HOME-Au
HOME-Au
24h
24h
USA
USA
GOP
GOP
Phim Bộ
Phim Bộ
Videoauto
VIDEO-Au
Home Classic
Home Classic
Donation
Donation
News Book
News Book
News 50
News 50
worldautoscroll
WORLD-Au
Breaking
Breaking
 

Go Back   VietBF > World Box| Thế Giới > Vietnam News | Tin Việt Nam


Reply
 
Thread Tools
  #1  
Old  Default Mang 'vi khuẩn tử thần' từ Thái Lan về nước, người đàn ông rơi vào cửa tử rồi thoát chết ngoạn mục
Bệnh nhân 35 tuổi từ vùng lưu hành vi khuẩn mang bệnh Whitmore trở về trong tình trạng nguy kịch, sốc nhiễm khuẩn, suy đa tạng, thân nhiệt hơn 41°C và hôn mê sâu.

Bệnh nhân nam L.V.T, 35 tuổi ở Nghệ An, sinh sống và làm việc tại Thái Lan – khu vực lưu hành bệnh Whitmore cao. Anh có tiền sử đái tháo đường mới phát hiện. Khoảng năm tuần trước khi về Việt Nam, bệnh nhân xuất hiện sốt cao liên tục, khó thở, kích thích nhiều, phải nhập cấp cứu tại một cơ sở y tế ở Thái Lan.

Tại đây, bệnh nhân được đặt nội khí quản thở máy; kết quả cấy máu xác định nhiễm Burkholderia pseudomallei – tác nhân gây bệnh Whitmore. Dù được điều trị ban đầu, tình trạng vẫn diễn tiến nặng nên gia đình xin chuyển về Việt Nam để tiếp tục điều trị. Nhưng chỉ sau ít ngày, người bệnh rơi vào sốc nhiễm khuẩn, suy đa tạng, sốt cao liên tục, rối loạn ý thức và được chuyển gấp ra Khoa Cấp cứu – Bệnh viện Bệnh Nhiệt đới Trung ương.


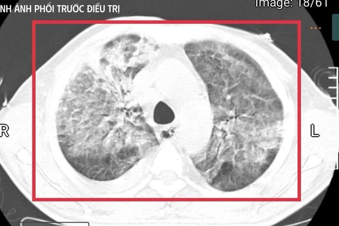
Hình ảnh phổi của bệnh nhân trước khi điều trị. (Ảnh: BVCC)

Ths.BSNT Nguyễn Kim Anh, khoa cấp cứu cho biết thời điểm tiếp nhận người bệnh là “khoảnh khắc rất căng thẳng”. Bệnh nhân hôn mê sâu, thang điểm Glasgow chỉ còn 9, mất phản xạ đường thở, phụ thuộc hoàn toàn vào máy thở. Nhiệt độ liên tục 41–42°C kèm run cơ toàn thân, gợi ý tình trạng tăng thân nhiệt ác tính trên nền nhiễm khuẩn huyết tối cấp.

Xét nghiệm cho thấy men gan và bilirubin tăng cao, rối loạn đông máu, creatinin tăng nhanh kèm vô niệu – biểu hiện của suy gan, suy thận cấp tiến triển. Nồng độ CK vượt quá 100.000 U/l, kèm đau cơ và nước tiểu sẫm màu, phù hợp với tiêu cơ vân cấp. Các chỉ số viêm như CRP, PCT tăng rất cao, phản ánh tình trạng nhiễm trùng – nhiễm độc toàn thân dữ dội. Trên nền đó là đái tháo đường chưa kiểm soát và viêm gan C mạn, khiến cơ thể người bệnh càng suy sụp.

Theo BS Kim Anh, đây là một trong những thể tối cấp của Whitmore - nhiễm khuẩn huyết nặng, suy đa tạng, rối loạn chuyển hóa sâu và nguy cơ tử vong rất lớn trong thời gian rất ngắn nếu không được hồi sức tích cực ngay lập tức.

