HOME-Au
HOME-Au
24h
24h
USA
USA
GOP
GOP
Phim Bộ
Phim Bộ
Videoauto
VIDEO-Au
Donation
Donation
News Book
News Book
News 50
News 50
worldautoscroll
WORLD-Au
Breaking
Breaking
 

Go Back   VietBF > Other > School | Kiến thức


Reply
Thread Tools
 
 
  #1  
Old  Default Dọn dẹp tủ quần áo, cô gái 24 tuổi mắc viêm phổi, bác sĩ nhắc 1 việc cần làm
Tủ quần áo là nơi chúng ta thường xuyên mở ra, đóng vào để lấy và cất trữ đồ. Tuy nhiên, nó cũng có thể ẩn chứa mầm bệnh hại phổi...

Theo truyền thông Trung Quốc, ngày 13/5 vừa qua, cô Vương (24 tuổi, ở Hàng Châu, Trung Quốc) đã xuất hiện các triệu chứng như ho, mệt mỏi và sốt. Sau khi đến bệnh viện kiểm tra, cô được chẩn đoán mắc bệnh viêm phổi do nấm.

Theo cô Vương, cách đây 1 tháng, cô phát hiện tủ quần áo ở nhà có vết ẩm mốc nên đã lau chùi những bộ phận bị ẩm mốc nhưng không đeo khẩu trang, trong quá trình vệ sinh, cô hít phải rất nhiều tạp chất và bụi bẩn phát sinh, sau đó xuất hiện các triệu chứng ho kịch phát nhẹ và không nghiêm trọng. Tuy nhiên, các triệu chứng như ho, mệt mỏi xuất hiện và sốt lên tới 40 độ C dần xuất hiện.

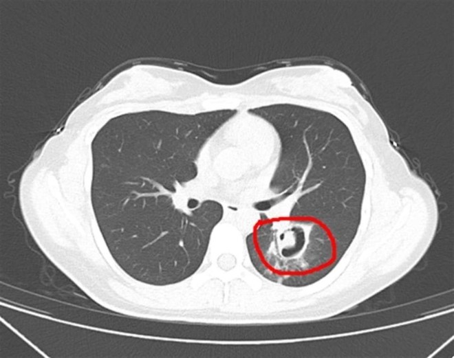
Sau một loạt kiểm tra, bác sĩ kết quả chụp CT phổi cho thấy những "chồi cây nhỏ" đã mọc ra từ phổi của cô Vương và họ nghi ngờ cô bị viêm phổi do nấm. Tiếp theo, bác sĩ tiến hành nội soi phế quản, phát hiện một lượng lớn mảng trắng trên thành đường thở. Sau khi xét nghiệm, xác định đó là Aspergillus.

Trước đó, bà Đại, 63 tuổi đến từ tỉnh Hồ Nam (Trung Quốc) cũng trở thành nạn nhân của việc này. Theo lời của chính bà, gần đây bà đã sắp xếp lại sách và ảnh cũ ở nhà, những bức ảnh và sách cũ này ẩn chứa rất nhiều mạt bụi và nấm mốc. Trong quá trình vệ sinh, bà không thực hiện các biện pháp bảo vệ, dẫn đến hít phải một lượng lớn mạt bụi và nấm mốc, sau đó bị dị ứng nặng, gây ra các triệu chứng hen suyễn và đau đến mức không thể thở được.


Nấm mốc xâm nhập vào phổi bằng cách nào?

Bác sĩ Li Jianmin, Trưởng Đơn vị Chăm sóc Hô hấp Số 3 thuộc Bệnh viện Nhân dân tỉnh Hồ Nam (Trung Quốc), cho biết: "Khi xâm nhập vào cơ thể con người cơ thể, nấm mốc có thể gây ngộ độc mãn tính, gây ung thư và gây quái thai, gây đột biến, viêm phổi do hít phải...".

Nấm mốc có thể phát triển trong thực phẩm, phấn hoa, đất, thực vật, nhà cửa và các môi trường khác. Khi hệ thống miễn dịch của con người bị tấn công hoặc yếu đi, nấm mốc có thể xâm nhập vào phổi và gây viêm phổi do nấm.

