HOME-Au
HOME-Au
24h
24h
USA
USA
GOP
GOP
Phim Bộ
Phim Bộ
Videoauto
VIDEO-Au
Home Classic
Home Classic
Donation
Donation
News Book
News Book
News 50
News 50
worldautoscroll
WORLD-Au
Breaking
Breaking
 

Go Back   VietBF > World Box| Thế Giới > World News|Tin Thế Giới > World News |Tin Thế Giới 2019-2021


 
 
Thread Tools
  #1  
Old  Default Xuất hiện căn bệnh chết người nhanh hơn Covid-19 tại Mỹ
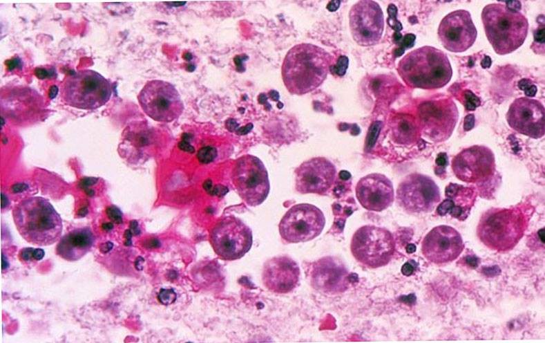
Tại Mỹ đã xuất hiện trùng ăn não người, tỉ lệ tử vong lên đến 97%. Theo các nhà khoa học, người nhiễm ký sinh trùng ăn não có triệu chứng sốt, buồn nôn, cứng cổ, đau đầu, có thể bị co giật, ảo giác, hôn mê và hầu hết sẽ chết trong vòng 1 tuần.

Một quan chức Cơ quan Y tế Mỹ cho biết, bang Florida, Mỹ đã xuất hiện một trường hợp nhiễm ký sinh trùng ăn não người. Loại ký sinh trùng này có tên khoa học là Amoeba Fragilis. Tuy nhiên, ông này không tiết lộ vị trí cụ thể cũng như danh tính bệnh nhân.



Trung tâm Quản lý và Dự phòng bệnh tật Mỹ (CDC) cho biết, trùng ăn não người rất hiếm gặp tại Florida, cũng như ở các bang khác của Mỹ. Kể từ khi phát hiện ca bệnh đầu tiên vào năm 1962, đến năm 2018, trên toàn nước Mỹ phát hiện 145 ca nhiễm bệnh, trong đó chỉ có 4 bệnh nhân còn sống. Không có hiện tượng lây truyền Amoeba Fragilis từ người sang người.

Theo các báo cáo nghiên cứu, Amoeba Fragilis là loại ký sinh trùng đơn bào, có thể sinh sống trong môi trường nước ấm, thường xuất hiện trong các hồ nước ngọt, sông ngòi và ao tại các bang ở miền Nam nước Mỹ. Nó thâm nhập qua khoang mũi tiến vào não người, làm cho não bộ bị nhiễm bệnh dẫn đến tử vong. Tuy nhiên, người trực tiếp uống nước ô nhiễm không bị nhiễm ký sinh trùng.

Hãng truyền thông BBC, Anh cho biết thêm, Cơ quan Y tế Florida đã kêu gọi những người có các triệu chứng nhiễm bệnh phải nhập viện trong thời gian sớm nhất, đồng thời khuyến cáo người dân địa phương tránh để mũi tiếp xúc với nước máy, nước ao hồ, sông, kênh rạch, đặc biệt trong mùa nóng từ tháng 7 đến tháng 9.

Cơ quan Y tế Mỹ cũng trấn an người dân, đây là căn bệnh rất hiếm gặp, nếu mọi người áp dụng các biện pháp phòng ngừa thích hợp có thể hoàn toàn miễn nhiễm loại ký sinh trùng này./.

