HOME-Au
HOME-Au
24h
24h
USA
USA
GOP
GOP
Phim Bộ
Phim Bộ
Videoauto
VIDEO-Au
Home Classic
Home Classic
Donation
Donation
News Book
News Book
News 50
News 50
worldautoscroll
WORLD-Au
Breaking
Breaking
 

Go Back   VietBF > World Box| Thế Giới > Vietnam News | Tin Việt Nam > 2005-2023 Vietnam News


 
 
Thread Tools
  #1  
Old  Default Hãy coi chừng bệnh nặng với các tiệu chứng: Đau đầu, mệt mỏi, buồn nôn, mờ mắt
Có rất nhiều bệnh lạ, hiếm gặp và khó điều trị nếu phát hiện ra muộn. Nếu người bệnh có các hiện tượng như đau đầu, mệt mỏi, buồn nôn, mờ mắt, phải đến bệnh viện khám ngay. Các bác sĩ khuyến cáo đó là triệu chứng của bệnh khối u lớn ở sàn sọ não.



Bệnh nhân đang được điều trị tại Bệnh Viện Đại học Y Dược TP HCM. Ảnh: TT.
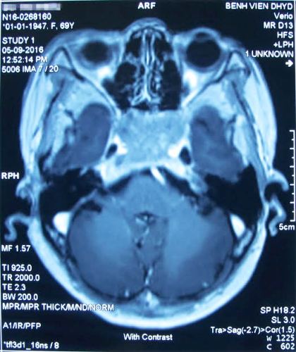
Bà Nguyệt, 69 tuổi, quê Bến Tre bị đau đầu kéo dài suốt 10 năm qua. Gần đây các cơn đau ngày càng tăng, kèm theo cảm giác mệt mỏi, buồn nôn và mờ 2 mắt, người phụ nữ đến Bệnh viện Đại học Y Dược TP HCM khám. Kết quả chụp CT scan não phát hiện có tổn thương mô mềm xoang bướm, gây phình lớn ở xương bản vuông và cánh lớn xương bướm bên trái.

Thạc sĩ, bác sĩ Trương Thanh Tình, Khoa Ngoại Thần Kinh, chỉ định bệnh nhân chụp MRI xác định có u não vùng sàn sọ đường giữa ngoài màng cứng. Khối u nhiều mạch máu, kích thước lớn, gây hủy xương bản vuông và xâm lấn nhiều cấu trúc xung quanh như xoang hang, động mạch cảnh 2 bên. Bà Nguyệt được xác định mắc bệnh lý hiếm gặp của u sàn sọ là Clival chordoma, hay u nguyên sống. Đây chính là nguyên nhân gây đau đầu, mệt mỏi, mờ mắt...


Khối u sàn sọ kích thước lớn (màu trắng ở giữa) đã xâm lấn nhiều cấu trúc xung quanh như xoang hang, động mạch cảnh 2 bên.
Bác sĩ quyết định điều trị cho bệnh nhân bằng phương pháp nội soi qua đường mũi để lấy u toàn phần. Ba ngày sau phẫu thuật, bà Nguyệt đã hồi phục hoàn toàn, tỉnh táo, tiếp xúc tốt, không có dấu hiệu tổn thương hay chảy dịch.

Theo bác sĩ Tình, Chordoma hay u nguyên sống là loại u nguyên phát ác tính của não, thường xuất hiện ở vùng sàn sọ (xương bản vuông) hay vùng cùng cụt. Theo Handbook of Neurosurgery năm 2016, bệnh này rất hiếm, chỉ chiếm 0,5 phần triệu trong tổng số u nguyên phát có nguồn gốc trung phôi bì, thường gặp ở vùng cùng cụt nhiều hơn não (53% so với 35%). U nguyên sống có thể di căn đến phổi, gan, xương dù có tỷ lệ thấp, chỉ từ 5 đến 20%. Đây được xem là bệnh lý nguy hiểm vì tỷ lệ tái phát sau phẫu thuật rất cao, khoảng 85%.

Việc điều trị thường gặp khó khăn vì u này không đáp ứng với xạ trị (trừ proton-beam có thể hiệu quả, nhưng loại tia này chưa có ở Việt Nam). Chính vì vậy phương pháp tối ưu là phẫu thuật lấy u càng triệt để càng tốt. Trên thực tế, việc bóc tách u toàn phần là thách thức lớn đối với hầu hết phẫu thuật viên ngoại thần kinh do sự liên quan các cấu trúc mạch máu và thần kinh thiết yếu trong não, nếu không cẩn thận có thể gây ra nhiều biến chứng nguy hiểm.

