HOME-Au
HOME-Au
24h
24h
USA
USA
GOP
GOP
Phim Bộ
Phim Bộ
Videoauto
VIDEO-Au
Home Classic
Home Classic
Donation
Donation
News Book
News Book
News 50
News 50
worldautoscroll
WORLD-Au
Breaking
Breaking
 

Go Back   VietBF > Other News|Tin Khác > Stories, Books | Chuyện, Sách


Reply
 
Thread Tools
  #1  
Old  Default Người phụ nữ đang gội đầu cho khách thì bị đột quỵ
Người phụ nữ 43 tuổi trong lúc gội đầu cho khách ở tiệm cắt tóc. Bất ngờ bà có các triệu chứng bị đột quỵ. Nhanh chóng người phụ nữ được đưa vào bệnh viện cấp cứu.

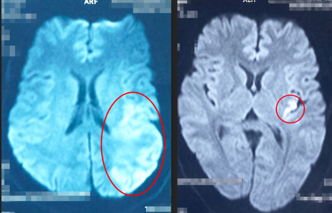
Bệnh nhân được đưa vào Bệnh viện Đa khoa Xuyên Á Vĩnh Long ngày 11/5 sau một giờ khởi phát triệu chứng. Hình ảnh chụp CT xác định bệnh nhân bị nhồi máu não cấp bán cầu trái giờ thứ nhất, bác sĩ chỉ định dùng thuốc tiêu sợi huyết (rTPA).

Sau can thiệp, bệnh nhân hồi phục nhanh chóng, mạch máu bị tắc đã được tái thông hoàn toàn. Người phụ nữ nói chuyện rõ lời, sức cơ bên liệt hồi phục hoàn toàn, có thể đứng, đi lại và sinh hoạt gần như bình thường. Hiện, bà đang được tiếp tục theo dõi sức khỏe và điều trị nguyên nhân, dự phòng tái phát.

Để hạn chế nguy cơ đột quỵ, bác sĩ khuyên nên xây dựng lối sống lành mạnh, tập thể dục thường xuyên. Đối với những bệnh nhân tăng huyết áp, đái tháo đường, xơ vữa động mạch... cần thăm khám tại các bệnh viện có chuyên khoa sâu, nhất là những nơi có đơn vị điều trị đột quỵ để được phát hiện và chẩn sớm đột quỵ bằng hình ảnh học như MRI, CT não nhằm hạn chế tối đa các trường hợp đột quỵ đáng tiếc xảy ra.

Đột quỵ là bệnh lý cấp tính phổ biến, gây tử vong hàng đầu trên thế giới. Đột quỵ có hai dạng là nhồi máu não do tắc mạch máu, chiếm 85% và 15% còn lại là xuất huyết não do vỡ mạch máu. Với bệnh nhận đột quỵ, "thời gian là não", bởi mỗi một phút não thiếu máu trôi qua, có hai triệu tế bào não chết đi, không thể phục hồi. Do đó, điều kiện tiên quyết để cứu người đột quỵ là xử trí cấp cứu càng sớm càng tốt, thường gọi là trong thời gian vàng khởi phát đột quỵ là 4,5-6-24 giờ, tùy từng trường hợp.

Tại Việt Nam, mỗi năm ghi nhận khoảng 230.000 ca đột quỵ, trong đó gần 50% bệnh nhân diễn biến xấu đi và tử vong theo thời gian, 90% để lại di chứng. Bên cạnh nguy cơ tử vong, gánh nặng chi phí y tế cũng đè nặng người bệnh nếu họ bị di chứng tàn tật suốt đời.