VietBF@ sưu tầm.
Dịch trang: EnglishEnglish DeutschDeutsch FrançaisFrançais EspañolEspañol ItalianoItaliano PortuguêsPortuguês
NorskNorsk NederlandsNederlands DanskDansk SuomiSuomi PolskiPolski ČeštinaČeština РусскийРусский
日本語日本語 한국어한국어 中文(简体)中文(简体) 中文(繁體)中文(繁體) MagyarMagyar TürkçeTürkçe
العربيةالعربية ไทยไทย LatinaLatina हिन्दीहिन्दी Bahasa IndonesiaBahasa Indonesia Bahasa MelayuBahasa Melayu
VIETBF Diễn Đàn Hay Nhất Của Người Việt Nam

HOT NEWS 24h

HOT 3 Days

NEWS 3 Days

HOT 7 Days

NEWS 7 Days

HOME

Breaking News

VietOversea

World News

Business News

Car News

Computer News

Game News

USA News

Mobile News

Music News

Movies News

History

Thơ Ca

Sport News

Stranger Stories

Comedy Stories

Cooking Chat

Nice Pictures

Fashion

School

Travelling

Funny Videos

Canada Tin Hay

USA Tin Hay

VietBF Homepage Autoscroll

VietBF Video Autoscroll Portal

Home Classic

Home Classic Master Page

VietBF iPad Music Portal

Tin nóng nhất 50h qua

Phim Bộ Online

Phim Bộ
Dịch trang: English | Deutsch |
Français | Español | Italiano |
Português | Norsk | Nederlands |
Dansk | Suomi | Polski |
Čeština | Русский | 日本語 |
한국어 | 中文(简体) | 中文(繁體) |
Magyar | Türkçe | العربية |



PinaColada
R11 Tuyệt Thế Thiên Hạ
Release: 07-10-2020
Reputation: 137011


Profile:
Join Date: Oct 2013
Posts: 120,223
Last Update: None Rating: None
Attached Thumbnails
Click image for larger version

Name:	301.jpg
Views:	0
Size:	84.5 KB
ID:	1615795  
PinaColada_is_offline
Thanks: 9
Thanked 7,884 Times in 7,013 Posts
Mentioned: 2 Post(s)
Tagged: 0 Thread(s)
Quoted: 23 Post(s)
Rep Power: 139
PinaColada Reputation Uy Tín Level 9PinaColada Reputation Uy Tín Level 9PinaColada Reputation Uy Tín Level 9PinaColada Reputation Uy Tín Level 9PinaColada Reputation Uy Tín Level 9
PinaColada Reputation Uy Tín Level 9PinaColada Reputation Uy Tín Level 9PinaColada Reputation Uy Tín Level 9PinaColada Reputation Uy Tín Level 9PinaColada Reputation Uy Tín Level 9PinaColada Reputation Uy Tín Level 9PinaColada Reputation Uy Tín Level 9PinaColada Reputation Uy Tín Level 9PinaColada Reputation Uy Tín Level 9PinaColada Reputation Uy Tín Level 9PinaColada Reputation Uy Tín Level 9PinaColada Reputation Uy Tín Level 9PinaColada Reputation Uy Tín Level 9PinaColada Reputation Uy Tín Level 9PinaColada Reputation Uy Tín Level 9PinaColada Reputation Uy Tín Level 9PinaColada Reputation Uy Tín Level 9PinaColada Reputation Uy Tín Level 9PinaColada Reputation Uy Tín Level 9PinaColada Reputation Uy Tín Level 9PinaColada Reputation Uy Tín Level 9PinaColada Reputation Uy Tín Level 9
Dịch trang: EnglishEnglish DeutschDeutsch FrançaisFrançais EspañolEspañol ItalianoItaliano PortuguêsPortuguês
NorskNorsk NederlandsNederlands DanskDansk SuomiSuomi PolskiPolski ČeštinaČeština РусскийРусский
日本語日本語 한국어한국어 中文(简体)中文(简体) 中文(繁體)中文(繁體) MagyarMagyar TürkçeTürkçe
العربيةالعربية ไทยไทย LatinaLatina हिन्दीहिन्दी Bahasa IndonesiaBahasa Indonesia Bahasa MelayuBahasa Melayu
 
