HOME-Au
HOME-Au
24h
24h
USA
USA
GOP
GOP
Phim Bộ
Phim Bộ
Videoauto
VIDEO-Au
Home Classic
Home Classic
Donation
Donation
News Book
News Book
News 50
News 50
worldautoscroll
WORLD-Au
Breaking
Breaking
 

Go Back   VietBF > World Box| Thế Giới > Vietnam News | Tin Việt Nam


Reply
 
Thread Tools
  #1  
Old  Default Tăng huyết áp suốt 15 năm chữa mãi không khỏi, người đàn ông 55 tuổi đi khám phát hiện lý do bất ngờ
Sau 15 năm sống chung với tăng huyết áp, lần này ông T. đi khám phát hiện một bệnh lý hiếm gặp do khối u nhỏ ở vỏ tuyến thượng thận gây ra.

Tăng huyết áp kéo dài khiến bệnh nhân 2 lần đột quỵ
Hơn 15 năm qua, ông N.V.T (55 tuổi, ngụ tại Long An) đã phải sống chung với căn bệnh tăng huyết áp không rõ nguyên nhân. Dù kiên trì điều trị và tuân thủ nghiêm ngặt phác đồ thuốc tại một cơ sở y tế gần nhà nhưng tình trạng vẫn không cải thiện.

Huyết áp dao động bất thường kèm theo tình trạng hạ kali máu kéo dài đã khiến ông hai lần bị tai biến mạch máu não vào năm 2011 và năm 2023, để lại những di chứng nặng nề cả về sức khỏe lẫn tinh thần.

Sau nhiều năm sống chung với bệnh, ông T. không ngừng trăn trở trong lòng một câu hỏi: Vì sao bệnh không cải thiện dù đã điều trị tích cực, nguyên nhân do đâu?


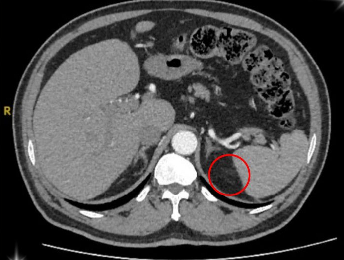
Hình ảnh vùng ổ bụng của bệnh nhân u tuyến thượng thận. Ảnh: BVCC

Tìm ra nguyên nhân tăng huyết áp do mắc u tuyến thượng thận
Được người quen giới thiệu, ông quyết định tìm đến BVĐK Xuyên Á Long An để khám. Tại Phòng khám Khoa Ngoại Tiết Niệu của bệnh viện, các bác sĩ đã đánh giá lại toàn bộ tình trạng sức khỏe, cẩn trọng loại trừ các nguyên nhân nội khoa thông thường.

Sau quá trình kiểm tra kỹ lưỡng, ông T. được xác định mắc phải hội chứng Conn (hay còn gọi là cường Aldosterone tiên phát) – một bệnh lý hiếm gặp do khối u nhỏ ở vỏ tuyến thượng thận gây ra.

Tăng huyết áp liên quan gì đến u tuyến thượng thận?
Theo BS. Đinh Công Thịnh – Bác sĩ Khoa Ngoại Tiết Niệu, tuyến thượng thận là cơ quan nội tiết nhỏ nằm phía trên thận, đóng vai trò quan trọng trong việc sản xuất hormone giúp điều hòa huyết áp, cân bằng nước, điện giải và kiểm soát quá trình chuyển hóa của cơ thể.

Khi xuất hiện khối u, tuyến này tăng cường tiết ra aldosteron (là hormone giúp điều hòa natri và kali trong máu). Khi lượng hormone này tăng quá mức, người bệnh sẽ rơi vào tình trạng tăng huyết áp kéo dài, hạ kali máu, mệt mỏi, đau đầu, chuột rút, thậm chí rối loạn nhịp tim.

Huyết áp ổn định sau khi cắt bỏ u tuyến thượng thận
Ngay sau xác định nguyên nhân, các chuyên khoa liên quan bao gồm: Ngoại Tiết Niệu, Nội Tiết, Nội Tim Mạch tiến hành hội chẩn, thống nhất bước đầu điều trị nội khoa bằng thuốc ức chế Aldosteron, khi tình trạng ổn định sẽ lên kế hoạch phẫu thuật nội soi cắt bỏ khối u tuyến thượng thận.

