HOME-Au
HOME-Au
24h
24h
USA
USA
GOP
GOP
Phim Bộ
Phim Bộ
Videoauto
VIDEO-Au
Donation
Donation
News Book
News Book
News 50
News 50
worldautoscroll
WORLD-Au
Breaking
Breaking
 

Go Back   VietBF > World > World News|Tin Thế Giới > World News |Tin Thế Giới 2021-2023

 
Thread Tools
 
 
  #1  
Old  Default Phương pháp giúp phát hiện người mắc Covid-19 không cần xét nghiệm
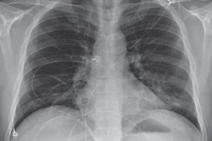
Trong việc chẩn đoán và điều trị người bệnh Covid-19, việc sử dụng hình chụp X-quang là phương pháp chẩn đoán hình ảnh dễ tiếp cận.
Theo một nghiên cứu mới đây được đăng trên Medical Daily, để phát hiện và điều trị cho người nghi mắc Covid-19, việc đầu tiên là phải xác định họ có thực sự bị nhiễm virus hay không.

Thông thường, việc xác định một người có thực sự nhiễm SARS-CoV-2 hay không cần thông qua xét nghiệm rRT-PCR. Việc xét nghiệm này phải được thực hiện trong các phòng thí nghiệm và cần có nguồn nhân lực lớn.

Bên cạnh đó, quy trình thực hiện xét nghiệm rRT-PCR thường mất nhiều thời gian (khoảng 2 giờ hoặc hơn) để đưa ra được kết quả chính xác. Trong nhiều trường hợp, việc xác định một người có mắc Covid-19 hay không cần phải nhanh hơn thế, đặc biệt là những bệnh nhân tiên lượng nặng cần được điều trị ngay lập tức. Việc chẩn đoán nhanh chính là yếu tố mang tính quyết định.

Từ các yếu tố trên, nhóm nghiên cứu của các trường Đại học Tây Scotland và Đại học Durham đã tìm kiếm các phương pháp nhanh chóng và có thể thay thế cho PCR bằng cách sử dụng những thiết bị sẵn có tại bệnh viện, đặc biệt là máy chụp X-quang.

Các dấu hiệu Covid-19 có trong hình chụp X-quang
Công nghệ chụp cắt lớp vi tính (CT) hay X-quang có thể giúp các bác sĩ phân tích, tìm kiếm dấu vết của Covid-19 bằng hình ảnh.

Một số cuộc nghiên cứu ngay từ giai đoạn đầu của đại dịch cũng cho thấy trong hình ảnh chụp X-quang lồng ngực của bệnh nhân nhiễm virus có những điểm bất thường.

Trên cơ sở đó, Tổ chức Y tế Thế giới (WHO) đã khuyến nghị sử dụng công nghệ chụp X-quang để chẩn đoán bệnh nhân mắc Covid-19 khi chưa có điều kiện xét nghiệm rRT-PCR, đặc biệt đối với những bệnh nhân có triệu chứng nặng.Tuy nhiên, việc sử dụng công nghệ X-quang cũng cần đòi hỏi nguồn nhân lực y tế. Các bác sĩ chẩn đoán cần có chuyên môn, phân tích hình ảnh kỹ lưỡng bởi các dấu hiệu mắc Covid-19 thường khó phát hiện. Do đó, nhóm nghiên cứu đã phát triển một chương trình sử dụng trí tuệ nhân tạo để thực hiện việc chẩn đoán nhanh chóng hơn.

Chương trình này được xây dựng dựa trên một thuật toán thường được dùng để nhận dạng và phân tích hình ảnh. Thuật toán này có thể lọc ra các điểm nổi bật trong ảnh và phân loại hình ảnh theo các điểm tương đồng và khác biệt.

Quá trình nghiên cứu đã sử dụng dữ liệu khoảng 3.000 ảnh chụp X-quang (số dữ liệu này trộn lẫn cả ảnh của người mắc Covid-19, người khỏe mạnh và người bị viêm phổi do virus).

