HOME-Au
HOME-Au
24h
24h
USA
USA
GOP
GOP
Phim Bộ
Phim Bộ
Videoauto
VIDEO-Au
Home Classic
Home Classic
Donation
Donation
News Book
News Book
News 50
News 50
worldautoscroll
WORLD-Au
Breaking
Breaking
 

Go Back   VietBF > Other News|Tin Khác > School | Kiến thức > School | Kiến thức 2006-2019


 
 
Thread Tools
  #1  
Old  Default Viêm phổi vì đắp chăn lông vũ
Martin Taylor, 43 tuổi, người đàn ông Scotland được chẩn đoán mắc bệnh viêm phổi do sử dụng chăn lông vũ.

Trường hợp của Martin được báo cáo trên British Medical Journal ngày 18/11. Ban đầu, các biểu hiện của anh gồm có khó thở và choáng váng khi hoạt động. Hai tháng sau triệu chứng, anh gặp khó khăn khi đi lại và thường xuyên cảm thấy như sắp ngất đi.


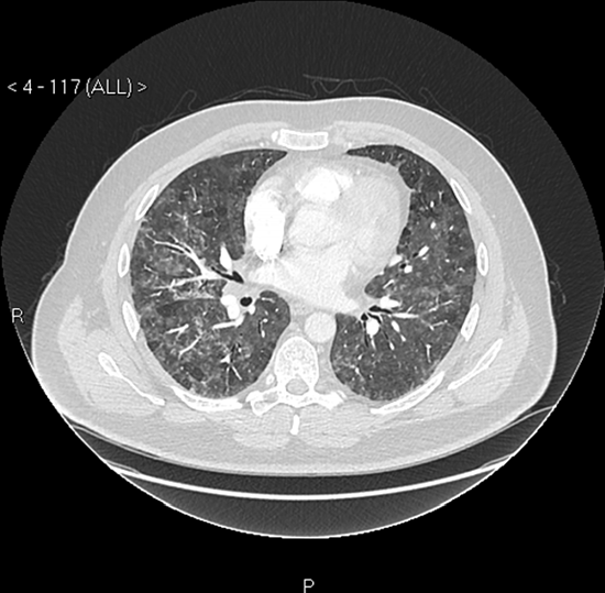
Kết quả chụp CT lồng ngực của Martin Taylor. Ảnh: BMJ

"Lên lầu để đi ngủ tốn những 30 phút, vì tôi phải ngồi nghỉ một lần giữa hai lượt cầu thang", anh cho biết. Sức khỏe không ổn định, anh phải nghỉ làm, dành phần lớn thời gian ở nhà chỉ để ngủ.

Ban đầu, bác sĩ không tìm ra nguyên nhân bệnh tình của anh sau 4 buổi thăm khám. Anh không có tiền sử hút thuốc và sử dụng ma túy. Martin được điều trị nhiễm trùng đường hô hấp trên, một căn bệnh thông thường. Sau ba tháng, sức khỏe của Martin không được cải thiện.

Tuy nhiên, sau khi phân tích công thức máu của anh, bác sĩ Owen John Dempsey, chuyên khoa Lồng ngực tại Bệnh viện BMI Albyn ở Aberdeen, Scotland nhận ra, căn bệnh bắt nguồn từ việc sử dụng chăn lông vũ. Hệ thống miễn dịch của anh có dấu hiệu tiếp xúc với các protein từ gia cầm. Martin được chẩn đoán mắc viêm phổi quá mẫn, hậu quả của hen suyễn dị ứng. Nếu phát hiện sớm, bệnh dễ điều trị. Tuy nhiên không được chẩn đóan kịp thời, bệnh có thể dẫn đến xơ phổi vĩnh viễn, thậm chí tử vong.

