HOME-Au
HOME-Au
24h
24h
USA
USA
GOP
GOP
Phim Bộ
Phim Bộ
Videoauto
VIDEO-Au
Home Classic
Home Classic
Donation
Donation
News Book
News Book
News 50
News 50
worldautoscroll
WORLD-Au
Breaking
Breaking
 

Go Back   VietBF > Other News|Tin Khác > School | Kiến thức > School | Kiến thức 2006-2019


 
 
Thread Tools
  #1  
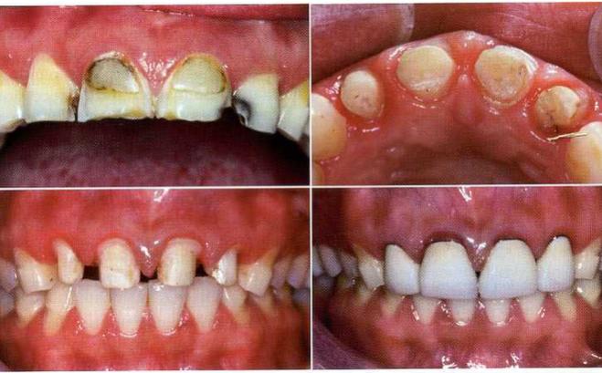
Old  Default Bác sĩ cảnh báo những biến chứng đáng sợ sau khi làm răng sứ thẩm mỹ
Hiện nay nhu cầu làm đẹp răng đang ngày càng phát triển mang lại nụ cười cho mọi người. Thế nhưng ít ai biết rằng làm đẹp bằng răng sứ để lại nhiều biến chứng không ngờ. Dưới đây là những cảnh báo của bác sĩ mà mọi người nên biết trước khi làm răng sứ.
Ngày càng nhiều người lạm dụng bọc răng sứ

Cái răng, cái tóc là góc con người nên nhiều người cảm thấy tự ti khi hàm răng không được như ý. Bọc răng sứ là phương pháp làm răng thẩm mỹ khá phổ biến trong lĩnh vực nha khoa. Tại Việt Nam nói riêng và thế giới nói chung, rất nhiều người đã tìm đến dịch vụ này với mong muốn sở hữu hàm răng như ý.

Đây là phương pháp nhằm khắc phục các khiếm khuyết của răng như răng thưa, sứt mẻ, mất màu do dùng kháng sinh, sâu răng, viêm tủy, mòn men… So với các phương pháp khác, phương pháp bọc răng sứ được ưa chuộng hơn nhờ ít đau đớn và thời gian thực hiện nhanh.

Tuy nhiên, không ít bác sĩ đã thốt lên rằng việc lạm dụng bọc răng sứ như hiện nay đang trở thành trào lưu "chết người" bởi vì nhiều kỹ thuật viên không có trình độ và mài mòn răng của khách hàng ảnh hưởng tới khoảng sinh học trong làm răng.




Ngày nay, với những chiêu thức quảng cáo biến tướng xu hướng bọc răng sứ ngày càng bất chấp chỉ định, hậu quả. Đa phần các trung tâm thẩm mỹ răng mài từ 3-7 ca/ngày (tương đương 90-210 bộ răng bị tàn phá/tháng). Những hàm răng lệch lạc, hô vẩu cũng được mài bằng, gọt phẳng để bọc sứ. Điều này ảnh hưởng tới răng miệng của người làm cũng như sức khỏe nói chung.

Theo TS, BS Phạm Thanh Hà, - Phó Giám đốc Trung tâm chỉ đạo tuyến, Trưởng Khoa điều trị Nội nha, Bệnh viện Răng Hàm Mặt Trung ương, làm răng sứ là can thiệp lớn. Để xác định có làm hay không phải xét về chuyên môn và sức khoẻ của mọi người.

Dù chỉ là răng sứ nhưng nó vẫn ảnh hưởng tới sức khoẻ chung, nên người làm cần cân nhắc rất kỹ trước nhu cầu cần thiết có nên làm hay không. Bên cạnh đó, làm răng sứ không chỉ tốn kém tiền bạc mà còn còn liên quan tới sức khoẻ của bản thân.

Có nên làm răng sứ?

BS. Hà cho biết, không thể phủ nhận lợi ích của bọc răng sứ về tính thẩm mỹ, giúp răng trắng sáng, đều, thậm chí tác dụng bảo vệ hàm răng trong một số trường hợp như răng thưa, răng sâu đã được xử lý...

