HOME-Au
HOME-Au
24h
24h
USA
USA
GOP
GOP
Phim Bộ
Phim Bộ
Videoauto
VIDEO-Au
Donation
Donation
News Book
News Book
News 50
News 50
worldautoscroll
WORLD-Au
Breaking
Breaking
 

Go Back   VietBF > World > Vietnam News | Tin Việt Nam > 2005-2023 Vietnam News

 
Thread Tools
 
 
  #1  
Old  Default Hy hữu: Người đàn ông bị xuất huyết não sau khi đi bơi
Anh T.M.N - 33 tuổi, ngụ Tây Ninh - cảm thấy nhức đầu sau khi đi bơi, sau đó hôn mê sâu, giãn đồng tử, xuất huyết não dẫn đến nguy kịch.

Bác sĩ Hồ Hoài Hưng, Phó khoa Ngoại Thần kinh - Bệnh viện Đa khoa Xuyên Á Tây Ninh, cho biết bệnh viện vừa tiếp nhận ca bệnh hy hữu, nguy kịch sau khi đi bơi. Cụ thể, anh N. nhảy xuống hồ bơi mà không biết nước cạn, đầu va đập với nước gần đáy hồ. Tuy nhiên, anh không cảm thấy đau, đầu cũng không có vết thương nên trở về nhà ngủ.

Đến 20 giờ, người nhà nhiều lần gọi dậy ăn tối nhưng N. không hồi đáp, liền đưa anh đến Bệnh viện Đa khoa Xuyên Á cấp cứu. Tại đây, anh N. đã hôn mê sâu, mất hết phản xạ. "Nếu muộn vài phút nữa, bệnh nhân sẽ tử vong" - bác sĩ Hưng nói.


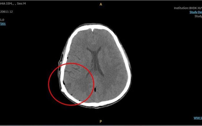
Khối máu tụ khi vào viện gây chèn ép não. Ảnh: BVCC

Ê-kip cấp cứu lập tức đưa anh N. vào chụp CT, kết quả cho thấy sọ có đường nứt nhẹ, xuất huyết não do đứt một mạch máu nhỏ vì chấn thương. Bệnh nhân được đưa vào phòng mổ để cầm máu, hút máu tụ khoảng 150 ml.

Sau gần 3 giờ phẫu thuật căng thẳng, ca mổ đã kết thúc thành công. Sau phẫu thuật, anh N. tiếp tục được hồi sức tích cực cũng như chăm sóc toàn diện tại Khoa ICU.


Khối máu tụ đã được lấy đi hoàn toàn và cầm máu, Ảnh:BVCC

Theo bác sĩ Hưng, bệnh nhân sau mổ không để lại di chứng gì. Hiện anh N. có thể tự mặc quần áo, đi lại, ăn uống, sinh hoạt bình thường. Ở một số trường hợp tương tự khác, bệnh nhân có di chứng như yếu liệt nửa người.

Bác sĩ Hưng khuyến cáo khi bệnh nhân bị chấn thương đầu có triệu chứng đau đầu, ói, ăn không được, ngủ li bì, sốt thì nên đến bệnh viện để thăm khám. Người bệnh không nên chủ quan vì khối máu tăng có thể gây hôn mê đột ngột hoặc động kinh, co giật.

"Tình trạng này rất nguy hiểm nếu không được cấp cứu tại cơ sở y tế. Bệnh nhân có thể cắn lưỡi, sùi bọt mép, sau co giật thường có di chứng tổn thương não" - bác sĩ Hưng nhấn mạnh.
Dịch trang: EnglishEnglish DeutschDeutsch FrançaisFrançais EspañolEspañol ItalianoItaliano PortuguêsPortuguês
NorskNorsk NederlandsNederlands DanskDansk SuomiSuomi PolskiPolski ČeštinaČeština РусскийРусский
日本語日本語 한국어한국어 中文(简体)中文(简体) 中文(繁體)中文(繁體) MagyarMagyar TürkçeTürkçe
العربيةالعربية ไทยไทย LatinaLatina हिन्दीहिन्दी Bahasa IndonesiaBahasa Indonesia Bahasa MelayuBahasa Melayu
VIETBF Hybrid Community Content Hub

HOT NEWS 24h

HOT 3 Days

NEWS 3 Days

HOT 7 Days

NEWS 7 Days

HOME

Breaking News

VietOversea

World News

Business News

Car News

Computer News

Game News

USA News

Mobile News

Music News

Movies News

History

Thơ Ca

Sport News

Stranger Stories

Comedy Stories

Cooking Chat

Nice Pictures

Fashion

School

Travelling

Funny Videos

Canada Tin Hay

USA Tin Hay

VietBF Homepage Autoscroll

VietBF Video Autoscroll Portal

Video Classic Master

iPad News Portal

VietBF iPad Music Portal

Tin nóng nhất 50h qua

Phim Bộ Online

iMusic Pro Max



TinNhanh247
R9 Tuyệt Đỉnh Tôn Sư
Release: 06-20-2022
Reputation: 14071

Profile:
Join Date: Oct 2014
Posts: 38,936
Last Update: None Rating: None
Attached Thumbnails
Click image for larger version

