng sáng. Mặc dù, thành phần hóa học có trong thuốc tẩy trắng răng đã được chứng minh an toàn với cơ thể nhưng nó vẫn có thể xảy ra những nguy hại sau:
- Sử dụng thuốc tẩy quá liều có thể gây tổn hại cho răng
Khi tẩy trắng răng bằng thuốc tại nhà, bạn sẽ rất dễ gặp phải tình trạng sử dụng thuốc tẩy quá nhiều so với mức qui định. Khi đó, thuốc có thể sẽ bị thoát ra ngoài máng tẩy, tiếp xúc với nướu răng và làm nướu răng tổn thương.
Nguy hiểm hơn là khi chất tẩy dính vào lợi sẽ gây sưng, nhiễm trùng lợi, hoại tử lợi, gây đau buốt răng kéo dài. Thậm chí, việc dùng thuốc tẩy trắng răng quá liều còn dẫn tới ung thư lưỡi, ung thư vòm họng . Vì thế, bạn nên đọc kĩ chỉ định và hướng dẫn trước khi sử dụng phương pháp tẩy trắng răng bằng máng tẩy tại nhà .
- Những tác dụng phụ và các biến chứng có thể xảy ra

Chất Hydrogen peroxide có trong thuốc tẩy trắng răng có thể gây mòn
Bên cạnh việc sử dụng quá liều gây tổn hại răng thì tẩy trắng răng bằng thuốc tại nhà cũng có thể gặp phải những tác dụng phụ hoặc biến chứng. Nguyên nhân gây ra tình trạng này phải kể đến là do thuốc tẩy trắng không được đảm bảo, không rõ nguồn gốc và thường các loại thuốc tẩy trắng được bán tràn lan ngoài thị trường thường không qua các bước kiểm định về chất lượng và an toàn với cơ thể con người.
Tẩy trắng răng bằng thuốc tại nhà có thể làm kích thích răng và mô mềm quanh răng, gây đau răng, lợi, khiến răng trở nên nhạy cảm hơn với nhiệt độ nóng, lạnh… Nghiêm trọng hơn, chúng ta còn có thể gặp phải các biểu hiện như lợi sưng, lở loét, đỏ tấy, hơi thở có mùi hôi, răng tê buốt, không thể ăn uống được…
Đặc biệt, rất nhiều người vẫn sử dụng thuốc tẩy trắng răng mà không hề chú ý tới các trường hợp được khuyến cáo không nên dùng như người bị dị ứng với thành phần thuốc, phụ nữ mang thai, trẻ em, vị thành niên… Điều này không chỉ gây ra các tác dụng phụ mà còn có thể dẫn đến nhiều biến chứng gây nguy hại cho răng như răng nhạy cảm kéo dài, nứt, vỡ, viêm tủy răng, thậm chí còn làm tiêu chân răng, bỏng lợi…
- Nguy hiểm từ hydrogen peroxide và chất mài mòn
Như trên đã nêu, Hydrogen peroxide là một trong những thành phần vô cùng quan trọng và không thể thiếu của thuốc tẩy trắng răng. Rất nhiều nghiên cứu đã chỉ ra tác hại của chất này khi chúng ta sử dụng quá nhiều hoặc mua phải thuốc tẩy trắng có nồng độ hydrogen peroxide quá cao. Nó có thể gây ra ung thư lưỡi, vòm họng…
Với một số loại thuốc tẩy trắng có nồng độ hydrogen peroxide thấp, chúng ta vẫn cần cảnh giác bởi có thể nó chứa chất mài mòn. Nó sẽ làm hỏng dần lớp men răng, khiến răng bị vàng vĩnh viễn mà không thể trắng lên được nữa.

Để có hàm răng trắng sáng hãy tẩy trắng răng bằng thuốc tại nhà đúng cách và theo sự hướng dẫn của bác sĩ

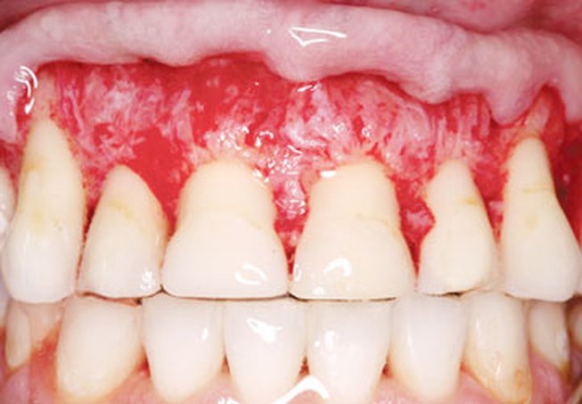
Biến chứng viêm nướu khi tẩy trắng răng bằng thuốc tại nhà không đúng cách
Một số lưu ý khi tẩy trắng răng bằng thuốc tại nhà:
- Tuân thủ theo yêu cầu và hướng dẫn của bác sĩ là nguyên tắc đầu tiên khi bạn tẩy trắng răng bằng thuốc tại nhà . Đối với cách tẩy trắng răng bằng máng, bạn lưu ý nên giữ thuốc tẩy trắng trong tủ lạnh. Chỉ mang khay tẩy trắng ngay trước khi đi ngủ. Đặt khay vào trong miệng áp sát vào răng và nhẹ nhàng đẩy bờ khay ôm sát với đường viền nướu để thuốc tẩy trắng không tràn ra ngoài, gây ảnh hưởng đến nướu và môi.
- Lưu ý khi tẩy trắng răng bằng thuốc tại nhà là chỉ thoa lên phần mô răng kế cận đường viền nướu và rìa cắn răng cửa. Nếu lượng thuốc đủ thì sẽ thấy thuốc hơi trào nhẹ lên bờ khay, khi đó lấy bông gòn hoặc gạc lau sạch phần thuốc dư đi.
Nếu không thấy thuốc trào lên thì thuốc bị thiếu cần cho thêm. Còn nếu thuốc trào ra nhiều quá thì lần sau nên cho thuốc ít lại. Để thuốc ngấm vào răng trong 30 giây. Trong khi đó cố gắng giữ môi và má không chạm vào răng. Buổi sáng, lấy khay ra khỏi miệng, chải răng sạch.
- Sau khi ngậm máng tẩy xong, bạn cần nhẹ nhàng rửa sạch khay bằng que gòn dưới vòi nước chảy. Không dùng nước quá nóng hay quá lạnh làm biến dạng khay. Rửa sạch nước trong khay và bỏ vào hộp đựng khay để mở nắp khay được khô ráo cho lần sử dụng kế tiếp.
VietBF © Sưu Tầm