HOME-Au
HOME-Au
24h
24h
USA
USA
GOP
GOP
Phim Bộ
Phim Bộ
Videoauto
VIDEO-Au
Donation
Donation
News Book
News Book
News 50
News 50
worldautoscroll
WORLD-Au
Breaking
Breaking
 

Go Back   VietBF > Other > School | Kiến thức > School | Kiến thức 2006-2019


 
Thread Tools
 
 
  #1  
Old  Lightbulb Tìm ra phương thuốc trị ung thư hiệu quả nhất
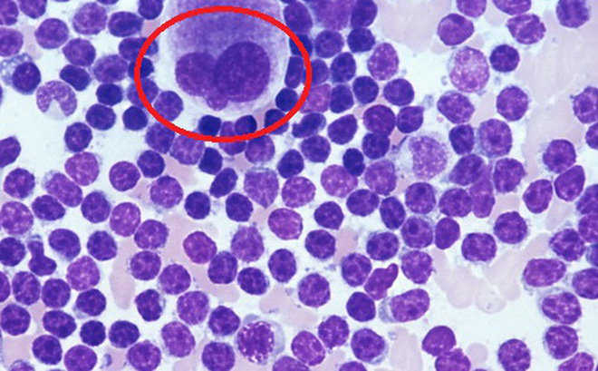
Một chuyên gia đầu ngành y dược gốc Việt đã xác nhận thông tin này. Theo đó, một phương thuốc thần kỳ có thể làm tan chảy tế bào ung thư cũng như khối u. Các bệnh nhân ung thư bạch cầu đã có hy vọng trong một tương lai không xa.

Ngày 04/11/2016, cơ quan quản lý thuốc và thực phẩm Mỹ đã cấp phép cho sản phẩm Venetoclax® dùng để điều trị bệnh ung thư bạch cầu mạn tính (lexemi kinh dòng lympho).
Mặc dù thuốc đang trong giai đoạn thử nghiệm lâm sàng pha 2, 3 nhưng do kết quả thử nghiệm pha 2 quá hiệu quả, FDA đã quyết định cấp phép điều trị cho sản phẩm rất nhanh.
Việc cấp phép điều trị nhanh chóng cho loại thuốc này dựa trên cơ sở thuốc có tác dụng rất hiệu quả trên bệnh nhân lexemi kinh dòng lympho với đột biến mất một phần nhiễm sắc thể số 17 (đoạn 17p) trong các tế bào ung thư.
Đoạn nhiễm sắc thể này có chứa gen TP53 là gen có vai trò sản xuất ra protein TP53 có tác dụng ức chế sự phát triển của khối u.
Có khoảng 10% bệnh nhân mắc bệnh lexemi dòng lympho và 20% bệnh nhân có ung thư loại này tái phát có tế bào đột biến mất đoạn nhiễm sắc thể 17p.
Bệnh nhân mắc ung thư có mất đoạn nhiễm sắc thể 17p thường có tiên lượng rất xấu và thường chỉ sống được vài năm.

Đi kèm với thuốc điều trị cho bệnh nhân mắc ung thư loại này, công ty Abbot cũng phát triển bộ kit chẩn đoán xác định bệnh nhân bị lexemi kinh dòng lympho mất đoạn 17p. Bộ kit có tên là Vysis CLL FISH.

Venetoclax là niềm hy vọng cho bệnh nhân ung thư bạch cầu lympho.
Venetoclax là thuốc đầu tiên được cấp phép cho các thuốc điều trị ung thư nhằm vào đích tác dụng là các protein BCL2 ở tại tế bào ung thư.
BCL2 là một protein nằm trong chuỗi protein tín hiệu p53 có vai trò điều hòa quá trình chết theo chương trình của tế bào.

Ở bệnh nhân mắc bệnh lexemi kinh dòng lympho, BCL2 đều tăng một cách đáng kể và nhờ vậy tế bào ung thư tăng khả năng sống sót và kháng lại với các biện pháp hóa trị liệu.


Venetoclax nhằm vào đích tác dụng là các protein BCL2 ở tại tế bào ung thư.

Tác động vào BCL2 làm mất khả năng sống sót của tế bào ung thư, nhờ vậy làm cho tế bào khối u bị chết và khối u teo đi (làm tan khối u).

Trong một nghiên cứu trên 116 bệnh nhân mắc bệnh lexemi kinh dòng lympho đã được điều trị với một hoặc nhiều biện pháp trước đó, người ta sử dụng Venetoclax với liều tăng dần.

80% số bệnh nhân có đáp ứng với thuốc điều trị và 85% số bệnh nhân đáp ứng với điều trị duy trì được tác dụng của thuốc nhiều hơn 1 năm.
Đặc biệt thuốc có tác dụng tốt với các bệnh nhân có tiên lượng xấu, kể cả những bệnh nhân không có đáp ứng với hóa trị liệu fludarabine.

Tác dụng phụ gây nguy hiểm của thuốc chính là hội chứng ly giải khối u (tế bào khối u chết nhanh và nhiều giải phóng vào máu các chất độc gây suy các nội tạng như tim, gan, thận và tử vong).