Tuy nhiên, khi thực hiện bọc răng sứ vẫn có sự ảnh hưởng nhất định tới sức khoẻ chung nên người có nhu cầu cần cân nhắc rất kỹ. Đồng thời, nha sĩ cũng cần giải thích những biến chứng có thể gặp khi thực hiện thủ thuật nha khoa này cho bệnh nhân.

Ông Hà cũng cho hay, tai biến sau bọc răng sứ thường xảy ra khi kỹ thuật làm không tốt, chỉ định sai: ví dụ như răng hô, móm, lệch lạc vẫn mài bằng để bọc sứ sẽ để lại hậu quả vô cùng nặng nề.

Trong trường hợp răng đều nhưng màu răng xấu, men răng bị tổn thương, hình thể răng không đẹp thì bọc răng sứ là một trong những giải pháp tốt để khắc phục những khuyết trên.

Khi kỹ thuật bọc răng sứ không được đảm bảo thì biến chứng là điều khó tránh khỏi. TS Hà đưa ra ba biến chứng kinh khủng với hàm răng đó là:

- Thứ nhất: Tổn thương tủy răng thường do việc mài răng "quá đà" gây nên. Thực tế, các bác sĩ thường có thiên hướng mài răng càng nhiều càng tốt để lắp răng sứ cho đẹp.

Nếu trường hợp bệnh nhân không may mắn răng chết tuỷ không biết thì tổn thương còn trầm trọng nhiều, gây viêm xương hàm do gián tiếp từ việc bọc răng sứ, gây viêm tuỷ và ảnh hưởng nghiêm trọng tới xương hàm.

- Thứ hai: Ảnh hưởng tới khớp cắn ở người bình thường. Đôi khi khớp cắn có lệch lạc nhưng nó vẫn nằm ở vị trí cân bằng tự nhiên nếu làm can thiệp làm ảnh hưởng tới khớp cắn hai hàm răng .

Nếu không tái thiết lập được cân bằng khớp cắn mới thì gây ảnh hưởng tới răng và khớp cắn.

- Thứ ba: Tình trạng ảnh hưởng tổ chức nha chu vì răng giữ lại sau khi mài và răng sứ mới có mối nối, khi giữ lại và bọc răng sứ vẫn có "lỗ hổng" là nơi thức ăn đọng lại, phân huỷ tạo vi khuẩn sản sinh ra axit và tạo ra các tổ chức viêm nha chu

Theo khuyến cáo của BS. Hà, trước khi quyết định bọc răng sứ, bệnh nhân nên tìm hiểu rủi ro có thể xảy ra, nên chọn cơ sở uy tín, bác sĩ có chuyên môn… Sau khi thực hiện bọc răng sứ cũng cần lưu ý giữ gìn và khám định kỳ, sàng lọc nguy cơ 6 tháng, 1 năm/lần đề phòng ngừa biến chứng sau bọc răng sứ có thể xảy đến.
Dịch trang: EnglishEnglish DeutschDeutsch FrançaisFrançais EspañolEspañol ItalianoItaliano PortuguêsPortuguês
NorskNorsk NederlandsNederlands DanskDansk SuomiSuomi PolskiPolski ČeštinaČeština РусскийРусский
日本語日本語 한국어한국어 中文(简体)中文(简体) 中文(繁體)中文(繁體) MagyarMagyar TürkçeTürkçe
العربيةالعربية ไทยไทย LatinaLatina हिन्दीहिन्दी Bahasa IndonesiaBahasa Indonesia Bahasa MelayuBahasa Melayu
VIETBF Diễn Đàn Hay Nhất Của Người Việt Nam

HOT NEWS 24h

HOT 3 Days

NEWS 3 Days

HOT 7 Days

NEWS 7 Days

HOME

Breaking News

VietOversea

World News

Business News

Car News

Computer News

Game News

USA News

Mobile News

Music News

Movies News

History

Thơ Ca

Sport News

Stranger Stories

Comedy Stories

Cooking Chat

Nice Pictures

Fashion

School

Travelling

Funny Videos

Canada Tin Hay

USA Tin Hay

VietBF Homepage Autoscroll

VietBF Video Autoscroll Portal

Home Classic

Home Classic Master Page

VietBF iPad Music Portal

Tin nóng nhất 50h qua

Phim Bộ Online

Phim Bộ
Dịch trang: English | Deutsch |
Français | Español | Italiano |
Português | Norsk | Nederlands |
Dansk | Suomi | Polski |
Čeština | Русский | 日本語 |
한국어 | 中文(简体) | 中文(繁體) |
Magyar | Türkçe | العربية |