Đội ngũ bác sĩ đã phải “chạy song song” nhiều can thiệp: an thần sâu để kiểm soát kích thích và bảo vệ não, hạ thân nhiệt chủ động nhằm khống chế tình trạng tăng thân nhiệt ác tính, thiết lập đường truyền trung tâm, theo dõi huyết động liên tục, điều chỉnh toan–điện giải, phối hợp kháng sinh theo phác đồ điều trị Melioidosis và tiến hành lọc máu liên tục nhiều ngày để hỗ trợ chức năng thận, loại bỏ độc chất và giảm gánh nặng viêm.

Trong ba tuần điều trị tích cực tại Khoa Cấp cứu, các bác sĩ tiếp tục tối ưu kháng sinh, kiểm soát chặt chẽ đường huyết, hỗ trợ dinh dưỡng và phục hồi chức năng sớm. Người bệnh hồi phục từng bước: tỉnh táo hoàn toàn, tự thở khí phòng với SpO₂ 99%, huyết áp 130/80 mmHg, cơ lực chi trên đạt 5/5, chi dưới 4/5, đủ điều kiện ra viện và tiếp tục theo dõi ngoại trú.

BS Kim Anh khuyến cáo: Whitmore là bệnh truyền nhiễm nguy hiểm, có thể gây suy đa tạng và tử vong nhanh, đặc biệt ở những người có bệnh nền như đái tháo đường, bệnh gan mạn hoặc những người làm việc lâu năm trong môi trường đất, nước ẩm. Bệnh có thể khởi phát không điển hình với các triệu chứng như sốt kéo dài, mệt mỏi, đau đầu, đau cơ, ho, sụt cân hoặc rối loạn tri giác, rất dễ bị bỏ sót.

Người dân có yếu tố nguy cơ hoặc triệu chứng sốt kéo dài không rõ nguyên nhân cần đến các cơ sở chuyên khoa truyền nhiễm để được xét nghiệm, chẩn đoán và điều trị kịp thời, đồng thời tuân thủ đầy đủ phác đồ kháng sinh kéo dài để tránh tái phát.
VIETBF Diễn Đàn Hay Nhất Của Người Việt Nam

HOT NEWS 24h

HOT 3 Days

NEWS 3 Days

HOT 7 Days

NEWS 7 Days

HOME

Breaking News

VietOversea

World News

Business News

Car News

Computer News

Game News

USA News

Mobile News

Music News

Movies News

History

Thơ Ca

Sport News

Stranger Stories

Comedy Stories

Cooking Chat

Nice Pictures

Fashion

School

Travelling

Funny Videos

Canada Tin Hay

USA Tin Hay

VietBF Homepage Autoscroll

VietBF Video Autoscroll Portal

Home Classic

Home Classic Master Page

VietBF iPad Music Portal

Tin nóng nhất 50h qua

Phim Bộ Online

Phim Bộ



miro1510
R9 Tuyệt Đỉnh Tôn Sư
Release: 1 Week Ago
Reputation: 13837


Profile:
Join Date: Oct 2014
Posts: 47,133
Last Update: None Rating: None
Attached Thumbnails
Click image for larger version

Name:	9243f7d6089fe1c1b88e.jpg
Views:	0
Size:	44.2 KB
ID:	2600855  
miro1510_is_offline
Thanks: 9
Thanked 2,096 Times in 1,935 Posts
Mentioned: 3 Post(s)
Tagged: 0 Thread(s)
Quoted: 8 Post(s)
Rep Power: 59
miro1510 Reputation Uy Tín Level 6
miro1510 Reputation Uy Tín Level 6miro1510 Reputation Uy Tín Level 6miro1510 Reputation Uy Tín Level 6miro1510 Reputation Uy Tín Level 6miro1510 Reputation Uy Tín Level 6miro1510 Reputation Uy Tín Level 6miro1510 Reputation Uy Tín Level 6miro1510 Reputation Uy Tín Level 6miro1510 Reputation Uy Tín Level 6miro1510 Reputation Uy Tín Level 6miro1510 Reputation Uy Tín Level 6miro1510 Reputation Uy Tín Level 6miro1510 Reputation Uy Tín Level 6miro1510 Reputation Uy Tín Level 6miro1510 Reputation Uy Tín Level 6miro1510 Reputation Uy Tín Level 6
Reply

