HOME-Au
HOME-Au
24h
24h
USA
USA
GOP
GOP
Phim Bộ
Phim Bộ
Videoauto
VIDEO-Au
Donation
Donation
News Book
News Book
News 50
News 50
worldautoscroll
WORLD-Au
Breaking
Breaking
 

Go Back   VietBF > World > Vietnam News | Tin Việt Nam > 2005-2023 Vietnam News


 
Thread Tools
 
 
  #1  
Old  Default Hi hữu người đàn ông hễ "cương cứng" là tiểu ra máu
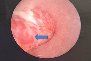
Trường khoa Nam học và Y học Giới tính, BV Đại học Y Hà Nội cho biết. Trước Tết, bác sĩ nam khoa điều trị cho bệnh nhân T. (nam, 57 tuổi) đến khám với một lý do hết sức đặc biệt. Đó là chảy máu từ đường tiểu mỗi khi dương vật cương.

Bệnh nhân kể trong khoảng 20 năm nay, bệnh nhân xuất hiện tiểu ra máu ngay sau khi quan hệ tình dục với vợ. Có lúc là máu đỏ tươi, có lúc là máu cục, không đau đớn. Tiểu những lần sau đó lại hoàn toàn bình thường.



Bệnh nhân đã đi khám và điều trị 7 bệnh viện trong suốt 20 năm qua, cả thuốc tây y và đông y nhưng không khỏi. Khoảng 2 tháng nay, mức độ của bệnh tăng lên, xuất hiện chảy máu cả khi dương vật cương tự nhiên không liên quan đến quan hệ tình dục, tần suất 2-3 lần/1 tuần. Bệnh nhân thực sự lo lắng và quyết định đến khám tại Bệnh viện Đại học Y Hà Nội.

Sau khi làm một số xét nghiệm chuyên sâu, cộng với chụp công hưởng từ, bác sĩ nam khoa đã loại trừ được các nguyên nhân ác tính hay nhiễm khuẩn; và qua nội soi niệu đạo ngược dòng để chẩn đoán. Các bác sĩ đã phát hiện nguyên nhân gây chảy máu là do có nhiều mạch máu nông ở bề mặt niệu đạo giãn mỏng thành từng đám và rất dễ chảy máu.

Bệnh nhân được chẩn đoán là giãn vỡ mạch máu niệu đạo/ theo dõi u máu niệu đạo. Sau đó được chỉ định phẫu thuật nội soi đốt các mạch máu giãn bằng laser holmium.

Kết quả là 1 tháng sau phẫu thuật, bệnh nhân đã có thể quan hệ tình dục bình thường mà không có bất kì dấu hiệu nào của chảy máu đường tiểu.
Dịch trang: EnglishEnglish DeutschDeutsch FrançaisFrançais EspañolEspañol ItalianoItaliano PortuguêsPortuguês
NorskNorsk NederlandsNederlands DanskDansk SuomiSuomi PolskiPolski ČeštinaČeština РусскийРусский
日本語日本語 한국어한국어 中文(简体)中文(简体) 中文(繁體)中文(繁體) MagyarMagyar TürkçeTürkçe
العربيةالعربية ไทยไทย LatinaLatina हिन्दीहिन्दी Bahasa IndonesiaBahasa Indonesia Bahasa MelayuBahasa Melayu
VIETBF Hybrid Community Content Hub

HOT NEWS 24h

HOT 3 Days

NEWS 3 Days

HOT 7 Days

NEWS 7 Days

HOME

Breaking News

VietOversea

World News

Business News

Car News

Computer News

Game News

USA News

Mobile News

Music News

Movies News

History

Thơ Ca

Sport News

Stranger Stories

Comedy Stories

Cooking Chat

Nice Pictures

Fashion

School

Travelling

Funny Videos

Canada Tin Hay

USA Tin Hay

VietBF Homepage Autoscroll

VietBF Video Autoscroll Portal

Video Classic Master

iPad News Portal

VietBF iPad Music Portal

Tin nóng nhất 50h qua

Phim Bộ Online

iMusic Pro Max



nguoiduatinabc
R10 Vô Địch Thiên Hạ
Release: 02-16-2022
Reputation: 22230


Profile:
Join Date: Apr 2016
Posts: 83,781
Last Update: None Rating: None
Attached Thumbnails
Click image for larger version