Romano
R11 Tuyệt Thế Thiên Hạ
Romano's Avatar
Release: 04-12-2018
Reputation: 344547


Profile:
Join Date: May 2007
Posts: 138,592
Last Update: None Rating: None
Attached Thumbnails
Click image for larger version

Name:	1.jpg
Views:	0
Size:	43.2 KB
ID:	1202839   Click image for larger version

Name:	2.jpg
Views:	0
Size:	105.0 KB
ID:	1202840  
Romano_is_offline
Thanks: 9
Thanked 6,560 Times in 5,506 Posts
Mentioned: 3 Post(s)
Tagged: 0 Thread(s)
Quoted: 38 Post(s)
Rep Power: 174
Romano Reputation Uy Tín Level 10Romano Reputation Uy Tín Level 10Romano Reputation Uy Tín Level 10Romano Reputation Uy Tín Level 10Romano Reputation Uy Tín Level 10Romano Reputation Uy Tín Level 10
Romano Reputation Uy Tín Level 10Romano Reputation Uy Tín Level 10Romano Reputation Uy Tín Level 10Romano Reputation Uy Tín Level 10Romano Reputation Uy Tín Level 10Romano Reputation Uy Tín Level 10Romano Reputation Uy Tín Level 10Romano Reputation Uy Tín Level 10Romano Reputation Uy Tín Level 10Romano Reputation Uy Tín Level 10Romano Reputation Uy Tín Level 10Romano Reputation Uy Tín Level 10Romano Reputation Uy Tín Level 10Romano Reputation Uy Tín Level 10Romano Reputation Uy Tín Level 10Romano Reputation Uy Tín Level 10Romano Reputation Uy Tín Level 10Romano Reputation Uy Tín Level 10
Dịch trang: EnglishEnglish DeutschDeutsch FrançaisFrançais EspañolEspañol ItalianoItaliano PortuguêsPortuguês
NorskNorsk NederlandsNederlands DanskDansk SuomiSuomi PolskiPolski ČeštinaČeština РусскийРусский
日本語日本語 한국어한국어 中文(简体)中文(简体) 中文(繁體)中文(繁體) MagyarMagyar TürkçeTürkçe
العربيةالعربية ไทยไทย LatinaLatina हिन्दीहिन्दी Bahasa IndonesiaBahasa Indonesia Bahasa MelayuBahasa Melayu
Old 04-12-2018   #2
NongDan
R9 Tuyệt Đỉnh Tôn Sư
 
NongDan's Avatar
 
Join Date: Feb 2013
Posts: 34,648
Thanks: 596
Thanked 1,577 Times in 1,236 Posts
Mentioned: 0 Post(s)
Tagged: 0 Thread(s)
Quoted: 690 Post(s)
Rep Power: 47
NongDan Reputation Uy Tín Level 4NongDan Reputation Uy Tín Level 4NongDan Reputation Uy Tín Level 4NongDan Reputation Uy Tín Level 4NongDan Reputation Uy Tín Level 4NongDan Reputation Uy Tín Level 4NongDan Reputation Uy Tín Level 4NongDan Reputation Uy Tín Level 4NongDan Reputation Uy Tín Level 4NongDan Reputation Uy Tín Level 4NongDan Reputation Uy Tín Level 4NongDan Reputation Uy Tín Level 4NongDan Reputation Uy Tín Level 4NongDan Reputation Uy Tín Level 4NongDan Reputation Uy Tín Level 4
Default

lời cảnh báo muộn màng.
NongDan_is_offline  
Old 04-12-2018   #3
koorlie
R8 Võ Lâm Chí Tôn
 