User Tag List


Iran bước sang tuần thứ 3: 646 người chết, Trump tung thuế 25% lên mọi nước “làm ăn” với Tehran Một cú ICE bắt người, cả thành phố dậy sóng: Mayor Zohran Mamdani đòi thả ngay nhân viên New York City Council Minnesota kiện DHS vì “cuộc xâm nhập liên bang”: Minneapolis bùng căng thẳng sau vụ ICE nổ súng
Đoàn tăng sĩ “Đi bộ cho Hòa Bình” tiến vào Columbia: nước Mỹ bỗng thèm một chữ “đoàn kết” Thảm kịch tàu đâm SUV ở New York: Metro-North “gánh” phần lớn trách nhiệm, bồi thường 182 triệu USD cho các gia đình Vụ Suzanne Morphew: Chồng lại “không nhận tội”, tòa ấn định xử 13/10, manh mối gây sốc từ thuốc mê thú rừng
Điều tra Jerome Powell: DOJ tung trát bồi thẩm đoàn, Quốc hội dậy sóng, Fed “bị siết” vì dự án 2,5 tỷ đô “Thả tù” nhỏ giọt ở Venezuela, thân nhân tuyệt vọng đòi “bằng chứng còn sống” – và Trump mở thêm mặt trận với Cuba Golden Globes 2026 lần 83: Thảm đỏ rực rỡ Hollywood nói khẽ, thời cuộc nói to
Hà Tâm – Mai Vân và “luật rừng” đô mới/đô cũ: Việt kiều về Tết cần biết Việt Kiều về nước ăn tết bị Việt Cộng phá vali lấy gần hết nửa vali bánh kẹo, nước hoa ... Iran dậy sóng 9 ngày: 29 người chết, hơn 1.200 bị bắt — Trump “locked and loaded”, Tehran đáp trả rắn
Sau Venezuela, tới Greenland? Nhà Trắng nói thẳng: “Dùng quân đội Mỹ luôn là một lựa chọn” Sau vụ bắt Maduro, Caracas chìm trong im lặng: người dân sợ nói, sợ nhìn, sợ cả tiếng xe “Dầu mỏ Venezuela” – lời cảnh báo từ năm 2019 bỗng hóa thành hiện thực
Đập kính nhà Phó Tổng Thống JD Vance ở Ohio: Một người bị bắt, Mật vụ mở điều tra liên bang Venezuela 303 tỷ thùng dầu: Trump nói 18 tháng, Big Oil nói… còn lâu! Vera Rubin ra mắt tại CES: Nvidia đặt cược vào tương lai “AI biết suy nghĩ”
Vết bầm trên tay Tổng thống: Ông Trump thừa nhận dùng aspirin “mạnh tay” hơn lời bác sĩ Minnesota chao đảo vì “nghi án” gian lận tiền giữ trẻ Mặt trận Zaporizhzhia rực lửa, Ukraine chịu sức ép nặng nề, Huliaipole lung lay
Sốc: Chết cháy hàng loạt tại Thuỵ Sĩ - Thảm họa cháy quán bar ở “thiên đường trượt tuyết” Crans-Montana Luật Mới Tại Texas Từ 1/1/2026: Thuế, Di Trú, Nhà Thuê Và AI – Điều Người Việt Cần Biết Để Tránh Thiệt Quốc Gia Nhỏ Trên Bàn Cờ Lớn: Từ Ukraina Nghĩ Về Việt Nam – Chính Nghĩa, Quyền Lực Và Bài Học Tự Chủ
Xin Đừng “Vãi” Nữa: Khi Một Chữ Lóng Làm Chao Đảo Cả Nếp Ăn Nếp Nói Miền Nam Nhìn Lại 2025: Mười Cú “Rung Lắc” Khiến Xã Hội Vừa Cười Vừa Ớn Lạnh Khi Công An Bước Vào Năng Lượng: Từ “Thanh Kiếm” Quyền Lực Sang “Túi Tiền” Kinh Tế
Thuế quan “giấu mặt” gõ cửa mùa lễ: Mua hàng ngoại xong… nhận thêm hóa đơn “Đừng gọi tôi Việt kiều”: từ một chữ Kiều đến vết xước trong lòng người xa xứ “Bỏ thuế nhà đất” và cơn bão tranh luận: Mơ ước của chủ nhà, nỗi lo của trường học
