HOME-Au
HOME-Au
24h
24h
USA
USA
GOP
GOP
Phim Bộ
Phim Bộ
Videoauto
VIDEO-Au
Donation
Donation
News Book
News Book
News 50
News 50
worldautoscroll
WORLD-Au
Breaking
Breaking
 

Go Back   VietBF > Other > School | Kiến thức > School | Kiến thức 2006-2019

 
Thread Tools
 
 
  #1  
Old  Default Những hàm răng bệnh mà bạn mắc phải cần lưu ý!
Những bệnh về răng miệng thật khó chịu lắm. Sau đây là những bệnh hay mắc phải mà người bệnh cũng cần hiểu thêm. Cùng vietbf.com khám phá thêm.

Ai cũng có nguy cơ mắc các bệnh liên quan đến răng như: sâu răng, viêm tủy răng, viêm nướu, viêm quanh răng …, Những cơn đau hay ê buốt bất ngờ khi nhai đồ cứng, uống nước lạnh hoặc nóng cũng có thể là triệu chứng của sâu răng.

Nếu không có sự can thiệp của nha sĩ, bệnh sẽ ảnh hưởng đến chức năng nhai và thẩm mỹ. Vì vậy chăm sóc xử trí như nào cho đúng là rất quan trọng.

1. Sâu răng



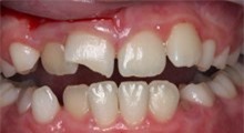
Răng sữa hay răng vĩnh viễn đều có thể bị sâu nếu không vệ sinh đúng cách. Sâu răng dễ nhận biết qua sự thay đổi màu sắc, lỗ hổng trên răng.
Sâu răng nhẹ không gây đau, sâu răng nặng hơn gây ê buốt hay đau thoáng qua, sâu răng nặng gây viêm tủy đau dữ dội.
Dự phòng bằng cách chải răng kĩ càng, dùng chỉ tơ nha khoa, nước súc miệng. Nguyên tắc điều trị: chú ý điều trị dự phòng cho trẻ em, điều trị càng sớm càng tốt tránh để biến chứng viêm tủy.

2. Viêm tủy răng



Do nhiều nguyên nhân, thường gặp do sâu răng nặng biến chứng vào tủy, răng chấn thương, mòn răng, nhiễm độc chì, thủy ngân, do viêm quanh răng…
Viêm tủy có nhiều dạng, có thể đau dữ dội, đau thoáng qua, hay không đau nhưng tiến triển âm ỉ và chỉ biểu hiện khi viêm cấp hay thấy sưng tấy vùng chân răng.
Nguyên tắc điều trị quan trọng nhất là làm sạch hết chiều dài ống tủy, hàn kín ống tủy, việc này đòi hỏi trang thiết bị đầy đủ, chụp x-quang kiểm tra kĩ càng. Có thể điều trị xong trong một lần hay nhiều lần.

3. Viêm nướu


Là dạng nhẹ của bệnh nha chu (viêm quanh răng), cao răng và mảng bám là nguyên nhân gây kích ứng, sưng nề, mẩn đỏ, chảy máu, hơi thở hôi, co nướu, thay đổi màu sắc...
Nguyên nhân: vệ sinh răng miệng kém, hút thuốc, bệnh tiểu đường, giảm miễn dịch, phản ứng với thuốc, thay dổi nội tiết tố(phụ nữ mang thai, trẻ em tuổi dậy thì, thuốc tránh thai…), khô miệng, làm răng giả sai quy cách.
Vệ sinh đúng cách (chải răng, chỉ tơ nha khoa, nước súc miệng) và lấy cao răng định kỳ sẽ ngăn ngừa hiệu quả viêm nướu.

4. Bệnh viêm quanh răng:
Viêm nướu, cao răng tích tụ lâu ngày không được kiểm soát sẽ dẫn đến viêm quanh răng: xuất hiện những túi lợi sâu, tích tụ vi khuẩn, mảng bám, gây tiêu xương quanh răng, co tụt nướu, răng lung lay và là nguyên nhân hàng đầu gây mất răng ở tuổi trung niên và người cao tuổi.
Người cao tuổi ở Việt Nam có tỷ lệ mất răng cao chủ yếu do bệnh nha chu không được điều trị đầy đủ. Bệnh hoàn toàn có thể kiểm soát tốt nên khi có dấu hiệu nên đi khám bác sĩ sớm.