Join Date: Jan 2008
Posts: 12,209
Thanks: 0
Thanked 7,932 Times in 4,160 Posts
Mentioned: 35 Post(s)
Tagged: 0 Thread(s)
Quoted: 2227 Post(s)
Rep Power: 34
koorlie Reputation Uy Tín Level 8koorlie Reputation Uy Tín Level 8koorlie Reputation Uy Tín Level 8koorlie Reputation Uy Tín Level 8
koorlie Reputation Uy Tín Level 8koorlie Reputation Uy Tín Level 8koorlie Reputation Uy Tín Level 8koorlie Reputation Uy Tín Level 8koorlie Reputation Uy Tín Level 8koorlie Reputation Uy Tín Level 8koorlie Reputation Uy Tín Level 8koorlie Reputation Uy Tín Level 8koorlie Reputation Uy Tín Level 8koorlie Reputation Uy Tín Level 8koorlie Reputation Uy Tín Level 8koorlie Reputation Uy Tín Level 8koorlie Reputation Uy Tín Level 8koorlie Reputation Uy Tín Level 8koorlie Reputation Uy Tín Level 8koorlie Reputation Uy Tín Level 8koorlie Reputation Uy Tín Level 8koorlie Reputation Uy Tín Level 8koorlie Reputation Uy Tín Level 8koorlie Reputation Uy Tín Level 8koorlie Reputation Uy Tín Level 8koorlie Reputation Uy Tín Level 8koorlie Reputation Uy Tín Level 8
Default

Chế độ CSVN là một môi trường tạo ra hàm răng vẩu.

Văn hóa Samsung củ sâm là một sân khấu đưa người đẹp ra ánh đèn, diễn viên nào cũng cố gắng chỉnh răng gắn sứ cho trắng đẹp trước ống quay phim HDTV.

K-Pop và các phim nhiều tập Korean xâm nhập VN, nhìn theo ánh đèn dõi theo từng bước nhảy, tất nhiên các khán giả răng vẩu thèm muốn ước ao được thành diễn viên răng sứ! Vẩu càng xa giấc mơ càng cao.

Nhưng các em K-Pop tư bản tự ban đầu thì răng đã khá ổn rồi, không cần cà nhiều và quá sâu. Những ai không đủ tiền hoặc răng có khó khăn, thì họ chỉ cà răng tám cái phía trước là xong, thay vì phí tổn cho cả hàm. Xem phim nào rõ chúng ta sẽ thấy có một số diễn viên Korean, răng của họ trắng đẹp nhưng chỉ vài cái răng cửa là hết.

Còn nhân dân răng vẩu XHCN thì rất tội nghiệp, muốn cà cho phẳng thì phải cà đến gần tận Trung Ương Đảng của chiếc răng luôn, mà Trung Ương Đảng nào cũng dễ bị xúc phạm, động đến là có phản ứng sanh bệnh liền.
koorlie_is_offline  
 