User Tag List


“Siêu đẹp” bí mật trong Himalaya: Dân Việt Nam sẽ chết không còn chỗ chôn? Ngoại trưởng trẻ nhất Trung Quốc và cú rơi không lời giải: Thăng như tên lửa, mất tích như bóng ma Hơn trăm người nhập viện bị ngộ độc, không biết là vì lý do gì, hoá ra là ....
“Bóp nghẹt không tiếng súng”: Việt Nam đang thua vì Trung Quốc quá mạnh, hay vì ta tự làm mình yếu? 10 khác biệt “đinh” giữa người Mỹ & người Việt Cộng: đọc thì cười, ngẫm lại… chạnh lòng “Mùa đỏ” của Cộng Sản bị loại khỏi giải Oscar
Thanh niên Việt mới sang Mỹ 9 tháng và một câu hỏi nhói lòng: “Bám trụ hay quay về?” Sony rút khỏi Huệ Châu, TQ, 30.000 người mất việc: khi “đèn nhà máy tắt” kéo cả một thành phố chao đảo Thảm sát Bondi Beach: hai cha con bị nghi theo ISIS, chuyến đi Mindanao và câu hỏi nhức nhối về “lỗ hổng” an ninh Úc
Hà Nội đang rất mệt – nhưng tôi vẫn không đành rời đi Chuyện giang hồ Á Châu và những cú sốc văn hoá Người Đàn Bà Gánh Sứ Mệnh Đến Hơi Thở Cuối Cùng
Putin Sụp Kiểu Liên Xô Hay Chỉ Là Giấc Mơ Của Phương Tây? “Con kiến kiện củ khoai”: Dân Phú Yên có thật sự kiện được thủy điện xả lũ? Trump Đánh Thuế, Chuỗi Cung Ứng Đại Di Cư: Việt Nam Đang Lên Đời Hay Chỉ Là Trạm Trung Chuyển Rẻ Tiền?
VIỆT NAM SẮP HÓNG HAY ĐANG ẢO GIÁC TẬP THỂ? Macron dọa đánh thuế hàng Trung Quốc: Châu Âu giật mình trước thâm hụt 300 tỷ euro Chiến lược An ninh Quốc gia mới của Trump: Khi ‘Nước Mỹ trên hết’ hóa thành bản tuyên ngôn cá nhân
Vì sao ngày xưa vua miễn thuế khi bão lụt, còn ngày nay thì không? Phép tính lạnh lùng của quyền lực Lindsey Halligan: 63 Ngày Hỗn Loạn Ở Viện Công Tố Virginia Việt Cộng sẽ tịch thu toàn bộ tiền của Việt kiều gửi trong ngân hàng?
Từ ‘Sổ Sinh Tử’ Đến Những Tấm Bưu Thiếp Tự Do: Lời Kêu Gọi Từ Buổi Tưởng Niệm 50 Năm Quốc Nạn 1975–2025 Paris By Night Lặng Im: Khi Đế Chế Giải Trí Chạm Đáy Khủng Hoảng Địa Ngục Lửa Trên Cao Ốc: Thảm Họa Wang Fuk Court Rúng Động Hồng Kông, ít nhất 146 người chết, khoảng 40 người vẫn còn mất tích
Ván Cờ Hòa Bình Của Trump: Ukraine Giữa Thể Diện Dân Tộc, Bom Đạn Và Lính Đánh Thuê Toàn Cầu Thảm Sát Trong Tiệc Sinh Nhật Ở California: Khi Bữa Tiệc Gia Đình Hóa Chiến Trường Đẫm Máu Vì sao Paris By Night và nghệ sĩ hải ngoại đồng loạt im lặng trước chuyện chống Cộng?
Nghề nail người Việt giữa cơn bão 2025: khi ghế trống nhiều hơn khách Giáng sinh kiểu Mỹ 2025: Rạp phim cháy vé, gấu bông biết nói nhảm và nỗi băn khoăn “có nên cho con tiền lúc mình còn sống?” Bitcoin lao dốc, vàng – bạc lập kỷ lục: cơn “sốc Nhật Bản” đang dọa thổi bay cú rally cuối năm của Phố Wall
Black Friday 2025: Người Mỹ mua nhiều mà được ít – thuế Trump và “K-đồ thị” xé đôi túi tiền Chống tham nhũng làm nghẽn “cỗ máy chiến tranh”: Doanh thu quốc phòng Trung Quốc bất ngờ lao dốc Cựu tiếp viên hàng không và “luật ngầm” 4 triệu – 7 triệu: đường dây mại dâm Tài Nguyên Fortuner II lộ sáng
Quân Lực VNCH – Ai còn nhớ, ai đã quên: TQLC Phúc Yên Nguyễn Xuân Phúc và một “tổn thất” của Khóa 16 Kinh tế Trung Quốc đang tan rã từ bên trong: “phép màu” chỉ là một phim trường khổng lồ Giữa Nước Mỹ Chia Rẽ: Tâm Sự Của Một Người Nhập Cư

