HOME-Au
HOME-Au
24h
24h
USA
USA
GOP
GOP
Phim Bộ
Phim Bộ
Videoauto
VIDEO-Au
Donation
Donation
News Book
News Book
News 50
News 50
worldautoscroll
WORLD-Au
Breaking
Breaking
 

Go Back   VietBF > World > World News|Tin Thế Giới > World News |Tin Thế Giới 2021-2023


 
Thread Tools
 
 
  #1  
Old  Default Tiết lộ nguyên nhân khiến nhiều trẻ em Mỹ tử vong nhờ ảnh X-quang
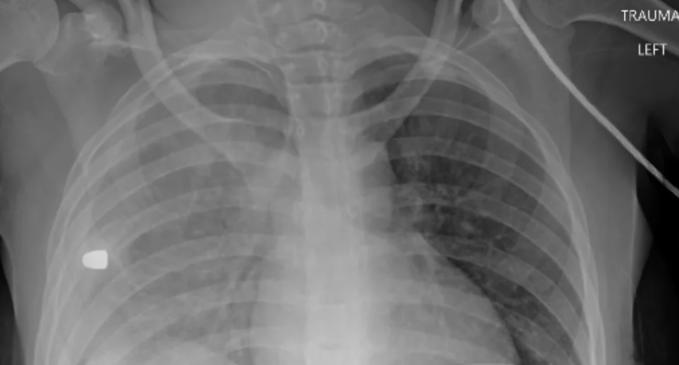
Ảnh X-quang tiết lộ nguyên nhân khiến nhiều trẻ em Mỹ tử vong. Ảnh chụp X-quang được một bác sĩ chia sẻ cho thấy các sự cố liên quan súng đạn là nguyên nhân gây tử vong hàng đầu cho trẻ em Mỹ.

Hôm 28/3, bác sĩ Sam Ghali, làm việc tại khoa Cấp cứu, Trung tâm Y tế Đại học Toledo, đã đăng bức ảnh chụp X-quang lồng ngực của một thiếu niên lên Twitter, cho thấy phổi của bệnh nhân dường như có dị vật. Ông đề nghị mọi người đoán nguyên nhân.

"Đây là phim chụp X-quang lồng ngực của một thiếu niên đang phải gánh chịu một tình trạng - hiện là nguyên nhân gây tử vong số một ở trẻ em và thanh thiếu niên Mỹ. Bạn hãy thử chẩn đoán xem?", ông đặt câu hỏi.

Sau đó, vị bác sĩ tiết lộ dị vật trong phim chụp X-quang này là một viên đạn, găm vào lồng ngực thiếu niên sau sự cố liên quan súng đạn. Danh tính nạn nhân không được tiết lộ. Theo bác sĩ Ghali, đây cũng là nguyên nhân số một khiến nhiều trẻ em Mỹ qua đời trong thời gian qua.

Hình ảnh được đăng tải cùng ngày nước Mỹ trải qua vụ xả súng hàng loạt thứ 130 trong năm, sau khi một tay súng xông vào trường tiểu học tại Nashville và giết chết 6 người, ba trong số đó là trẻ em. Audrey Elizabeth Hale, 28 tuổi, được cho là cựu học sinh của trường và đã bị các sĩ quan cảnh sát bắn hạ.

Theo Cơ quan Lưu trữ Bạo lực Súng đạn, một vụ xả súng hàng loạt xảy ra khi ít nhất một phần tư số người ở hiện trường bị bắn, không kể người xả súng. Với định nghĩa đó, số vụ xả súng hàng loạt vào ba tháng đầu năm 2023 tăng 100 vụ so với cùng kỳ năm ngoái, trong đó ba vụ nhắm vào các trường học.

Tổng thống Joe Biden đã kêu gọi chấm dứt bạo lực súng đạn, gọi vụ xả súng mới nhất là sự kiện "đau lòng", "cơn ác mộng tồi tệ nhất của một gia đình".

