HOME-Au
HOME-Au
24h
24h
USA
USA
GOP
GOP
Phim Bộ
Phim Bộ
Videoauto
VIDEO-Au
Donation
Donation
News Book
News Book
News 50
News 50
worldautoscroll
WORLD-Au
Breaking
Breaking
 

Go Back   VietBF > Other > School | Kiến thức > School | Kiến thức 2006-2019


 
Thread Tools
 
 
  #1  
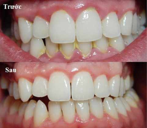
Old  Default "Đánh bật" cao răng hiệu quả nhờ ... vỏ chuối
Cao răng hình thành khiến răng chúng ta rất khó chịu. Không cần phải ra gặp nha sĩ mà bạn vẫn có thể lấy cao răng. Bí quyết dưới đây sẽ "đánh bật" cao răng hiệu quả nhờ ... vỏ chuối.

Cao răng hình thành từ những mảng bám trên bề mặt răng với thành phần là vôi, cặn thức ăn, vi khuẩn, huyết thanh trong khoang miệng… lâu dần có thể ảnh hưởng đến men răng và khiến răng đổi màu. Bên cạnh việc sử dụng các thiết bị y tế thì vỏ chuối là phương pháp tự nhiên rất hiệu quả.



Các nhà nghiên cứu đã khẳng định rằng vỏ chuối tác động đến răng như một chất làm sạch, loại bỏ các mảng bám mới tích tụ và khiến cho răng nhìn trắng sáng hơn, nhờ vào các khoáng chất như mangan, magie, kali… sau nhiều kết quả phân tích về thành phần của vỏ chuối.

Các bước thực hiện như sau:

Bước 1: Chuẩn bị một quả chuối chín và lột vỏ chuối. Các bạn lấy một dải dài vỏ chuối có nhiều xơ bên trên để dùng. Phần vỏ chuối còn lại bạn có thể bỏ tủ lạnh bảo quản để sử dụng tiếp cho lần sau.

Bước 2: Dùng mặt trong của vỏ chuối chà xát trên bề mặt răng, cụ thể chà đến những vùng chân răng thường có mảng bám và bất kỳ nơi nào bạn cảm thấy răng có màu không được sáng.


Bước 3: Sử dụng bàn chải đánh răng khô và chải răng như bình thường trong khoảng 1-3 phút với các chuyển động tròn khắp ngóc ngách và kẽ răng.

Bước 4: Sau đó, bạn làm ướt bàn chải, sử dụng thêm kem đánh răng để chải sạch chuối cùng những cặn bẩn trong miệng ra và súc miệng.
Dịch trang: EnglishEnglish DeutschDeutsch FrançaisFrançais EspañolEspañol ItalianoItaliano PortuguêsPortuguês
NorskNorsk NederlandsNederlands DanskDansk SuomiSuomi PolskiPolski ČeštinaČeština РусскийРусский
日本語日本語 한국어한국어 中文(简体)中文(简体) 中文(繁體)中文(繁體) MagyarMagyar TürkçeTürkçe
العربيةالعربية ไทยไทย LatinaLatina हिन्दीहिन्दी Bahasa IndonesiaBahasa Indonesia Bahasa MelayuBahasa Melayu
VIETBF Hybrid Community Content Hub

HOT NEWS 24h

HOT 3 Days

NEWS 3 Days

HOT 7 Days

NEWS 7 Days

HOME

Breaking News

VietOversea

World News

Business News

Car News

Computer News

Game News

USA News

Mobile News

Music News

Movies News

History

Thơ Ca

Sport News

Stranger Stories

Comedy Stories

Cooking Chat

Nice Pictures

Fashion

School

Travelling

Funny Videos

Canada Tin Hay

USA Tin Hay

VietBF Homepage Autoscroll

VietBF Video Autoscroll Portal

Video Classic Master

iPad News Portal

VietBF iPad Music Portal

Tin nóng nhất 50h qua

Phim Bộ Online

Phim Bộ



sunshine1104
R10 Vô Địch Thiên Hạ
Release: 02-18-2018
Reputation: 25202


Profile:
Join Date: Feb 2015
Posts: 80,820
Last Update: None Rating: None
Attached Thumbnails
Click image for larger version