Không cuồng Cộng Hòa, không cuồng Dân Chủ: chỉ đau với nước Mỹ hôm nay David Hoàng Nguyễn (26 tuổi) – Hạ sĩ quan Không quân Hoa Kỳ gốc Việt qua đời Ông Phan Văn Giang điều động hàng chục ngàn bộ đội đặc công nhằm lật đổ phe cánh ông Tô Lâm
Thất nghiệp tràn lan tại Thành Hồ, dắt chó tìm việc 3 ngày không thành Việt kiều dởm làm màu và Việt kiều “chân chính”: khác nhau ở cái nhìn, không ở hộ chiếu Ông Trump quyết trục xuất 20 triệu người khỏi Mỹ trong năm tới, liệu có thành công?
Chiến lược an ninh mới của Trump: Hạ giọng với Trung Quốc, đặt cược tất tay vào kinh tế và lá bài Đài Loan Kho ảnh mới từ dinh thự Jeffrey Epstein: Bóng dáng giới quyền lực và cuộc đấu Trump – Quốc hội Mỹ Cây chổi cho Donald Trump
Nước Mỹ Trump đang kéo châu Âu đi đâu? Nền kinh tế chữ K: 79 ngàn tỷ đô bị “ăn cắp” khỏi túi người lao động Mỹ Khi Trump “đại tu” FEMA và tấn công các cơ quan độc lập
Ukraine đánh thẳng vào “cây ATM năng lượng” của Nga, NATO cảnh báo: chiến tranh đã ở ngay trước cửa Tyler Robinson lần đầu trực tiếp xuất hiện trước tòa: Vụ ám sát Charlie Kirk và câu hỏi về thù hận chính trị ở nước Mỹ Chính quyền Trump chính thức mở trang mạng để bán "thẻ vàng định cư"
Ba người Việt bị ICE bắt ở New Orleans: Từ giấc mơ Mỹ đến nguy cơ bị trục xuất Hai anh em sinh đôi trở về Việt Nam tìm mẹ ruột sau 24 năm và người mẹ Mỹ mang trái tim Bồ Tát Cuối năm phố tắt đèn: Cơn sóng trả mặt bằng và tiếng thở dài của tiểu thương
Tin đồn ông Nguyễn Xuân Phúc xin qua Mỹ định cư: Tấm thẻ đảng và cánh cửa di trú Hoa Kỳ Netflix tung đòn 28 USD/cổ phiếu: Trận quyết đấu cuối cùng của ‘chiến tranh streaming’? Cơn sốc 50.000 USD: Mua xe mới ở Mỹ sắp thành xa xỉ phẩm?
Làn sóng hủy show Nhật Bản ở Trung Quốc: Khi chính trị tắt đèn sân khấu Mãn kinh – chương đời bị bỏ quên của một nửa nhân loại Cuộc họp nội các thật hỗn loạn của ông Trump
Miền Trung chết đuối trong hai chữ “đúng quy trình” Nhật Bản thời Takaichi: Khi Tokyo thôi “hiền lành” và trở thành đối trọng cứng rắn với Bắc Kinh Từ lũ dữ miền Trung đến “Công ước Hà Nội”: Khi khế ước xã hội bị xé bỏ
Phú Yên không còn quan tài: Tiếng khóc giữa đại hồng thủy và những chuyến xe chở tình người Mafia công nghệ 4.0: Từ vụ Alice Guo đến cuộc cạnh tranh quyền lực ngầm ở Đông Nam Á Người đàn ông mang trạm sạc đến nối lại tin tức giữa vùng lũ
“Lũ nhân tạo” ở Việt Nam: Khi dòng sông bị bẻ cong vì thủy điện Đêm 19-11 và tiếng kêu giữa lũ dữ: Khi “đúng quy trình” nhấn chìm niềm tin của dân Lời nói dối “người Mỹ không làm việc này” và cái giá của cả một quốc gia
Đức dựng lại “đạo quân mạnh nhất châu Âu”: Tham vọng của Merz và nỗi lo nghĩa vụ quân sự Thích Trí Quang: Từ “vì đạo pháp và dân tộc” đến 44 năm im lặng Khi Bắc Kinh dọa “chặt đầu” bà đầm thép Sanae Takaichi