Phát biểu với truyền thông ở Bắc Carolina, ông cho biết đất nước đang phải đối mặt với dịch bệnh xả súng. "Khi bắt đầu trở thành chính khách, tôi chưa từng nghĩ súng đạn sẽ là nguyên nhân số một khiến trẻ em tử vong ở Mỹ. Thật đáng sợ", ông nói.

Mảnh đạn trong ngực trái của một bé gái tại Mỹ. Ảnh: Sam Ghali
Mảnh đạn trong ngực trái của một trẻ em gái tại Mỹ. Ảnh: Sam Ghali

Theo dữ liệu Trung tâm Kiểm soát và Phòng ngừa Dịch bệnh (CDC) công bố vào năm ngoái, các thương tích do súng gây ra là nguyên nhân tử vong hàng đầu ở người từ 1 đến 19 tuổi.

Trước đó, tỷ lệ tăng đều đặn kể từ năm 2015 đến năm 2019. Mức tăng mạnh 13,5% được ghi nhận vào năm 2020. Trong các trường hợp tử vong do súng, gần 60% là các vụ giết người, 35% là do tự sát.

Đứng thứ hai trong danh sách các nguyên nhân gây tử vong ở trẻ em và vị thành niên Mỹ là tai nạn giao thông, tiếp theo là ung thư, ngạt thở (do tai nạn hoặc cố ý).

VietBF@ sưu tập
Dịch trang: EnglishEnglish DeutschDeutsch FrançaisFrançais EspañolEspañol ItalianoItaliano PortuguêsPortuguês
NorskNorsk NederlandsNederlands DanskDansk SuomiSuomi PolskiPolski ČeštinaČeština РусскийРусский
日本語日本語 한국어한국어 中文(简体)中文(简体) 中文(繁體)中文(繁體) MagyarMagyar TürkçeTürkçe
العربيةالعربية ไทยไทย LatinaLatina हिन्दीहिन्दी Bahasa IndonesiaBahasa Indonesia Bahasa MelayuBahasa Melayu
VIETBF Hybrid Community Content Hub

HOT NEWS 24h

HOT 3 Days

NEWS 3 Days

HOT 7 Days

NEWS 7 Days

HOME

Breaking News

VietOversea

World News

Business News

Car News

Computer News

Game News

USA News

Mobile News

Music News

Movies News

History

Thơ Ca

Sport News

Stranger Stories

Comedy Stories

Cooking Chat

Nice Pictures

Fashion

School

Travelling

Funny Videos

Canada Tin Hay

USA Tin Hay

VietBF Homepage Autoscroll

VietBF Video Autoscroll Portal

Video Classic Master

iPad News Portal

VietBF iPad Music Portal

Tin nóng nhất 50h qua

Phim Bộ Online

iMusic Pro Max



pizza
R11 Tuyệt Thế Thiên Hạ
Release: 03-29-2023
Reputation: 237264


Profile:
Join Date: Sep 2014
Posts: 111,167
Last Update: None Rating: None
Attached Thumbnails
Click image for larger version