Hen suyễn dị ứng gia cầm không phải bệnh hiếm gặp. Các biểu hiện ban đầu gồm ho khan, khó thở, sổ mũi và kích ứng mắt, thường bộc phát khi người bệnh tiếp xúc với gia cầm, lồng chim, chuồng gà chưa được dọn sạch. Martin là trường hợp biến chứng nghiêm trọng của hen suyễn dị ứng.

Một nghiên cứu công bố vào năm 2012 cũng cho thấy, sử dụng chăn gối lông vũ nhân tạo có thể khiến bệnh hen suyễn trở nặng. Các nhà khoa học phát hiện, chăn lông vũ nhân tạo có chứa chứa nấm liên quan tới hợp chất đường liên phân tử β glucan cao hơn từ 2 đến 3 lần. β glucan là một chất gây ra phản ứng viêm và thay đổi chức năng ở phổi.

VietBF © sưu tầm
Dịch trang: EnglishEnglish DeutschDeutsch FrançaisFrançais EspañolEspañol ItalianoItaliano PortuguêsPortuguês
NorskNorsk NederlandsNederlands DanskDansk SuomiSuomi PolskiPolski ČeštinaČeština РусскийРусский
日本語日本語 한국어한국어 中文(简体)中文(简体) 中文(繁體)中文(繁體) MagyarMagyar TürkçeTürkçe
العربيةالعربية ไทยไทย LatinaLatina हिन्दीहिन्दी Bahasa IndonesiaBahasa Indonesia Bahasa MelayuBahasa Melayu
VIETBF Diễn Đàn Hay Nhất Của Người Việt Nam

HOT NEWS 24h

HOT 3 Days

NEWS 3 Days

HOT 7 Days

NEWS 7 Days

HOME

Breaking News

VietOversea

World News

Business News

Car News

Computer News

Game News

USA News

Mobile News

Music News

Movies News

History

Thơ Ca

Sport News

Stranger Stories

Comedy Stories

Cooking Chat

Nice Pictures

Fashion

School

Travelling

Funny Videos

Canada Tin Hay

USA Tin Hay

VietBF Homepage Autoscroll

VietBF Video Autoscroll Portal

Home Classic

Home Classic Master Page

VietBF iPad Music Portal

Tin nóng nhất 50h qua

Phim Bộ Online

Phim Bộ
Dịch trang: English | Deutsch |
Français | Español | Italiano |
Português | Norsk | Nederlands |
Dansk | Suomi | Polski |
Čeština | Русский | 日本語 |
한국어 | 中文(简体) | 中文(繁體) |
Magyar | Türkçe | العربية |



therealrtz
R10 Vô Địch Thiên Hạ
Release: 11-20-2019
Reputation: 234544


Profile:
Join Date: Nov 2014
Posts: 91,863
Last Update: None Rating: None
Attached Thumbnails
Click image for larger version

Name:	35.png
Views:	0
Size:	167.3 KB
ID:	1487096  
therealrtz_is_offline
Thanks: 28
Thanked 6,752 Times in 6,019 Posts
Mentioned: 4 Post(s)
Tagged: 0 Thread(s)
Quoted: 34 Post(s)
Rep Power: 114
therealrtz Reputation Uy Tín Level 10therealrtz Reputation Uy Tín Level 10therealrtz Reputation Uy Tín Level 10therealrtz Reputation Uy Tín Level 10therealrtz Reputation Uy Tín Level 10therealrtz Reputation Uy Tín Level 10therealrtz Reputation Uy Tín Level 10
therealrtz Reputation Uy Tín Level 10therealrtz Reputation Uy Tín Level 10therealrtz Reputation Uy Tín Level 10therealrtz Reputation Uy Tín Level 10therealrtz Reputation Uy Tín Level 10therealrtz Reputation Uy Tín Level 10therealrtz Reputation Uy Tín Level 10therealrtz Reputation Uy Tín Level 10therealrtz Reputation Uy Tín Level 10therealrtz Reputation Uy Tín Level 10therealrtz Reputation Uy Tín Level 10therealrtz Reputation Uy Tín Level 10therealrtz Reputation Uy Tín Level 10therealrtz Reputation Uy Tín Level 10therealrtz Reputation Uy Tín Level 10therealrtz Reputation Uy Tín Level 10therealrtz Reputation Uy Tín Level 10therealrtz Reputation Uy Tín Level 10
Dịch trang: EnglishEnglish DeutschDeutsch FrançaisFrançais EspañolEspañol ItalianoItaliano PortuguêsPortuguês
NorskNorsk NederlandsNederlands DanskDansk SuomiSuomi PolskiPolski ČeštinaČeština РусскийРусский
日本語日本語 한국어한국어 中文(简体)中文(简体) 中文(繁體)中文(繁體) MagyarMagyar TürkçeTürkçe
العربيةالعربية ไทยไทย LatinaLatina हिन्दीहिन्दी Bahasa IndonesiaBahasa Indonesia Bahasa MelayuBahasa Melayu
 
