HOME-Au
HOME-Au
24h
24h
USA
USA
GOP
GOP
Phim Bộ
Phim Bộ
Videoauto
VIDEO-Au
Donation
Donation
News Book
News Book
News 50
News 50
worldautoscroll
WORLD-Au
Breaking
Breaking
 

Go Back   VietBF > World > World News|Tin Thế Giới > World News |Tin Thế Giới 2021-2023

 
Thread Tools
 
 
  #1  
Old  Default Bộ não của thanh thiếu niên già đi nhanh hơn do căng thẳng trong đại dịch
Não của thanh thiếu niên có dấu hiệu lão hóa nhanh hơn sau đại dịch COVID-19. Kết quả nghiên cứu mới đây đã phát hiện ra rằng bộ não của những thanh thiếu niên trải qua đại dịch COVID-19 có dấu hiệu lão hóa sớm hơn.

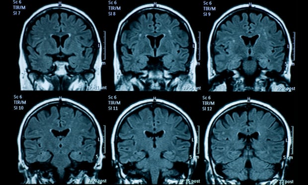
Theo trang The Guardian (Anh), các nhà nghiên cứu đã chụp ảnh cộng hưởng từ (MRI) của 81 thanh thiếu niên ở Mỹ trước đại dịch (từ tháng 11/2016 đến tháng 11/2019), và so sánh với ảnh chụp MRI của 82 thanh thiếu niên trong thời gian đại dịch bùng phát, nhưng là sau khi dỡ bỏ lệnh phong toả (dữ liệu được thu thập từ tháng 10/2020 đến tháng 3/2022).

Sau khi kết hợp 64 người tham gia nghiên cứu trong mỗi nhóm về các yếu tố như tuổi tác và giới tính, nhóm nghiên cứu phát hiện ra những thay đổi thể chất trong não xảy ra ở tuổi vị thành niên.

Cụ thể, so với trước đại dịch, nhóm thanh thiếu niên ở giai đoạn hậu phong tỏa có vỏ não mỏng đi và sự phát triển của vùng hồi hải mã và hạch hạnh nhân lớn hơn. Điều này cho thấy các quá trình phát triển não đã tăng tốc. Nói cách khác, bộ não của họ đã già đi nhanh hơn.

Ông Ian Gotlib - Giáo sư tâm lý học tại Đại học Stanford, trưởng nhóm nghiên cứu - cho biết: “Sự khác biệt về tuổi tác của não bộ là khoảng 3 năm. Chúng tôi không nghĩ rằng não bộ phát triển nhanh chóng như vậy, do lệnh phong tỏa chỉ kéo dài chưa đầy một năm”.

Viết trên tạp chí Biological Psychiatry: Global Open Science, nhóm nghiên cứu báo cáo rằng đại diện thanh thiếu niên ở vùng Vịnh thuộc bang California đã đồng ý tham gia một nghiên cứu xem xét tác động của căng thẳng đầu đời đối với sức khỏe tâm thần của tuổi dậy thì trên khắp thế giới. Do đó, những người tham gia cũng được đánh giá về các triệu chứng trầm cảm và lo lắng.

Sau đợt phong tỏa vì đại dịch, nhóm thanh thiếu niên cũng tự nhận thấy những khó khăn lớn hơn về sức khỏe tâm thần, bao gồm các triệu chứng lo lắng, trầm cảm và các vấn đề nội tâm nghiêm trọng hơn.


Sự khác biệt về tuổi của não bộ là khoảng 3 năm. Ảnh: Getty Images
Giáo sư Gotlib cho biết những phát hiện này phù hợp với kết quả trước đó của các nhà khoa học khác đang nghiên cứu tác động của đại dịch đối với sức khỏe tâm thần của thanh thiếu niên. Ông nói: “Sự suy giảm sức khỏe tâm thần đi kèm với những thay đổi về thể chất trong não đối với thanh thiếu niên, có thể là do căng thẳng của đại dịch”.

Tuy nhiên, vẫn chưa rõ liệu sức khỏe tâm thần của lứa tuổi này kém hơn có phải do não bộ lão hóa nhanh hơn hay không.

“Chúng tôi chưa biết rõ điều đó. Chúng tôi đang bắt đầu quét lại tất cả bộ não của những người tham gia ở độ tuổi 20, để hiểu rõ hơn liệu những thay đổi này có tiếp tục xảy ra hay bắt đầu giảm dần theo thời gian”, ông Gotlib nói.