User Tag List

Thread Tools

Vết bầm trên tay Tổng thống: Ông Trump thừa nhận dùng aspirin “mạnh tay” hơn lời bác sĩ Minnesota chao đảo vì “nghi án” gian lận tiền giữ trẻ Mặt trận Zaporizhzhia rực lửa, Ukraine chịu sức ép nặng nề, Huliaipole lung lay
Sốc: Chết cháy hàng loạt tại Thuỵ Sĩ - Thảm họa cháy quán bar ở “thiên đường trượt tuyết” Crans-Montana Luật Mới Tại Texas Từ 1/1/2026: Thuế, Di Trú, Nhà Thuê Và AI – Điều Người Việt Cần Biết Để Tránh Thiệt Quốc Gia Nhỏ Trên Bàn Cờ Lớn: Từ Ukraina Nghĩ Về Việt Nam – Chính Nghĩa, Quyền Lực Và Bài Học Tự Chủ
Xin Đừng “Vãi” Nữa: Khi Một Chữ Lóng Làm Chao Đảo Cả Nếp Ăn Nếp Nói Miền Nam Nhìn Lại 2025: Mười Cú “Rung Lắc” Khiến Xã Hội Vừa Cười Vừa Ớn Lạnh Khi Công An Bước Vào Năng Lượng: Từ “Thanh Kiếm” Quyền Lực Sang “Túi Tiền” Kinh Tế
Thuế quan “giấu mặt” gõ cửa mùa lễ: Mua hàng ngoại xong… nhận thêm hóa đơn “Đừng gọi tôi Việt kiều”: từ một chữ Kiều đến vết xước trong lòng người xa xứ “Bỏ thuế nhà đất” và cơn bão tranh luận: Mơ ước của chủ nhà, nỗi lo của trường học
Không cuồng Cộng Hòa, không cuồng Dân Chủ: chỉ đau với nước Mỹ hôm nay David Hoàng Nguyễn (26 tuổi) – Hạ sĩ quan Không quân Hoa Kỳ gốc Việt qua đời Ông Phan Văn Giang điều động hàng chục ngàn bộ đội đặc công nhằm lật đổ phe cánh ông Tô Lâm
Thất nghiệp tràn lan tại Thành Hồ, dắt chó tìm việc 3 ngày không thành Việt kiều dởm làm màu và Việt kiều “chân chính”: khác nhau ở cái nhìn, không ở hộ chiếu Ông Trump quyết trục xuất 20 triệu người khỏi Mỹ trong năm tới, liệu có thành công?
Chiến lược an ninh mới của Trump: Hạ giọng với Trung Quốc, đặt cược tất tay vào kinh tế và lá bài Đài Loan Kho ảnh mới từ dinh thự Jeffrey Epstein: Bóng dáng giới quyền lực và cuộc đấu Trump – Quốc hội Mỹ Cây chổi cho Donald Trump
Nước Mỹ Trump đang kéo châu Âu đi đâu? Nền kinh tế chữ K: 79 ngàn tỷ đô bị “ăn cắp” khỏi túi người lao động Mỹ Khi Trump “đại tu” FEMA và tấn công các cơ quan độc lập
Ukraine đánh thẳng vào “cây ATM năng lượng” của Nga, NATO cảnh báo: chiến tranh đã ở ngay trước cửa Tyler Robinson lần đầu trực tiếp xuất hiện trước tòa: Vụ ám sát Charlie Kirk và câu hỏi về thù hận chính trị ở nước Mỹ Chính quyền Trump chính thức mở trang mạng để bán "thẻ vàng định cư"
Ba người Việt bị ICE bắt ở New Orleans: Từ giấc mơ Mỹ đến nguy cơ bị trục xuất Hai anh em sinh đôi trở về Việt Nam tìm mẹ ruột sau 24 năm và người mẹ Mỹ mang trái tim Bồ Tát Cuối năm phố tắt đèn: Cơn sóng trả mặt bằng và tiếng thở dài của tiểu thương
Tin đồn ông Nguyễn Xuân Phúc xin qua Mỹ định cư: Tấm thẻ đảng và cánh cửa di trú Hoa Kỳ Netflix tung đòn 28 USD/cổ phiếu: Trận quyết đấu cuối cùng của ‘chiến tranh streaming’? Cơn sốc 50.000 USD: Mua xe mới ở Mỹ sắp thành xa xỉ phẩm?
Làn sóng hủy show Nhật Bản ở Trung Quốc: Khi chính trị tắt đèn sân khấu Mãn kinh – chương đời bị bỏ quên của một nửa nhân loại Cuộc họp nội các thật hỗn loạn của ông Trump
Miền Trung chết đuối trong hai chữ “đúng quy trình” Nhật Bản thời Takaichi: Khi Tokyo thôi “hiền lành” và trở thành đối trọng cứng rắn với Bắc Kinh Từ lũ dữ miền Trung đến “Công ước Hà Nội”: Khi khế ước xã hội bị xé bỏ
Phú Yên không còn quan tài: Tiếng khóc giữa đại hồng thủy và những chuyến xe chở tình người Mafia công nghệ 4.0: Từ vụ Alice Guo đến cuộc cạnh tranh quyền lực ngầm ở Đông Nam Á Người đàn ông mang trạm sạc đến nối lại tin tức giữa vùng lũ
“Lũ nhân tạo” ở Việt Nam: Khi dòng sông bị bẻ cong vì thủy điện Đêm 19-11 và tiếng kêu giữa lũ dữ: Khi “đúng quy trình” nhấn chìm niềm tin của dân Lời nói dối “người Mỹ không làm việc này” và cái giá của cả một quốc gia
Đức dựng lại “đạo quân mạnh nhất châu Âu”: Tham vọng của Merz và nỗi lo nghĩa vụ quân sự Thích Trí Quang: Từ “vì đạo pháp và dân tộc” đến 44 năm im lặng Khi Bắc Kinh dọa “chặt đầu” bà đầm thép Sanae Takaichi
Trump hô tội “phản loạn, xử tử hình” 6 dân biểu Dân Chủ: chính trường Mỹ trượt sát lằn ranh bạo lực Ukraine giữa gọng kìm: Kế hoạch hòa bình của Trump và bóng ma drone Rubicon trên bầu trời chiến tranh Kinh tế Mỹ “chạy hết ga, nhưng ghế trống”: Nỗi lo suy thoái không việc làm dưới thời Trump