User Tag List


Grok bị tố tạo ảnh khiêu dâm không đồng thuận, thậm chí dính trẻ vị thành niên Trump muốn Mỹ bán dầu Venezuela: Nhưng ai sẽ mua khi Trung Quốc đã “cai nghiện” xăng? Kremlin im lặng sau cú bắt Maduro: Nga lên án rầm rộ, nhưng Putin chưa nói một lời
Minneapolis bùng nổ biểu tình: Đội đặc nhiệm Biên phòng lập hàng rào trước tòa nhà liên bang, trường học đóng cửa Ít nhất 100 đặc công của Cuba+Venezuela chết trong vụ Mỹ bắt sống Maduro Quá khủng khiếp, ICE bắn chết phụ nữ Mỹ da trắng : Dư luận Mỹ dậy sóng sau vụ ICE nổ súng ở Minneapolis
Ác mộng kinh hoàng của Việt Kiều ngồi trên máy bay Việt Cộng trên đường về quê ăn tết Ngân sách quốc phòng 1.5 ngàn tỷ: “Dream Military” của Trump và cú xoay trục dầu Venezuela, chiếm Greenland Greenland nóng hơn băng: EU lên tiếng, Rubio hẹn gặp Đan Mạch, nội bộ Mỹ tranh cãi dữ dội
Cùng là đồ Tàu mang về, nhưng Anh – Mỹ như hai thế giới Vì sao ở Việt Nam trộm cắp – cướp giật như cơm bữa? Câu trả lời nằm ở “đầu ra” Một cuộc dọn nhà ở Tokyo, và thông điệp lạnh gáy gửi ra eo biển Đài Loan
Đổi đô “chợ đen” ở Việt Nam: Từ 9/2/2026 có thể bị phạt nặng và tịch thu Sau “Justice Mission 2025”, Đài Loan tuyên bố quyết tâm tự vệ trước sức ép Bắc Kinh Đêm giao thừa rực lửa ở Amsterdam: nhà thờ Vondelkerk thế kỷ 19 bị thiêu rụi
Hơn 3.000 người chờ trong rét: “Về đây bốn cánh chim trời” và cú rơi từ sân khấu xuống… hồ sơ hình sự Một chiếc ghế, một vụ BMW và câu hỏi về công lý Băng trộm “hải sản” tung hoành New England: 40.000 con hàu biến mất, tôm hùm 400.000 đô bị cuỗm trong phi vụ giả mạo xe tải
Thắng Pháp, thắng Mỹ, thắng Tàu... trừ cái hộ chiếu: Việt Nam đứng sau Campuchia, cười ra nước mắt! Vì sao Campuchia cô độc khi khủng hoảng nổ ra: “Bạn bè” không tự nhiên mà có Làn sóng “America First” quét qua Bộ Ngoại Giao: Đại sứ Marc Knapper rời Việt Nam từ tháng Giêng
Vợ của nhạc sĩ, đại tá VNCH Nguyễn Văn Đông qua đời Việt kiều Mỹ mất nhà 100 tỷ 10A Cửu Long tại Sài Gòn vì nhờ bạn đứng tên Tô Lâm đưa 20.000 cảnh sát cơ động khống chế Hà Nội, vô hiệu hoá chủ tịch nước Lương Cường và thủ tướng Phạm Minh Chính
Sân bay Long Thành của Việt Nam hoá ra là 'hàng Trung Quốc' Vụ “UPS giả” vào nhà giết cả gia đình: tin cũ gần 2 năm vẫn hâm nóng cộng đồng người Việt Qua được Mỹ rồi, xin đừng “qua cầu rút ván”
Xả súng kinh hoàng tại Mỹ: Thảm Kịch Tại Brown University - Cơn Ác Mộng Giáng Sinh Và Nỗi Đau Chưa Từng Có Của Một Trường Ivy League Melissa Trần – Tâm thư từ Việt Nam của cô chủ tiệm nail bị trục xuất Úc: Khủng bố xả súng bắn vào cư dân Israel tại bải biển, giết chết 11 người và hàng chục người khác bị thương