Ở người lớn tuổi, những thay đổi não bộ như vậy thường xảy ra do chức năng nhận thức bị suy giảm. Nhưng hiện vẫn chưa rõ tác động ở thanh thiếu niên. Nhưng đây là bằng chứng đầu tiên cho thấy những khó khăn về sức khỏe tâm thần trong đại dịch đi kèm với những thay đổi dường như liên quan đến căng thẳng trong cấu trúc não.

Ông Michael Thomas, Giáo sư khoa học thần kinh nhận thức tại Đại học Birkbeck ở London, cho biết nghiên cứu đã xác nhận những khó khăn mà thanh thiếu niên phải trải qua trong đại dịch, với các biểu hiện lo lắng và trầm cảm gia tăng. Tuy nhiên, ông cho rằng rất khó để biết rõ sự thay đổi kích thước của cấu trúc não sẽ có tác động thế nào đối với hành vi của lứa tuổi này hiện tại hoặc tương lai.

“Biện pháp đo kích thước bộ não không cho chúng ta biết chi tiết về các dây thần kinh điều khiển hành vi. Điều đó có thể suy đoán về những hậu quả lâu dài nếu có, và liệu những thay đổi não bộ này sẽ tiếp tục diễn ra hay dần biến mất”, ông Thomas nói.

Tuy nhiên, vị Giáo sư này nhấn mạnh các tác động tiềm ẩn không hẳn sẽ tiêu cực. Theo báo cáo của nhóm nghiên cứu, một số thay đổi não bộ đã cho thấy hiệu suất tốt hơn trong các bài kiểm tra trí thông minh.

“Tóm lại, đây là những dữ liệu thú vị cho thấy đại dịch có thể đã ảnh hưởng sâu sắc đến lứa tuổi thanh thiếu niên. Song những dữ liệu này chưa thể cho chúng ta biết liệu những tác động tiêu cực này diễn ra trong thời gian dài hay không, tính linh hoạt của bộ não có cho phép thế hệ này phục hồi hay không”, ông cho biết thêm.

VietBF@ sưu tập
Dịch trang: EnglishEnglish DeutschDeutsch FrançaisFrançais EspañolEspañol ItalianoItaliano PortuguêsPortuguês
NorskNorsk NederlandsNederlands DanskDansk SuomiSuomi PolskiPolski ČeštinaČeština РусскийРусский
日本語日本語 한국어한국어 中文(简体)中文(简体) 中文(繁體)中文(繁體) MagyarMagyar TürkçeTürkçe
العربيةالعربية ไทยไทย LatinaLatina हिन्दीहिन्दी Bahasa IndonesiaBahasa Indonesia Bahasa MelayuBahasa Melayu
VIETBF Hybrid Community Content Hub

HOT NEWS 24h

HOT 3 Days

NEWS 3 Days

HOT 7 Days

NEWS 7 Days

HOME

Breaking News

VietOversea

World News

Business News

Car News

Computer News

Game News

USA News

Mobile News

Music News

Movies News

History

Thơ Ca

Sport News

Stranger Stories

Comedy Stories

Cooking Chat

Nice Pictures

Fashion

School

Travelling

Funny Videos

Canada Tin Hay

USA Tin Hay

VietBF Homepage Autoscroll

VietBF Video Autoscroll Portal

Video Classic Master

iPad News Portal

VietBF iPad Music Portal

Tin nóng nhất 50h qua

Phim Bộ Online

iMusic Pro Max



PinaColada
R11 Tuyệt Thế Thiên Hạ
Release: 12-03-2022
Reputation: 137383

Profile:
Join Date: Oct 2013
Posts: 123,940
Last Update: None Rating: None
Attached Thumbnails
Click image for larger version

Name:	451.jpg
Views:	0
Size:	76.4 KB
ID:	2147206   Click image for larger version