Hai thẩm phán liên bang chặn lệnh Trump “bóp cổ” ngân sách cứu trợ thiên tai để ép bỏ DEI và hỗ trợ di trú Đêm lũ cuốn trôi Camp Mystic: từ bức vẽ ám ảnh của bé Lulu đến 27 sinh mạng nhỏ bị bỏ rơi Từ cái chết Pamela Genini đến bóng tối đè lên phụ nữ Ý dưới thời Giorgia Meloni
Bài học Liên Xô cho con đường dân chủ của người Việt Du khách Trung Cộng đăng ảnh thăm Hồ Lăng với cờ 5 sao, dắt chó 1 sao khiến Việt Cộng nổi điên Bức ảnh người Mỹ đấm thẳng mặt vào lũ 3 que, đu càng và sự thật được trả lại cho VNCH
5 cạm bẫy khiến Việt Kiều hạ cánh xuống phi trường là mất sạch tiền Hàng triệu người Việt tẩy chay Zalo vì app này làm điều khó chấp nhận Ông Trump lại chết vì người đẹp salon
Hỗn loạn tại Trung Cộng vì một lý do không thể tin nổi Hàng triệu Việt Kiều nguy cơ bị hốt ví ngay khi vừa đặt chân xuống Việt Nam Việt Cộng xây sân vận động to ở Hưng Yên để làm cái gì?
“Siêu đẹp” bí mật trong Himalaya: Dân Việt Nam sẽ chết không còn chỗ chôn? Ngoại trưởng trẻ nhất Trung Quốc và cú rơi không lời giải: Thăng như tên lửa, mất tích như bóng ma Hơn trăm người nhập viện bị ngộ độc, không biết là vì lý do gì, hoá ra là ....
“Bóp nghẹt không tiếng súng”: Việt Nam đang thua vì Trung Quốc quá mạnh, hay vì ta tự làm mình yếu? 10 khác biệt “đinh” giữa người Mỹ & người Việt Cộng: đọc thì cười, ngẫm lại… chạnh lòng “Mùa đỏ” của Cộng Sản bị loại khỏi giải Oscar
Thanh niên Việt mới sang Mỹ 9 tháng và một câu hỏi nhói lòng: “Bám trụ hay quay về?” Sony rút khỏi Huệ Châu, TQ, 30.000 người mất việc: khi “đèn nhà máy tắt” kéo cả một thành phố chao đảo Thảm sát Bondi Beach: hai cha con bị nghi theo ISIS, chuyến đi Mindanao và câu hỏi nhức nhối về “lỗ hổng” an ninh Úc
Hà Nội đang rất mệt – nhưng tôi vẫn không đành rời đi Chuyện giang hồ Á Châu và những cú sốc văn hoá Người Đàn Bà Gánh Sứ Mệnh Đến Hơi Thở Cuối Cùng
Putin Sụp Kiểu Liên Xô Hay Chỉ Là Giấc Mơ Của Phương Tây? “Con kiến kiện củ khoai”: Dân Phú Yên có thật sự kiện được thủy điện xả lũ? Trump Đánh Thuế, Chuỗi Cung Ứng Đại Di Cư: Việt Nam Đang Lên Đời Hay Chỉ Là Trạm Trung Chuyển Rẻ Tiền?
VIỆT NAM SẮP HÓNG HAY ĐANG ẢO GIÁC TẬP THỂ? Macron dọa đánh thuế hàng Trung Quốc: Châu Âu giật mình trước thâm hụt 300 tỷ euro Chiến lược An ninh Quốc gia mới của Trump: Khi ‘Nước Mỹ trên hết’ hóa thành bản tuyên ngôn cá nhân
Vì sao ngày xưa vua miễn thuế khi bão lụt, còn ngày nay thì không? Phép tính lạnh lùng của quyền lực Lindsey Halligan: 63 Ngày Hỗn Loạn Ở Viện Công Tố Virginia Việt Cộng sẽ tịch thu toàn bộ tiền của Việt kiều gửi trong ngân hàng?
Từ ‘Sổ Sinh Tử’ Đến Những Tấm Bưu Thiếp Tự Do: Lời Kêu Gọi Từ Buổi Tưởng Niệm 50 Năm Quốc Nạn 1975–2025 Paris By Night Lặng Im: Khi Đế Chế Giải Trí Chạm Đáy Khủng Hoảng Địa Ngục Lửa Trên Cao Ốc: Thảm Họa Wang Fuk Court Rúng Động Hồng Kông, ít nhất 146 người chết, khoảng 40 người vẫn còn mất tích
Ván Cờ Hòa Bình Của Trump: Ukraine Giữa Thể Diện Dân Tộc, Bom Đạn Và Lính Đánh Thuê Toàn Cầu Thảm Sát Trong Tiệc Sinh Nhật Ở California: Khi Bữa Tiệc Gia Đình Hóa Chiến Trường Đẫm Máu Vì sao Paris By Night và nghệ sĩ hải ngoại đồng loạt im lặng trước chuyện chống Cộng?
Nghề nail người Việt giữa cơn bão 2025: khi ghế trống nhiều hơn khách Giáng sinh kiểu Mỹ 2025: Rạp phim cháy vé, gấu bông biết nói nhảm và nỗi băn khoăn “có nên cho con tiền lúc mình còn sống?” Bitcoin lao dốc, vàng – bạc lập kỷ lục: cơn “sốc Nhật Bản” đang dọa thổi bay cú rally cuối năm của Phố Wall
Black Friday 2025: Người Mỹ mua nhiều mà được ít – thuế Trump và “K-đồ thị” xé đôi túi tiền Chống tham nhũng làm nghẽn “cỗ máy chiến tranh”: Doanh thu quốc phòng Trung Quốc bất ngờ lao dốc Cựu tiếp viên hàng không và “luật ngầm” 4 triệu – 7 triệu: đường dây mại dâm Tài Nguyên Fortuner II lộ sáng
Quân Lực VNCH – Ai còn nhớ, ai đã quên: TQLC Phúc Yên Nguyễn Xuân Phúc và một “tổn thất” của Khóa 16 Kinh tế Trung Quốc đang tan rã từ bên trong: “phép màu” chỉ là một phim trường khổng lồ Giữa Nước Mỹ Chia Rẽ: Tâm Sự Của Một Người Nhập Cư