Trump hô tội “phản loạn, xử tử hình” 6 dân biểu Dân Chủ: chính trường Mỹ trượt sát lằn ranh bạo lực Ukraine giữa gọng kìm: Kế hoạch hòa bình của Trump và bóng ma drone Rubicon trên bầu trời chiến tranh Kinh tế Mỹ “chạy hết ga, nhưng ghế trống”: Nỗi lo suy thoái không việc làm dưới thời Trump
Hai thẩm phán liên bang chặn lệnh Trump “bóp cổ” ngân sách cứu trợ thiên tai để ép bỏ DEI và hỗ trợ di trú Đêm lũ cuốn trôi Camp Mystic: từ bức vẽ ám ảnh của bé Lulu đến 27 sinh mạng nhỏ bị bỏ rơi Từ cái chết Pamela Genini đến bóng tối đè lên phụ nữ Ý dưới thời Giorgia Meloni
Bài học Liên Xô cho con đường dân chủ của người Việt Du khách Trung Cộng đăng ảnh thăm Hồ Lăng với cờ 5 sao, dắt chó 1 sao khiến Việt Cộng nổi điên Bức ảnh người Mỹ đấm thẳng mặt vào lũ 3 que, đu càng và sự thật được trả lại cho VNCH
5 cạm bẫy khiến Việt Kiều hạ cánh xuống phi trường là mất sạch tiền Hàng triệu người Việt tẩy chay Zalo vì app này làm điều khó chấp nhận Ông Trump lại chết vì người đẹp salon
Hỗn loạn tại Trung Cộng vì một lý do không thể tin nổi Hàng triệu Việt Kiều nguy cơ bị hốt ví ngay khi vừa đặt chân xuống Việt Nam Việt Cộng xây sân vận động to ở Hưng Yên để làm cái gì?
“Siêu đẹp” bí mật trong Himalaya: Dân Việt Nam sẽ chết không còn chỗ chôn? Ngoại trưởng trẻ nhất Trung Quốc và cú rơi không lời giải: Thăng như tên lửa, mất tích như bóng ma Hơn trăm người nhập viện bị ngộ độc, không biết là vì lý do gì, hoá ra là ....
“Bóp nghẹt không tiếng súng”: Việt Nam đang thua vì Trung Quốc quá mạnh, hay vì ta tự làm mình yếu? 10 khác biệt “đinh” giữa người Mỹ & người Việt Cộng: đọc thì cười, ngẫm lại… chạnh lòng “Mùa đỏ” của Cộng Sản bị loại khỏi giải Oscar
Thanh niên Việt mới sang Mỹ 9 tháng và một câu hỏi nhói lòng: “Bám trụ hay quay về?” Sony rút khỏi Huệ Châu, TQ, 30.000 người mất việc: khi “đèn nhà máy tắt” kéo cả một thành phố chao đảo Thảm sát Bondi Beach: hai cha con bị nghi theo ISIS, chuyến đi Mindanao và câu hỏi nhức nhối về “lỗ hổng” an ninh Úc
Hà Nội đang rất mệt – nhưng tôi vẫn không đành rời đi Chuyện giang hồ Á Châu và những cú sốc văn hoá Người Đàn Bà Gánh Sứ Mệnh Đến Hơi Thở Cuối Cùng
Putin Sụp Kiểu Liên Xô Hay Chỉ Là Giấc Mơ Của Phương Tây? “Con kiến kiện củ khoai”: Dân Phú Yên có thật sự kiện được thủy điện xả lũ? Trump Đánh Thuế, Chuỗi Cung Ứng Đại Di Cư: Việt Nam Đang Lên Đời Hay Chỉ Là Trạm Trung Chuyển Rẻ Tiền?
VIỆT NAM SẮP HÓNG HAY ĐANG ẢO GIÁC TẬP THỂ? Macron dọa đánh thuế hàng Trung Quốc: Châu Âu giật mình trước thâm hụt 300 tỷ euro Chiến lược An ninh Quốc gia mới của Trump: Khi ‘Nước Mỹ trên hết’ hóa thành bản tuyên ngôn cá nhân