Bác sĩ Mũ Đỏ Phạm Gia Cổn: Từ chiến trường Tam Biên đến Khí Công Hoàng Hạc Xả súng ở bãi biển Úc, ít nhất 11 người chết Người Việt tại Đức xuống đường tố cáo bàn tay đàn áp xuyên quốc gia của CSVN
Giữa Tô Lâm và Phan Văn Giang: Cuộc cờ quyền lực, lợi ích nhóm và thân phận 100 triệu dân Target “chơi lớn” ở SoHo: Cửa hàng kiểu mẫu để giành lại hào quang “Tar-zhay” Mỹ bất ngờ thu hẹp thâm hụt thương mại: vàng, thuế quan và những mặt trái sau các con số đẹp
Bài học Nokia giữa mùa đông Phần Lan: Thua từ bên trong trước khi thua thị trường Liuzhi – Bóng tối mới phủ xuống giới doanh nhân Trung Quốc 5 tiểu bang vàng cho nghề nail – hair – spa của người Việt tại Mỹ
Phố Tây Bùi Viện náo nhiệt và bóng dáng nhà canh tân cuối thế kỷ XIX Từ mafia thuốc lá đến tú bà Chemnitz: Vết nhơ kéo dài của một bộ phận người Việt Đông Đức Khi xe Trung Quốc viết lại trật tự ngành ô tô thế giới
Dự luật ‘một quốc tịch Mỹ’: ồn ào trên mặt báo, nhưng rất khó thành hiện thực Netflix nuốt chửng Warner Bros: Địa chấn 72 tỷ đô làm rung chuyển Hollywood Apple rung chuyển: Lãnh đạo lần lượt ra đi, Tim Cook trước cơn bão AI
Kế hoạch y tế mới của Trump: Chưa kịp ra mắt đã vỡ trận ngay trong nội bộ Cộng Hòa Cuộc trả thù chính trị của Trump: Từ vụ Comey, Letitia James đến đòn nhắm vào Mark Kelly Cơn say trên mây: Ai chịu trách nhiệm về hành khách nhậu nhẹt trên máy bay?
Giáng Sinh thắt lưng buộc bụng mà vẫn đủ ấm và đủ vui Mùa mua sắm Giáng Sinh 2025: Kinh tế chữ K và ảo giác “chi tiêu vẫn tăng” DOGE – thí nghiệm quyền lực thất bại của Trump và Musk
Ukraine, Trump và bản hòa ước mong manh giữa tiếng drone gầm rú Dũng Taylor: Căng thẳng đỉnh điểm giữa người Việt MAGA và người Việt Dân Chủ Hùng Cao về thăm Việt Nam: Từ đứa bé tị nạn đến kiến trúc sư an ninh Thái Bình Dương
“Ngày Tri Ân Trump” ở Little Saigon: khi tượng đài chiến sĩ bị biến thành sân khấu chính trị “Giải thưởng Neville Chamberlain” cho Trump và bản thỏa thuận 28 điểm bẩn thỉu Biển lửa Hồng Kông: giàn giáo tre bốc cháy, chung cư Tai Po hóa địa ngục giữa trời
Từ iPod đến “Delete Day”: Hành trình Gabriela Nguyễn thoát khỏi cơn nghiện mạng xã hội “Cha già dân tộc” đã khép lại: khi thần tượng chính trị bị kéo xuống mặt đất DOGE đã chết: “cải cách” 135 tỷ đô la đốt sạch tiền thuế của người Mỹ
VinFast VF 8 ở Mỹ: từ cáo buộc “sạc rùa bò” đến nguy cơ mất lái và lệnh triệu hồi hàng loạt Trump, Putin và ván cờ hòa bình Ukraine: khi “hạn chót” chỉ còn là lời nói gió bay 1.000 tỷ USD bốc hơi: Bitcoin bước vào thời kỳ ‘dành cho người thường’ và cơn say tiền số tan vỡ