 
Lên đầu Xuống dưới Lên 3000px Xuống 3000px

iPad Videos Portal Autoscroll

VietBF Music Portal Autoscroll

iPad News Portal Autoscroll

VietBF Homepage Autoscroll

VietBF Video Autoscroll Portal

USA News Autoscroll Portall

VietBF WORLD Autoscroll Portal

Home Classic

Super Widescreen

iPad World Portal Autoscroll

iPad USA Portal Autoscroll

Phim Bộ Online

Tin nóng nhất 24h qua

Tin nóng nhất 3 ngày qua

Tin nóng nhất 7 ngày qua

Tin nóng nhất 30 ngày qua

Albums

Total Videos Online
Lên đầu Xuống dưới Lên 3000px Xuống 3000px

Tranh luận sôi nổi nhất 7 ngày qua

Tranh luận sôi nổi nhất 14 ngày qua

Tranh luận sôi nổi nhất 30 ngày qua

10.000 Tin mới nhất

Tin tức Hoa Kỳ

Tin tức Công nghệ
Lên đầu Xuống dưới Lên 3000px Xuống 3000px

Super News

School Cooking Traveling Portal

Enter Portal

Series Shows and Movies Online

Home Classic Master Page

Donation Ủng hộ $3 cho VietBF
Lên đầu Xuống dưới Lên 3000px Xuống 3000px
Diễn Đàn Người Việt Hải Ngoại. Tự do ngôn luận, an toàn và uy tín. Vì một tương lai tươi đẹp cho các thế hệ Việt Nam hãy ghé thăm chúng tôi, hãy tâm sự với chúng tôi mỗi ngày, mỗi giờ và mỗi giây phút có thể. VietBF.Com Xin cám ơn các bạn, chúc tất cả các bạn vui vẻ và gặp nhiều may mắn.
Welcome to Vietnamese American Community, Vietnamese European, Canadian, Australian Forum, Vietnamese Overseas Forum. Freedom of speech, safety and prestige. For a beautiful future for Vietnamese generations, please visit us, talk to us every day, every hour and every moment possible. VietBF.Com Thank you all and good luck.

Lên đầu Xuống dưới Lên 3000px Xuống 3000px

All times are GMT. The time now is 04:21.
VietBF - Vietnamese Best Forum Copyright ©2005 - 2026
User Alert System provided by Advanced User Tagging (Pro) - vBulletin Mods & Addons Copyright © 2026 DragonByte Technologies Ltd.
Log Out Unregistered

Page generated in 0.10517 seconds with 13 queries