HOME-Au
HOME-Au
24h
24h
USA
USA
GOP
GOP
Phim Bộ
Phim Bộ
Videoauto
VIDEO-Au
Donation
Donation
News Book
News Book
News 50
News 50
worldautoscroll
WORLD-Au
Breaking
Breaking
 

Go Back   VietBF > World > Vietnam News | Tin Việt Nam > 2005-2023 Vietnam News


 
Thread Tools
 
 
  #1  
Old  Default Mỗi tháng uống 15 viên thuốc tránh thai khẩn cấp, người phụ nữ nhồi máu phổi
Trong suốt 10 năm, bệnh nhân 34 tuổi liên tục dùng thuốc tránh thai khẩn cấp. Việc lạm dụng đã khiến bệnh nhân bị tắc động mạch phổi.

Bệnh nhân nữ 34 tuổi vào Bệnh viện Trung ương Quân đội 108 do bị đau tức ngực, khó thở ngày thứ 2, đã cấp cứu và điều trị tại tuyến trước nhưng tình trạng khó thở ngày càng nặng lên.

Nữ bệnh nhân được chuyển khoa Cấp cứu trong tình trạng tỉnh, khó thở, thở oxy hỗ trợ 5 lít/phút, Sp02 92%, tĩnh mạch cổ nổi, gan to mấp mé bờ sườn.

Được biết bệnh nhân thường xuyên sử dụng thuốc tránh thai 10 năm nay, thường uống 12-15 viên/tháng. Khi vào viện, bệnh nhân đã được chỉ định xét nghiệm cấp cứu, siêu âm tim có hình ảnh giãn buồng tim phải, hở nặng van 3 lá, tăng áp lực động mạch phổi.

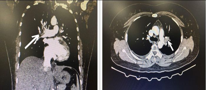
Bác sĩ cấp cứu hướng chẩn đoán tới bệnh thuyên tắc động mạch phổi cấp và quyết định cho chụp CT ngực có tiêm thuốc cản quang, kết quả là hình ảnh huyết khối động mạch phổi 2 bên.

Bệnh nhân đã được chẩn đoán xác định là huyết khối thuyên tắc động mạch phổi cấp tính do lạm dụng thuốc tránh thai. Người phụ nữ này được điều trị tại khoa Hồi sức tim mạch theo phác đồ chống đông, hỗ trợ hô hấp. Bệnh tiến triển tốt, sau 7 ngày, bệnh nhân đã hết khó thở, toàn trạng ổn định và được ra viện.


Hình ảnh CT lồng ngực bệnh nhân bị tắc động mạch phổi cấp tính

Theo BS Phạm Quang Trình - Khoa Cấp cứu, Bệnh viện Trung ương Quân đội 108, tắc mạch phổi (pulmonary embolism - PE) là một cục máu đông lọt vào mạch máu trong phổi và ngăn chặn dòng lưu thông bình thường của máu trong vùng đó. Sự tắc nghẽn này gây trở ngại cho việc trao đổi khí. Tùy thuộc vào cục máu đông nhỏ hay to và số lượng các mạch máu bị tắc nhiều hay ít mà nó sẽ có những biến đổi trên lâm sàng khác nhau, nặng nhất có thể gây tử vong.

Theo nghiên cứu của Alain Weill trong tạp chí BMJ 2016, trong số 100.000 phụ nữ sử dụng viên tránh thai trong một năm, ước tính có 33 phụ nữ sẽ bị thuyên tắc phổi. Đối với thuốc tránh thai khẩn cấp, theo khuyến cáo không dùng thuốc tránh thai khẩn cấp quá 2 lần trong 1 chu kỳ kinh nguyệt.

Các yếu tố nguy cơ đối với tắc mạch phổi:

- Các bệnh máu di truyền: Thalassemia

- Các bệnh mạch máu như suy van tĩnh mạch, xơ vữa động mạch

- Một số bệnh như ung thư: ung thư vú, ung thư phổi…

- Mang thai hoặc trong vòng 6 tuần sau sinh

- Hút thuốc

- Béo phì

- Vận động muộn sau các phẫu thuật lớn, đa chấn thương

- Lạm dụng thuốc tránh thai

- Cao tuổi

- Một số bệnh gây tăng đông máu: sau nhiễm Sars-CoV-2, sốc nhiễm khuẩn…

Càng nhiều yếu tố nguy cơ, càng nhiều khả năng có cục máu đông. Điều quan trọng phải nhận biết người có nguy cơ cao để có thể có cách để ngăn chặn chúng. Khi sử dụng thuốc tránh thai khẩn cấp có thể xảy ra một số tác dụng phụ không mong muốn. Do đó, không nên lạm dụng thuốc quá nhiều, chỉ nên dùng trong các trường hợp thật sự cần thiết.
Dịch trang: EnglishEnglish DeutschDeutsch FrançaisFrançais EspañolEspañol ItalianoItaliano PortuguêsPortuguês
NorskNorsk NederlandsNederlands DanskDansk SuomiSuomi PolskiPolski ČeštinaČeština РусскийРусский
日本語日本語 한국어한국어 中文(简体)中文(简体) 中文(繁體)中文(繁體) MagyarMagyar TürkçeTürkçe
العربيةالعربية ไทยไทย LatinaLatina हिन्दीहिन्दी Bahasa IndonesiaBahasa Indonesia Bahasa MelayuBahasa Melayu
VIETBF Hybrid Community Content Hub