Hội chứng này xảy ra ở 3 trong số 56 bệnh nhân được sử dụng thuốc và 1 trong số họ đã không qua khỏi.

Vì vậy, liều lượng thuốc trong nghiên cứu đã phải thay đổi bằng cách sử dụng liều thấp rồi tăng dần cho bệnh nhân để làm giảm nguy cơ gây ra hội chứng ly giải khối u.

Các tác dụng phụ hay gặp là tiêu chảy, nhiễm trùng đường hô hấp trên, buồn nôn và giảm bạch cầu.

Venetoclax đang tiếp tục được nghiên cứu điều trị trên bệnh nhân có các ung thư bạch cầu khác như ung thư lympho B, ung thư lympho dạng tuyến…

Sản phẩm Ventoclax hiện tại đã được sử dụng ở Mỹ, Canada, Úc và châu Âu. Thuốc dạng viên nén, hàm lượng 10, 50 và 100 mg.

Theo khuyến cáo của FDA, liều lượng trong tuần đầu tiên là liều 20 mg/ngày, tuần thứ 2 là 50 mg/ngày, tuần thứ 3là 100 mg/ngày, tuần thứ 4 là 200 mg/ngày. Từ tuần thứ 5 trở đi có thể dùng 400 mg/ngày.
Để biết thêm chi tiết về cách sử dụng thuốc, các bác sĩ có thể tham khảo các tài liệu dưới đây. Bệnh nhân không được tùy ý sử dụng thuốc khi chưa có chẩn đoán xác định loại ung thư và chỉ định cũng như hướng dẫn dùng thuốc của bác sĩ.

Còn tại Việt Nam, khó khăn hiện nay chính là việc xây dựng các labo chẩn đoán xác định ở mức phân tử các loại ung thư cũng như đào tạo nhân lực bao gồm các bác sĩ chẩn đoán gen, đội ngũ kỹ thuật viên phục vụ cho việc phân tích mẫu và chẩn đoán xác định, phân loại khối u và sử dụng liệu pháp điều trị tại đích các tế bào ung thư.

Hy vọng rằng lãnh đạo các bệnh viện và Bộ Y tế có hướng đầu tư trọng điểm vào các labo chẩn đoán chuyên sâu về ung thư để áp dụng sớm thành tựu của khoa học thế giới vào công tác khám và chữa bệnh ung thư.
Dịch trang: EnglishEnglish DeutschDeutsch FrançaisFrançais EspañolEspañol ItalianoItaliano PortuguêsPortuguês
NorskNorsk NederlandsNederlands DanskDansk SuomiSuomi PolskiPolski ČeštinaČeština РусскийРусский
日本語日本語 한국어한국어 中文(简体)中文(简体) 中文(繁體)中文(繁體) MagyarMagyar TürkçeTürkçe
العربيةالعربية ไทยไทย LatinaLatina हिन्दीहिन्दी Bahasa IndonesiaBahasa Indonesia Bahasa MelayuBahasa Melayu
VIETBF Hybrid Community Content Hub

HOT NEWS 24h

HOT 3 Days

NEWS 3 Days

HOT 7 Days

NEWS 7 Days

HOME

Breaking News

VietOversea

World News

Business News

Car News

Computer News

Game News

USA News

Mobile News

Music News

Movies News

History

Thơ Ca

Sport News

Stranger Stories

Comedy Stories

Cooking Chat

Nice Pictures

Fashion

School

Travelling

Funny Videos

Canada Tin Hay

USA Tin Hay

VietBF Homepage Autoscroll

VietBF Video Autoscroll Portal

Video Classic Master

iPad News Portal

VietBF iPad Music Portal

Tin nóng nhất 50h qua

Phim Bộ Online

iMusic Pro Max



sunshine1104
R10 Vô Địch Thiên Hạ
Release: 01-16-2017
Reputation: 25202


Profile:
Join Date: Feb 2015
Posts: 80,830
Last Update: None Rating: None
Attached Thumbnails
Click image for larger version