Từ đó, các nhà nghiên cứu đã chọn lọc một thuật toán có hiệu quả vượt trội. Tiếp đó, họ đưa vào thuật toán một bộ ảnh chụp X-quang hoàn toàn mới và lọc tìm các bệnh nhân mắc Covid-19, kết quả chính xác tới 98,04%.

Cách sử dụng
Từ kết quả trên, các nhà nghiên cứu đã tiếp tục phát triển một ứng dụng có thể sử dụng bên ngoài phòng thí nghiệm. Ứng dụng này không cần nhiều bộ nhớ trong máy tính hoặc nguồn điện để vận hành. Do đó, nó có thể được cài đặt trên máy tính cá nhân hay máy tính xách tay thông thường.

Ứng dụng này cũng được thiết kế mà không cần thêm bất kỳ thiết bị nào hỗ trợ khác. Hình chụp X-quang của bệnh nhân chỉ cần đưa lên ứng dụng qua USB hoặc trang web, tiếp đó thuật toán sẽ tự động phân tích hình ảnh và trả lại kết quả xác nhận xem họ có mắc Covid-19 hay không.

Biện pháp này sẽ không thay thế được hoàn toàn xét nghiệm PCR. Tuy nhiên, điều đó sẽ đem lại nhiều hiệu quả trong tình huống cấp cứu những bệnh nhân nặng. Ứng dụng sẽ cho phép nhanh chóng chụp ảnh X-quang lồng ngực và phân tích hình ảnh. Nếu bệnh nhân mắc Covid-19, họ sẽ được điều trị ngay lập tức thay vì đợi kết quả của phòng thí nghiệm.

Thời gian tới, nhóm nghiên cứu sẽ thử nghiệm công nghệ mới tại Pakistan để đánh giá mức độ hiệu quả trên thực tế.
Dịch trang: EnglishEnglish DeutschDeutsch FrançaisFrançais EspañolEspañol ItalianoItaliano PortuguêsPortuguês
NorskNorsk NederlandsNederlands DanskDansk SuomiSuomi PolskiPolski ČeštinaČeština РусскийРусский
日本語日本語 한국어한국어 中文(简体)中文(简体) 中文(繁體)中文(繁體) MagyarMagyar TürkçeTürkçe
العربيةالعربية ไทยไทย LatinaLatina हिन्दीहिन्दी Bahasa IndonesiaBahasa Indonesia Bahasa MelayuBahasa Melayu
VIETBF Hybrid Community Content Hub

HOT NEWS 24h

HOT 3 Days

NEWS 3 Days

HOT 7 Days

NEWS 7 Days

HOME

Breaking News

VietOversea

World News

Business News

Car News

Computer News

Game News

USA News

Mobile News

Music News

Movies News

History

Thơ Ca

Sport News

Stranger Stories

Comedy Stories

Cooking Chat

Nice Pictures

Fashion

School

Travelling

Funny Videos

Canada Tin Hay

USA Tin Hay

VietBF Homepage Autoscroll

VietBF Video Autoscroll Portal

Video Classic Master

iPad News Portal

VietBF iPad Music Portal

Tin nóng nhất 50h qua

Phim Bộ Online

iMusic Pro Max



Romano
R11 Tuyệt Thế Thiên Hạ
Release: 03-05-2022
Reputation: 344781

Profile:
Join Date: May 2007
Posts: 140,950
Last Update: None Rating: None
Attached Thumbnails
Click image for larger version