5. Răng nhiễm màu, đổi màu:



Màu sắc răng khác với bình thường có thể do nhiều nhóm nguyên nhân: nhiễm màu nội sinh(dùng thuốc, bệnh bilirubin máu cao bẩm sinh – răng sữa màu xanh, nhiễm màu Porphyrin – răng màu nâu đỏ), nhiễm màu ngoại sinh( do thức ăn, nước uống có màu, các vi khuẩn sinh màu, các vết trám răng..), nhiễm Fluor, mòn răng, sau điều trị tủy, sau chấn thương gây chết tủy răng…
Điều trị: theo nguyên nhân: loại bỏ mảng bám, thay đổi môi trường miệng, tẩy trắng răng, phục hình thẩm mỹ với trường hợp nhiễm màu nặng.

6. Răng sứt mẻ:


Thường gặp khi nhai mạnh vật cứng, tật nghiến răng, ăn hay uống quá nóng, quá lạnh, chấn thương…Nếu nhẹ thường không cần điều trị gì.
Với vết mẻ răng lớn gây ê buốt hay ảnh hưởng thẩm mỹ có thể điều trị trám thẩm mỹ, bôi thuốc chống ê buốt, trám răng thông thường, nặng hơn có thể phải điều trị tủy hay làm phục hình, mặt dán sứ vì có những vị trí trám răng khó lưu giữ và hay bị bong vết trám khi ăn nhai.

7. Nứt răng, nứt gãy chân răng:


Nguyên nhân giống như trường hợp răng sứt mẻ. Có thể nứt vỡ đột ngột và có đau ngay lập tức hay nứt không có triệu chứng và nặng dần theo thời gian: ăn nhai thấy ê buốt, buốt khi uống nước lạnh, cơn đau tự nhiên dữ dội.
Chẩn đoán dựa vào mắt thường và phim x-quang, đôi khi không thấy đuờng nứt gãy trên phim. Điều trị: làm bọc chụp, chữa tủy nếu có viêm tủy không hồi phục, bỏ mảnh răng nứt nếu đã tách rời, có thể phải nhổ răng nếu nứt gãy quá sâu dưới chân răng.

8. Mất răng:


Có thể mất một răng, vài răng hay cả hàm răng ở người cao tuổi. Mất răng gây khó khăn trong ăn nhai, răng di chuyển, sai lệch khớp cắn, mất thẩm mỹ, tiêu xương…
Điều trị: làm răng giả tháo lắp hoặc cố định. Để làm răng cố định có thể mài răng thật làm cầu răng hoặc cấy ghép Implant trong xương rồi làm răng trên Implant. Không nên để tình trạng mất răng quá lâu, điều trị sẽ phức tạp và tốn kém hơn.

9. Răng khôn gây biến chứng:



Là răng mọc muộn nhất (17-21 tuổi) và thường không đủ chỗ trên cung hàm nên hay bị mọc lệch, ngầm, lợi trùm gây nhiều biến chứng: viêm quanh thân răng, dắt thức ăn gây sâu răng số 7, tiêu xương, đẩy nhóm răng phía trước xô lệch….

Nên khám phát hiện răng khôn sớm và nhổ trước khi gây biến chứng, nhổ răng khôn thường an toàn và nhẹ nhàng.

Đặc biệt phụ nữ mang thai sức đề kháng giảm có răng khôn lợi trùm rất dễ bị sưng đau, xử lý khó khăn do hạn chế dùng thuốc và can thiệp phẫu thuật.

Theo Sức khỏe đời sống
Dịch trang: EnglishEnglish DeutschDeutsch FrançaisFrançais EspañolEspañol ItalianoItaliano PortuguêsPortuguês
NorskNorsk NederlandsNederlands DanskDansk SuomiSuomi PolskiPolski ČeštinaČeština РусскийРусский
日本語日本語 한국어한국어 中文(简体)中文(简体) 中文(繁體)中文(繁體) MagyarMagyar TürkçeTürkçe
العربيةالعربية ไทยไทย LatinaLatina हिन्दीहिन्दी Bahasa IndonesiaBahasa Indonesia Bahasa MelayuBahasa Melayu
VIETBF Hybrid Community Content Hub

HOT NEWS 24h

HOT 3 Days

NEWS 3 Days

HOT 7 Days

NEWS 7 Days

HOME

Breaking News

VietOversea

World News

Business News

Car News

Computer News

Game News

USA News

Mobile News

Music News

Movies News

History

Thơ Ca

Sport News

Stranger Stories

Comedy Stories

Cooking Chat

Nice Pictures

Fashion

School

Travelling

Funny Videos

Canada Tin Hay

USA Tin Hay

VietBF Homepage Autoscroll

VietBF Video Autoscroll Portal

Video Classic Master

iPad News Portal

VietBF iPad Music Portal

Tin nóng nhất 50h qua

Phim Bộ Online

iMusic Pro Max



Romano
R11 Tuyệt Thế Thiên Hạ
Release: 09-27-2015
Reputation: 344779

Profile:
Join Date: May 2007
Posts: 140,900
Last Update: None Rating: None
Attached Thumbnails
Click image for larger version