Name:	452.jpg
Views:	0
Size:	50.6 KB
ID:	2147207  
PinaColada_is_offline
Thanks: 9
Thanked 8,070 Times in 7,179 Posts
Mentioned: 2 Post(s)
Tagged: 0 Thread(s)
Quoted: 23 Post(s)
Rep Power: 142
PinaColada Reputation Uy Tín Level 9PinaColada Reputation Uy Tín Level 9PinaColada Reputation Uy Tín Level 9PinaColada Reputation Uy Tín Level 9PinaColada Reputation Uy Tín Level 9
PinaColada Reputation Uy Tín Level 9PinaColada Reputation Uy Tín Level 9PinaColada Reputation Uy Tín Level 9PinaColada Reputation Uy Tín Level 9PinaColada Reputation Uy Tín Level 9PinaColada Reputation Uy Tín Level 9PinaColada Reputation Uy Tín Level 9PinaColada Reputation Uy Tín Level 9PinaColada Reputation Uy Tín Level 9PinaColada Reputation Uy Tín Level 9PinaColada Reputation Uy Tín Level 9PinaColada Reputation Uy Tín Level 9PinaColada Reputation Uy Tín Level 9PinaColada Reputation Uy Tín Level 9PinaColada Reputation Uy Tín Level 9PinaColada Reputation Uy Tín Level 9PinaColada Reputation Uy Tín Level 9PinaColada Reputation Uy Tín Level 9PinaColada Reputation Uy Tín Level 9PinaColada Reputation Uy Tín Level 9PinaColada Reputation Uy Tín Level 9PinaColada Reputation Uy Tín Level 9
Dịch trang: EnglishEnglish DeutschDeutsch FrançaisFrançais EspañolEspañol ItalianoItaliano PortuguêsPortuguês
NorskNorsk NederlandsNederlands DanskDansk SuomiSuomi PolskiPolski ČeštinaČeština РусскийРусский
日本語日本語 한국어한국어 中文(简体)中文(简体) 中文(繁體)中文(繁體) MagyarMagyar TürkçeTürkçe
العربيةالعربية ไทยไทย LatinaLatina हिन्दीहिन्दी Bahasa IndonesiaBahasa Indonesia Bahasa MelayuBahasa Melayu
 
User Tag List



 

iPad Videos Portal Autoscroll

VietBF Music Portal Autoscroll

iPad News Portal Autoscroll

VietBF Homepage Autoscroll

VietBF Video Autoscroll Portal

USA News Autoscroll Portall

VietBF WORLD Autoscroll Portal

Video Classic Master Page

Super Widescreen

iPad World Portal Autoscroll

iPad USA Portal Autoscroll

Phim Bộ Online
Lên đầu Xuống dưới Lên 3000px Xuống 3000px

Tin nóng nhất 24h qua

Tin nóng nhất 3 ngày qua

Tin nóng nhất 7 ngày qua

Tin nóng nhất 30 ngày qua

Albums

Total Videos Online

Tranh luận sôi nổi nhất 7 ngày qua

Tranh luận sôi nổi nhất 14 ngày qua

Tranh luận sôi nổi nhất 30 ngày qua

10.000 Tin mới nhất

Tin tức Hoa Kỳ

Tin tức Công nghệ
Lên đầu Xuống dưới Lên 3000px Xuống 3000px

Duo Series Movies Portal

Duo Music Portal

Phim Bộ

Tỷ Giá

Thời Tiết

Tin Nóng Nhất 50h

Super News

School Cooking Traveling Portal

Enter Portal

Series Shows and Movies Online

Home Classic Master Page

Donation Ủng hộ $3 cho VietBF
Lên đầu Xuống dưới Lên 3000px Xuống 3000px
Diễn Đàn Người Việt Hải Ngoại. Tự do ngôn luận, an toàn và uy tín. Vì một tương lai tươi đẹp cho các thế hệ Việt Nam hãy ghé thăm chúng tôi, hãy tâm sự với chúng tôi mỗi ngày, mỗi giờ và mỗi giây phút có thể. VietBF.Com Xin cám ơn các bạn, chúc tất cả các bạn vui vẻ và gặp nhiều may mắn.
Welcome to Vietnamese American Community, Vietnamese European, Canadian, Australian Forum, Vietnamese Overseas Forum. Freedom of speech, safety and prestige. For a beautiful future for Vietnamese generations, please visit us, talk to us every day, every hour and every moment possible. VietBF.Com Thank you all and good luck.

Lên đầu Xuống dưới Lên 3000px Xuống 3000px

All times are GMT. The time now is 03:25.
VietBF - Vietnamese Best Forum Copyright ©2005 - 2026
User Alert System provided by Advanced User Tagging (Pro) - vBulletin Mods & Addons Copyright © 2026 DragonByte Technologies Ltd.
Log Out Unregistered

Page generated in 0.11514 seconds with 15 queries