Name:	aacd5284c2c62b9872d7.jpg
Views:	0
Size:	8.6 KB
ID:	2017734  
Romano_is_offline
Thanks: 9
Thanked 6,677 Times in 5,617 Posts
Mentioned: 3 Post(s)
Tagged: 0 Thread(s)
Quoted: 38 Post(s)
Rep Power: 176
Romano Reputation Uy Tín Level 10Romano Reputation Uy Tín Level 10Romano Reputation Uy Tín Level 10Romano Reputation Uy Tín Level 10Romano Reputation Uy Tín Level 10Romano Reputation Uy Tín Level 10
Romano Reputation Uy Tín Level 10Romano Reputation Uy Tín Level 10Romano Reputation Uy Tín Level 10Romano Reputation Uy Tín Level 10Romano Reputation Uy Tín Level 10Romano Reputation Uy Tín Level 10Romano Reputation Uy Tín Level 10Romano Reputation Uy Tín Level 10Romano Reputation Uy Tín Level 10Romano Reputation Uy Tín Level 10Romano Reputation Uy Tín Level 10Romano Reputation Uy Tín Level 10Romano Reputation Uy Tín Level 10Romano Reputation Uy Tín Level 10Romano Reputation Uy Tín Level 10Romano Reputation Uy Tín Level 10Romano Reputation Uy Tín Level 10Romano Reputation Uy Tín Level 10
Dịch trang: EnglishEnglish DeutschDeutsch FrançaisFrançais EspañolEspañol ItalianoItaliano PortuguêsPortuguês
NorskNorsk NederlandsNederlands DanskDansk SuomiSuomi PolskiPolski ČeštinaČeština РусскийРусский
日本語日本語 한국어한국어 中文(简体)中文(简体) 中文(繁體)中文(繁體) MagyarMagyar TürkçeTürkçe
العربيةالعربية ไทยไทย LatinaLatina हिन्दीहिन्दी Bahasa IndonesiaBahasa Indonesia Bahasa MelayuBahasa Melayu
 
User Tag List



 

iPad Videos Portal Autoscroll

VietBF Music Portal Autoscroll

iPad News Portal Autoscroll

VietBF Homepage Autoscroll

VietBF Video Autoscroll Portal

USA News Autoscroll Portall

VietBF WORLD Autoscroll Portal

Video Classic Master Page

Super Widescreen

iPad World Portal Autoscroll

iPad USA Portal Autoscroll

Phim Bộ Online
Lên đầu Xuống dưới Lên 3000px Xuống 3000px

Tin nóng nhất 24h qua

Tin nóng nhất 3 ngày qua

Tin nóng nhất 7 ngày qua

Tin nóng nhất 30 ngày qua

Albums

Total Videos Online

Tranh luận sôi nổi nhất 7 ngày qua

Tranh luận sôi nổi nhất 14 ngày qua

Tranh luận sôi nổi nhất 30 ngày qua

10.000 Tin mới nhất

Tin tức Hoa Kỳ

Tin tức Công nghệ
Lên đầu Xuống dưới Lên 3000px Xuống 3000px

Duo Series Movies Portal

Duo Music Portal

Phim Bộ

Tỷ Giá

Thời Tiết

Tin Nóng Nhất 50h

Super News

School Cooking Traveling Portal

Enter Portal

Series Shows and Movies Online

Home Classic Master Page

Donation Ủng hộ $3 cho VietBF
Lên đầu Xuống dưới Lên 3000px Xuống 3000px
Diễn Đàn Người Việt Hải Ngoại. Tự do ngôn luận, an toàn và uy tín. Vì một tương lai tươi đẹp cho các thế hệ Việt Nam hãy ghé thăm chúng tôi, hãy tâm sự với chúng tôi mỗi ngày, mỗi giờ và mỗi giây phút có thể. VietBF.Com Xin cám ơn các bạn, chúc tất cả các bạn vui vẻ và gặp nhiều may mắn.
Welcome to Vietnamese American Community, Vietnamese European, Canadian, Australian Forum, Vietnamese Overseas Forum. Freedom of speech, safety and prestige. For a beautiful future for Vietnamese generations, please visit us, talk to us every day, every hour and every moment possible. VietBF.Com Thank you all and good luck.

Lên đầu Xuống dưới Lên 3000px Xuống 3000px

All times are GMT. The time now is 18:42.
VietBF - Vietnamese Best Forum Copyright ©2005 - 2026
User Alert System provided by Advanced User Tagging (Pro) - vBulletin Mods & Addons Copyright © 2026 DragonByte Technologies Ltd.
Log Out Unregistered

Page generated in 0.16694 seconds with 15 queries