Name:	5.jpg
Views:	0
Size:	48.5 KB
ID:	1177399   Click image for larger version

Name:	51.jpg
Views:	0
Size:	59.6 KB
ID:	1177400  
sunshine1104_is_offline
Thanks: 4
Thanked 4,057 Times in 3,573 Posts
Mentioned: 4 Post(s)
Tagged: 0 Thread(s)
Quoted: 22 Post(s)
Rep Power: 93
sunshine1104 Reputation Uy Tín Level 7sunshine1104 Reputation Uy Tín Level 7
sunshine1104 Reputation Uy Tín Level 7sunshine1104 Reputation Uy Tín Level 7sunshine1104 Reputation Uy Tín Level 7sunshine1104 Reputation Uy Tín Level 7sunshine1104 Reputation Uy Tín Level 7sunshine1104 Reputation Uy Tín Level 7sunshine1104 Reputation Uy Tín Level 7sunshine1104 Reputation Uy Tín Level 7sunshine1104 Reputation Uy Tín Level 7sunshine1104 Reputation Uy Tín Level 7sunshine1104 Reputation Uy Tín Level 7sunshine1104 Reputation Uy Tín Level 7sunshine1104 Reputation Uy Tín Level 7sunshine1104 Reputation Uy Tín Level 7sunshine1104 Reputation Uy Tín Level 7sunshine1104 Reputation Uy Tín Level 7sunshine1104 Reputation Uy Tín Level 7sunshine1104 Reputation Uy Tín Level 7sunshine1104 Reputation Uy Tín Level 7
Dịch trang: EnglishEnglish DeutschDeutsch FrançaisFrançais EspañolEspañol ItalianoItaliano PortuguêsPortuguês
NorskNorsk NederlandsNederlands DanskDansk SuomiSuomi PolskiPolski ČeštinaČeština РусскийРусский
日本語日本語 한국어한국어 中文(简体)中文(简体) 中文(繁體)中文(繁體) MagyarMagyar TürkçeTürkçe
العربيةالعربية ไทยไทย LatinaLatina हिन्दीहिन्दी Bahasa IndonesiaBahasa Indonesia Bahasa MelayuBahasa Melayu
 
User Tag List



 

iPad Videos Portal Autoscroll

VietBF Music Portal Autoscroll

iPad News Portal Autoscroll

VietBF Homepage Autoscroll

VietBF Video Autoscroll Portal

USA News Autoscroll Portall

VietBF WORLD Autoscroll Portal

Video Classic Master Page

Super Widescreen

iPad World Portal Autoscroll

iPad USA Portal Autoscroll

Phim Bộ Online
Lên đầu Xuống dưới Lên 3000px Xuống 3000px

Tin nóng nhất 24h qua

Tin nóng nhất 3 ngày qua

Tin nóng nhất 7 ngày qua

Tin nóng nhất 30 ngày qua

Albums

Total Videos Online

Tranh luận sôi nổi nhất 7 ngày qua

Tranh luận sôi nổi nhất 14 ngày qua

Tranh luận sôi nổi nhất 30 ngày qua

10.000 Tin mới nhất

Tin tức Hoa Kỳ

Tin tức Công nghệ
Lên đầu Xuống dưới Lên 3000px Xuống 3000px

Duo Series Movies Portal

Duo Music Portal

Phim Bộ

Tỷ Giá

Thời Tiết

Tin Nóng Nhất 50h

Super News

School Cooking Traveling Portal

Enter Portal

Series Shows and Movies Online

Home Classic Master Page

Donation Ủng hộ $3 cho VietBF
Lên đầu Xuống dưới Lên 3000px Xuống 3000px
Diễn Đàn Người Việt Hải Ngoại. Tự do ngôn luận, an toàn và uy tín. Vì một tương lai tươi đẹp cho các thế hệ Việt Nam hãy ghé thăm chúng tôi, hãy tâm sự với chúng tôi mỗi ngày, mỗi giờ và mỗi giây phút có thể. VietBF.Com Xin cám ơn các bạn, chúc tất cả các bạn vui vẻ và gặp nhiều may mắn.
Welcome to Vietnamese American Community, Vietnamese European, Canadian, Australian Forum, Vietnamese Overseas Forum. Freedom of speech, safety and prestige. For a beautiful future for Vietnamese generations, please visit us, talk to us every day, every hour and every moment possible. VietBF.Com Thank you all and good luck.

Lên đầu Xuống dưới Lên 3000px Xuống 3000px

All times are GMT. The time now is 19:28.
VietBF - Vietnamese Best Forum Copyright ©2005 - 2026
User Alert System provided by Advanced User Tagging (Pro) - vBulletin Mods & Addons Copyright © 2026 DragonByte Technologies Ltd.
Log Out Unregistered

Page generated in 0.09980 seconds with 13 queries