Name:	1644998383-df1e3acaeed1e521e5e95493dda7ec29-width388height261.jpeg
Views:	0
Size:	11.4 KB
ID:	2007771  
nguoiduatinabc_is_offline
Thanks: 168
Thanked 5,450 Times in 4,423 Posts
Mentioned: 4 Post(s)
Tagged: 0 Thread(s)
Quoted: 29 Post(s)
Rep Power: 94
nguoiduatinabc Reputation Uy Tín Level 7nguoiduatinabc Reputation Uy Tín Level 7
nguoiduatinabc Reputation Uy Tín Level 7nguoiduatinabc Reputation Uy Tín Level 7nguoiduatinabc Reputation Uy Tín Level 7nguoiduatinabc Reputation Uy Tín Level 7nguoiduatinabc Reputation Uy Tín Level 7nguoiduatinabc Reputation Uy Tín Level 7nguoiduatinabc Reputation Uy Tín Level 7nguoiduatinabc Reputation Uy Tín Level 7nguoiduatinabc Reputation Uy Tín Level 7nguoiduatinabc Reputation Uy Tín Level 7nguoiduatinabc Reputation Uy Tín Level 7nguoiduatinabc Reputation Uy Tín Level 7nguoiduatinabc Reputation Uy Tín Level 7
Dịch trang: EnglishEnglish DeutschDeutsch FrançaisFrançais EspañolEspañol ItalianoItaliano PortuguêsPortuguês
NorskNorsk NederlandsNederlands DanskDansk SuomiSuomi PolskiPolski ČeštinaČeština РусскийРусский
日本語日本語 한국어한국어 中文(简体)中文(简体) 中文(繁體)中文(繁體) MagyarMagyar TürkçeTürkçe
العربيةالعربية ไทยไทย LatinaLatina हिन्दीहिन्दी Bahasa IndonesiaBahasa Indonesia Bahasa MelayuBahasa Melayu
 
User Tag List



 

iPad Videos Portal Autoscroll

VietBF Music Portal Autoscroll

iPad News Portal Autoscroll

VietBF Homepage Autoscroll

VietBF Video Autoscroll Portal

USA News Autoscroll Portall

VietBF WORLD Autoscroll Portal

Video Classic Master Page

Super Widescreen

iPad World Portal Autoscroll

iPad USA Portal Autoscroll

Phim Bộ Online
Lên đầu Xuống dưới Lên 3000px Xuống 3000px

Tin nóng nhất 24h qua

Tin nóng nhất 3 ngày qua

Tin nóng nhất 7 ngày qua

Tin nóng nhất 30 ngày qua

Albums

Total Videos Online

Tranh luận sôi nổi nhất 7 ngày qua

Tranh luận sôi nổi nhất 14 ngày qua

Tranh luận sôi nổi nhất 30 ngày qua

10.000 Tin mới nhất

Tin tức Hoa Kỳ

Tin tức Công nghệ
Lên đầu Xuống dưới Lên 3000px Xuống 3000px

Duo Series Movies Portal

Duo Music Portal

Phim Bộ

Tỷ Giá

Thời Tiết

Tin Nóng Nhất 50h

Super News

School Cooking Traveling Portal

Enter Portal

Series Shows and Movies Online

Home Classic Master Page

Donation Ủng hộ $3 cho VietBF
Lên đầu Xuống dưới Lên 3000px Xuống 3000px
Diễn Đàn Người Việt Hải Ngoại. Tự do ngôn luận, an toàn và uy tín. Vì một tương lai tươi đẹp cho các thế hệ Việt Nam hãy ghé thăm chúng tôi, hãy tâm sự với chúng tôi mỗi ngày, mỗi giờ và mỗi giây phút có thể. VietBF.Com Xin cám ơn các bạn, chúc tất cả các bạn vui vẻ và gặp nhiều may mắn.
Welcome to Vietnamese American Community, Vietnamese European, Canadian, Australian Forum, Vietnamese Overseas Forum. Freedom of speech, safety and prestige. For a beautiful future for Vietnamese generations, please visit us, talk to us every day, every hour and every moment possible. VietBF.Com Thank you all and good luck.

Lên đầu Xuống dưới Lên 3000px Xuống 3000px

All times are GMT. The time now is 10:09.
VietBF - Vietnamese Best Forum Copyright ©2005 - 2026
User Alert System provided by Advanced User Tagging (Pro) - vBulletin Mods & Addons Copyright © 2026 DragonByte Technologies Ltd.
Log Out Unregistered

Page generated in 0.12426 seconds with 15 queries