 
Lên đầu Xuống dưới Lên 3000px Xuống 3000px

iPad Videos Portal Autoscroll

VietBF Music Portal Autoscroll

iPad News Portal Autoscroll

VietBF Homepage Autoscroll

VietBF Video Autoscroll Portal

USA News Autoscroll Portall

VietBF WORLD Autoscroll Portal

Home Classic

Super Widescreen

iPad World Portal Autoscroll

iPad USA Portal Autoscroll

Phim Bộ Online

Tin nóng nhất 24h qua

Tin nóng nhất 3 ngày qua

Tin nóng nhất 7 ngày qua

Tin nóng nhất 30 ngày qua

Albums

Total Videos Online
Lên đầu Xuống dưới Lên 3000px Xuống 3000px

Tranh luận sôi nổi nhất 7 ngày qua

Tranh luận sôi nổi nhất 14 ngày qua

Tranh luận sôi nổi nhất 30 ngày qua

10.000 Tin mới nhất

Tin tức Hoa Kỳ

Tin tức Công nghệ
Lên đầu Xuống dưới Lên 3000px Xuống 3000px

Super News

School Cooking Traveling Portal

Enter Portal

Series Shows and Movies Online

Home Classic Master Page

Donation Ủng hộ $3 cho VietBF
Lên đầu Xuống dưới Lên 3000px Xuống 3000px
Diễn Đàn Người Việt Hải Ngoại. Tự do ngôn luận, an toàn và uy tín. Vì một tương lai tươi đẹp cho các thế hệ Việt Nam hãy ghé thăm chúng tôi, hãy tâm sự với chúng tôi mỗi ngày, mỗi giờ và mỗi giây phút có thể. VietBF.Com Xin cám ơn các bạn, chúc tất cả các bạn vui vẻ và gặp nhiều may mắn.
Welcome to Vietnamese American Community, Vietnamese European, Canadian, Australian Forum, Vietnamese Overseas Forum. Freedom of speech, safety and prestige. For a beautiful future for Vietnamese generations, please visit us, talk to us every day, every hour and every moment possible. VietBF.Com Thank you all and good luck.

Lên đầu Xuống dưới Lên 3000px Xuống 3000px

All times are GMT. The time now is 19:31.
VietBF - Vietnamese Best Forum Copyright ©2005 - 2025
User Alert System provided by Advanced User Tagging (Pro) - vBulletin Mods & Addons Copyright © 2025 DragonByte Technologies Ltd.
Log Out Unregistered

Page generated in 0.10269 seconds with 15 queries