HOME-Au
HOME-Au
24h
24h
USA
USA
GOP
GOP
Phim Bộ
Phim Bộ
Videoauto
VIDEO-Au
Home Classic
Home Classic
Donation
Donation
News Book
News Book
News 50
News 50
worldautoscroll
WORLD-Au
Breaking
Breaking
 

Go Back   VietBF > World Box| Thế Giới > Vietnam News | Tin Việt Nam


Reply
 
Thread Tools
  #1  
Old  Default Nam thanh niên 26 tuổi cấp cứu do nuốt nhiều mảnh dao rọc giấy
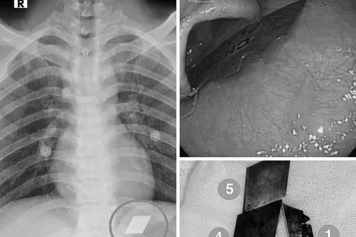
Nam thanh niên vào cấp cứu vì nuốt nhiều mảnh dao rọc giấy, dao lam. Các bác sĩ ngay lập tức nội soi gắp dị vật cho bệnh nhân.

Ngày 10/7, Khoa Hồi sức cấp cứu - Bệnh viện Đa khoa Bình Dương (TPHCM) tiếp nhận một trường hợp hy hữu. Nam bệnh nhân P.V.L (26 tuổi) nhập viện cấp cứu trong tình trạng nuốt nhiều dị vật kim loại sắc nhọn, bao gồm dao rọc giấy và dao lam.

Qua thăm khám và chụp X-quang, các bác sĩ phát hiện dị vật cản quang tại vị trí dạ dày. Bệnh nhân lập tức được chỉ định nội soi cấp cứu. Dưới sự phối hợp chặt chẽ giữa ê-kíp nội soi và gây mê, các bác sĩ đã gắp thành công 4 lưỡi dao rọc giấy ra khỏi dạ dày và một phần lưỡi dao lam mắc tại vùng hạ họng - miệng thực quản.

Bệnh nhân sau thủ thuật được theo dõi sát và đã ổn định sức khỏe, xuất viện trong tình trạng an toàn.


Hình ảnh dị vật trong đường tiêu hóa. Ảnh: BVCC.

Theo bác sĩ Phan Lê Quốc Du - Khoa Thăm dò chức năng, Bệnh viện Đa khoa Bình Dương, với các dị vật sắc nhọn trong đường tiêu hóa, việc can thiệp nội soi là bắt buộc. Nếu không lấy ra kịp thời, dị vật có thể gây thủng thực quản, thủng ruột, dẫn đến biến chứng nặng nề, thậm chí tử vong.

Thành công trong xử trí ca bệnh này cho thấy vai trò quan trọng của kỹ thuật nội soi can thiệp, sự phối hợp hiệu quả giữa các chuyên khoa và năng lực chuyên môn ngày càng được nâng cao trong việc tiếp nhận, xử trí các tình huống cấp cứu phức tạp.

Bác sĩ Du khuyến cáo:

- Không tự ý xử lý tại nhà khi nuốt phải dị vật.

- Gia đình cần đưa người bệnh đến bệnh viện ngay khi có biểu hiện đau, khó nuốt, nôn ói, nghi ngờ nuốt dị vật.

- Các dị vật sắc nhọn như kim, dao lam, tăm, xương cá... có thể gây nguy hiểm nghiêm trọng nếu không được can thiệp kịp thời.
VIETBF Diễn Đàn Hay Nhất Của Người Việt Nam

HOT NEWS 24h

HOT 3 Days

NEWS 3 Days

HOT 7 Days

NEWS 7 Days

HOME

Breaking News

VietOversea

World News

Business News

Car News

Computer News

Game News

USA News

Mobile News

Music News

Movies News

History

Thơ Ca

Sport News

Stranger Stories

Comedy Stories

Cooking Chat

Nice Pictures

Fashion

School

Travelling

Funny Videos

Canada Tin Hay

USA Tin Hay

VietBF Homepage Autoscroll

VietBF Video Autoscroll Portal

Home Classic

Home Classic Master Page



miro1510
R9 Tuyệt Đỉnh Tôn Sư
Release: 07-22-2025
Reputation: 13829


Profile:
Join Date: Oct 2014
Posts: 47,056
Last Update: None Rating: None
Attached Thumbnails
Click image for larger version

Name:	6fe158f394bd7de324ac.jpg
Views:	0
Size:	44.4 KB
ID:	2551926  
miro1510_is_offline
Thanks: 9
Thanked 2,092 Times in 1,931 Posts
Mentioned: 3 Post(s)
Tagged: 0 Thread(s)
Quoted: 8 Post(s)
Rep Power: 59
miro1510 Reputation Uy Tín Level 6
miro1510 Reputation Uy Tín Level 6miro1510 Reputation Uy Tín Level 6miro1510 Reputation Uy Tín Level 6miro1510 Reputation Uy Tín Level 6miro1510 Reputation Uy Tín Level 6miro1510 Reputation Uy Tín Level 6miro1510 Reputation Uy Tín Level 6miro1510 Reputation Uy Tín Level 6miro1510 Reputation Uy Tín Level 6miro1510 Reputation Uy Tín Level 6miro1510 Reputation Uy Tín Level 6miro1510 Reputation Uy Tín Level 6miro1510 Reputation Uy Tín Level 6miro1510 Reputation Uy Tín Level 6miro1510 Reputation Uy Tín Level 6miro1510 Reputation Uy Tín Level 6
Reply