Nhờ sự phối hợp nhịp nhàng của đội ngũ chuyên gia Ngoại Tiết Niệu cùng hệ thống máy móc nội soi hiện đại, ca mổ đã diễn ra thành công. Khối u tuyến thượng thận được loại bỏ hoàn toàn, bảo tồn tối đa mô lành xung quanh.

Sau phẫu thuật, tình trạng ông T. cải thiện rõ rệt, huyết áp ổn định, không còn những cơn tăng vọt đột ngột; kali máu trở lại bình thường; biến mất hoàn toàn tình trạng mỏi cơ, chuột rút.

VietBF@ sưu tập
VIETBF Diễn Đàn Hay Nhất Của Người Việt Nam

HOT NEWS 24h

HOT 3 Days

NEWS 3 Days

HOT 7 Days

NEWS 7 Days

HOME

Breaking News

VietOversea

World News

Business News

Car News

Computer News

Game News

USA News

Mobile News

Music News

Movies News

History

Thơ Ca

Sport News

Stranger Stories

Comedy Stories

Cooking Chat

Nice Pictures

Fashion

School

Travelling

Funny Videos

Canada Tin Hay

USA Tin Hay

VietBF Homepage Autoscroll

VietBF Video Autoscroll Portal

Home Classic

Home Classic Master Page



pizza
R11 Tuyệt Thế Thiên Hạ
Release: 08-08-2025
Reputation: 237144


Profile:
Join Date: Sep 2014
Posts: 106,606
Last Update: None Rating: None
Attached Thumbnails
Click image for larger version

Name:	141.jpeg
Views:	0
Size:	177.1 KB
ID:	2558639  
pizza_is_offline
Thanks: 7
Thanked 8,101 Times in 7,211 Posts
Mentioned: 6 Post(s)
Tagged: 0 Thread(s)
Quoted: 41 Post(s)
Rep Power: 129
pizza Reputation Uy Tín Level 10pizza Reputation Uy Tín Level 10pizza Reputation Uy Tín Level 10pizza Reputation Uy Tín Level 10pizza Reputation Uy Tín Level 10pizza Reputation Uy Tín Level 10pizza Reputation Uy Tín Level 10
pizza Reputation Uy Tín Level 10pizza Reputation Uy Tín Level 10pizza Reputation Uy Tín Level 10pizza Reputation Uy Tín Level 10pizza Reputation Uy Tín Level 10pizza Reputation Uy Tín Level 10pizza Reputation Uy Tín Level 10pizza Reputation Uy Tín Level 10pizza Reputation Uy Tín Level 10pizza Reputation Uy Tín Level 10pizza Reputation Uy Tín Level 10pizza Reputation Uy Tín Level 10pizza Reputation Uy Tín Level 10pizza Reputation Uy Tín Level 10pizza Reputation Uy Tín Level 10pizza Reputation Uy Tín Level 10pizza Reputation Uy Tín Level 10pizza Reputation Uy Tín Level 10pizza Reputation Uy Tín Level 10pizza Reputation Uy Tín Level 10pizza Reputation Uy Tín Level 10pizza Reputation Uy Tín Level 10
Reply