 
Lên đầu Xuống dưới Lên 3000px Xuống 3000px

iPad Videos Portal Autoscroll

VietBF Music Portal Autoscroll

iPad News Portal Autoscroll

VietBF Homepage Autoscroll

VietBF Video Autoscroll Portal

USA News Autoscroll Portall

VietBF WORLD Autoscroll Portal

Home Classic

Super Widescreen

iPad World Portal Autoscroll

iPad USA Portal Autoscroll

Phim Bộ Online

Tin nóng nhất 24h qua

Tin nóng nhất 3 ngày qua

Tin nóng nhất 7 ngày qua

Tin nóng nhất 30 ngày qua

Albums

Total Videos Online
Lên đầu Xuống dưới Lên 3000px Xuống 3000px

Tranh luận sôi nổi nhất 7 ngày qua

Tranh luận sôi nổi nhất 14 ngày qua

Tranh luận sôi nổi nhất 30 ngày qua

10.000 Tin mới nhất

Tin tức Hoa Kỳ

Tin tức Công nghệ
Lên đầu Xuống dưới Lên 3000px Xuống 3000px

Super News

School Cooking Traveling Portal

Enter Portal

Series Shows and Movies Online

Home Classic Master Page

Donation Ủng hộ $3 cho VietBF
Lên đầu Xuống dưới Lên 3000px Xuống 3000px
Diễn Đàn Người Việt Hải Ngoại. Tự do ngôn luận, an toàn và uy tín. Vì một tương lai tươi đẹp cho các thế hệ Việt Nam hãy ghé thăm chúng tôi, hãy tâm sự với chúng tôi mỗi ngày, mỗi giờ và mỗi giây phút có thể. VietBF.Com Xin cám ơn các bạn, chúc tất cả các bạn vui vẻ và gặp nhiều may mắn.
Welcome to Vietnamese American Community, Vietnamese European, Canadian, Australian Forum, Vietnamese Overseas Forum. Freedom of speech, safety and prestige. For a beautiful future for Vietnamese generations, please visit us, talk to us every day, every hour and every moment possible. VietBF.Com Thank you all and good luck.

Lên đầu Xuống dưới Lên 3000px Xuống 3000px

All times are GMT. The time now is 06:46.
VietBF - Vietnamese Best Forum Copyright ©2005 - 2026
User Alert System provided by Advanced User Tagging (Pro) - vBulletin Mods & Addons Copyright © 2026 DragonByte Technologies Ltd.
Log Out Unregistered

Page generated in 0.11964 seconds with 15 queries