Name:	31.jpg
Views:	0
Size:	8.2 KB
ID:	812935  
Romano_is_offline
Thanks: 9
Thanked 6,676 Times in 5,616 Posts
Mentioned: 3 Post(s)
Tagged: 0 Thread(s)
Quoted: 38 Post(s)
Rep Power: 176
Romano Reputation Uy Tín Level 10Romano Reputation Uy Tín Level 10Romano Reputation Uy Tín Level 10Romano Reputation Uy Tín Level 10Romano Reputation Uy Tín Level 10Romano Reputation Uy Tín Level 10
Romano Reputation Uy Tín Level 10Romano Reputation Uy Tín Level 10Romano Reputation Uy Tín Level 10Romano Reputation Uy Tín Level 10Romano Reputation Uy Tín Level 10Romano Reputation Uy Tín Level 10Romano Reputation Uy Tín Level 10Romano Reputation Uy Tín Level 10Romano Reputation Uy Tín Level 10Romano Reputation Uy Tín Level 10Romano Reputation Uy Tín Level 10Romano Reputation Uy Tín Level 10Romano Reputation Uy Tín Level 10Romano Reputation Uy Tín Level 10Romano Reputation Uy Tín Level 10Romano Reputation Uy Tín Level 10Romano Reputation Uy Tín Level 10Romano Reputation Uy Tín Level 10
Dịch trang: EnglishEnglish DeutschDeutsch FrançaisFrançais EspañolEspañol ItalianoItaliano PortuguêsPortuguês
NorskNorsk NederlandsNederlands DanskDansk SuomiSuomi PolskiPolski ČeštinaČeština РусскийРусский
日本語日本語 한국어한국어 中文(简体)中文(简体) 中文(繁體)中文(繁體) MagyarMagyar TürkçeTürkçe
العربيةالعربية ไทยไทย LatinaLatina हिन्दीहिन्दी Bahasa IndonesiaBahasa Indonesia Bahasa MelayuBahasa Melayu
 
User Tag List



 

iPad Videos Portal Autoscroll

VietBF Music Portal Autoscroll

iPad News Portal Autoscroll

VietBF Homepage Autoscroll

VietBF Video Autoscroll Portal

USA News Autoscroll Portall

VietBF WORLD Autoscroll Portal

Video Classic Master Page

Super Widescreen

iPad World Portal Autoscroll

iPad USA Portal Autoscroll

Phim Bộ Online
Lên đầu Xuống dưới Lên 3000px Xuống 3000px

Tin nóng nhất 24h qua

Tin nóng nhất 3 ngày qua

Tin nóng nhất 7 ngày qua

Tin nóng nhất 30 ngày qua

Albums

Total Videos Online

Tranh luận sôi nổi nhất 7 ngày qua

Tranh luận sôi nổi nhất 14 ngày qua

Tranh luận sôi nổi nhất 30 ngày qua

10.000 Tin mới nhất

Tin tức Hoa Kỳ

Tin tức Công nghệ
Lên đầu Xuống dưới Lên 3000px Xuống 3000px

Duo Series Movies Portal

Duo Music Portal

Phim Bộ

Tỷ Giá

Thời Tiết

Tin Nóng Nhất 50h

Super News

School Cooking Traveling Portal

Enter Portal

Series Shows and Movies Online

Home Classic Master Page

Donation Ủng hộ $3 cho VietBF
Lên đầu Xuống dưới Lên 3000px Xuống 3000px
Diễn Đàn Người Việt Hải Ngoại. Tự do ngôn luận, an toàn và uy tín. Vì một tương lai tươi đẹp cho các thế hệ Việt Nam hãy ghé thăm chúng tôi, hãy tâm sự với chúng tôi mỗi ngày, mỗi giờ và mỗi giây phút có thể. VietBF.Com Xin cám ơn các bạn, chúc tất cả các bạn vui vẻ và gặp nhiều may mắn.
Welcome to Vietnamese American Community, Vietnamese European, Canadian, Australian Forum, Vietnamese Overseas Forum. Freedom of speech, safety and prestige. For a beautiful future for Vietnamese generations, please visit us, talk to us every day, every hour and every moment possible. VietBF.Com Thank you all and good luck.

Lên đầu Xuống dưới Lên 3000px Xuống 3000px

All times are GMT. The time now is 10:48.
VietBF - Vietnamese Best Forum Copyright ©2005 - 2026
User Alert System provided by Advanced User Tagging (Pro) - vBulletin Mods & Addons Copyright © 2026 DragonByte Technologies Ltd.
Log Out Unregistered

Page generated in 0.10827 seconds with 15 queries