“Ác mộng trước Giáng Sinh”: bài diễn văn u ám của Trump và cuộc chiến với thực tế đời sống Mỹ bước vào đợt thắt chặt nhập cư mới Châu Âu vay tiền cứu Ukraine, không đụng tài sản Nga bị phong tỏa: vì sao?
Facebook chuẩn bị thu phí tài khoản, chia sẻ link bài có nguy cơ bị khóa từ 2026 Rơi máy bay tại Mỹ, 7 người đã thiệt mạng Hơn 12.000 người gốc Việt đến Mỹ trước 1995 cầm chắc vé trục xuất về Việt Nam?
Ông Trump có thể ra lệnh cấm công dân VN nhập cảnh Mỹ với những nguyên nhân rất giống Lào Sau Lào, ông Trump muốn cấm công dân Việt Nam nhập cảnh nước Mỹ? Úc: Giới chức an ninh đã ngăn chặn kịp thời âm mưu khủng bố mới ở bãi biển Bondi
Úc cấm thiếu niên dưới 16 tuổi dùng Facebook vì quá độc hại, Mỹ có lẽ tiếp bước? Cái chết bí ẩn của Tulku Hungkar Dorje tại Sài Gòn: Bàn tay Bắc Kinh và sự im lặng của Hà Nội Thương Tín qua đời : Đám Tang Lặng Lẽ Ở Phan Rang Và Hào Quang Vang Bóng
85.000 tấm visa bị xé bỏ: chân dung nước Mỹ thời truy bức di dân 48 Giờ Cùm Tay Trên Bầu Trời: Số Phận Bà Melissa Trần Và Bóng Đen Luật Di Trú Mỹ Từ Tử Thủ Đến Công Chức Xứ Người – Đời Lưu Vong Của Trung Tướng Ngô Quang Trưởng
Mùa Noel “Ông Già Định Ở Lại” – Góc Đời Riêng Của Vợ Chồng Tổng Thống Nguyễn Văn Thiệu Trump, Obamacare và bài trắc nghiệm đạo đức mang tên “Make America Great Again” Từ giọt nước sông Rio Grande đến bóng ma sụp đổ USMCA
Lá Cờ Vàng – Giấc Mơ Nhỏ Và Vận Mệnh Lớn Của Dân Tộc Những trùng hợp rợn người trong lịch sử nhân loại Những bí mật bên trong xác ướp Ba Đình
Dân kinh doanh trả giá đắt vì chính sách thuế của Cộng Sản Trăm năm bia đá cũng mòn, bia hám danh thì còn mãi Sài Gòn ‘bỏ phố’: Mặt bằng trăm triệu, đèn tắt và kỷ nguyên thu mình của người kinh doanh
Costco kiện thuế quan: Cú tát 2.000 USD vào lời hứa ‘năm sau’ của ông Trump 401k – IRA – IUL: Ba cái ‘hũ để dành’ ở Mỹ, xài trật là mất toi tuổi già Chi bộn tiền làm đẹp, giờ ôm rổ mỹ phẩm mà run: Nỗi hoang mang của khách Mailisa sau ngày thẩm mỹ viện tắt đèn
Cột điện gỗ Mỹ để: Nửa thế kỷ vẫn đứng vững ở miền Nam Việt Nam Việt Nam sau 50 năm: Quyền được tự hào và nghĩa vụ… tự chịu đựng Thất thủ trước mưa lũ: Khi bộ máy cứu nạn chỉ còn là những công điện trên giấy
Từ quán phở tị nạn đến tiệm ăn làn sóng mới Hai cái bắt tay lịch sử Nixon – Thiệu và bi kịch một đồng minh bị bỏ rơi Lũ đã dâng tới nóc nhà rồi, lệnh cứu hộ mới ký: 24 giờ vàng bị đánh cắp bởi hai chữ “chờ lệnh”
Việt Nam dưới chế độ cộng sản: Có thật đáng để tự hào? Từ thuyền nhân Việt Nam đến công tố viên hạ gục “Kẻ sát nhân Golden State” Mỹ chính thức “khai tử” đồng penny: Chia tay 1 cent sau 232 năm lặng lẽ trong túi áo người dân