HOT NEWS 24h

HOT 3 Days

NEWS 3 Days

HOT 7 Days

NEWS 7 Days

HOME

Breaking News

VietOversea

World News

Business News

Car News

Computer News

Game News

USA News

Mobile News

Music News

Movies News

History

Thơ Ca

Sport News

Stranger Stories

Comedy Stories

Cooking Chat

Nice Pictures

Fashion

School

Travelling

Funny Videos

Canada Tin Hay

USA Tin Hay

VietBF Homepage Autoscroll

VietBF Video Autoscroll Portal

Video Classic Master

iPad News Portal

VietBF iPad Music Portal

Tin nóng nhất 50h qua

Phim Bộ Online

iMusic Pro Max



miro1510
R9 Tuyệt Đỉnh Tôn Sư
Release: 08-23-2022
Reputation: 13837


Profile:
Join Date: Oct 2014
Posts: 47,171
Last Update: None Rating: None
Attached Thumbnails
Click image for larger version

Name:	4f1f0872db30326e6b21.jpg
Views:	0
Size:	39.6 KB
ID:	2101143  
miro1510_is_offline
Thanks: 9
Thanked 2,096 Times in 1,935 Posts
Mentioned: 3 Post(s)
Tagged: 0 Thread(s)
Quoted: 8 Post(s)
Rep Power: 59
miro1510 Reputation Uy Tín Level 6
miro1510 Reputation Uy Tín Level 6miro1510 Reputation Uy Tín Level 6miro1510 Reputation Uy Tín Level 6miro1510 Reputation Uy Tín Level 6miro1510 Reputation Uy Tín Level 6miro1510 Reputation Uy Tín Level 6miro1510 Reputation Uy Tín Level 6miro1510 Reputation Uy Tín Level 6miro1510 Reputation Uy Tín Level 6miro1510 Reputation Uy Tín Level 6miro1510 Reputation Uy Tín Level 6miro1510 Reputation Uy Tín Level 6miro1510 Reputation Uy Tín Level 6miro1510 Reputation Uy Tín Level 6miro1510 Reputation Uy Tín Level 6miro1510 Reputation Uy Tín Level 6
Dịch trang: EnglishEnglish DeutschDeutsch FrançaisFrançais EspañolEspañol ItalianoItaliano PortuguêsPortuguês
NorskNorsk NederlandsNederlands DanskDansk SuomiSuomi PolskiPolski ČeštinaČeština РусскийРусский
日本語日本語 한국어한국어 中文(简体)中文(简体) 中文(繁體)中文(繁體) MagyarMagyar TürkçeTürkçe
العربيةالعربية ไทยไทย LatinaLatina हिन्दीहिन्दी Bahasa IndonesiaBahasa Indonesia Bahasa MelayuBahasa Melayu
 
User Tag List



 

iPad Videos Portal Autoscroll

VietBF Music Portal Autoscroll

iPad News Portal Autoscroll

VietBF Homepage Autoscroll

VietBF Video Autoscroll Portal

USA News Autoscroll Portall

VietBF WORLD Autoscroll Portal

Video Classic Master Page

Super Widescreen

iPad World Portal Autoscroll

iPad USA Portal Autoscroll

Phim Bộ Online
Lên đầu Xuống dưới Lên 3000px Xuống 3000px

Tin nóng nhất 24h qua

Tin nóng nhất 3 ngày qua

Tin nóng nhất 7 ngày qua

Tin nóng nhất 30 ngày qua

Albums

Total Videos Online

Tranh luận sôi nổi nhất 7 ngày qua

Tranh luận sôi nổi nhất 14 ngày qua

Tranh luận sôi nổi nhất 30 ngày qua

10.000 Tin mới nhất

Tin tức Hoa Kỳ

Tin tức Công nghệ
Lên đầu Xuống dưới Lên 3000px Xuống 3000px

Duo Series Movies Portal

Duo Music Portal

Phim Bộ

Tỷ Giá

Thời Tiết

Tin Nóng Nhất 50h

Super News

School Cooking Traveling Portal

Enter Portal

Series Shows and Movies Online

Home Classic Master Page

Donation Ủng hộ $3 cho VietBF
Lên đầu Xuống dưới Lên 3000px Xuống 3000px
Diễn Đàn Người Việt Hải Ngoại. Tự do ngôn luận, an toàn và uy tín. Vì một tương lai tươi đẹp cho các thế hệ Việt Nam hãy ghé thăm chúng tôi, hãy tâm sự với chúng tôi mỗi ngày, mỗi giờ và mỗi giây phút có thể. VietBF.Com Xin cám ơn các bạn, chúc tất cả các bạn vui vẻ và gặp nhiều may mắn.
Welcome to Vietnamese American Community, Vietnamese European, Canadian, Australian Forum, Vietnamese Overseas Forum. Freedom of speech, safety and prestige. For a beautiful future for Vietnamese generations, please visit us, talk to us every day, every hour and every moment possible. VietBF.Com Thank you all and good luck.

Lên đầu Xuống dưới Lên 3000px Xuống 3000px

All times are GMT. The time now is 15:49.
VietBF - Vietnamese Best Forum Copyright ©2005 - 2026
User Alert System provided by Advanced User Tagging (Pro) - vBulletin Mods & Addons Copyright © 2026 DragonByte Technologies Ltd.
Log Out Unregistered

Page generated in 0.11889 seconds with 15 queries