Theo tiến sĩ, bác sĩ Nguyễn Minh Anh, Trưởng khoa Ngoại Thần Kinh, trước kia người bệnh u não phải trải qua phẫu thuật mở sọ trán 2 bên, đường mổ lớn, thời gian mổ kéo dài, bị đau nhiều sau mổ, chi phí tốn kém, trong khi khả năng lấy u lại kém do trường mổ bị giới hạn. Nguy cơ biến chứng trong một cuộc mổ mở sọ như máu tụ nội sọ, dập não, viêm màng não, thoát vị não, chảy dịch não tủy, thậm chí tử vong.

Hiện nay, nhờ ứng dụng phẫu thuật nội soi, người bệnh sẽ được phẫu thuật lấy u nhẹ nhàng. Kỹ thuật viên đưa dụng cụ nội soi lên não từ đường tự nhiên của cơ thể (lỗ mũi) là đã tiếp cận và lấy được khối u ra ngoài. Bệnh nhân sau phẫu thuật không bị đau nhiều, nguy cơ cuộc mổ cũng được giảm đi đáng kể và không thấy vết mổ nên đảm bảo tính thẩm mỹ. Trong mổ nội soi, trường mổ rất rộng, không bị các cấu trúc khác che chắn nên bóc tách u thuận lợi hơn, tỷ lệ lấy hết u ở mức cao nhất.

Bác sĩ Minh Anh nhìn nhận những tiến bộ về kỹ thuật nội soi sàn sọ đã giúp rất nhiều bệnh nhân Việt Nam điều trị nhẹ nhàng hơn, thay vì phải phẫu thuật mở sọ chữa u vùng xoang sàn, u tuyến yên, u vùng củ yên, u sọ hầu, u nguyên sống… Các bác sĩ đang nghiên cứu mở rộng phạm vi áp dụng kỹ thuật này trong điều trị các loại u ở vùng hố sọ giữa và hố sọ sau như vùng đỉnh xương đá, u dây V và các bệnh lý mạch máu như túi phình động mạch não, dị dạng mạch máu não…

Theo bác sĩ Thanh Tình, u nguyên sống là bệnh bẩm sinh, thường biển hiện thành triệu chứng ở độ tuổi từ 50 đến 60, hiếm gặp ở người dưới 30 tuổi. Triệu chứng phổ biến là đau đầu và liệt dây sọ. U được chẩn đoán thông qua hình ảnh học CT scan và MRI cho thấy tổn thương dạng mô mềm vùng sàn sọ ở đường giữa, gây hủy xương bản vuông…

Bác sĩ khuyên mọi người khi bị các triệu chứng như đau đầu kéo dài, có bất thường ở mắt như sụp mi mắt, nhìn đôi (song thị), lé, đau tê nửa mặt, mờ mắt, động kinh… cần đến các cơ sở y tế để tầm soát sớm. Do đặc tính của căn bệnh trên là u ác, dễ tái phát nên người bệnh cần được chẩn đoán sớm khi u chưa quá lớn, chưa xâm lấn nhiều cấu trúc xung quanh sẽ tăng tỷ lệ lấy sạch u tối đa.

Vietbf @ sưu tầm.
VIETBF Diễn Đàn Hay Nhất Của Người Việt Nam

HOT NEWS 24h

HOT 3 Days

NEWS 3 Days

HOT 7 Days

NEWS 7 Days

HOME

Breaking News

VietOversea

World News

Business News

Car News

Computer News

Game News

USA News

Mobile News

Music News

Movies News

History

Thơ Ca

Sport News

Stranger Stories

Comedy Stories

Cooking Chat

Nice Pictures

Fashion

School

Travelling

Funny Videos

Canada Tin Hay

USA Tin Hay

VietBF Homepage Autoscroll

VietBF Video Autoscroll Portal

Home Classic

Home Classic Master Page


pizza
R11 Tuyệt Thế Thiên Hạ
Release: 09-24-2016
Reputation: 237134


Profile:
Join Date: Sep 2014
Posts: 106,126
Last Update: None Rating: None
Attached Thumbnails
Click image for larger version