Nhiều chuyên gia y tế cảnh báo xu hướng đột quỵ ngày càng trẻ hóa, chuyển dịch từ nhóm người cao tuổi về độ tuổi trung niên, người trẻ. Theo thống kê tại các bệnh viện, tỷ lệ đột quỵ ở người trẻ tuổi trung bình tăng khoảng 2% mỗi năm, trong đó số nam giới nhiều gấp 4 lần nữ.
VIETBF Diễn Đàn Hay Nhất Của Người Việt Nam

HOT NEWS 24h

HOT 3 Days

NEWS 3 Days

HOT 7 Days

NEWS 7 Days

HOME

Breaking News

VietOversea

World News

Business News

Car News

Computer News

Game News

USA News

Mobile News

Music News

Movies News

History

Thơ Ca

Sport News

Stranger Stories

Comedy Stories

Cooking Chat

Nice Pictures

Fashion

School

Travelling

Funny Videos

Canada Tin Hay

USA Tin Hay

VietBF Homepage Autoscroll

VietBF Video Autoscroll Portal

Home Classic

Home Classic Master Page



nguoiduatinabc
R10 Vô Địch Thiên Hạ
Release: 05-11-2021
Reputation: 22128


Profile:
Join Date: Apr 2016
Posts: 81,606
Last Update: None Rating: None
Attached Thumbnails
Click image for larger version

Name:	dot-quy-luc-goi-dau-6984-1620725995.jpeg
Views:	0
Size:	268.4 KB
ID:	1788756  
nguoiduatinabc_is_offline
Thanks: 168
Thanked 5,399 Times in 4,374 Posts
Mentioned: 4 Post(s)
Tagged: 0 Thread(s)
Quoted: 29 Post(s)
Rep Power: 92
nguoiduatinabc Reputation Uy Tín Level 7nguoiduatinabc Reputation Uy Tín Level 7
nguoiduatinabc Reputation Uy Tín Level 7nguoiduatinabc Reputation Uy Tín Level 7nguoiduatinabc Reputation Uy Tín Level 7nguoiduatinabc Reputation Uy Tín Level 7nguoiduatinabc Reputation Uy Tín Level 7nguoiduatinabc Reputation Uy Tín Level 7nguoiduatinabc Reputation Uy Tín Level 7nguoiduatinabc Reputation Uy Tín Level 7nguoiduatinabc Reputation Uy Tín Level 7nguoiduatinabc Reputation Uy Tín Level 7nguoiduatinabc Reputation Uy Tín Level 7nguoiduatinabc Reputation Uy Tín Level 7nguoiduatinabc Reputation Uy Tín Level 7
Reply

User Tag List

Thread Tools

Ba người Việt bị ICE bắt ở New Orleans: Từ giấc mơ Mỹ đến nguy cơ bị trục xuất Hai anh em sinh đôi trở về Việt Nam tìm mẹ ruột sau 24 năm và người mẹ Mỹ mang trái tim Bồ Tát Cuối năm phố tắt đèn: Cơn sóng trả mặt bằng và tiếng thở dài của tiểu thương
Tin đồn ông Nguyễn Xuân Phúc xin qua Mỹ định cư: Tấm thẻ đảng và cánh cửa di trú Hoa Kỳ Netflix tung đòn 28 USD/cổ phiếu: Trận quyết đấu cuối cùng của ‘chiến tranh streaming’? Cơn sốc 50.000 USD: Mua xe mới ở Mỹ sắp thành xa xỉ phẩm?
Làn sóng hủy show Nhật Bản ở Trung Quốc: Khi chính trị tắt đèn sân khấu Mãn kinh – chương đời bị bỏ quên của một nửa nhân loại Cuộc họp nội các thật hỗn loạn của ông Trump
Miền Trung chết đuối trong hai chữ “đúng quy trình” Nhật Bản thời Takaichi: Khi Tokyo thôi “hiền lành” và trở thành đối trọng cứng rắn với Bắc Kinh Từ lũ dữ miền Trung đến “Công ước Hà Nội”: Khi khế ước xã hội bị xé bỏ
Phú Yên không còn quan tài: Tiếng khóc giữa đại hồng thủy và những chuyến xe chở tình người Mafia công nghệ 4.0: Từ vụ Alice Guo đến cuộc cạnh tranh quyền lực ngầm ở Đông Nam Á Người đàn ông mang trạm sạc đến nối lại tin tức giữa vùng lũ
“Lũ nhân tạo” ở Việt Nam: Khi dòng sông bị bẻ cong vì thủy điện Đêm 19-11 và tiếng kêu giữa lũ dữ: Khi “đúng quy trình” nhấn chìm niềm tin của dân Lời nói dối “người Mỹ không làm việc này” và cái giá của cả một quốc gia
Đức dựng lại “đạo quân mạnh nhất châu Âu”: Tham vọng của Merz và nỗi lo nghĩa vụ quân sự Thích Trí Quang: Từ “vì đạo pháp và dân tộc” đến 44 năm im lặng Khi Bắc Kinh dọa “chặt đầu” bà đầm thép Sanae Takaichi
Trump hô tội “phản loạn, xử tử hình” 6 dân biểu Dân Chủ: chính trường Mỹ trượt sát lằn ranh bạo lực Ukraine giữa gọng kìm: Kế hoạch hòa bình của Trump và bóng ma drone Rubicon trên bầu trời chiến tranh Kinh tế Mỹ “chạy hết ga, nhưng ghế trống”: Nỗi lo suy thoái không việc làm dưới thời Trump
Hai thẩm phán liên bang chặn lệnh Trump “bóp cổ” ngân sách cứu trợ thiên tai để ép bỏ DEI và hỗ trợ di trú Đêm lũ cuốn trôi Camp Mystic: từ bức vẽ ám ảnh của bé Lulu đến 27 sinh mạng nhỏ bị bỏ rơi Từ cái chết Pamela Genini đến bóng tối đè lên phụ nữ Ý dưới thời Giorgia Meloni