Name:	51.jpg
Views:	0
Size:	19.9 KB
ID:	2198199  
pizza is_online_now
Thanks: 7
Thanked 8,161 Times in 7,271 Posts
Mentioned: 6 Post(s)
Tagged: 0 Thread(s)
Quoted: 41 Post(s)
Rep Power: 134
pizza Reputation Uy Tín Level 10pizza Reputation Uy Tín Level 10pizza Reputation Uy Tín Level 10pizza Reputation Uy Tín Level 10pizza Reputation Uy Tín Level 10pizza Reputation Uy Tín Level 10pizza Reputation Uy Tín Level 10
pizza Reputation Uy Tín Level 10pizza Reputation Uy Tín Level 10pizza Reputation Uy Tín Level 10pizza Reputation Uy Tín Level 10pizza Reputation Uy Tín Level 10pizza Reputation Uy Tín Level 10pizza Reputation Uy Tín Level 10pizza Reputation Uy Tín Level 10pizza Reputation Uy Tín Level 10pizza Reputation Uy Tín Level 10pizza Reputation Uy Tín Level 10pizza Reputation Uy Tín Level 10pizza Reputation Uy Tín Level 10pizza Reputation Uy Tín Level 10pizza Reputation Uy Tín Level 10pizza Reputation Uy Tín Level 10pizza Reputation Uy Tín Level 10pizza Reputation Uy Tín Level 10pizza Reputation Uy Tín Level 10pizza Reputation Uy Tín Level 10pizza Reputation Uy Tín Level 10pizza Reputation Uy Tín Level 10
Dịch trang: EnglishEnglish DeutschDeutsch FrançaisFrançais EspañolEspañol ItalianoItaliano PortuguêsPortuguês
NorskNorsk NederlandsNederlands DanskDansk SuomiSuomi PolskiPolski ČeštinaČeština РусскийРусский
日本語日本語 한국어한국어 中文(简体)中文(简体) 中文(繁體)中文(繁體) MagyarMagyar TürkçeTürkçe
العربيةالعربية ไทยไทย LatinaLatina हिन्दीहिन्दी Bahasa IndonesiaBahasa Indonesia Bahasa MelayuBahasa Melayu
 
User Tag List


Châu Âu Trong "Cơn Bão Lửa" Năng Lượng: Gói Cứu Trợ Khẩn Cấp Và Cuộc Chiến Sinh Tồn Giữa Thời Chiến Iran Cuộc Chiến AI Xuyên Lục Địa: Mỹ Tố Trung Quốc "Đánh Cắp" Chất Xám Quy Mô Công Nghiệp Bằng Công Nghệ Chưng Cất Khi "Cây Bút" Đối Đầu "Họng Súng": FBI Bị Tố Dùng Quyền Lực Ngầm Để Trù Dập Phóng Viên Tờ New York Times
Cơn Địa Chấn Tại Meta Facebook: Sa Thải 8.000 Nhân Viên Để "Dọn Đường" Cho Kỷ Nguyên Trí Tuệ Nhân Tạo Đại Án "Bánh Sinh Nhật Ma" Rúng Động Trung Quốc: Phạt Kỷ Lục 3,6 Tỷ Tệ Và Những Màn Đối Đầu Như Phim Hành Động Nghịch Lý Phố Wall: Chứng Khoán Mỹ Lên Đỉnh Lịch Sử Bất Chấp "Chảo Lửa" Trung Đông Và Giá Dầu 100 Đô
Cú "Quay Xe" Lịch Sử: Spirit Airlines Và Canh Bạc Cứu Trợ 500 Triệu Đô Giữa Cơn Bão Lửa Trung Đông HÙNG CAO: TỪ CẬU BÉ TỊ NẠN SÀI GÒN ĐẾN NGƯỜI CHÈO LÁI HẢI QUÂN HOA KỲ Những chuyện hài hước nhất hôm nay +83 videos
Mỹ khả năng rút khỏi chiến trường Trung Đông, kế hoạch đánh sập Độc tài Iran thất bại? Bầu trời Trung Đông “dậy sóng”: Emirates, Qatar, Etihad đồng loạt huỷ chuyến, hành khách rối như tơ vò Trump cần thêm 200 tỷ USD để đánh Iran, dân Mỹ tha hồ đóng tiền "ngu"
Mỹ siết luật mạnh tay: Gian lận an sinh xã hội có thể bị trục xuất ngay lập tức Ferrari “đạp phanh” tại Trung Đông: Chiến tranh Iran làm rung chuyển thị trường siêu xe Giá vé máy bay quốc tế có thể tăng gấp đôi từ 1/4/2026
Joe Kent rời ghế phản khủng bố: tiếng nói “ngược dòng” giữa cơn bão chiến tranh Iran Mỹ đánh giá Iran “chưa sụp nhưng đã suy”: khoảng trống quyền lực mở ra, nguy cơ biến thành “Triều Tiên thứ hai” Israel tiếp tục “săn đầu não”: giết chết Bộ trưởng Tình báo Iran (Esmail Khatib), Tehran rơi vào vòng xoáy hỗn loạn
Chiến dịch ‘Epic Fury’, Tóm tắt tình hình mới nhất Đêm Lửa Tehran: Đòn Đánh Mỹ–Israel, Cái Chết Của Khamenei Và Cơn Địa Chấn Hormuz Bão lửa Trung Đông lan rộng: Iran tuyên bố ‘không đàm phán’, Gulf rung chuyển vì nổ lớn, và cú ‘bắn nhầm’ làm rơi 3 tiêm kích Mỹ tại Kuwait
Lần đầu tiên trong lịch sử: F-22 Raptor xuất hiện trên bầu trời Israel Ngày thứ hai sau cuộc tấn công của Mỹ và Israel vào Tehran và tiêu diệt hết lãnh đạo đầu não của Iran, chuyện gì đang diễn ra? Nguyên nhân các vũ khí, radar, tên lửa đánh chặn của Nga-Trung hoàn toàn vô dụng trước đòn tấn công của Mỹ
Nguyên nhân Mỹ đánh một phát trúng liền giết chết Giáo Chủ Iran Vì sao Iran không dựng Giáo Chủ giả mà công bố là đã chết? 5 quân nhân gốc Việt trên hàng không mẫu hạm Mỹ tham gia đánh Iran

