HOME-Au
HOME-Au
24h
24h
USA
USA
GOP
GOP
Phim Bộ
Phim Bộ
Videoauto
VIDEO-Au
Donation
Donation
News Book
News Book
News 50
News 50
worldautoscroll
WORLD-Au
Breaking
Breaking
 

Go Back   VietBF > World > World News|Tin Thế Giới > World News |Tin Thế Giới 2021-2023


 
Thread Tools
 
 
  #1  
Old  Default Mức độ tàn phá hai lá phổi của Covid-19 gây sốc

Phổi của bệnh nhân bị Covid-19 lại tổn hại và có nhiều sẹo nặng, sau khi phát hiện mới đây cho thấy phổi các bệnh nhân sau khi mắc Covid-19 còn tệ hại hơn phổi của những người nghiện thuốc lá nặng.


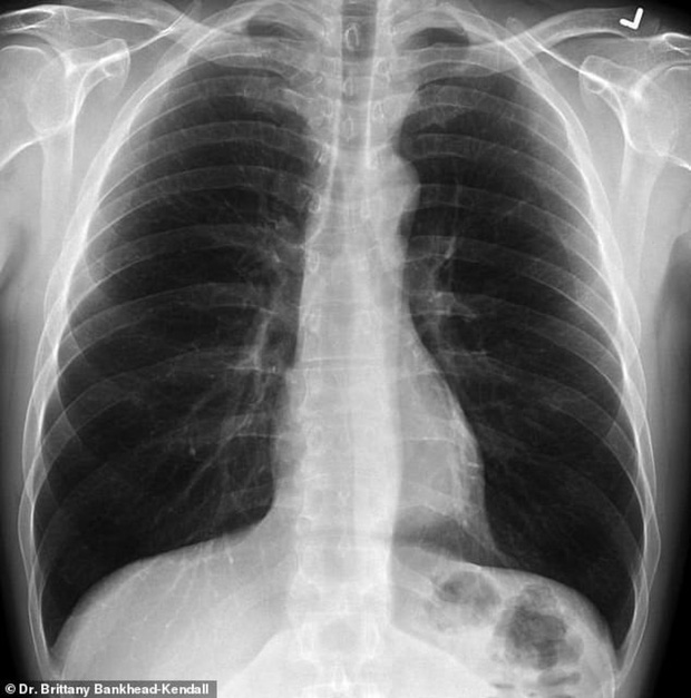
Bác sĩ phẫu thuật Brittany Bankhead-Kendall ở Trung tâm Khoa học Sức khỏe Đại học Kỹ thuật Texas (Mỹ) mới đây trưng ra 3 tấm phim chụp X-quang: Một của bệnh nhân khỏe mạnh, một của người hút thuốc, và một của bệnh nhân Covid-19.

Phim của người khỏe mạnh có nhiều khoảng đen, cho thấy họ có thể hít vào đủ lượng oxy cần thiết. Phim chụp phổi người hút thuốc thì có nhiều khoảng mờ, còn của bệnh nhân Covid-19 thì gần như trắng xóa.

Phổi người hút thuốc (bên trái) và phổi bệnh nhân Covid-19 (bên phải). Ảnh: Bác sĩ Kendall.


Phổi khỏe mạnh. Ảnh: Bác sĩ Kendall.

Những khoảng mờ trên phim chụp phổi thường là chỉ dấu của dịch lỏng, vi khuẩn, hoặc tổn thương và vết sẹo.

Bác sĩ Kendall đánh giá, phổi của các bệnh nhân trải qua Covid-19 tệ hại hơn bất cứ người nghiện thuốc lá nào mà bà từng biết.

Vị nữ bác sĩ cho biết thêm, giới y tế hiện nay mới chỉ tập trung vào tỷ lệ tử vong do Covid-19 mà chưa chú ý đến tác hại lâu dài của bệnh này đối với những người sống sót.

Virus SARS-CoV-2 thường gây ra các biến chứng như viêm phổi – tình trạng mà trong đó phổi chứa đầy dịch lỏng và bị viêm, khiến 2 lá phổi khó tiếp nhận nhiều oxy, dẫn tới tình trạng ho và khó thở.

Một số nghiên cứu cũng phát hiện ở các bệnh nhân Covid-19 tổn thương đối với tế bào biểu mô chạy dọc theo khí quản từ mũi xuống phổi./.
Dịch trang: EnglishEnglish DeutschDeutsch FrançaisFrançais EspañolEspañol ItalianoItaliano PortuguêsPortuguês
NorskNorsk NederlandsNederlands DanskDansk SuomiSuomi PolskiPolski ČeštinaČeština РусскийРусский
日本語日本語 한국어한국어 中文(简体)中文(简体) 中文(繁體)中文(繁體) MagyarMagyar TürkçeTürkçe
العربيةالعربية ไทยไทย LatinaLatina हिन्दीहिन्दी Bahasa IndonesiaBahasa Indonesia Bahasa MelayuBahasa Melayu
VIETBF Hybrid Community Content Hub