Name:	32.jpg
Views:	0
Size:	50.2 KB
ID:	939496   Click image for larger version

Name:	31.jpg
Views:	0
Size:	29.3 KB
ID:	939497  
pizza_is_offline
Thanks: 7
Thanked 8,096 Times in 7,206 Posts
Mentioned: 6 Post(s)
Tagged: 0 Thread(s)
Quoted: 41 Post(s)
Rep Power: 129
pizza Reputation Uy Tín Level 10pizza Reputation Uy Tín Level 10pizza Reputation Uy Tín Level 10pizza Reputation Uy Tín Level 10pizza Reputation Uy Tín Level 10pizza Reputation Uy Tín Level 10pizza Reputation Uy Tín Level 10
pizza Reputation Uy Tín Level 10pizza Reputation Uy Tín Level 10pizza Reputation Uy Tín Level 10pizza Reputation Uy Tín Level 10pizza Reputation Uy Tín Level 10pizza Reputation Uy Tín Level 10pizza Reputation Uy Tín Level 10pizza Reputation Uy Tín Level 10pizza Reputation Uy Tín Level 10pizza Reputation Uy Tín Level 10pizza Reputation Uy Tín Level 10pizza Reputation Uy Tín Level 10pizza Reputation Uy Tín Level 10pizza Reputation Uy Tín Level 10pizza Reputation Uy Tín Level 10pizza Reputation Uy Tín Level 10pizza Reputation Uy Tín Level 10pizza Reputation Uy Tín Level 10pizza Reputation Uy Tín Level 10pizza Reputation Uy Tín Level 10pizza Reputation Uy Tín Level 10pizza Reputation Uy Tín Level 10
 
User Tag List



 
Lên đầu Xuống dưới Lên 3000px Xuống 3000px

iPad Videos Portal Autoscroll

VietBF Music Portal Autoscroll

iPad News Portal Autoscroll

VietBF Homepage Autoscroll

VietBF Video Autoscroll Portal

USA News Autoscroll Portall

VietBF WORLD Autoscroll Portal

Home Classic

Super Widescreen

iPad World Portal Autoscroll

iPad USA Portal Autoscroll

Phim Bộ Online

Tin nóng nhất 24h qua

Tin nóng nhất 3 ngày qua

Tin nóng nhất 7 ngày qua

Tin nóng nhất 30 ngày qua

Albums

Total Videos Online
Lên đầu Xuống dưới Lên 3000px Xuống 3000px

Tranh luận sôi nổi nhất 7 ngày qua

Tranh luận sôi nổi nhất 14 ngày qua

Tranh luận sôi nổi nhất 30 ngày qua

10.000 Tin mới nhất

Tin tức Hoa Kỳ

Tin tức Công nghệ
Lên đầu Xuống dưới Lên 3000px Xuống 3000px

Super News

School Cooking Traveling Portal

Enter Portal

Series Shows and Movies Online

Home Classic Master Page

Donation Ủng hộ $3 cho VietBF
Lên đầu Xuống dưới Lên 3000px Xuống 3000px
Diễn Đàn Người Việt Hải Ngoại. Tự do ngôn luận, an toàn và uy tín. Vì một tương lai tươi đẹp cho các thế hệ Việt Nam hãy ghé thăm chúng tôi, hãy tâm sự với chúng tôi mỗi ngày, mỗi giờ và mỗi giây phút có thể. VietBF.Com Xin cám ơn các bạn, chúc tất cả các bạn vui vẻ và gặp nhiều may mắn.
Welcome to Vietnamese American Community, Vietnamese European, Canadian, Australian Forum, Vietnamese Overseas Forum. Freedom of speech, safety and prestige. For a beautiful future for Vietnamese generations, please visit us, talk to us every day, every hour and every moment possible. VietBF.Com Thank you all and good luck.

Lên đầu Xuống dưới Lên 3000px Xuống 3000px

All times are GMT. The time now is 16:51.
VietBF - Vietnamese Best Forum Copyright ©2005 - 2025
User Alert System provided by Advanced User Tagging (Pro) - vBulletin Mods & Addons Copyright © 2025 DragonByte Technologies Ltd.
Log Out Unregistered

Page generated in 0.10661 seconds with 13 queries