Những triệu chứng thông thường của tuổi già khiến nhiều bác sĩ chủ quan. Họ không nghĩ rằng có chuyện gì đó đã xảy ra. Sau khi xem hình ảnh chụp CT, họ tá hỏa ra trong não người đàn ông bị rỗng.
Trong ca bệnh hi hữu mới được báo cáo trên tạp chí Medical BMJ Case Reports: Một người đàn ông 84 tuổi tới phòng cấp cứu với những triệu chứng mà các bác sĩ cho rằng hết sức bình thường ở độ tuổi của ông.
Ông nói rằng mình đi đứng không vững từ mấy tháng nay và liên tục ngã trong vài tuần gần đây. Lý do để ông đến bệnh viện là trong 3 ngày vừa rồi, tay trái và chân trái của ông đã yếu đi đáng kể.
Các bác sĩ không tìm ra được một tác nhân nào trong tiền sử bệnh của ông: không hút thuốc, ít khi uống rượu và mọi xét nghiệm máu vẫn bình thường.
"Không bị lẫn, không suy nhược khuôn mặt, rối loạn ngôn ngữ hoặc thị giác", các bác sĩ viết trong bản tóm tắt trường hợp của người đàn ông này. "Ông ấy hoàn toàn khỏe mạnh, tự làm được các sinh hoạt thể chất hàng ngày... sống tại nhà cùng vợ và hai con trai".
Nói cách khác, họ nghĩ không có bất cứ thứ gì rõ ràng có thể giải thích cho các triệu chứng của người đàn ông 84 tuổi này. Theo một cách nào đó, chẩn đoán này không hề sai.
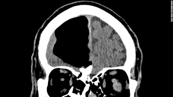
Chỉ sau khi bệnh nhân được đưa đi chụp cắt lớp vi tính (CT) và cộng hưởng từ (MRI), đội ngũ bác sĩ mới phát hiện tình trạng đáng báo động: Đầu của người đàn ông này bị rỗng một lỗ ở vị trí bên phải, nơi mà lẽ ra ở đó nên có nhiều thùy não đang tồn tại.

Ảnh chụp não của người đàn ông bị bệnh khí nội sọ
Finlay Brown là một bác sĩ đang làm việc tại khoa cấp cứu tại Bệnh viện Causeway, Coleraine, Bắc Ailen vào thời điểm đó. Anh nhớ lại mình và các nhân viên khác đã xúm vào xem quá trình quét não cho bệnh nhân này.
"Chúng tôi rất bối rối bởi những hình ảnh chúng tôi đã thấy!", bác sĩ Brown chia sẻ. Ảnh chụp não quá khủng khiếp, các bác sĩ tự hỏi liệu người đàn ông này đã quên không nói về các cuộc phẫu thuật não của mình trước đây hay những thứ đại loại như dị tật bẩm sinh.
Nhưng không hề, ông nói rằng mình sống bình thường từ bé và chưa hề phẫu thuật não trước đây.
Thực tế, bác sĩ Brown cho biết người đàn ông bị bệnh khí nội sọ (pneumocephalus), nó thường là một tác dụng phụ của "gần 100% trường hợp hậu phẫu thuật não". Nó cũng có thể xảy ra sau khi ai đó bị nhiễm trùng xoang, chấn thương đầu hoặc mặt.
Nhưng ngay cả những bệnh nhân bị khí nội sọ, khoảng trống trong đầu họ thường nhỏ hơn rất nhiều. Theo báo cáo trên tạp chí BMJ Case Reports, người đàn ông 84 tuổi có một khoang khí dài tới gần 9cm trong hộp sọ.
"Xem xét lại tất cả các nghiên cứu của tôi để viết báo cáo cho trường hợp này, tôi không thể tìm thấy nhiều trường hợp có tài liệu và tính chất tương tự", bác sĩ Brown nói.
Nguyên nhân gây khí nội sọ là một khối u xương osteoma lành tính, từng hình thành trong xoang người đàn ông này và đã bị đào thải dần qua đáy hộp sọ, theo bác sĩ Brown. Sự hình thành và vị trí của khối u đã cho phép tạo ra "hiệu ứng van một chiều", góp phần tạo ra không gian rỗng trong khoang sọ của bệnh nhân.
"Có vẻ như tình trạng này đã tiến triển một cách hăng hái trong nhiều tháng cho đến nhiều năm", bác sĩ Brown nói. "Mỗi lần bệnh nhân ngửi/hắt hơi/ho, rất có thể ông đã đẩy một lượng nhỏ không khí vào đầu mình".
Theo nghiên cứu trên BMJ Case Reports, khoang không khí nội sọ cũng có thể là "nguyên nhân hiếm gặp" của một cơn đột quỵ nhỏ mà người đàn ông từng gặp phải. Điều này có thể dẫn tới tình trạng suy yếu chức năng cơ bắp bên trái, và các triệu chứng khác khiến ông nhập viện.

Vùng đầu bên phải của người đàn ông 84 tuổi có một khoang khí nội sọ
Bác sĩ Brown cho biết bệnh nhân có thể lựa chọn phẫu thuật. Điều này có thể giải quyết túi khí nén trong đầu ông và cả phần còn lại của khối u ban đầu.
Tuy nhiên, người đàn ông đã từ chối vì tuổi tác của mình và các yếu tố sức khỏe khác. Ông được cấp thuốc để ngăn ngừa những cơn đột quỵ trong tương lai, và về nhà theo dõi xem tình trạng suy yếu của ông có xấu đi hay không.
Việc giữ không phẫu thuật sẽ để lại một số rủi ro: Ông sẽ có nguy cơ nhiễm trùng cao hơn, vì vẫn có một con đường dẫn không khí - và do đó vi khuẩn và virus có thể vào khoang não của ông, bác sĩ Brown nói. Tiên lượng là không thể dự đoán được.
"Thật không may, vì không có nhiều trường hợp được công bố, thật khó để biết chính xác [điều gì có thể xảy ra với ông ấy]", bác sĩ Brown cho biết.
Tuy nhiên, cho đến nay, người đàn ông này có vẻ như vẫn đang sinh hoạt tốt, mặc sự tồn tại của khoang khí nội sọ. Trong một cuộc hẹn sau 12 tuần, bệnh nhân đã không còn cảm thấy suy nhược cơ thể bên trái và "vẫn khỏe mạnh", báo cáo nghiên cứu ghi rõ.
Bác sĩ Brown cho biết rằng ông muốn xuất bản nghiên cứu này để nhấn mạnh "tầm quan trọng của việc điều tra kỹ lưỡng những triệu chứng phổ biến nhất". Bởi sự suy nhược và mất cân bằng thường dễ bị các bác sĩ bỏ qua, khi bệnh nhân của họ trên 80 tuổi.
VietBF © Sưu Tầm