HOT NEWS 24h

HOT 3 Days

NEWS 3 Days

HOT 7 Days

NEWS 7 Days

HOME

Breaking News

VietOversea

World News

Business News

Car News

Computer News

Game News

USA News

Mobile News

Music News

Movies News

History

Thơ Ca

Sport News

Stranger Stories

Comedy Stories

Cooking Chat

Nice Pictures

Fashion

School

Travelling

Funny Videos

Canada Tin Hay

USA Tin Hay

VietBF Homepage Autoscroll

VietBF Video Autoscroll Portal

Super Widescreen

Home Master Page

VietBF iPad Music Portal

Tin nóng nhất 50h qua

Phim Bộ Online

Phim Bộ



vuitoichat
R11 Tuyệt Thế Thiên Hạ
Release: 01-18-2021
Reputation: 370706


Profile:
Join Date: Jan 2008
Posts: 150,873
Last Update: None Rating: None
Attached Thumbnails
Click image for larger version

Name:	1.jpg
Views:	0
Size:	50.7 KB
ID:	1727559   Click image for larger version

Name:	2.jpg
Views:	0
Size:	83.0 KB
ID:	1727560  
vuitoichat_is_offline
Thanks: 11
Thanked 14,267 Times in 11,409 Posts
Mentioned: 3 Post(s)
Tagged: 1 Thread(s)
Quoted: 44 Post(s)
Rep Power: 187
vuitoichat Reputation Uy Tín Level 10vuitoichat Reputation Uy Tín Level 10vuitoichat Reputation Uy Tín Level 10vuitoichat Reputation Uy Tín Level 10vuitoichat Reputation Uy Tín Level 10
vuitoichat Reputation Uy Tín Level 10vuitoichat Reputation Uy Tín Level 10vuitoichat Reputation Uy Tín Level 10vuitoichat Reputation Uy Tín Level 10vuitoichat Reputation Uy Tín Level 10vuitoichat Reputation Uy Tín Level 10vuitoichat Reputation Uy Tín Level 10vuitoichat Reputation Uy Tín Level 10
Dịch trang: EnglishEnglish DeutschDeutsch FrançaisFrançais EspañolEspañol ItalianoItaliano PortuguêsPortuguês
NorskNorsk NederlandsNederlands DanskDansk SuomiSuomi PolskiPolski ČeštinaČeština РусскийРусский
日本語日本語 한국어한국어 中文(简体)中文(简体) 中文(繁體)中文(繁體) MagyarMagyar TürkçeTürkçe
العربيةالعربية ไทยไทย LatinaLatina हिन्दीहिन्दी Bahasa IndonesiaBahasa Indonesia Bahasa MelayuBahasa Melayu
 
User Tag List



 

iPad Videos Portal Autoscroll

VietBF Music Portal Autoscroll

iPad News Portal Autoscroll

VietBF Homepage Autoscroll

VietBF Video Autoscroll Portal

USA News Autoscroll Portall

VietBF WORLD Autoscroll Portal

Video Classic Master Page

Super Widescreen

iPad World Portal Autoscroll

iPad USA Portal Autoscroll

Phim Bộ Online
Lên đầu Xuống dưới Lên 3000px Xuống 3000px

Tin nóng nhất 24h qua

Tin nóng nhất 3 ngày qua

Tin nóng nhất 7 ngày qua

Tin nóng nhất 30 ngày qua

Albums

Total Videos Online

Tranh luận sôi nổi nhất 7 ngày qua

Tranh luận sôi nổi nhất 14 ngày qua

Tranh luận sôi nổi nhất 30 ngày qua

10.000 Tin mới nhất

Tin tức Hoa Kỳ

Tin tức Công nghệ
Lên đầu Xuống dưới Lên 3000px Xuống 3000px

Duo Series Movies Portal

Duo Music Portal

Phim Bộ

Tỷ Giá

Thời Tiết

Tin Nóng Nhất 50h

Super News

School Cooking Traveling Portal

Enter Portal

Series Shows and Movies Online

Home Classic Master Page

Donation Ủng hộ $3 cho VietBF
Lên đầu Xuống dưới Lên 3000px Xuống 3000px
Diễn Đàn Người Việt Hải Ngoại. Tự do ngôn luận, an toàn và uy tín. Vì một tương lai tươi đẹp cho các thế hệ Việt Nam hãy ghé thăm chúng tôi, hãy tâm sự với chúng tôi mỗi ngày, mỗi giờ và mỗi giây phút có thể. VietBF.Com Xin cám ơn các bạn, chúc tất cả các bạn vui vẻ và gặp nhiều may mắn.
Welcome to Vietnamese American Community, Vietnamese European, Canadian, Australian Forum, Vietnamese Overseas Forum. Freedom of speech, safety and prestige. For a beautiful future for Vietnamese generations, please visit us, talk to us every day, every hour and every moment possible. VietBF.Com Thank you all and good luck.

Lên đầu Xuống dưới Lên 3000px Xuống 3000px

All times are GMT. The time now is 04:17.
VietBF - Vietnamese Best Forum Copyright ©2005 - 2026
User Alert System provided by Advanced User Tagging (Pro) - vBulletin Mods & Addons Copyright © 2026 DragonByte Technologies Ltd.
Log Out Unregistered

Page generated in 0.11586 seconds with 15 queries