User Tag List

Thread Tools

Ba người Việt bị ICE bắt ở New Orleans: Từ giấc mơ Mỹ đến nguy cơ bị trục xuất Hai anh em sinh đôi trở về Việt Nam tìm mẹ ruột sau 24 năm và người mẹ Mỹ mang trái tim Bồ Tát Cuối năm phố tắt đèn: Cơn sóng trả mặt bằng và tiếng thở dài của tiểu thương
Tin đồn ông Nguyễn Xuân Phúc xin qua Mỹ định cư: Tấm thẻ đảng và cánh cửa di trú Hoa Kỳ Netflix tung đòn 28 USD/cổ phiếu: Trận quyết đấu cuối cùng của ‘chiến tranh streaming’? Cơn sốc 50.000 USD: Mua xe mới ở Mỹ sắp thành xa xỉ phẩm?
Làn sóng hủy show Nhật Bản ở Trung Quốc: Khi chính trị tắt đèn sân khấu Mãn kinh – chương đời bị bỏ quên của một nửa nhân loại Cuộc họp nội các thật hỗn loạn của ông Trump
Miền Trung chết đuối trong hai chữ “đúng quy trình” Nhật Bản thời Takaichi: Khi Tokyo thôi “hiền lành” và trở thành đối trọng cứng rắn với Bắc Kinh Từ lũ dữ miền Trung đến “Công ước Hà Nội”: Khi khế ước xã hội bị xé bỏ
Phú Yên không còn quan tài: Tiếng khóc giữa đại hồng thủy và những chuyến xe chở tình người Mafia công nghệ 4.0: Từ vụ Alice Guo đến cuộc cạnh tranh quyền lực ngầm ở Đông Nam Á Người đàn ông mang trạm sạc đến nối lại tin tức giữa vùng lũ
“Lũ nhân tạo” ở Việt Nam: Khi dòng sông bị bẻ cong vì thủy điện Đêm 19-11 và tiếng kêu giữa lũ dữ: Khi “đúng quy trình” nhấn chìm niềm tin của dân Lời nói dối “người Mỹ không làm việc này” và cái giá của cả một quốc gia
Đức dựng lại “đạo quân mạnh nhất châu Âu”: Tham vọng của Merz và nỗi lo nghĩa vụ quân sự Thích Trí Quang: Từ “vì đạo pháp và dân tộc” đến 44 năm im lặng Khi Bắc Kinh dọa “chặt đầu” bà đầm thép Sanae Takaichi
Trump hô tội “phản loạn, xử tử hình” 6 dân biểu Dân Chủ: chính trường Mỹ trượt sát lằn ranh bạo lực Ukraine giữa gọng kìm: Kế hoạch hòa bình của Trump và bóng ma drone Rubicon trên bầu trời chiến tranh Kinh tế Mỹ “chạy hết ga, nhưng ghế trống”: Nỗi lo suy thoái không việc làm dưới thời Trump
Hai thẩm phán liên bang chặn lệnh Trump “bóp cổ” ngân sách cứu trợ thiên tai để ép bỏ DEI và hỗ trợ di trú Đêm lũ cuốn trôi Camp Mystic: từ bức vẽ ám ảnh của bé Lulu đến 27 sinh mạng nhỏ bị bỏ rơi Từ cái chết Pamela Genini đến bóng tối đè lên phụ nữ Ý dưới thời Giorgia Meloni

 
Lên đầu Xuống dưới Lên 3000px Xuống 3000px

iPad Videos Portal Autoscroll

VietBF Music Portal Autoscroll

iPad News Portal Autoscroll

VietBF Homepage Autoscroll

VietBF Video Autoscroll Portal

USA News Autoscroll Portall

VietBF WORLD Autoscroll Portal

Home Classic

Super Widescreen

iPad World Portal Autoscroll

iPad USA Portal Autoscroll

Phim Bộ Online

Tin nóng nhất 24h qua

Tin nóng nhất 3 ngày qua

Tin nóng nhất 7 ngày qua

Tin nóng nhất 30 ngày qua

Albums

Total Videos Online
Lên đầu Xuống dưới Lên 3000px Xuống 3000px

Tranh luận sôi nổi nhất 7 ngày qua

Tranh luận sôi nổi nhất 14 ngày qua

Tranh luận sôi nổi nhất 30 ngày qua

10.000 Tin mới nhất

Tin tức Hoa Kỳ

Tin tức Công nghệ
Lên đầu Xuống dưới Lên 3000px Xuống 3000px

Super News

School Cooking Traveling Portal

Enter Portal

Series Shows and Movies Online

Home Classic Master Page

Donation Ủng hộ $3 cho VietBF
Lên đầu Xuống dưới Lên 3000px Xuống 3000px
Diễn Đàn Người Việt Hải Ngoại. Tự do ngôn luận, an toàn và uy tín. Vì một tương lai tươi đẹp cho các thế hệ Việt Nam hãy ghé thăm chúng tôi, hãy tâm sự với chúng tôi mỗi ngày, mỗi giờ và mỗi giây phút có thể. VietBF.Com Xin cám ơn các bạn, chúc tất cả các bạn vui vẻ và gặp nhiều may mắn.
Welcome to Vietnamese American Community, Vietnamese European, Canadian, Australian Forum, Vietnamese Overseas Forum. Freedom of speech, safety and prestige. For a beautiful future for Vietnamese generations, please visit us, talk to us every day, every hour and every moment possible. VietBF.Com Thank you all and good luck.

Lên đầu Xuống dưới Lên 3000px Xuống 3000px

All times are GMT. The time now is 13:40.
VietBF - Vietnamese Best Forum Copyright ©2005 - 2025
User Alert System provided by Advanced User Tagging (Pro) - vBulletin Mods & Addons Copyright © 2025 DragonByte Technologies Ltd.
Log Out Unregistered

Page generated in 0.12305 seconds with 15 queries