 

iPad Videos Portal Autoscroll

VietBF Music Portal Autoscroll

iPad News Portal Autoscroll

VietBF Homepage Autoscroll

VietBF Video Autoscroll Portal

USA News Autoscroll Portall

VietBF WORLD Autoscroll Portal

Video Classic Master Page

Super Widescreen

iPad World Portal Autoscroll

iPad USA Portal Autoscroll

Phim Bộ Online
Lên đầu Xuống dưới Lên 3000px Xuống 3000px

Tin nóng nhất 24h qua

Tin nóng nhất 3 ngày qua

Tin nóng nhất 7 ngày qua

Tin nóng nhất 30 ngày qua

Albums

Total Videos Online

Tranh luận sôi nổi nhất 7 ngày qua

Tranh luận sôi nổi nhất 14 ngày qua

Tranh luận sôi nổi nhất 30 ngày qua

10.000 Tin mới nhất

Tin tức Hoa Kỳ

Tin tức Công nghệ
Lên đầu Xuống dưới Lên 3000px Xuống 3000px

Duo Series Movies Portal

Duo Music Portal

Phim Bộ

Tỷ Giá

Thời Tiết

Tin Nóng Nhất 50h

Super News

School Cooking Traveling Portal

Enter Portal

Series Shows and Movies Online

Home Classic Master Page

Donation Ủng hộ $3 cho VietBF
Lên đầu Xuống dưới Lên 3000px Xuống 3000px
Diễn Đàn Người Việt Hải Ngoại. Tự do ngôn luận, an toàn và uy tín. Vì một tương lai tươi đẹp cho các thế hệ Việt Nam hãy ghé thăm chúng tôi, hãy tâm sự với chúng tôi mỗi ngày, mỗi giờ và mỗi giây phút có thể. VietBF.Com Xin cám ơn các bạn, chúc tất cả các bạn vui vẻ và gặp nhiều may mắn.
Welcome to Vietnamese American Community, Vietnamese European, Canadian, Australian Forum, Vietnamese Overseas Forum. Freedom of speech, safety and prestige. For a beautiful future for Vietnamese generations, please visit us, talk to us every day, every hour and every moment possible. VietBF.Com Thank you all and good luck.

Lên đầu Xuống dưới Lên 3000px Xuống 3000px

All times are GMT. The time now is 02:20.
VietBF - Vietnamese Best Forum Copyright ©2005 - 2026
User Alert System provided by Advanced User Tagging (Pro) - vBulletin Mods & Addons Copyright © 2026 DragonByte Technologies Ltd.
Log Out Unregistered

Page generated in 0.10237 seconds with 15 queries