 
Lên đầu Xuống dưới Lên 3000px Xuống 3000px

iPad Videos Portal Autoscroll

VietBF Music Portal Autoscroll

iPad News Portal Autoscroll

VietBF Homepage Autoscroll

VietBF Video Autoscroll Portal

USA News Autoscroll Portall

VietBF WORLD Autoscroll Portal

Home Classic

Super Widescreen

iPad World Portal Autoscroll

iPad USA Portal Autoscroll

Phim Bộ Online

Tin nóng nhất 24h qua

Tin nóng nhất 3 ngày qua

Tin nóng nhất 7 ngày qua

Tin nóng nhất 30 ngày qua

Albums

Total Videos Online
Lên đầu Xuống dưới Lên 3000px Xuống 3000px

Tranh luận sôi nổi nhất 7 ngày qua

Tranh luận sôi nổi nhất 14 ngày qua

Tranh luận sôi nổi nhất 30 ngày qua

10.000 Tin mới nhất

Tin tức Hoa Kỳ

Tin tức Công nghệ
Lên đầu Xuống dưới Lên 3000px Xuống 3000px

Super News

School Cooking Traveling Portal

Enter Portal

Series Shows and Movies Online

Home Classic Master Page

Donation Ủng hộ $3 cho VietBF
Lên đầu Xuống dưới Lên 3000px Xuống 3000px
Diễn Đàn Người Việt Hải Ngoại. Tự do ngôn luận, an toàn và uy tín. Vì một tương lai tươi đẹp cho các thế hệ Việt Nam hãy ghé thăm chúng tôi, hãy tâm sự với chúng tôi mỗi ngày, mỗi giờ và mỗi giây phút có thể. VietBF.Com Xin cám ơn các bạn, chúc tất cả các bạn vui vẻ và gặp nhiều may mắn.
Welcome to Vietnamese American Community, Vietnamese European, Canadian, Australian Forum, Vietnamese Overseas Forum. Freedom of speech, safety and prestige. For a beautiful future for Vietnamese generations, please visit us, talk to us every day, every hour and every moment possible. VietBF.Com Thank you all and good luck.

Lên đầu Xuống dưới Lên 3000px Xuống 3000px

All times are GMT. The time now is 03:10.
VietBF - Vietnamese Best Forum Copyright ©2005 - 2026
User Alert System provided by Advanced User Tagging (Pro) - vBulletin Mods & Addons Copyright © 2026 DragonByte Technologies Ltd.
Log Out Unregistered

Page generated in 0.10987 seconds with 15 queries