Các triệu chứng điển hình của bệnh viêm phổi do nấm chủ yếu bao gồm ho dai dẳng, có đờm, sốt, đau ngực và khó thở. Các triệu chứng ban đầu có thể giống với triệu chứng cảm lạnh hoặc cúm thông thường, vì vậy chúng có thể dễ dàng bị bỏ qua. Điều quan trọng là phải cảnh giác với sự tồn tại dai dẳng và các triệu chứng ngày càng trầm trọng hơn.

Nấm mốc xâm nhập vào cơ thể con người cũng có thể gây nhiễm trùng ở miệng, da, hệ tiết niệu, đường tiêu hóa... thậm chí gây nhiễm trùng toàn thân. Đối với người bị dị ứng, hít nấm mốc vào cơ thể có thể gây dị ứng.

Ngoài ra, một số hóa chất có khả năng gây tổn thương phổi, dẫn đến nhiễm trùng phổi. Ví dụ, những người tiếp xúc với lượng lớn bụi, khói, không khí ô nhiễm và các nguồn ô nhiễm khác có thể dễ dàng gây tổn thương phổi, dẫn đến viêm phổi do nấm.

Tốt nhất nên đeo khẩu trang và găng tay khi vệ sinh

Nấm mốc thích môi trường ẩm ướt, ấm áp. Các bác sĩ nhắc nhở, nấm mốc có thể dễ dàng sinh sản ở một số phòng kém thông gió và ẩm ướt; đặc biệt là ở các góc, bệ cửa sổ, bồn rửa bát, bếp nấu, dụng cụ nhà bếp, bộ đồ ăn, vòng cao su, bên trong tủ lạnh, nhà vệ sinh, phòng tắm, máy giặt, điều hòa... nấm mốc có thể dễ sinh sôi và phát triển. Sách, thảm lâu ngày không sử dụng cũng dễ bị nấm mốc phát triển.

Người già, trẻ nhỏ, người mắc bệnh tiềm ẩn hoặc khả năng miễn dịch kém nên tránh xa bụi bặm càng nhiều càng tốt, hạn chế tiếp xúc với đất ẩm, mục nát; lục lọi hộp, tủ để dọn dẹp, phân loại quần áo cũ hoặc xử lý; những vật dụng có mùi mốc nồng nặc trong cuộc sống hàng ngày. Khi ở trong nhà gỗ tối tăm, ẩm ướt, tầng hầm và những nơi khác, hãy đeo khẩu trang và găng tay, quần áo dài để tránh hít phải trực tiếp khí có chứa nấm mốc.
Dịch trang: EnglishEnglish DeutschDeutsch FrançaisFrançais EspañolEspañol ItalianoItaliano PortuguêsPortuguês
NorskNorsk NederlandsNederlands DanskDansk SuomiSuomi PolskiPolski ČeštinaČeština РусскийРусский
日本語日本語 한국어한국어 中文(简体)中文(简体) 中文(繁體)中文(繁體) MagyarMagyar TürkçeTürkçe
العربيةالعربية ไทยไทย LatinaLatina हिन्दीहिन्दी Bahasa IndonesiaBahasa Indonesia Bahasa MelayuBahasa Melayu
VIETBF Hybrid Community Content Hub

HOT NEWS 24h

HOT 3 Days

NEWS 3 Days

HOT 7 Days

NEWS 7 Days

HOME

Breaking News

VietOversea

World News

Business News

Car News

Computer News

Game News

USA News

Mobile News

Music News

Movies News

History

Thơ Ca

Sport News

Stranger Stories

Comedy Stories

Cooking Chat

Nice Pictures

Fashion

School

Travelling

Funny Videos

Canada Tin Hay

USA Tin Hay

VietBF Homepage Autoscroll

VietBF Video Autoscroll Portal

Video Classic Master

iPad News Portal

VietBF iPad Music Portal

Tin nóng nhất 50h qua

Phim Bộ Online

iMusic Pro Max



miro1510
R9 Tuyệt Đỉnh Tôn Sư
Release: 05-15-2024
Reputation: 13837


Profile:
Join Date: Oct 2014
Posts: 47,171
Last Update: None Rating: None
Attached Thumbnails
Click image for larger version