Name:	1.jpg
Views:	0
Size:	127.2 KB
ID:	984557   Click image for larger version

Name:	11.jpg
Views:	0
Size:	86.7 KB
ID:	984558  
sunshine1104_is_offline
Thanks: 4
Thanked 4,057 Times in 3,573 Posts
Mentioned: 4 Post(s)
Tagged: 0 Thread(s)
Quoted: 22 Post(s)
Rep Power: 93
sunshine1104 Reputation Uy Tín Level 7sunshine1104 Reputation Uy Tín Level 7
sunshine1104 Reputation Uy Tín Level 7sunshine1104 Reputation Uy Tín Level 7sunshine1104 Reputation Uy Tín Level 7sunshine1104 Reputation Uy Tín Level 7sunshine1104 Reputation Uy Tín Level 7sunshine1104 Reputation Uy Tín Level 7sunshine1104 Reputation Uy Tín Level 7sunshine1104 Reputation Uy Tín Level 7sunshine1104 Reputation Uy Tín Level 7sunshine1104 Reputation Uy Tín Level 7sunshine1104 Reputation Uy Tín Level 7sunshine1104 Reputation Uy Tín Level 7sunshine1104 Reputation Uy Tín Level 7sunshine1104 Reputation Uy Tín Level 7sunshine1104 Reputation Uy Tín Level 7sunshine1104 Reputation Uy Tín Level 7sunshine1104 Reputation Uy Tín Level 7sunshine1104 Reputation Uy Tín Level 7sunshine1104 Reputation Uy Tín Level 7
Dịch trang: EnglishEnglish DeutschDeutsch FrançaisFrançais EspañolEspañol ItalianoItaliano PortuguêsPortuguês
NorskNorsk NederlandsNederlands DanskDansk SuomiSuomi PolskiPolski ČeštinaČeština РусскийРусский
日本語日本語 한국어한국어 中文(简体)中文(简体) 中文(繁體)中文(繁體) MagyarMagyar TürkçeTürkçe
العربيةالعربية ไทยไทย LatinaLatina हिन्दीहिन्दी Bahasa IndonesiaBahasa Indonesia Bahasa MelayuBahasa Melayu
Old 01-16-2017   #2
ogvn
R6 Đệ Nhất Cao Thủ
 
Join Date: Aug 2007
Posts: 2,372
Thanks: 3,279
Thanked 2,238 Times in 1,043 Posts
Mentioned: 3 Post(s)
Tagged: 0 Thread(s)
Quoted: 341 Post(s)
Rep Power: 21
ogvn Reputation Uy Tín Level 3ogvn Reputation Uy Tín Level 3ogvn Reputation Uy Tín Level 3ogvn Reputation Uy Tín Level 3ogvn Reputation Uy Tín Level 3ogvn Reputation Uy Tín Level 3ogvn Reputation Uy Tín Level 3ogvn Reputation Uy Tín Level 3ogvn Reputation Uy Tín Level 3ogvn Reputation Uy Tín Level 3ogvn Reputation Uy Tín Level 3
Default

Quote:
Hy vọng rằng lãnh đạo các bệnh viện và Bộ Y tế có hướng đầu tư trọng điểm vào các labo chẩn đoán chuyên sâu về ung thư
chờ mấy thằng lãnh đạo ngu đần có hướng đầu tư, chắc còn lâu à nhe.
ogvn_is_offline  
 
User Tag List



 

iPad Videos Portal Autoscroll

VietBF Music Portal Autoscroll

iPad News Portal Autoscroll

VietBF Homepage Autoscroll

VietBF Video Autoscroll Portal

USA News Autoscroll Portall

VietBF WORLD Autoscroll Portal

Video Classic Master Page

Super Widescreen

iPad World Portal Autoscroll

iPad USA Portal Autoscroll

Phim Bộ Online
Lên đầu Xuống dưới Lên 3000px Xuống 3000px

Tin nóng nhất 24h qua

Tin nóng nhất 3 ngày qua

Tin nóng nhất 7 ngày qua

Tin nóng nhất 30 ngày qua

Albums

Total Videos Online

Tranh luận sôi nổi nhất 7 ngày qua

Tranh luận sôi nổi nhất 14 ngày qua

Tranh luận sôi nổi nhất 30 ngày qua

10.000 Tin mới nhất

Tin tức Hoa Kỳ

Tin tức Công nghệ
Lên đầu Xuống dưới Lên 3000px Xuống 3000px

Duo Series Movies Portal

Duo Music Portal

Phim Bộ

Tỷ Giá

Thời Tiết

Tin Nóng Nhất 50h

Super News

School Cooking Traveling Portal

Enter Portal

Series Shows and Movies Online

Home Classic Master Page

Donation Ủng hộ $3 cho VietBF
Lên đầu Xuống dưới Lên 3000px Xuống 3000px
Diễn Đàn Người Việt Hải Ngoại. Tự do ngôn luận, an toàn và uy tín. Vì một tương lai tươi đẹp cho các thế hệ Việt Nam hãy ghé thăm chúng tôi, hãy tâm sự với chúng tôi mỗi ngày, mỗi giờ và mỗi giây phút có thể. VietBF.Com Xin cám ơn các bạn, chúc tất cả các bạn vui vẻ và gặp nhiều may mắn.
Welcome to Vietnamese American Community, Vietnamese European, Canadian, Australian Forum, Vietnamese Overseas Forum. Freedom of speech, safety and prestige. For a beautiful future for Vietnamese generations, please visit us, talk to us every day, every hour and every moment possible. VietBF.Com Thank you all and good luck.

Lên đầu Xuống dưới Lên 3000px Xuống 3000px

All times are GMT. The time now is 13:12.
VietBF - Vietnamese Best Forum Copyright ©2005 - 2026
User Alert System provided by Advanced User Tagging (Pro) - vBulletin Mods & Addons Copyright © 2026 DragonByte Technologies Ltd.
Log Out Unregistered

Page generated in 0.14284 seconds with 15 queries