HOME-Au
HOME-Au
24h
24h
USA
USA
GOP
GOP
Phim Bộ
Phim Bộ
Videoauto
VIDEO-Au
Donation
Donation
News Book
News Book
News 50
News 50
worldautoscroll
WORLD-Au
Breaking
Breaking
 

Go Back   VietBF > Others (Closed Forums) > Archive - Old News 2012 (closed)

 
Thread Tools
 
 
Default Dùng xi măng trám lồng ngực, bệnh nhân vẫn sống
Old 05-20-2012   #1
vuitoichat
R11 Tuyệt Thế Thiên Hạ
 
Join Date: Jan 2008
Posts: 150,842
Thanks: 11
Thanked 14,267 Times in 11,409 Posts
Mentioned: 3 Post(s)
Tagged: 1 Thread(s)
Quoted: 44 Post(s)
Rep Power: 187
vuitoichat Reputation Uy Tín Level 10vuitoichat Reputation Uy Tín Level 10vuitoichat Reputation Uy Tín Level 10vuitoichat Reputation Uy Tín Level 10vuitoichat Reputation Uy Tín Level 10
vuitoichat Reputation Uy Tín Level 10vuitoichat Reputation Uy Tín Level 10vuitoichat Reputation Uy Tín Level 10vuitoichat Reputation Uy Tín Level 10vuitoichat Reputation Uy Tín Level 10vuitoichat Reputation Uy Tín Level 10vuitoichat Reputation Uy Tín Level 10vuitoichat Reputation Uy Tín Level 10
Gần 1 năm sau khi trải qua cuộc phẫu thuật ung thư đặc biệt, có sử dụng xi măng để hàn gắn thương tổn trong lồng ngực, một nam giới người Anh vẫn sống khỏe mạnh và không cần thêm bất kỳ việc chữa trị y tế nào khác.

Điều kỳ diệu trên đã xảy ra với Marek Barden, 40 tuổi, đến từ Knowle, Bristol, Anh.


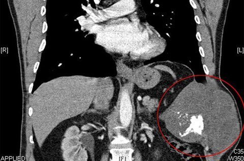
Ảnh chụp cho thấy khối u ung thư sụn ác tính (khoanh tròn) trong lồng ngực của Marek Barden. Ảnh: Carters

Cách đây khoảng 1 năm, anh Barden nhận thấy bên sườn của mình có một chỗ u lên nhưng lại phớt lờ nó vì nghĩ đó là hậu quả của tai nạn xe đạp. Tuy nhiên, kết quả chụp cắt lớp hồi tháng 8 năm ngoái hé lộ, anh có một khối u ung thư sụn ác tính (chondrasarcoma).

Các bác sĩ cảnh báo, Barden chỉ còn sống được 6 tháng nếu không được chữa trị kịp thời. Do đó, 5 tuần sau, anh đã được chỉ định trải qua phẫu thuật để cứu mạng sống.

3 bác sĩ phẫu thuật đã mất 6 giờ đồng hồ liên tục để bóc tách toàn bộ phân khối u ung thư nặng tổng cộng tới 1,5kg ra khỏi cơ thể của Barden. Họ cũng đồng thời phải loại bỏ cả 6 xương sườn, màng phổi trái và một phần cơ hoành của anh.

Các chuyên gia sau đó phải thay thế các xương sườn bị cắt bỏ của Barden bằng một tấm xi măng acrylic có diện tích 25cm2 và sử dụng cơ từ vai của anh để bồi đắp cho cơ hoành.

Sau phẫu thuật, Barden trải qua 6 ngày trong phòng chăm sóc đặc biệt trước khi xuất viện. Và điều đáng kinh ngạc là kể từ đó, anh vẫn sống khỏe mạnh mà không cần thêm bất kỳ cuộc chữa trị y tế nào khác.


Anh Barden sống khỏe mạnh trong hiện tại với vết thường được hàn gắn bằng xi măng acrylic trong lồng ngực. Ảnh: Carters

Người bệnh nhân may mắn tâm sự trên tờ Daily Mirror: “Tôi coi bản thân là sản phẩm của kỹ thuật sinh học vì vẫn sống nhờ tấm xi măng acrylic trong lồng ngực.

Tôi từng tới bệnh viện, sẵn sàng chết nhưng vẫn chiến đấu ngoan cường tới cùng … Tôi đã vô cùng may mắn thoát khỏi lưỡi hái tử thần”.

Tuấn Anh/VNN
vuitoichat_is_offline  
Attached Thumbnails
Click image for larger version

Name:	20120518142718_u1.jpg
Views:	9
Size:	41.6 KB
ID:	382702  
 
User Tag List



 

iPad Videos Portal Autoscroll

VietBF Music Portal Autoscroll

iPad News Portal Autoscroll

VietBF Homepage Autoscroll

VietBF Video Autoscroll Portal

USA News Autoscroll Portall

VietBF WORLD Autoscroll Portal

Video Classic Master Page

Super Widescreen

iPad World Portal Autoscroll

iPad USA Portal Autoscroll

Phim Bộ Online
Lên đầu Xuống dưới Lên 3000px Xuống 3000px

Tin nóng nhất 24h qua

Tin nóng nhất 3 ngày qua

Tin nóng nhất 7 ngày qua

Tin nóng nhất 30 ngày qua

Albums

Total Videos Online

Tranh luận sôi nổi nhất 7 ngày qua

Tranh luận sôi nổi nhất 14 ngày qua

Tranh luận sôi nổi nhất 30 ngày qua

10.000 Tin mới nhất

Tin tức Hoa Kỳ

Tin tức Công nghệ
Lên đầu Xuống dưới Lên 3000px Xuống 3000px

Duo Series Movies Portal

Duo Music Portal

Phim Bộ

Tỷ Giá

Thời Tiết

Tin Nóng Nhất 50h

Super News

School Cooking Traveling Portal

Enter Portal

Series Shows and Movies Online

Home Classic Master Page

Donation Ủng hộ $3 cho VietBF
Lên đầu Xuống dưới Lên 3000px Xuống 3000px
Diễn Đàn Người Việt Hải Ngoại. Tự do ngôn luận, an toàn và uy tín. Vì một tương lai tươi đẹp cho các thế hệ Việt Nam hãy ghé thăm chúng tôi, hãy tâm sự với chúng tôi mỗi ngày, mỗi giờ và mỗi giây phút có thể. VietBF.Com Xin cám ơn các bạn, chúc tất cả các bạn vui vẻ và gặp nhiều may mắn.
Welcome to Vietnamese American Community, Vietnamese European, Canadian, Australian Forum, Vietnamese Overseas Forum. Freedom of speech, safety and prestige. For a beautiful future for Vietnamese generations, please visit us, talk to us every day, every hour and every moment possible. VietBF.Com Thank you all and good luck.

Lên đầu Xuống dưới Lên 3000px Xuống 3000px

All times are GMT. The time now is 07:32.
VietBF - Vietnamese Best Forum Copyright ©2005 - 2026
User Alert System provided by Advanced User Tagging (Pro) - vBulletin Mods & Addons Copyright © 2026 DragonByte Technologies Ltd.
Log Out Unregistered

Page generated in 0.10205 seconds with 15 queries