Name:	-1715748472181321696187.jpg
Views:	0
Size:	61.2 KB
ID:	2374622  
miro1510_is_offline
Thanks: 9
Thanked 2,096 Times in 1,935 Posts
Mentioned: 3 Post(s)
Tagged: 0 Thread(s)
Quoted: 8 Post(s)
Rep Power: 59
miro1510 Reputation Uy Tín Level 6
miro1510 Reputation Uy Tín Level 6miro1510 Reputation Uy Tín Level 6miro1510 Reputation Uy Tín Level 6miro1510 Reputation Uy Tín Level 6miro1510 Reputation Uy Tín Level 6miro1510 Reputation Uy Tín Level 6miro1510 Reputation Uy Tín Level 6miro1510 Reputation Uy Tín Level 6miro1510 Reputation Uy Tín Level 6miro1510 Reputation Uy Tín Level 6miro1510 Reputation Uy Tín Level 6miro1510 Reputation Uy Tín Level 6miro1510 Reputation Uy Tín Level 6miro1510 Reputation Uy Tín Level 6miro1510 Reputation Uy Tín Level 6miro1510 Reputation Uy Tín Level 6
Dịch trang: EnglishEnglish DeutschDeutsch FrançaisFrançais EspañolEspañol ItalianoItaliano PortuguêsPortuguês
NorskNorsk NederlandsNederlands DanskDansk SuomiSuomi PolskiPolski ČeštinaČeština РусскийРусский
日本語日本語 한국어한국어 中文(简体)中文(简体) 中文(繁體)中文(繁體) MagyarMagyar TürkçeTürkçe
العربيةالعربية ไทยไทย LatinaLatina हिन्दीहिन्दी Bahasa IndonesiaBahasa Indonesia Bahasa MelayuBahasa Melayu
Reply

User Tag List



 

iPad Videos Portal Autoscroll

VietBF Music Portal Autoscroll

iPad News Portal Autoscroll

VietBF Homepage Autoscroll

VietBF Video Autoscroll Portal

USA News Autoscroll Portall

VietBF WORLD Autoscroll Portal

Video Classic Master Page

Super Widescreen

iPad World Portal Autoscroll

iPad USA Portal Autoscroll

Phim Bộ Online
Lên đầu Xuống dưới Lên 3000px Xuống 3000px

Tin nóng nhất 24h qua

Tin nóng nhất 3 ngày qua

Tin nóng nhất 7 ngày qua

Tin nóng nhất 30 ngày qua

Albums

Total Videos Online

Tranh luận sôi nổi nhất 7 ngày qua

Tranh luận sôi nổi nhất 14 ngày qua

Tranh luận sôi nổi nhất 30 ngày qua

10.000 Tin mới nhất

Tin tức Hoa Kỳ

Tin tức Công nghệ
Lên đầu Xuống dưới Lên 3000px Xuống 3000px

Duo Series Movies Portal

Duo Music Portal

Phim Bộ

Tỷ Giá

Thời Tiết

Tin Nóng Nhất 50h

Super News

School Cooking Traveling Portal

Enter Portal

Series Shows and Movies Online

Home Classic Master Page

Donation Ủng hộ $3 cho VietBF
Lên đầu Xuống dưới Lên 3000px Xuống 3000px
Diễn Đàn Người Việt Hải Ngoại. Tự do ngôn luận, an toàn và uy tín. Vì một tương lai tươi đẹp cho các thế hệ Việt Nam hãy ghé thăm chúng tôi, hãy tâm sự với chúng tôi mỗi ngày, mỗi giờ và mỗi giây phút có thể. VietBF.Com Xin cám ơn các bạn, chúc tất cả các bạn vui vẻ và gặp nhiều may mắn.
Welcome to Vietnamese American Community, Vietnamese European, Canadian, Australian Forum, Vietnamese Overseas Forum. Freedom of speech, safety and prestige. For a beautiful future for Vietnamese generations, please visit us, talk to us every day, every hour and every moment possible. VietBF.Com Thank you all and good luck.

Lên đầu Xuống dưới Lên 3000px Xuống 3000px

All times are GMT. The time now is 18:47.
VietBF - Vietnamese Best Forum Copyright ©2005 - 2026
User Alert System provided by Advanced User Tagging (Pro) - vBulletin Mods & Addons Copyright © 2026 DragonByte Technologies Ltd.
Log Out Unregistered

Page generated in 0.11537 seconds with 15 queries