Name:	7604561fbc5d55030c4c.jpg
Views:	0
Size:	19.2 KB
ID:	2070770  
TinNhanh247_is_offline
Thanks: 16
Thanked 1,805 Times in 1,643 Posts
Mentioned: 3 Post(s)
Tagged: 0 Thread(s)
Quoted: 11 Post(s)
Rep Power: 50
TinNhanh247 Reputation Uy Tín Level 6
TinNhanh247 Reputation Uy Tín Level 6TinNhanh247 Reputation Uy Tín Level 6TinNhanh247 Reputation Uy Tín Level 6TinNhanh247 Reputation Uy Tín Level 6TinNhanh247 Reputation Uy Tín Level 6TinNhanh247 Reputation Uy Tín Level 6TinNhanh247 Reputation Uy Tín Level 6TinNhanh247 Reputation Uy Tín Level 6TinNhanh247 Reputation Uy Tín Level 6TinNhanh247 Reputation Uy Tín Level 6TinNhanh247 Reputation Uy Tín Level 6TinNhanh247 Reputation Uy Tín Level 6TinNhanh247 Reputation Uy Tín Level 6TinNhanh247 Reputation Uy Tín Level 6TinNhanh247 Reputation Uy Tín Level 6TinNhanh247 Reputation Uy Tín Level 6TinNhanh247 Reputation Uy Tín Level 6
Dịch trang: EnglishEnglish DeutschDeutsch FrançaisFrançais EspañolEspañol ItalianoItaliano PortuguêsPortuguês
NorskNorsk NederlandsNederlands DanskDansk SuomiSuomi PolskiPolski ČeštinaČeština РусскийРусский
日本語日本語 한국어한국어 中文(简体)中文(简体) 中文(繁體)中文(繁體) MagyarMagyar TürkçeTürkçe
العربيةالعربية ไทยไทย LatinaLatina हिन्दीहिन्दी Bahasa IndonesiaBahasa Indonesia Bahasa MelayuBahasa Melayu
 
User Tag List



 

iPad Videos Portal Autoscroll

VietBF Music Portal Autoscroll

iPad News Portal Autoscroll

VietBF Homepage Autoscroll

VietBF Video Autoscroll Portal

USA News Autoscroll Portall

VietBF WORLD Autoscroll Portal

Video Classic Master Page

Super Widescreen

iPad World Portal Autoscroll

iPad USA Portal Autoscroll

Phim Bộ Online
Lên đầu Xuống dưới Lên 3000px Xuống 3000px

Tin nóng nhất 24h qua

Tin nóng nhất 3 ngày qua

Tin nóng nhất 7 ngày qua

Tin nóng nhất 30 ngày qua

Albums

Total Videos Online

Tranh luận sôi nổi nhất 7 ngày qua

Tranh luận sôi nổi nhất 14 ngày qua

Tranh luận sôi nổi nhất 30 ngày qua

10.000 Tin mới nhất

Tin tức Hoa Kỳ

Tin tức Công nghệ
Lên đầu Xuống dưới Lên 3000px Xuống 3000px

Duo Series Movies Portal

Duo Music Portal

Phim Bộ

Tỷ Giá

Thời Tiết

Tin Nóng Nhất 50h

Super News

School Cooking Traveling Portal

Enter Portal

Series Shows and Movies Online

Home Classic Master Page

Donation Ủng hộ $3 cho VietBF
Lên đầu Xuống dưới Lên 3000px Xuống 3000px
Diễn Đàn Người Việt Hải Ngoại. Tự do ngôn luận, an toàn và uy tín. Vì một tương lai tươi đẹp cho các thế hệ Việt Nam hãy ghé thăm chúng tôi, hãy tâm sự với chúng tôi mỗi ngày, mỗi giờ và mỗi giây phút có thể. VietBF.Com Xin cám ơn các bạn, chúc tất cả các bạn vui vẻ và gặp nhiều may mắn.
Welcome to Vietnamese American Community, Vietnamese European, Canadian, Australian Forum, Vietnamese Overseas Forum. Freedom of speech, safety and prestige. For a beautiful future for Vietnamese generations, please visit us, talk to us every day, every hour and every moment possible. VietBF.Com Thank you all and good luck.

Lên đầu Xuống dưới Lên 3000px Xuống 3000px

All times are GMT. The time now is 16:07.
VietBF - Vietnamese Best Forum Copyright ©2005 - 2026
User Alert System provided by Advanced User Tagging (Pro) - vBulletin Mods & Addons Copyright © 2026 DragonByte Technologies Ltd.
Log Out Unregistered

Page generated in 0.11855 seconds with 15 queries