User Tag List


Cú “cắn ghế” thần tốc ở Hà Nội: Mailisa, Doctor Magic và ván cờ phe phái Ngân sách tăng thuế của Labour và nước Anh nơi 1/3 trẻ em sống trong nghèo đói Đĩa mì Ý ở Mỹ trước bão thuế 107%: từ “xa xỉ phẩm 4 đô” đến nỗi lo mất luôn món ăn bình dân
Mùa mua sắm Mỹ thời bão giá: Macy’s, Old Navy, Walmart xoay xở, Sears hấp hối – trong khi Đài Loan bứt tốc nhờ cơn sốt AI Tịch thu 100 sổ đỏ, 300 cây vàng SJC, 400k USD, 3 tỷ đồng của Mailisa và còn nhiều nữa, siêu xe hàng tá, tiền hàng ...tấn Giáo hoàng Leo XIV kêu gọi chấm dứt lợi dụng tôn giáo cho chiến tranh trong chuyến công du Thổ Nhĩ Kỳ – Li Băng
Louvre tăng giá vé 45% với khách ngoài châu Âu: bức tranh đắt đỏ mới của “ngôi đền nghệ thuật” Paris Bão Mặt Trời đe dọa buồng lái: hơn 6.000 máy bay Airbus A320 phải sửa gấp vì nguy cơ mất kiểm soát 10 ngày ở ghế Chủ tịch Hà Nội: Nguyễn Đức Trung và bài toán nhân sự trước Đại hội 14
Nếu VinFast thua sạch ở Mỹ: Hoá đơn có thể lên tới 1,5 tỷ USD Từ Việt Minh đến Chuyên Chính Đỏ: Chiến lược che giấu và thanh trừng có chủ đích Từ Nội Chiến Mỹ đến Việt Nam: Hai cách đối xử với người lính bại trận
“Hãy công bố kết quả MRI đi!” – Tim Walz dội gáo nước lạnh vào cơn thịnh nộ Lễ Tạ Ơn của Donald Trump Từ Vệ Binh Quốc Gia đến Quân Lực Việt Nam Cộng Hòa – hành trình một đạo quân quốc gia “Người Cày Có Ruộng” – ngày vui nhất đời Tổng thống Thiệu và ký ức tem thư của một thằng bé Sài Gòn
Tiền tuyến rực lửa, bàn đàm phán nóng lên: Ukraine vạch lằn ranh đỏ trước kế hoạch hòa bình của Trump Starbucks – Target và ly socola bạc hà cứu vãn mùa Giáng sinh ảm đạm Phố thời trang tắt đèn trước Tết: Tiểu thương Hà Nội kẹt giữa gánh thuê nhà và thuế khóa

 
Lên đầu Xuống dưới Lên 3000px Xuống 3000px

iPad Videos Portal Autoscroll

VietBF Music Portal Autoscroll

iPad News Portal Autoscroll

VietBF Homepage Autoscroll

VietBF Video Autoscroll Portal

USA News Autoscroll Portall

VietBF WORLD Autoscroll Portal

Home Classic

Super Widescreen

iPad World Portal Autoscroll

iPad USA Portal Autoscroll

Phim Bộ Online

Tin nóng nhất 24h qua

Tin nóng nhất 3 ngày qua

Tin nóng nhất 7 ngày qua

Tin nóng nhất 30 ngày qua

Albums

Total Videos Online
Lên đầu Xuống dưới Lên 3000px Xuống 3000px

Tranh luận sôi nổi nhất 7 ngày qua

Tranh luận sôi nổi nhất 14 ngày qua

Tranh luận sôi nổi nhất 30 ngày qua

10.000 Tin mới nhất

Tin tức Hoa Kỳ

Tin tức Công nghệ
Lên đầu Xuống dưới Lên 3000px Xuống 3000px

Super News

School Cooking Traveling Portal

Enter Portal

Series Shows and Movies Online

Home Classic Master Page

Donation Ủng hộ $3 cho VietBF
Lên đầu Xuống dưới Lên 3000px Xuống 3000px
Diễn Đàn Người Việt Hải Ngoại. Tự do ngôn luận, an toàn và uy tín. Vì một tương lai tươi đẹp cho các thế hệ Việt Nam hãy ghé thăm chúng tôi, hãy tâm sự với chúng tôi mỗi ngày, mỗi giờ và mỗi giây phút có thể. VietBF.Com Xin cám ơn các bạn, chúc tất cả các bạn vui vẻ và gặp nhiều may mắn.
Welcome to Vietnamese American Community, Vietnamese European, Canadian, Australian Forum, Vietnamese Overseas Forum. Freedom of speech, safety and prestige. For a beautiful future for Vietnamese generations, please visit us, talk to us every day, every hour and every moment possible. VietBF.Com Thank you all and good luck.

Lên đầu Xuống dưới Lên 3000px Xuống 3000px

All times are GMT. The time now is 23:23.
VietBF - Vietnamese Best Forum Copyright ©2005 - 2025
User Alert System provided by Advanced User Tagging (Pro) - vBulletin Mods & Addons Copyright © 2025 DragonByte Technologies Ltd.
Log Out Unregistered

Page generated in 0.11353 seconds with 15 queries