 
Lên đầu Xuống dưới Lên 3000px Xuống 3000px

iPad Videos Portal Autoscroll

VietBF Music Portal Autoscroll

iPad News Portal Autoscroll

VietBF Homepage Autoscroll

VietBF Video Autoscroll Portal

USA News Autoscroll Portall

VietBF WORLD Autoscroll Portal

Home Classic

Super Widescreen

iPad World Portal Autoscroll

iPad USA Portal Autoscroll

Phim Bộ Online

Tin nóng nhất 24h qua

Tin nóng nhất 3 ngày qua

Tin nóng nhất 7 ngày qua

Tin nóng nhất 30 ngày qua

Albums

Total Videos Online
Lên đầu Xuống dưới Lên 3000px Xuống 3000px

Tranh luận sôi nổi nhất 7 ngày qua

Tranh luận sôi nổi nhất 14 ngày qua

Tranh luận sôi nổi nhất 30 ngày qua

10.000 Tin mới nhất

Tin tức Hoa Kỳ

Tin tức Công nghệ
Lên đầu Xuống dưới Lên 3000px Xuống 3000px

Super News

School Cooking Traveling Portal

Enter Portal

Series Shows and Movies Online

Home Classic Master Page

Donation Ủng hộ $3 cho VietBF
Lên đầu Xuống dưới Lên 3000px Xuống 3000px
Diễn Đàn Người Việt Hải Ngoại. Tự do ngôn luận, an toàn và uy tín. Vì một tương lai tươi đẹp cho các thế hệ Việt Nam hãy ghé thăm chúng tôi, hãy tâm sự với chúng tôi mỗi ngày, mỗi giờ và mỗi giây phút có thể. VietBF.Com Xin cám ơn các bạn, chúc tất cả các bạn vui vẻ và gặp nhiều may mắn.
Welcome to Vietnamese American Community, Vietnamese European, Canadian, Australian Forum, Vietnamese Overseas Forum. Freedom of speech, safety and prestige. For a beautiful future for Vietnamese generations, please visit us, talk to us every day, every hour and every moment possible. VietBF.Com Thank you all and good luck.

Lên đầu Xuống dưới Lên 3000px Xuống 3000px

All times are GMT. The time now is 04:31.
VietBF - Vietnamese Best Forum Copyright ©2005 - 2025
User Alert System provided by Advanced User Tagging (Pro) - vBulletin Mods & Addons Copyright © 2025 DragonByte Technologies Ltd.
Log Out Unregistered

Page generated in 0.10651 seconds with 15 queries